牙源性囊肿和口腔鳞状细胞癌的光和超微结构分析。

Q3 Medicine
Journal of Microscopy and Ultrastructure Pub Date : 2023-09-08 eCollection Date: 2025-07-01 DOI:10.4103/jmau.jmau_64_23
Tanvi Handa, Shally Gupta, Simranjit Singh, Anubha Gulati
{"title":"牙源性囊肿和口腔鳞状细胞癌的光和超微结构分析。","authors":"Tanvi Handa, Shally Gupta, Simranjit Singh, Anubha Gulati","doi":"10.4103/jmau.jmau_64_23","DOIUrl":null,"url":null,"abstract":"<p><strong>Background: </strong>The aim of the study was to evaluate the desmosomal and hemidesmosomal attachments in common odontogenic cysts (radicular cyst [RC], odontogenic keratocyst [OKC], and dentigerous cyst [DC]), oral fibroma, and oral squamous cell carcinoma (OSCC). The disruption pattern in OKC was also compared with that of OSCC.</p><p><strong>Materials and methods: </strong>The 125 subjects included in the study were equally divided into five study groups - oral fibroma (Group I - control group), RC (Group II - test group), DC (Group III - test group), OKC (Group IV - test group), and OSCC (Group V - positive control). The clinical diagnosis was confirmed by histopathology, and the disruption was accessed through scanning electron microscopic images.</p><p><strong>Results: </strong>Oral fibroma displayed maximum intact desmosomes and hemidesmosomes and minimal disruption while in OSCC minimum intact desmosomes and hemidesmosomes were evident. Amongst the odontogenic cysts studied, OKC displayed maximum disrupted desmosomes and hemidesmsomes. Further, when OKC and OSCC were compared the completely intact desmosomes and hemidesmosomes were more in OKC than OSCC. The <i>P</i> value was set at <0.05.</p><p><strong>Conclusion: </strong>The study revealed that even though the defect in oral fibroma lies in the connective tissue, trauma or irritation as the etiology likely leads to minimal disruption in these intercellular junctions. These cell junctions were less evident in the case of DC owing to compression of the epithelial lining. The disruption of junctions in radicular cysts was more than those seen in oral fibroma. Compared to the other two cysts, OKCs displayed a much higher proportion of disruption in these cell junctions reflective of their more aggressive clinical behavior. OSCC displayed maximum disruption of cell junctions, which indicated that these disruptions play a role in both carcinogenesis and tumor invasion.</p>","PeriodicalId":16340,"journal":{"name":"Journal of Microscopy and Ultrastructure","volume":"1 1","pages":"142-150"},"PeriodicalIF":0.0000,"publicationDate":"2023-09-08","publicationTypes":"Journal Article","fieldsOfStudy":null,"isOpenAccess":false,"openAccessPdf":"https://www.ncbi.nlm.nih.gov/pmc/articles/PMC12499933/pdf/","citationCount":"0","resultStr":"{\"title\":\"A Light and Ultrastructural Analysis in Odontogenic Cysts and Oral Squamous Cell Carcinoma.\",\"authors\":\"Tanvi Handa, Shally Gupta, Simranjit Singh, Anubha Gulati\",\"doi\":\"10.4103/jmau.jmau_64_23\",\"DOIUrl\":null,\"url\":null,\"abstract\":\"<p><strong>Background: </strong>The aim of the study was to evaluate the desmosomal and hemidesmosomal attachments in common odontogenic cysts (radicular cyst [RC], odontogenic keratocyst [OKC], and dentigerous cyst [DC]), oral fibroma, and oral squamous cell carcinoma (OSCC). The disruption pattern in OKC was also compared with that of OSCC.</p><p><strong>Materials and methods: </strong>The 125 subjects included in the study were equally divided into five study groups - oral fibroma (Group I - control group), RC (Group II - test group), DC (Group III - test group), OKC (Group IV - test group), and OSCC (Group V - positive control). The clinical diagnosis was confirmed by histopathology, and the disruption was accessed through scanning electron microscopic images.</p><p><strong>Results: </strong>Oral fibroma displayed maximum intact desmosomes and hemidesmosomes and minimal disruption while in OSCC minimum intact desmosomes and hemidesmosomes were evident. Amongst the odontogenic cysts studied, OKC displayed maximum disrupted desmosomes and hemidesmsomes. Further, when OKC and OSCC were compared the completely intact desmosomes and hemidesmosomes were more in OKC than OSCC. The <i>P</i> value was set at <0.05.</p><p><strong>Conclusion: </strong>The study revealed that even though the defect in oral fibroma lies in the connective tissue, trauma or irritation as the etiology likely leads to minimal disruption in these intercellular junctions. These cell junctions were less evident in the case of DC owing to compression of the epithelial lining. The disruption of junctions in radicular cysts was more than those seen in oral fibroma. Compared to the other two cysts, OKCs displayed a much higher proportion of disruption in these cell junctions reflective of their more aggressive clinical behavior. OSCC displayed maximum disruption of cell junctions, which indicated that these disruptions play a role in both carcinogenesis and tumor invasion.</p>\",\"PeriodicalId\":16340,\"journal\":{\"name\":\"Journal of Microscopy and Ultrastructure\",\"volume\":\"1 1\",\"pages\":\"142-150\"},\"PeriodicalIF\":0.0000,\"publicationDate\":\"2023-09-08\",\"publicationTypes\":\"Journal Article\",\"fieldsOfStudy\":null,\"isOpenAccess\":false,\"openAccessPdf\":\"https://www.ncbi.nlm.nih.gov/pmc/articles/PMC12499933/pdf/\",\"citationCount\":\"0\",\"resultStr\":null,\"platform\":\"Semanticscholar\",\"paperid\":null,\"PeriodicalName\":\"Journal of Microscopy and Ultrastructure\",\"FirstCategoryId\":\"1085\",\"ListUrlMain\":\"https://doi.org/10.4103/jmau.jmau_64_23\",\"RegionNum\":0,\"RegionCategory\":null,\"ArticlePicture\":[],\"TitleCN\":null,\"AbstractTextCN\":null,\"PMCID\":null,\"EPubDate\":\"2025/7/1 0:00:00\",\"PubModel\":\"eCollection\",\"JCR\":\"Q3\",\"JCRName\":\"Medicine\",\"Score\":null,\"Total\":0}","platform":"Semanticscholar","paperid":null,"PeriodicalName":"Journal of Microscopy and Ultrastructure","FirstCategoryId":"1085","ListUrlMain":"https://doi.org/10.4103/jmau.jmau_64_23","RegionNum":0,"RegionCategory":null,"ArticlePicture":[],"TitleCN":null,"AbstractTextCN":null,"PMCID":null,"EPubDate":"2025/7/1 0:00:00","PubModel":"eCollection","JCR":"Q3","JCRName":"Medicine","Score":null,"Total":0}
引用次数: 0

