蛛网膜下腔出血致Pudendal Ganglion和Onuf核连接损伤后尿道动脉的变化。

IF 1.2 Q3 MEDICINE, GENERAL & INTERNAL
Mehmet Hakan Şahin
{"title":"蛛网膜下腔出血致Pudendal Ganglion和Onuf核连接损伤后尿道动脉的变化。","authors":"Mehmet Hakan Şahin","doi":"10.5152/eurasianjmed.xxx","DOIUrl":null,"url":null,"abstract":"<p><strong>Objective: </strong>Onuf's nucleus is an anatomical structure essential in the regulation of urogenital functions. Lumbosacral pathologies may cause changes in urogenital circulation due to Onuf's nucleus injury; however, there is limited evidence corroborating the relationship between spinal cord injury and urethral artery changes.</p><p><strong>Materials and methods: </strong>We used 23 sexually mature male rabbits-5 rabbits in the control group (GI), 5 rabbits in the sham group (GII), and 13 rabbits in the experimental group (GIII; received autologous blood transfusion into the T12-L1 subarachnoid space to induce subarachnoid hemorrhage (SAH). The GIII underwent a S1-3 laminectomy after 2 weeks and was decapitated. Histologic specimens were prepared to examine changes in Onuf's nucleus, pudendal ganglion, and urethral arteries. The density of damaged neurons and vasospasm index (VSI) in the urethral artery were evaluated.</p><p><strong>Results: </strong>The mean density of damaged neurons (n/mm3 ) in Onuf's nucleus and pudendal ganglia (S3) and the mean VSI of the 3 groups were as follows-GI: 6 ± 2 per mm3 , 12 ± 4 per mm3 , and 1.63 ± 0.25, respectively; GII: 27 ± 6 per mm3 , 221 ± 62 per mm3 , and 1.97 ± 0.36, respectively; GIII: 154 ± 41 per mm3 , 1890 ± 541 per mm3 , and 3.04 ± 0.95 (P < .05 each for GI/GII, GI/GIII, and GII/GIII). Neuronal damage criteria, such as cytoplasmic condensation and cytoplasmic halo formation, were more prominent in GIII.</p><p><strong>Conclusion: </strong>SAH can lead to ischemia of the Onuf's nucleus-pudendal nerve structures due to urethral artery spasm, resulting in urogenital complications.</p>","PeriodicalId":53592,"journal":{"name":"Eurasian Journal of Medicine","volume":"55 3","pages":"239-242"},"PeriodicalIF":1.2000,"publicationDate":"2023-10-01","publicationTypes":"Journal Article","fieldsOfStudy":null,"isOpenAccess":false,"openAccessPdf":"https://www.ncbi.nlm.nih.gov/pmc/articles/PMC10724795/pdf/","citationCount":"0","resultStr":"{\"title\":\"Changes in the Urethral Artery After Experimental Subarachnoid Hemorrhage-Induced Injury of the Pudendal Ganglion and Onuf's Nucleus Junction.\",\"authors\":\"Mehmet Hakan Şahin\",\"doi\":\"10.5152/eurasianjmed.xxx\",\"DOIUrl\":null,\"url\":null,\"abstract\":\"<p><strong>Objective: </strong>Onuf's nucleus is an anatomical structure essential in the regulation of urogenital functions. Lumbosacral pathologies may cause changes in urogenital circulation due to Onuf's nucleus injury; however, there is limited evidence corroborating the relationship between spinal cord injury and urethral artery changes.</p><p><strong>Materials and methods: </strong>We used 23 sexually mature male rabbits-5 rabbits in the control group (GI), 5 rabbits in the sham group (GII), and 13 rabbits in the experimental group (GIII; received autologous blood transfusion into the T12-L1 subarachnoid space to induce subarachnoid hemorrhage (SAH). The GIII underwent a S1-3 laminectomy after 2 weeks and was decapitated. Histologic specimens were prepared to examine changes in Onuf's nucleus, pudendal ganglion, and urethral arteries. The density of damaged neurons and vasospasm index (VSI) in the urethral artery were evaluated.</p><p><strong>Results: </strong>The mean density of damaged neurons (n/mm3 ) in Onuf's nucleus and pudendal ganglia (S3) and the mean VSI of the 3 groups were as follows-GI: 6 ± 2 per mm3 , 12 ± 4 per mm3 , and 1.63 ± 0.25, respectively; GII: 27 ± 6 per mm3 , 221 ± 62 per mm3 , and 1.97 ± 0.36, respectively; GIII: 154 ± 41 per mm3 , 1890 ± 541 per mm3 , and 3.04 ± 0.95 (P < .05 each for GI/GII, GI/GIII, and GII/GIII). Neuronal damage criteria, such as cytoplasmic condensation and cytoplasmic halo formation, were more prominent in GIII.</p><p><strong>Conclusion: </strong>SAH can lead to ischemia of the Onuf's nucleus-pudendal nerve structures due to urethral artery spasm, resulting in urogenital complications.</p>\",\"PeriodicalId\":53592,\"journal\":{\"name\":\"Eurasian Journal of Medicine\",\"volume\":\"55 3\",\"pages\":\"239-242\"},\"PeriodicalIF\":1.2000,\"publicationDate\":\"2023-10-01\",\"publicationTypes\":\"Journal Article\",\"fieldsOfStudy\":null,\"isOpenAccess\":false,\"openAccessPdf\":\"https://www.ncbi.nlm.nih.gov/pmc/articles/PMC10724795/pdf/\",\"citationCount\":\"0\",\"resultStr\":null,\"platform\":\"Semanticscholar\",\"paperid\":null,\"PeriodicalName\":\"Eurasian Journal of Medicine\",\"FirstCategoryId\":\"1085\",\"ListUrlMain\":\"https://doi.org/10.5152/eurasianjmed.xxx\",\"RegionNum\":0,\"RegionCategory\":null,\"ArticlePicture\":[],\"TitleCN\":null,\"AbstractTextCN\":null,\"PMCID\":null,\"EPubDate\":\"\",\"PubModel\":\"\",\"JCR\":\"Q3\",\"JCRName\":\"MEDICINE, GENERAL & INTERNAL\",\"Score\":null,\"Total\":0}","platform":"Semanticscholar","paperid":null,"PeriodicalName":"Eurasian Journal of Medicine","FirstCategoryId":"1085","ListUrlMain":"https://doi.org/10.5152/eurasianjmed.xxx","RegionNum":0,"RegionCategory":null,"ArticlePicture":[],"TitleCN":null,"AbstractTextCN":null,"PMCID":null,"EPubDate":"","PubModel":"","JCR":"Q3","JCRName":"MEDICINE, GENERAL & INTERNAL","Score":null,"Total":0}
引用次数: 0

