感染性骨髓穿刺的形态学特征:临床血液学分析。

Q3 Medicine
Journal of Microscopy and Ultrastructure Pub Date : 2023-09-06 eCollection Date: 2024-07-01 DOI:10.4103/jmau.jmau_20_23
Divya Aggarwal, Shilpi More, Ritika Singh, Meera Sikka, Mrinalini Kotru
{"title":"感染性骨髓穿刺的形态学特征:临床血液学分析。","authors":"Divya Aggarwal, Shilpi More, Ritika Singh, Meera Sikka, Mrinalini Kotru","doi":"10.4103/jmau.jmau_20_23","DOIUrl":null,"url":null,"abstract":"<p><strong>Context: </strong>Bone marrow examination (BME) is an invaluable tool for cases with pyrexia of unknown origin and pancytopenia. However, it is under-utilized for diagnosing infectious etiology and there is a paucity of literature regarding its role in infective pathology.</p><p><strong>Aims: </strong>This study aims to bring to light the role of BME in diagnosing infectious pathology.</p><p><strong>Settings and design: </strong>A retrospective study was carried out on bone marrow aspirates (BMAs) sent to the hematology department over the past 4 years. Clinical details, peripheral smears and BMA were retrieved from the records and analyzed.</p><p><strong>Subjects and methods: </strong>Leishman-stained peripheral smears and BMA were studied along with bone marrow biopsy wherever feasible.</p><p><strong>Results: </strong>A total of 52 cases were studied. The most common clinical presentation was fever, clinical finding was splenomegaly and hematological finding was anemia. Based on the morphological findings in combination with clinical history, cases were categorized into-parasitic (26.9%), viral (23.1%), tubercular (11.5%), and nonspecific infections (38.5%). Parasites such as <i>Leishmania donovani</i>, microfilaria, plasmodium falciparum, and vivax were reported in 14/52 (27%) cases. Associated BMA findings were plasmacytosis, eosinophilia, reactive lymphocytosis, or dyserythopoiesis. In 38% (20/52) cases, no specific cause of infection was found in the bone marrow. These patients showed histiocytosis, hemophagocytosis, maturation arrest in myeloid lineage, relative myeloid hyperplasia, dysmyelopoiesis, toxic granulation/vacuolation in myeloid cells, lymphocytosis, increased plasma cells or monocytosis in marrow.</p><p><strong>Conclusions: </strong>Increased histiocytes, hemophagocytosis, dysplastic changes, maturation arrest, relative myeloid hyperplasia or reactive plasmacytosis, lymphocytosis, and monocytosis are BMA features which must alert the pathologist towards an infectious disease process, a knowledge of these changes can help extend the scope of BME beyond hemato-lymphoid malignancies.</p>","PeriodicalId":16340,"journal":{"name":"Journal of Microscopy and Ultrastructure","volume":"1 1","pages":"114-119"},"PeriodicalIF":0.0000,"publicationDate":"2023-09-06","publicationTypes":"Journal Article","fieldsOfStudy":null,"isOpenAccess":false,"openAccessPdf":"https://www.ncbi.nlm.nih.gov/pmc/articles/PMC11537354/pdf/","citationCount":"0","resultStr":"{\"title\":\"Morphological Spectrum of Bone Marrow Aspirates in Infections: A Clinico-Hematological Analysis.\",\"authors\":\"Divya Aggarwal, Shilpi More, Ritika Singh, Meera Sikka, Mrinalini Kotru\",\"doi\":\"10.4103/jmau.jmau_20_23\",\"DOIUrl\":null,\"url\":null,\"abstract\":\"<p><strong>Context: </strong>Bone marrow examination (BME) is an invaluable tool for cases with pyrexia of unknown origin and pancytopenia. However, it is under-utilized for diagnosing infectious etiology and there is a paucity of literature regarding its role in infective pathology.</p><p><strong>Aims: </strong>This study aims to bring to light the role of BME in diagnosing infectious pathology.</p><p><strong>Settings and design: </strong>A retrospective study was carried out on bone marrow aspirates (BMAs) sent to the hematology department over the past 4 years. Clinical details, peripheral smears and BMA were retrieved from the records and analyzed.</p><p><strong>Subjects and methods: </strong>Leishman-stained peripheral smears and BMA were studied along with bone marrow biopsy wherever feasible.</p><p><strong>Results: </strong>A total of 52 cases were studied. The most common clinical presentation was fever, clinical finding was splenomegaly and hematological finding was anemia. Based on the morphological findings in combination with clinical history, cases were categorized into-parasitic (26.9%), viral (23.1%), tubercular (11.5%), and nonspecific infections (38.5%). Parasites such as <i>Leishmania donovani</i>, microfilaria, plasmodium falciparum, and vivax were reported in 14/52 (27%) cases. Associated BMA findings were plasmacytosis, eosinophilia, reactive lymphocytosis, or dyserythopoiesis. In 38% (20/52) cases, no specific cause of infection was found in the bone marrow. These patients showed histiocytosis, hemophagocytosis, maturation arrest in myeloid lineage, relative myeloid hyperplasia, dysmyelopoiesis, toxic granulation/vacuolation in myeloid cells, lymphocytosis, increased plasma cells or monocytosis in marrow.</p><p><strong>Conclusions: </strong>Increased histiocytes, hemophagocytosis, dysplastic changes, maturation arrest, relative myeloid hyperplasia or reactive plasmacytosis, lymphocytosis, and monocytosis are BMA features which must alert the pathologist towards an infectious disease process, a knowledge of these changes can help extend the scope of BME beyond hemato-lymphoid malignancies.</p>\",\"PeriodicalId\":16340,\"journal\":{\"name\":\"Journal of Microscopy and Ultrastructure\",\"volume\":\"1 1\",\"pages\":\"114-119\"},\"PeriodicalIF\":0.0000,\"publicationDate\":\"2023-09-06\",\"publicationTypes\":\"Journal Article\",\"fieldsOfStudy\":null,\"isOpenAccess\":false,\"openAccessPdf\":\"https://www.ncbi.nlm.nih.gov/pmc/articles/PMC11537354/pdf/\",\"citationCount\":\"0\",\"resultStr\":null,\"platform\":\"Semanticscholar\",\"paperid\":null,\"PeriodicalName\":\"Journal of Microscopy and Ultrastructure\",\"FirstCategoryId\":\"1085\",\"ListUrlMain\":\"https://doi.org/10.4103/jmau.jmau_20_23\",\"RegionNum\":0,\"RegionCategory\":null,\"ArticlePicture\":[],\"TitleCN\":null,\"AbstractTextCN\":null,\"PMCID\":null,\"EPubDate\":\"2024/7/1 0:00:00\",\"PubModel\":\"eCollection\",\"JCR\":\"Q3\",\"JCRName\":\"Medicine\",\"Score\":null,\"Total\":0}","platform":"Semanticscholar","paperid":null,"PeriodicalName":"Journal of Microscopy and Ultrastructure","FirstCategoryId":"1085","ListUrlMain":"https://doi.org/10.4103/jmau.jmau_20_23","RegionNum":0,"RegionCategory":null,"ArticlePicture":[],"TitleCN":null,"AbstractTextCN":null,"PMCID":null,"EPubDate":"2024/7/1 0:00:00","PubModel":"eCollection","JCR":"Q3","JCRName":"Medicine","Score":null,"Total":0}
引用次数: 0