摘要

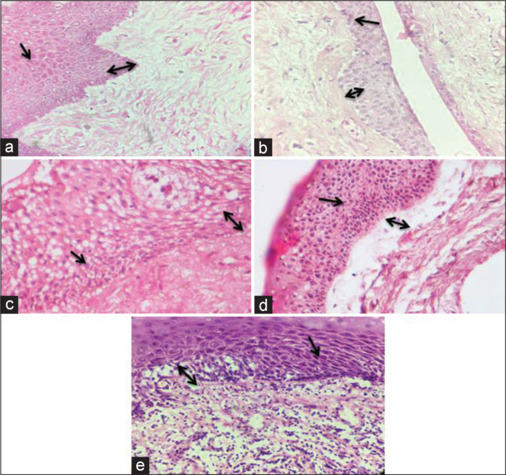
背景:本研究的目的是评估常见牙源性囊肿(根状囊肿[RC]、牙源性角化囊肿[OKC]和牙源性囊肿[DC])、口腔纤维瘤和口腔鳞状细胞癌(OSCC)的桥粒体和半桥粒体附着。OKC与OSCC的中断模式也进行了比较。材料与方法:将125例纳入研究的受试者平均分为口腔纤维瘤(I组-对照组)、RC (II组-试验组)、DC (III组-试验组)、OKC (IV组-试验组)和OSCC (V组-阳性对照组)5个研究组。临床诊断经组织病理学证实,并通过扫描电镜图像获取破坏。结果:口腔纤维瘤表现为最多完整的桥粒和半粒,最小的破坏,而OSCC则表现为最少完整的桥粒和半粒。在研究的牙源性囊肿中,OKC显示出最大的桥粒和半粒破坏。此外,当比较OKC和OSCC时,OKC中完整的桥粒和半桥粒比OSCC中更多。结论:本研究表明,尽管口腔纤维瘤的缺陷存在于结缔组织中,但创伤或刺激作为病因可能导致这些细胞间连接的最小破坏。由于上皮内层的压迫,这些细胞连接在DC病例中不太明显。神经根性囊肿的连接破坏多于口腔纤维瘤。与其他两种囊肿相比,OKCs在这些细胞连接中显示出更高比例的破坏,这反映了它们更具侵略性的临床行为。OSCC表现出最大程度的细胞连接破坏,这表明这些破坏在癌变和肿瘤侵袭中都起作用。
本文章由计算机程序翻译,如有差异,请以英文原文为准。

