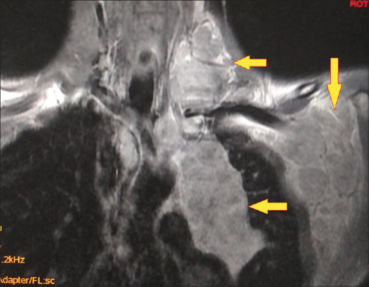
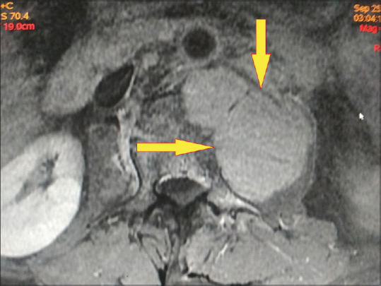
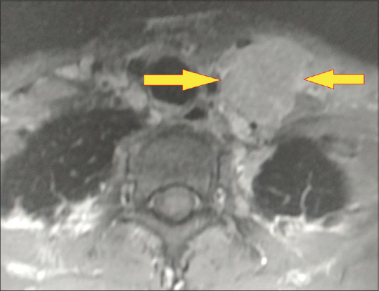
结核性脊柱炎患者合并霍奇金淋巴瘤。

Q3 Medicine
Journal of Microscopy and Ultrastructure Pub Date : 2023-01-19 eCollection Date: 2023-10-01 DOI:10.4103/jmau.jmau_128_20
Ravikanth Reddy
{"title":"结核性脊柱炎患者合并霍奇金淋巴瘤。","authors":"Ravikanth Reddy","doi":"10.4103/jmau.jmau_128_20","DOIUrl":null,"url":null,"abstract":"<p><p>Concomitant Hodgkin's lymphoma with tuberculosis is an exceedingly rare clinical scenario and a condition that is difficult to manage due to similar clinical presentation. This case report describes the same in a 44-year-old male patient diagnosed with Koch's and initiated on antituberculosis therapy, based on confirmation of findings from the spine biopsy and culture. The patient's clinical condition worsened despite being on treatment for tuberculosis. Hence, further work up of the patient was done which included mediastinoscopy and endobronchial ultrasound. Biopsy samples from a conglomerate mass in the lower cervical region and mediastinum revealed Hodgkin's lymphoma of the nodular sclerosis type. This time, the patient showed significant improvement following treatment with chemotherapy and radiotherapy along with antituberculosis therapy.</p>","PeriodicalId":16340,"journal":{"name":"Journal of Microscopy and Ultrastructure","volume":"1 1","pages":"242-244"},"PeriodicalIF":0.0000,"publicationDate":"2023-01-19","publicationTypes":"Journal Article","fieldsOfStudy":null,"isOpenAccess":false,"openAccessPdf":"https://www.ncbi.nlm.nih.gov/pmc/articles/PMC10779446/pdf/","citationCount":"0","resultStr":"{\"title\":\"Concomitant Hodgkin's Lymphoma in a Patient with Tuberculous Spondylitis.\",\"authors\":\"Ravikanth Reddy\",\"doi\":\"10.4103/jmau.jmau_128_20\",\"DOIUrl\":null,\"url\":null,\"abstract\":\"<p><p>Concomitant Hodgkin's lymphoma with tuberculosis is an exceedingly rare clinical scenario and a condition that is difficult to manage due to similar clinical presentation. This case report describes the same in a 44-year-old male patient diagnosed with Koch's and initiated on antituberculosis therapy, based on confirmation of findings from the spine biopsy and culture. The patient's clinical condition worsened despite being on treatment for tuberculosis. Hence, further work up of the patient was done which included mediastinoscopy and endobronchial ultrasound. Biopsy samples from a conglomerate mass in the lower cervical region and mediastinum revealed Hodgkin's lymphoma of the nodular sclerosis type. This time, the patient showed significant improvement following treatment with chemotherapy and radiotherapy along with antituberculosis therapy.</p>\",\"PeriodicalId\":16340,\"journal\":{\"name\":\"Journal of Microscopy and Ultrastructure\",\"volume\":\"1 1\",\"pages\":\"242-244\"},\"PeriodicalIF\":0.0000,\"publicationDate\":\"2023-01-19\",\"publicationTypes\":\"Journal Article\",\"fieldsOfStudy\":null,\"isOpenAccess\":false,\"openAccessPdf\":\"https://www.ncbi.nlm.nih.gov/pmc/articles/PMC10779446/pdf/\",\"citationCount\":\"0\",\"resultStr\":null,\"platform\":\"Semanticscholar\",\"paperid\":null,\"PeriodicalName\":\"Journal of Microscopy and Ultrastructure\",\"FirstCategoryId\":\"1085\",\"ListUrlMain\":\"https://doi.org/10.4103/jmau.jmau_128_20\",\"RegionNum\":0,\"RegionCategory\":null,\"ArticlePicture\":[],\"TitleCN\":null,\"AbstractTextCN\":null,\"PMCID\":null,\"EPubDate\":\"2023/10/1 0:00:00\",\"PubModel\":\"eCollection\",\"JCR\":\"Q3\",\"JCRName\":\"Medicine\",\"Score\":null,\"Total\":0}","platform":"Semanticscholar","paperid":null,"PeriodicalName":"Journal of Microscopy and Ultrastructure","FirstCategoryId":"1085","ListUrlMain":"https://doi.org/10.4103/jmau.jmau_128_20","RegionNum":0,"RegionCategory":null,"ArticlePicture":[],"TitleCN":null,"AbstractTextCN":null,"PMCID":null,"EPubDate":"2023/10/1 0:00:00","PubModel":"eCollection","JCR":"Q3","JCRName":"Medicine","Score":null,"Total":0}
引用次数: 0