摘要

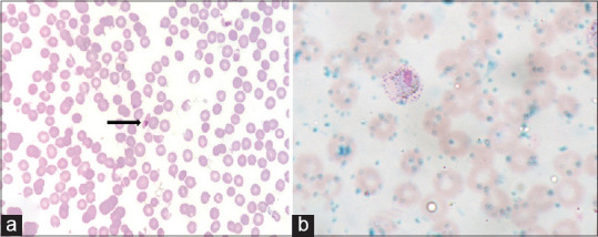
背景:骨髓检查(BME)是不明原因热病和全血细胞减少病例的重要工具。目的:本研究旨在揭示骨髓检查在诊断感染性病理中的作用:本研究对过去 4 年中送往血液科的骨髓穿刺样本(BMA)进行了回顾性研究。从病历中检索并分析了临床细节、外周涂片和骨髓穿刺:研究对象和方法:在可行的情况下,对利什曼染色的外周涂片和 BMA 以及骨髓活检进行研究:结果:共研究了 52 个病例。最常见的临床表现是发热,临床发现是脾肿大,血液学发现是贫血。根据形态学结果和临床病史,病例被分为寄生虫感染(26.9%)、病毒感染(23.1%)、结核感染(11.5%)和非特异性感染(38.5%)。14/52(27%)例报告了寄生虫,如唐氏利什曼原虫、微丝蚴、恶性疟原虫和间日疟原虫。相关的 BMA 检查结果为浆细胞增多、嗜酸性粒细胞增多、反应性淋巴细胞增多或造血功能障碍。38%(20/52)的病例在骨髓中未发现特定的感染原因。这些患者的骨髓中出现组织细胞增多、嗜血细胞增多、髓系成熟停滞、髓系相对增生、骨髓造血功能障碍、髓系细胞中毒性肉芽/空泡、淋巴细胞增多、浆细胞增多或单核细胞增多:组织细胞增多、嗜血细胞增多、增生异常改变、成熟停滞、髓样细胞相对增生或反应性浆细胞增多、淋巴细胞增多和单核细胞增多是 BMA 的特征,病理学家必须警惕感染性疾病过程,对这些变化的了解有助于将 BME 的范围扩展到血液淋巴系统恶性肿瘤以外。
本文章由计算机程序翻译,如有差异,请以英文原文为准。

