左心室流出道破裂的根治手术。

IF 0.7 4区 经济学 Q3 ECONOMICS
Hidenobu Takaki, Kenichi Hashizume, Koki Ikebata, Masatoshi Ohno
{"title":"左心室流出道破裂的根治手术。","authors":"Hidenobu Takaki, Kenichi Hashizume, Koki Ikebata, Masatoshi Ohno","doi":"10.1093/icvts/ivac036","DOIUrl":null,"url":null,"abstract":"<p><p>Prosthetic valve endocarditis, especially when complicated by an aortic root abscess and a left ventricular outflow tract rupture, is a life-threatening condition. We present a case of infective prosthetic aortic valve endocarditis with a ruptured left ventricular outflow tract successfully treated with a root-commando operation using a secure anastomosis for reconstruction of the damaged aortic annulus.</p>","PeriodicalId":47454,"journal":{"name":"Review of Industrial Organization","volume":"52 1","pages":""},"PeriodicalIF":0.7000,"publicationDate":"2022-06-15","publicationTypes":"Journal Article","fieldsOfStudy":null,"isOpenAccess":false,"openAccessPdf":"https://www.ncbi.nlm.nih.gov/pmc/articles/PMC10634616/pdf/","citationCount":"0","resultStr":"{\"title\":\"Root-commando operation for a ruptured left ventricular outflow tract.\",\"authors\":\"Hidenobu Takaki, Kenichi Hashizume, Koki Ikebata, Masatoshi Ohno\",\"doi\":\"10.1093/icvts/ivac036\",\"DOIUrl\":null,\"url\":null,\"abstract\":\"<p><p>Prosthetic valve endocarditis, especially when complicated by an aortic root abscess and a left ventricular outflow tract rupture, is a life-threatening condition. We present a case of infective prosthetic aortic valve endocarditis with a ruptured left ventricular outflow tract successfully treated with a root-commando operation using a secure anastomosis for reconstruction of the damaged aortic annulus.</p>\",\"PeriodicalId\":47454,\"journal\":{\"name\":\"Review of Industrial Organization\",\"volume\":\"52 1\",\"pages\":\"\"},\"PeriodicalIF\":0.7000,\"publicationDate\":\"2022-06-15\",\"publicationTypes\":\"Journal Article\",\"fieldsOfStudy\":null,\"isOpenAccess\":false,\"openAccessPdf\":\"https://www.ncbi.nlm.nih.gov/pmc/articles/PMC10634616/pdf/\",\"citationCount\":\"0\",\"resultStr\":null,\"platform\":\"Semanticscholar\",\"paperid\":null,\"PeriodicalName\":\"Review of Industrial Organization\",\"FirstCategoryId\":\"3\",\"ListUrlMain\":\"https://doi.org/10.1093/icvts/ivac036\",\"RegionNum\":4,\"RegionCategory\":\"经济学\",\"ArticlePicture\":[],\"TitleCN\":null,\"AbstractTextCN\":null,\"PMCID\":null,\"EPubDate\":\"\",\"PubModel\":\"\",\"JCR\":\"Q3\",\"JCRName\":\"ECONOMICS\",\"Score\":null,\"Total\":0}","platform":"Semanticscholar","paperid":null,"PeriodicalName":"Review of Industrial Organization","FirstCategoryId":"3","ListUrlMain":"https://doi.org/10.1093/icvts/ivac036","RegionNum":4,"RegionCategory":"经济学","ArticlePicture":[],"TitleCN":null,"AbstractTextCN":null,"PMCID":null,"EPubDate":"","PubModel":"","JCR":"Q3","JCRName":"ECONOMICS","Score":null,"Total":0}
引用次数: 0

摘要

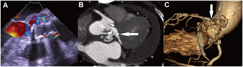
人工瓣膜心内膜炎,尤其是并发主动脉根部脓肿和左心室流出道破裂时,是一种危及生命的疾病。我们介绍了一例感染性人工主动脉瓣膜心内膜炎合并左心室流出道破裂的病例,该病例通过根部手术成功治愈,手术中使用了安全吻合器重建受损的主动脉瓣环。
本文章由计算机程序翻译,如有差异,请以英文原文为准。

Root-commando operation for a ruptured left ventricular outflow tract.

Root-commando operation for a ruptured left ventricular outflow tract.

Root-commando operation for a ruptured left ventricular outflow tract.

Root-commando operation for a ruptured left ventricular outflow tract.

Prosthetic valve endocarditis, especially when complicated by an aortic root abscess and a left ventricular outflow tract rupture, is a life-threatening condition. We present a case of infective prosthetic aortic valve endocarditis with a ruptured left ventricular outflow tract successfully treated with a root-commando operation using a secure anastomosis for reconstruction of the damaged aortic annulus.

求助全文
通过发布文献求助,成功后即可免费获取论文全文。 去求助
来源期刊
CiteScore
2.10
自引率
9.10%
发文量
35
期刊介绍: New Online Manuscript Submission System The Review of Industrial Organization publishes research papers on all aspects of industrial organization, broadly defined. A main focus is on competition and monopoly, in their many forms and processes and their effects on efficiency, innovation, and social conditions. Topics may range from the internal organization of enterprises to wide international comparisons. The Review is also increasing its interest in papers on public policies such as antitrust, regulation, deregulation, public enterprise, and privatization. Papers may deal with any economic sectors and any developed economies. The Review continues its primary interest in ideas that can be verified by econometric evidence, case studies, or other real conditions. But the Review also seeks papers that advance significant theories of industrial organization and policy. Papers using abstract techniques and econometric tests should present the methods and analysis in plain enough English so that non-specialist readers can evaluate the content. The Review welcomes submissions from any source, and the Editors will make every effort to have papers reviewed quickly and to give prompt decisions. The Editors will also seek to arrange symposia on specific topics, and they are open to proposals for grouped papers. They also welcome shorter notes and commentaries on topics of interest to the profession. Officially cited as: Rev Ind Organ
×
引用
GB/T 7714-2015
复制
MLA
复制
APA
复制
导出至
BibTeX EndNote RefMan NoteFirst NoteExpress
×
提示
您的信息不完整,为了账户安全,请先补充。
现在去补充
×
提示
您因"违规操作"
具体请查看互助需知
我知道了
×
提示
确定
请完成安全验证×
copy
已复制链接
快去分享给好友吧!
我知道了
右上角分享
点击右上角分享
0
联系我们:info@booksci.cn Book学术提供免费学术资源搜索服务,方便国内外学者检索中英文文献。致力于提供最便捷和优质的服务体验。 Copyright © 2023 布克学术 All rights reserved.
京ICP备2023020795号-1
ghs 京公网安备 11010802042870号
Book学术文献互助
Book学术文献互助群
群 号:604180095
Book学术官方微信