摘要

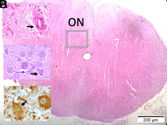
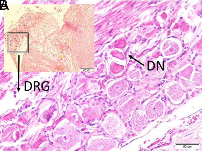
目的:奥努夫核是调节泌尿生殖功能的重要解剖结构。腰骶部病变可能导致奥努夫核损伤引起的泌尿生殖系统循环变化;然而,证实脊髓损伤与尿道动脉改变之间关系的证据有限。材料和方法:我们使用23只性成熟的雄性兔子,对照组(GI)5只,假手术组(GII)5只和实验组(GIII)13只;接受T12-L1蛛网膜下腔自体输血诱导蛛网膜下腔出血(SAH)。GIII在2周后接受了S1-3椎板切除术,并被斩首。制备组织学标本以检查奥努夫核、阴部神经节和尿道动脉的变化。测定尿道动脉损伤神经元密度和血管痉挛指数(VSI)。结果:奥努夫核和阴部神经节(S3)损伤神经元的平均密度(n/mm3)和平均VSI分别为:6±2/mm3、12±4/mm3和1.63±0.25;GII:分别为27±6/mm3、221±62/mm3和1.97±0.36;GIII:154±41/mm3、1890±541/mm3和3.04±0.95(GI/GII、GI/GII和GII/GIII各P<0.05)。结论:SAH可导致尿道动脉痉挛引起的Onuf阴部神经核结构缺血,导致泌尿生殖道并发症。
本文章由计算机程序翻译,如有差异,请以英文原文为准。

Changes in the Urethral Artery After Experimental Subarachnoid Hemorrhage-Induced Injury of the Pudendal Ganglion and Onuf's Nucleus Junction.