Morphological Spectrum of Bone Marrow Aspirates in Infections: A Clinico-Hematological Analysis.

Morphological Spectrum of Bone Marrow Aspirates in Infections: A Clinico-Hematological Analysis.

Morphological Spectrum of Bone Marrow Aspirates in Infections: A Clinico-Hematological Analysis.

Morphological Spectrum of Bone Marrow Aspirates in Infections: A Clinico-Hematological Analysis.

Context: Bone marrow examination (BME) is an invaluable tool for cases with pyrexia of unknown origin and pancytopenia. However, it is under-utilized for diagnosing infectious etiology and there is a paucity of literature regarding its role in infective pathology.

Aims: This study aims to bring to light the role of BME in diagnosing infectious pathology.

Settings and design: A retrospective study was carried out on bone marrow aspirates (BMAs) sent to the hematology department over the past 4 years. Clinical details, peripheral smears and BMA were retrieved from the records and analyzed.

Subjects and methods: Leishman-stained peripheral smears and BMA were studied along with bone marrow biopsy wherever feasible.

Results: A total of 52 cases were studied. The most common clinical presentation was fever, clinical finding was splenomegaly and hematological finding was anemia. Based on the morphological findings in combination with clinical history, cases were categorized into-parasitic (26.9%), viral (23.1%), tubercular (11.5%), and nonspecific infections (38.5%). Parasites such as Leishmania donovani, microfilaria, plasmodium falciparum, and vivax were reported in 14/52 (27%) cases. Associated BMA findings were plasmacytosis, eosinophilia, reactive lymphocytosis, or dyserythopoiesis. In 38% (20/52) cases, no specific cause of infection was found in the bone marrow. These patients showed histiocytosis, hemophagocytosis, maturation arrest in myeloid lineage, relative myeloid hyperplasia, dysmyelopoiesis, toxic granulation/vacuolation in myeloid cells, lymphocytosis, increased plasma cells or monocytosis in marrow.

Conclusions: Increased histiocytes, hemophagocytosis, dysplastic changes, maturation arrest, relative myeloid hyperplasia or reactive plasmacytosis, lymphocytosis, and monocytosis are BMA features which must alert the pathologist towards an infectious disease process, a knowledge of these changes can help extend the scope of BME beyond hemato-lymphoid malignancies.

求助全文
通过发布文献求助,成功后即可免费获取论文全文。 去求助
来源期刊
CiteScore
1.90
自引率
0.00%
发文量
46
×
引用
GB/T 7714-2015
复制
MLA
复制
APA
复制
导出至
BibTeX EndNote RefMan NoteFirst NoteExpress
×
提示
您的信息不完整,为了账户安全,请先补充。
现在去补充
×
提示
您因"违规操作"
具体请查看互助需知
我知道了
×
提示
确定
请完成安全验证×
copy
已复制链接
快去分享给好友吧!
我知道了
右上角分享
点击右上角分享
0
联系我们:info@booksci.cn Book学术提供免费学术资源搜索服务,方便国内外学者检索中英文文献。致力于提供最便捷和优质的服务体验。 Copyright © 2023 布克学术 All rights reserved.
京ICP备2023020795号-1
ghs 京公网安备 11010802042870号
Book学术文献互助
Book学术文献互助群
群 号:604180095
Book学术官方微信