食入乳糖饮食诱发腹泻的SD大鼠,其痢疾及其并发症可从石米酸中恢复。

IF 2.9 Q3 MEDICINE, RESEARCH & EXPERIMENTAL
Khaled M M Koriem, Alaa M A Abdeen
{"title":"食入乳糖饮食诱发腹泻的SD大鼠,其痢疾及其并发症可从石米酸中恢复。","authors":"Khaled M M Koriem, Alaa M A Abdeen","doi":"10.1186/s42826-023-00179-y","DOIUrl":null,"url":null,"abstract":"<p><strong>Background: </strong>Diarrhea is the increase of excretion of human water content and an imbalance in the physiologic processes of the small and large intestine while shikimic acid is an important biochemical metabolite in plants. This study aims to study the anti-diarrheal activity of shikimic acid through restoring kidney function, antioxidant activity, inflammatory markers, sodium/potassium-ATPase activity, apoptosis genes, and histology of the kidney in SD rats fed lactose diet to induce diarrhea.</p><p><strong>Results: </strong>Thirty-six male SD rats (150 ± 10 g, 12 weeks old) were divided into 2 equal groups (18 rats/group) as follows: normal and diarrheal rats. Normal rats were divided into 3 equal groups of 6 rats each: the control, shikimic acid, and desmopressin drug groups. Diarrheal rats were also divided into 3 equal groups of 6 rats each: diarrheal, diarrheal rats + shikimic acid, and diarrheal rats + desmopressin drug groups. Shikimic acid restored serum urea and creatinine, urinary volume, kidney weight, sodium, potassium, and chloride balance in serum and urine. The acid returned the antioxidant (superoxide dismutase, glutathione peroxidase, catalase, malondialdehyde, NADPH oxidase activity, conjugated dienes, and oxidative index) activity and the inflammatory markers (tumor necrosis factor-α, interleukin-1β, interleukin-6, and interleukin-10) to values approaching the control values. Shikimic acid also restored the sodium/potassium-ATPase activity, the apoptosis genes p53 and bcl-2, and the histology of kidney tissue in diarrheal rats to be near the control group.</p><p><strong>Conclusions: </strong>Shikimic acid rescues diarrhea and its complications through restoring kidney function, serum and urinary electrolytes, antioxidant activity, inflammatory markers, sodium/potassium-ATPase activity, the apoptosis genes, and the histology of the kidney in diarrheal rats to approach the control one.</p>","PeriodicalId":17993,"journal":{"name":"Laboratory Animal Research","volume":"39 1","pages":"28"},"PeriodicalIF":2.9000,"publicationDate":"2023-11-10","publicationTypes":"Journal Article","fieldsOfStudy":null,"isOpenAccess":false,"openAccessPdf":"https://www.ncbi.nlm.nih.gov/pmc/articles/PMC10636980/pdf/","citationCount":"0","resultStr":"{\"title\":\"Shikimic acid recovers diarrhea and its complications in SD rats fed lactose diet to induce diarrhea.