通过三维打印获得的部分无牙弓模型的准确性:一项体外研究。

IF 1 Q3 DENTISTRY, ORAL SURGERY & MEDICINE
Míria Rafaelli Souza Curinga, Lucas Cavalcante de Sousa, Ana Larisse Carneiro Pereira, Henrique Vieira de Melo Segundo, Lucas Medeiros Cunha Maciel Dantas, Adriana da Fonte Porto Carreiro
{"title":"通过三维打印获得的部分无牙弓模型的准确性:一项体外研究。","authors":"Míria Rafaelli Souza Curinga, Lucas Cavalcante de Sousa, Ana Larisse Carneiro Pereira, Henrique Vieira de Melo Segundo, Lucas Medeiros Cunha Maciel Dantas, Adriana da Fonte Porto Carreiro","doi":"10.4103/jips.jips_130_23","DOIUrl":null,"url":null,"abstract":"<p><strong>Aim: </strong>The aim of this study was to evaluate the accuracy of models of partially edentulous arches obtained by three-dimensional (3D) printing.</p><p><strong>Settings and design: </strong>This was an in vitro study.</p><p><strong>Materials and methods: </strong>Fifteen partially edentulous models were evaluated, using two methods of measuring dimensions: virtual, using the Standard Tessellation Language files of the models and software (control group), and physical, through printing the models and digital caliper (test group). For both methods, measurements were made regarding the dimensions of the teeth (width and length - buccal/lingual or palatal/occlusal) and distances between the teeth.</p><p><strong>Statistical analysis used: </strong>For the variable of linear measurements (width and length) and distances between teeth of the same hemiarch, the Wilcoxon test was used, while for the variable between opposite hemiarches, the paired t-test was used.</p><p><strong>Results: </strong>In the evaluation of the linear measurements, a significant difference was observed only when the width of the molar tooth was analyzed (P = 0.014). When the buccal length was measured, all teeth had linear measurements provided by the virtual method that was lower than the physical (P = 0.000), as well as the lingual/palatal length in incisors (P = 0.003) and molars (P = 0.009) and in total (P = 0.001). As for the analyses between teeth, no difference was identified between the measurements provided by the virtual method compared to the physical one.</p><p><strong>Conclusions: </strong>The 3D printer used to print partially edentulous models provided linear distortions in the teeth but without changes in the distances between teeth of the same hemiarch and between teeth of opposite hemiarches.</p>","PeriodicalId":22669,"journal":{"name":"The Journal of Indian Prosthodontic Society","volume":"23 4","pages":"356-362"},"PeriodicalIF":1.0000,"publicationDate":"2023-10-01","publicationTypes":"Journal Article","fieldsOfStudy":null,"isOpenAccess":false,"openAccessPdf":"https://www.ncbi.nlm.nih.gov/pmc/articles/PMC10705004/pdf/","citationCount":"0","resultStr":"{\"title\":\"Accuracy of models of partially edentulous arches obtained by three-dimensional printing: An <i>in vitro</i> study.\",\"authors\":\"Míria Rafaelli Souza Curinga, Lucas Cavalcante de Sousa, Ana Larisse Carneiro Pereira, Henrique Vieira de Melo Segundo, Lucas Medeiros Cunha Maciel Dantas, Adriana da Fonte Porto Carreiro\",\"doi\":\"10.4103/jips.jips_130_23\",\"DOIUrl\":null,\"url\":null,\"abstract\":\"<p><strong>Aim: </strong>The aim of this study was to evaluate the accuracy of models of partially edentulous arches obtained by three-dimensional (3D) printing.</p><p><strong>Settings and design: </strong>This was an in vitro study.</p><p><strong>Materials and methods: </strong>Fifteen partially edentulous models were evaluated, using two methods of measuring dimensions: virtual, using the Standard Tessellation Language files of the models and software (control group), and physical, through printing the models and digital caliper (test group). For both methods, measurements were made regarding the dimensions of the teeth (width and length - buccal/lingual or palatal/occlusal) and distances between the teeth.</p><p><strong>Statistical analysis used: </strong>For the variable of linear measurements (width and length) and distances between teeth of the same hemiarch, the Wilcoxon test was used, while for the variable between opposite hemiarches, the paired t-test was used.</p><p><strong>Results: </strong>In the evaluation of the linear measurements, a significant difference was observed only when the width of the molar tooth was analyzed (P = 0.014). When the buccal length was measured, all teeth had linear measurements provided by the virtual method that was lower than the physical (P = 0.000), as well as the lingual/palatal length in incisors (P = 0.003) and molars (P = 0.009) and in total (P = 0.001). As for the analyses between teeth, no difference was identified between the measurements provided by the virtual method compared to the physical one.</p><p><strong>Conclusions: </strong>The 3D printer used to print partially edentulous models provided linear distortions in the teeth but without changes in the distances between teeth of the same hemiarch and between teeth of opposite hemiarches.</p>\",\"PeriodicalId\":22669,\"journal\":{\"name\":\"The Journal of Indian Prosthodontic Society\",\"volume\":\"23 4\",\"pages\":\"356-362\"},\"PeriodicalIF\":1.0000,\"publicationDate\":\"2023-10-01\",\"publicationTypes\":\"Journal Article\",\"fieldsOfStudy\":null,\"isOpenAccess\":false,\"openAccessPdf\":\"https://www.ncbi.nlm.nih.gov/pmc/articles/PMC10705004/pdf/\",\"citationCount\":\"0\",\"resultStr\":null,\"platform\":\"Semanticscholar\",\"paperid\":null,\"PeriodicalName\":\"The Journal of Indian Prosthodontic Society\",\"FirstCategoryId\":\"1085\",\"ListUrlMain\":\"https://doi.org/10.4103/jips.jips_130_23\",\"RegionNum\":0,\"RegionCategory\":null,\"ArticlePicture\":[],\"TitleCN\":null,\"AbstractTextCN\":null,\"PMCID\":null,\"EPubDate\":\"\",\"PubModel\":\"\",\"JCR\":\"Q3\",\"JCRName\":\"DENTISTRY, ORAL SURGERY & MEDICINE\",\"Score\":null,\"Total\":0}","platform":"Semanticscholar","paperid":null,"PeriodicalName":"The Journal of Indian Prosthodontic Society","FirstCategoryId":"1085","ListUrlMain":"https://doi.org/10.4103/jips.jips_130_23","RegionNum":0,"RegionCategory":null,"ArticlePicture":[],"TitleCN":null,"AbstractTextCN":null,"PMCID":null,"EPubDate":"","PubModel":"","JCR":"Q3","JCRName":"DENTISTRY, ORAL SURGERY & MEDICINE","Score":null,"Total":0}
引用次数: 0