A Light and Ultrastructural Analysis in Odontogenic Cysts and Oral Squamous Cell Carcinoma.

A Light and Ultrastructural Analysis in Odontogenic Cysts and Oral Squamous Cell Carcinoma.

A Light and Ultrastructural Analysis in Odontogenic Cysts and Oral Squamous Cell Carcinoma.

A Light and Ultrastructural Analysis in Odontogenic Cysts and Oral Squamous Cell Carcinoma.

Background: The aim of the study was to evaluate the desmosomal and hemidesmosomal attachments in common odontogenic cysts (radicular cyst [RC], odontogenic keratocyst [OKC], and dentigerous cyst [DC]), oral fibroma, and oral squamous cell carcinoma (OSCC). The disruption pattern in OKC was also compared with that of OSCC.

Materials and methods: The 125 subjects included in the study were equally divided into five study groups - oral fibroma (Group I - control group), RC (Group II - test group), DC (Group III - test group), OKC (Group IV - test group), and OSCC (Group V - positive control). The clinical diagnosis was confirmed by histopathology, and the disruption was accessed through scanning electron microscopic images.

Results: Oral fibroma displayed maximum intact desmosomes and hemidesmosomes and minimal disruption while in OSCC minimum intact desmosomes and hemidesmosomes were evident. Amongst the odontogenic cysts studied, OKC displayed maximum disrupted desmosomes and hemidesmsomes. Further, when OKC and OSCC were compared the completely intact desmosomes and hemidesmosomes were more in OKC than OSCC. The P value was set at <0.05.

Conclusion: The study revealed that even though the defect in oral fibroma lies in the connective tissue, trauma or irritation as the etiology likely leads to minimal disruption in these intercellular junctions. These cell junctions were less evident in the case of DC owing to compression of the epithelial lining. The disruption of junctions in radicular cysts was more than those seen in oral fibroma. Compared to the other two cysts, OKCs displayed a much higher proportion of disruption in these cell junctions reflective of their more aggressive clinical behavior. OSCC displayed maximum disruption of cell junctions, which indicated that these disruptions play a role in both carcinogenesis and tumor invasion.

求助全文
通过发布文献求助,成功后即可免费获取论文全文。 去求助
来源期刊
CiteScore
1.90
自引率
0.00%
发文量
46
×
引用
GB/T 7714-2015
复制
MLA
复制
APA
复制
导出至
BibTeX EndNote RefMan NoteFirst NoteExpress
×
提示
您的信息不完整,为了账户安全,请先补充。
现在去补充
×
提示
您因"违规操作"
具体请查看互助需知
我知道了
×
提示
确定
请完成安全验证×
copy
已复制链接
快去分享给好友吧!
我知道了
右上角分享
点击右上角分享
0
联系我们:info@booksci.cn Book学术提供免费学术资源搜索服务,方便国内外学者检索中英文文献。致力于提供最便捷和优质的服务体验。 Copyright © 2023 布克学术 All rights reserved.
京ICP备2023020795号-1
ghs 京公网安备 11010802042870号
Book学术文献互助
Book学术文献互助群
群 号:604180095
Book学术官方微信