摘要

霍奇金淋巴瘤合并结核病是一种极为罕见的临床病例,由于临床表现相似,因此很难处理。本病例报告描述了一名 44 岁男性患者的相同情况,该患者被诊断为科氏淋巴瘤,并在脊柱活检和培养结果证实的基础上开始接受抗结核治疗。尽管接受了结核病治疗,但患者的临床症状仍在恶化。因此,对患者进行了进一步检查,包括纵隔镜检查和支气管内超声检查。从下颈部和纵隔内的聚集性肿块中提取的活检样本显示为结节性硬化型霍奇金淋巴瘤。在接受化疗和放疗以及抗结核治疗后,患者的病情有了明显好转。
本文章由计算机程序翻译,如有差异,请以英文原文为准。

Concomitant Hodgkin's Lymphoma in a Patient with Tuberculous Spondylitis.

Concomitant Hodgkin's Lymphoma in a Patient with Tuberculous Spondylitis.

Concomitant Hodgkin's Lymphoma in a Patient with Tuberculous Spondylitis.

Concomitant Hodgkin's Lymphoma in a Patient with Tuberculous Spondylitis.

Concomitant Hodgkin's lymphoma with tuberculosis is an exceedingly rare clinical scenario and a condition that is difficult to manage due to similar clinical presentation. This case report describes the same in a 44-year-old male patient diagnosed with Koch's and initiated on antituberculosis therapy, based on confirmation of findings from the spine biopsy and culture. The patient's clinical condition worsened despite being on treatment for tuberculosis. Hence, further work up of the patient was done which included mediastinoscopy and endobronchial ultrasound. Biopsy samples from a conglomerate mass in the lower cervical region and mediastinum revealed Hodgkin's lymphoma of the nodular sclerosis type. This time, the patient showed significant improvement following treatment with chemotherapy and radiotherapy along with antituberculosis therapy.

求助全文
通过发布文献求助,成功后即可免费获取论文全文。 去求助
来源期刊
CiteScore
1.90
自引率
0.00%
发文量
46
×
引用
GB/T 7714-2015
复制
MLA
复制
APA
复制
导出至
BibTeX EndNote RefMan NoteFirst NoteExpress
×
提示
您的信息不完整,为了账户安全,请先补充。
现在去补充
×
提示
您因"违规操作"
具体请查看互助需知
我知道了
×
提示
确定
请完成安全验证×
copy
已复制链接
快去分享给好友吧!
我知道了
右上角分享
点击右上角分享
0
联系我们:info@booksci.cn Book学术提供免费学术资源搜索服务,方便国内外学者检索中英文文献。致力于提供最便捷和优质的服务体验。 Copyright © 2023 布克学术 All rights reserved.
京ICP备2023020795号-1
ghs 京公网安备 11010802042870号
Book学术文献互助
Book学术文献互助群
群 号:604180095
Book学术官方微信