Changes in the Urethral Artery After Experimental Subarachnoid Hemorrhage-Induced Injury of the Pudendal Ganglion and Onuf's Nucleus Junction.

Changes in the Urethral Artery After Experimental Subarachnoid Hemorrhage-Induced Injury of the Pudendal Ganglion and Onuf's Nucleus Junction.

Changes in the Urethral Artery After Experimental Subarachnoid Hemorrhage-Induced Injury of the Pudendal Ganglion and Onuf's Nucleus Junction.

Objective: Onuf's nucleus is an anatomical structure essential in the regulation of urogenital functions. Lumbosacral pathologies may cause changes in urogenital circulation due to Onuf's nucleus injury; however, there is limited evidence corroborating the relationship between spinal cord injury and urethral artery changes.

Materials and methods: We used 23 sexually mature male rabbits-5 rabbits in the control group (GI), 5 rabbits in the sham group (GII), and 13 rabbits in the experimental group (GIII; received autologous blood transfusion into the T12-L1 subarachnoid space to induce subarachnoid hemorrhage (SAH). The GIII underwent a S1-3 laminectomy after 2 weeks and was decapitated. Histologic specimens were prepared to examine changes in Onuf's nucleus, pudendal ganglion, and urethral arteries. The density of damaged neurons and vasospasm index (VSI) in the urethral artery were evaluated.

Results: The mean density of damaged neurons (n/mm3 ) in Onuf's nucleus and pudendal ganglia (S3) and the mean VSI of the 3 groups were as follows-GI: 6 ± 2 per mm3 , 12 ± 4 per mm3 , and 1.63 ± 0.25, respectively; GII: 27 ± 6 per mm3 , 221 ± 62 per mm3 , and 1.97 ± 0.36, respectively; GIII: 154 ± 41 per mm3 , 1890 ± 541 per mm3 , and 3.04 ± 0.95 (P < .05 each for GI/GII, GI/GIII, and GII/GIII). Neuronal damage criteria, such as cytoplasmic condensation and cytoplasmic halo formation, were more prominent in GIII.

Conclusion: SAH can lead to ischemia of the Onuf's nucleus-pudendal nerve structures due to urethral artery spasm, resulting in urogenital complications.

求助全文
通过发布文献求助,成功后即可免费获取论文全文。 去求助
来源期刊
Eurasian Journal of Medicine
Eurasian Journal of Medicine Medicine-Medicine (all)
CiteScore
1.90
自引率
6.70%
发文量
59
审稿时长
16 weeks
期刊介绍: Eurasian Journal of Medicine (Eurasian J Med) is an international, scientific, open access periodical published by independent, unbiased, and triple-blinded peer-review principles. The journal is the official publication of Atatürk University School of Medicine and published triannually in February, June, and October. The publication language of the journal is English. The aim of the Eurasian Journal of Medicine is to publish original research papers of the highest scientific and clinical value in all medical fields. The Eurasian J Med also includes reviews, editorial short notes and letters to the editor that either as a comment related to recently published articles in our journal or as a case report. The target audience of the journal includes researchers, physicians and healthcare professionals who are interested or working in in all medical disciplines.
×
引用
GB/T 7714-2015
复制
MLA
复制
APA
复制
导出至
BibTeX EndNote RefMan NoteFirst NoteExpress
×
提示
您的信息不完整,为了账户安全,请先补充。
现在去补充
×
提示
您因"违规操作"
具体请查看互助需知
我知道了
×
提示
确定
请完成安全验证×
copy
已复制链接
快去分享给好友吧!
我知道了
右上角分享
点击右上角分享
0
联系我们:info@booksci.cn Book学术提供免费学术资源搜索服务,方便国内外学者检索中英文文献。致力于提供最便捷和优质的服务体验。 Copyright © 2023 布克学术 All rights reserved.
京ICP备2023020795号-1
ghs 京公网安备 11010802042870号
Book学术文献互助
Book学术文献互助群
群 号:604180095
Book学术官方微信