\",\"authors\":\"Khaled M M Koriem, Alaa M A Abdeen\",\"doi\":\"10.1186/s42826-023-00179-y\",\"DOIUrl\":null,\"url\":null,\"abstract\":\"<p><strong>Background: </strong>Diarrhea is the increase of excretion of human water content and an imbalance in the physiologic processes of the small and large intestine while shikimic acid is an important biochemical metabolite in plants. This study aims to study the anti-diarrheal activity of shikimic acid through restoring kidney function, antioxidant activity, inflammatory markers, sodium/potassium-ATPase activity, apoptosis genes, and histology of the kidney in SD rats fed lactose diet to induce diarrhea.</p><p><strong>Results: </strong>Thirty-six male SD rats (150 ± 10 g, 12 weeks old) were divided into 2 equal groups (18 rats/group) as follows: normal and diarrheal rats. Normal rats were divided into 3 equal groups of 6 rats each: the control, shikimic acid, and desmopressin drug groups. Diarrheal rats were also divided into 3 equal groups of 6 rats each: diarrheal, diarrheal rats + shikimic acid, and diarrheal rats + desmopressin drug groups. Shikimic acid restored serum urea and creatinine, urinary volume, kidney weight, sodium, potassium, and chloride balance in serum and urine. The acid returned the antioxidant (superoxide dismutase, glutathione peroxidase, catalase, malondialdehyde, NADPH oxidase activity, conjugated dienes, and oxidative index) activity and the inflammatory markers (tumor necrosis factor-α, interleukin-1β, interleukin-6, and interleukin-10) to values approaching the control values. Shikimic acid also restored the sodium/potassium-ATPase activity, the apoptosis genes p53 and bcl-2, and the histology of kidney tissue in diarrheal rats to be near the control group.</p><p><strong>Conclusions: </strong>Shikimic acid rescues diarrhea and its complications through restoring kidney function, serum and urinary electrolytes, antioxidant activity, inflammatory markers, sodium/potassium-ATPase activity, the apoptosis genes, and the histology of the kidney in diarrheal rats to approach the control one.</p>\",\"PeriodicalId\":17993,\"journal\":{\"name\":\"Laboratory Animal Research\",\"volume\":\"39 1\",\"pages\":\"28\"},\"PeriodicalIF\":2.9000,\"publicationDate\":\"2023-11-10\",\"publicationTypes\":\"Journal Article\",\"fieldsOfStudy\":null,\"isOpenAccess\":false,\"openAccessPdf\":\"https://www.ncbi.nlm.nih.gov/pmc/articles/PMC10636980/pdf/\",\"citationCount\":\"0\",\"resultStr\":null,\"platform\":\"Semanticscholar\",\"paperid\":null,\"PeriodicalName\":\"Laboratory Animal Research\",\"FirstCategoryId\":\"1085\",\"ListUrlMain\":\"https://doi.org/10.1186/s42826-023-00179-y\",\"RegionNum\":0,\"RegionCategory\":null,\"ArticlePicture\":[],\"TitleCN\":null,\"AbstractTextCN\":null,\"PMCID\":null,\"EPubDate\":\"\",\"PubModel\":\"\",\"JCR\":\"Q3\",\"JCRName\":\"MEDICINE, RESEARCH & EXPERIMENTAL\",\"Score\":null,\"Total\":0}","platform":"Semanticscholar","paperid":null,"PeriodicalName":"Laboratory Animal Research","FirstCategoryId":"1085","ListUrlMain":"https://doi.org/10.1186/s42826-023-00179-y","RegionNum":0,"RegionCategory":null,"ArticlePicture":[],"TitleCN":null,"AbstractTextCN":null,"PMCID":null,"EPubDate":"","PubModel":"","JCR":"Q3","JCRName":"MEDICINE, RESEARCH & EXPERIMENTAL","Score":null,"Total":0}
引用次数: 0