摘要

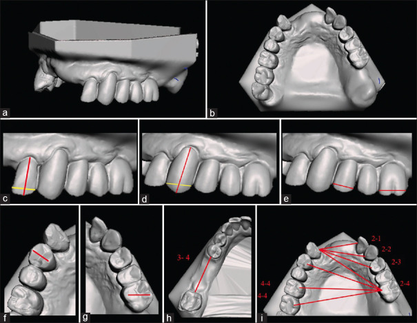
目的:本研究的目的是评估通过三维打印获得的部分无牙弓模型的准确性。设置和设计:这是一项体外研究。材料和方法:使用两种测量尺寸的方法对15个部分缺牙模型进行评估:虚拟,使用模型和软件的标准镶嵌语言文件(对照组);物理,通过打印模型和数字卡尺(测试组)。对于这两种方法,都测量了牙齿的尺寸(宽度和长度——颊侧/舌侧或腭侧/咬合侧)和牙齿之间的距离。使用的统计分析:对于线性测量(宽度和长度)和同一半弓牙齿之间距离的变量,使用Wilcoxon检验,而对于相对半弓之间的变量,则使用配对t检验。结果:在线性测量的评估中,只有当分析臼齿的宽度时才观察到显著差异(P=0.014)。当测量颊长时,所有牙齿都通过虚拟方法提供了低于物理方法的线性测量(P=0.000),以及切牙(P=0.003)和臼齿(P=0.009)以及总长度(P=0.001)的舌腭长度。至于牙齿之间的分析,虚拟方法提供的测量值与物理方法相比没有差异。结论:用于打印部分无牙模型的3D打印机提供了牙齿的线性失真,但相同半弓的牙齿之间和相对半弓的牙之间的距离没有变化。
本文章由计算机程序翻译,如有差异,请以英文原文为准。

Accuracy of models of partially edentulous arches obtained by three-dimensional printing: An <i>in vitro</i> study.

Accuracy of models of partially edentulous arches obtained by three-dimensional printing: An in vitro study.

Aim: The aim of this study was to evaluate the accuracy of models of partially edentulous arches obtained by three-dimensional (3D) printing.

Settings and design: This was an in vitro study.

Materials and methods: Fifteen partially edentulous models were evaluated, using two methods of measuring dimensions: virtual, using the Standard Tessellation Language files of the models and software (control group), and physical, through printing the models and digital caliper (test group). For both methods, measurements were made regarding the dimensions of the teeth (width and length - buccal/lingual or palatal/occlusal) and distances between the teeth.

Statistical analysis used: For the variable of linear measurements (width and length) and distances between teeth of the same hemiarch, the Wilcoxon test was used, while for the variable between opposite hemiarches, the paired t-test was used.

Results: In the evaluation of the linear measurements, a significant difference was observed only when the width of the molar tooth was analyzed (P = 0.014). When the buccal length was measured, all teeth had linear measurements provided by the virtual method that was lower than the physical (P = 0.000), as well as the lingual/palatal length in incisors (P = 0.003) and molars (P = 0.009) and in total (P = 0.001). As for the analyses between teeth, no difference was identified between the measurements provided by the virtual method compared to the physical one.

Conclusions: The 3D printer used to print partially edentulous models provided linear distortions in the teeth but without changes in the distances between teeth of the same hemiarch and between teeth of opposite hemiarches.

求助全文
通过发布文献求助,成功后即可免费获取论文全文。 去求助
来源期刊
The Journal of Indian Prosthodontic Society
The Journal of Indian Prosthodontic Society DENTISTRY, ORAL SURGERY & MEDICINE-
CiteScore
2.20
自引率
8.30%
发文量
26
审稿时长
20 weeks
×
引用
GB/T 7714-2015
复制
MLA
复制
APA
复制
导出至
BibTeX EndNote RefMan NoteFirst NoteExpress
×
提示
您的信息不完整,为了账户安全,请先补充。
现在去补充
×
提示
您因"违规操作"
具体请查看互助需知
我知道了
×
提示
确定
请完成安全验证×
copy
已复制链接
快去分享给好友吧!
我知道了
右上角分享
点击右上角分享
0
联系我们:info@booksci.cn Book学术提供免费学术资源搜索服务,方便国内外学者检索中英文文献。致力于提供最便捷和优质的服务体验。 Copyright © 2023 布克学术 All rights reserved.
京ICP备2023020795号-1
ghs 京公网安备 11010802042870号
Book学术文献互助
Book学术文献互助群
群 号:604180095
Book学术官方微信