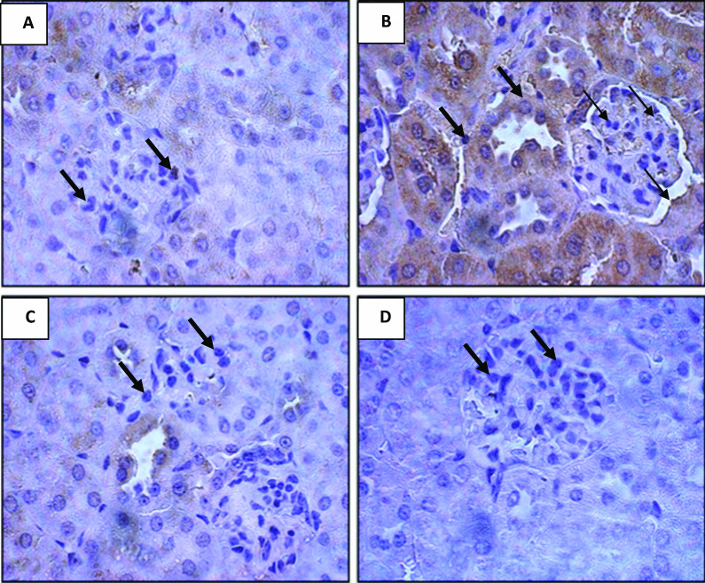
摘要

背景:腹泻是指人体水分排泄量增加,小肠和大肠生理过程失衡,而莽草酸是植物中重要的生化代谢产物。本研究旨在通过恢复乳糖饮食诱导腹泻的SD大鼠的肾功能、抗氧化活性、炎症标志物、钠/钾ATP酶活性、凋亡基因和肾脏组织学来研究莽草酸的抗腹泻活性。结果:36只雄性SD大鼠(150只 ± 10g、12周龄)分为2组(18只/组):正常大鼠和腹泻大鼠。正常大鼠分为3组,每组6只:对照组、莽草酸组和去氨加压素药物组。腹泻大鼠也被分成3组,每组6只:腹泻大鼠、腹泻大鼠 + 莽草酸和腹泻大鼠 + 去氨加压素药物组。莽草酸可恢复血清尿素和肌酸酐、尿量、肾重量、血清和尿液中的钠、钾和氯平衡。该酸使抗氧化剂(超氧化物歧化酶、谷胱甘肽过氧化物酶、过氧化氢酶、丙二醛、NADPH氧化酶活性、共轭二烯和氧化指数)活性和炎症标志物(肿瘤坏死因子-α、白细胞介素-1β、白细胞素-6和白细胞介质-10)恢复到接近对照值的值。莽草酸还使腹泻大鼠的钠/钾ATP酶活性、凋亡基因p53和bcl-2以及肾组织的组织学恢复到接近对照组。结论:通过恢复腹泻大鼠的肾功能、血清和尿液电解质、抗氧化活性、炎症标志物、钠/钾ATP酶活性、细胞凋亡基因和肾脏组织学等指标,与对照组相比,莽草酸可以挽救腹泻及其并发症。
本文章由计算机程序翻译,如有差异,请以英文原文为准。

Shikimic acid recovers diarrhea and its complications in SD rats fed lactose diet to induce diarrhea.

Shikimic acid recovers diarrhea and its complications in SD rats fed lactose diet to induce diarrhea.

Shikimic acid recovers diarrhea and its complications in SD rats fed lactose diet to induce diarrhea.

Shikimic acid recovers diarrhea and its complications in SD rats fed lactose diet to induce diarrhea.

Background: Diarrhea is the increase of excretion of human water content and an imbalance in the physiologic processes of the small and large intestine while shikimic acid is an important biochemical metabolite in plants. This study aims to study the anti-diarrheal activity of shikimic acid through restoring kidney function, antioxidant activity, inflammatory markers, sodium/potassium-ATPase activity, apoptosis genes, and histology of the kidney in SD rats fed lactose diet to induce diarrhea.

Results: Thirty-six male SD rats (150 ± 10 g, 12 weeks old) were divided into 2 equal groups (18 rats/group) as follows: normal and diarrheal rats. Normal rats were divided into 3 equal groups of 6 rats each: the control, shikimic acid, and desmopressin drug groups. Diarrheal rats were also divided into 3 equal groups of 6 rats each: diarrheal, diarrheal rats + shikimic acid, and diarrheal rats + desmopressin drug groups. Shikimic acid restored serum urea and creatinine, urinary volume, kidney weight, sodium, potassium, and chloride balance in serum and urine. The acid returned the antioxidant (superoxide dismutase, glutathione peroxidase, catalase, malondialdehyde, NADPH oxidase activity, conjugated dienes, and oxidative index) activity and the inflammatory markers (tumor necrosis factor-α, interleukin-1β, interleukin-6, and interleukin-10) to values approaching the control values. Shikimic acid also restored the sodium/potassium-ATPase activity, the apoptosis genes p53 and bcl-2, and the histology of kidney tissue in diarrheal rats to be near the control group.

Conclusions: Shikimic acid rescues diarrhea and its complications through restoring kidney function, serum and urinary electrolytes, antioxidant activity, inflammatory markers, sodium/potassium-ATPase activity, the apoptosis genes, and the histology of the kidney in diarrheal rats to approach the control one.

求助全文
通过发布文献求助,成功后即可免费获取论文全文。 去求助
来源期刊
CiteScore
4.40
自引率
0.00%
发文量
32
审稿时长
8 weeks
×
引用
GB/T 7714-2015
复制
MLA
复制
APA
复制
导出至
BibTeX EndNote RefMan NoteFirst NoteExpress
×
提示
您的信息不完整,为了账户安全,请先补充。
现在去补充
×
提示
您因"违规操作"
具体请查看互助需知
我知道了
×
提示
确定
请完成安全验证×
copy
已复制链接
快去分享给好友吧!
我知道了
右上角分享
点击右上角分享
0
联系我们:info@booksci.cn Book学术提供免费学术资源搜索服务,方便国内外学者检索中英文文献。致力于提供最便捷和优质的服务体验。 Copyright © 2023 布克学术 All rights reserved.
京ICP备2023020795号-1
ghs 京公网安备 11010802042870号
Book学术文献互助
Book学术文献互助群
群 号:604180095
Book学术官方微信