内镜下粘膜剥离治疗局部胃粘膜相关淋巴组织淋巴瘤:一个病例系列

Jun-Young Seo, Kee Don Choi, In Hye Song, Young Soo Park, Hee Kyong Na, Ji Yong Ahn, Jeong Hoon Lee, Kee Wook Jung, Do Hoon Kim, Ho June Song, Gin Hyug Lee, Hwoon-Yong Jung
{"title":"内镜下粘膜剥离治疗局部胃粘膜相关淋巴组织淋巴瘤:一个病例系列","authors":"Jun-Young Seo, Kee Don Choi, In Hye Song, Young Soo Park, Hee Kyong Na, Ji Yong Ahn, Jeong Hoon Lee, Kee Wook Jung, Do Hoon Kim, Ho June Song, Gin Hyug Lee, Hwoon-Yong Jung","doi":"10.7704/kjhugr.2023.0025","DOIUrl":null,"url":null,"abstract":"<p><strong>Background/aims: </strong>The treatment for gastric mucosa-associated lymphoid tissue lymphoma (MALToma) generally involves eradication of <i>Helicobacter pylori</i>. However, MALToma lesions may recur even without <i>H. pylori</i> re-infection. Furthermore, the remission rate of <i>H. pylori</i>-negative MALToma after eradication is low. Therefore, herein, we report on endoscopic submucosal dissection (ESD) as a treatment strategy for gastric MALToma.</p><p><strong>Methods: </strong>We retrospectively reviewed the data of all patients of gastric MALToma who underwent endoscopic resection at our institution between January 2000 and December 2021. Clinical remission was defined as complete histological remission or probable minimal residual disease according to the GELA grading system for post-treatment evaluation of gastric MALToma.</p><p><strong>Results: </strong>Six patients with gastric MALToma underwent ESD. Two patients were diagnosed with gastric MALToma, which improved after eradication treatment and relapsed approximately 36 and 41 months later, respectively. These patients had singular lesions localized to the mucosa and did not experience <i>H. pylori</i> re-infection. The lesions were successfully removed via ESD. The remaining four patients had <i>H. pylori</i>-negative gastric MALToma. These patients also had single, localized lesions that were removed via ESD. All the patients remained in clinical remission until the final follow-up.</p><p><strong>Conclusions: </strong>ESD is a safe and effective intervention for <i>H. pylori</i>-negative gastric MALToma when the lesion is single and confined to the mucosal layer.</p>","PeriodicalId":22895,"journal":{"name":"The Korean Journal of Helicobacter and Upper Gastrointestinal Research","volume":" ","pages":"188-196"},"PeriodicalIF":0.0000,"publicationDate":"2023-09-01","publicationTypes":"Journal Article","fieldsOfStudy":null,"isOpenAccess":false,"openAccessPdf":"https://www.ncbi.nlm.nih.gov/pmc/articles/PMC11967490/pdf/","citationCount":"0","resultStr":"{\"title\":\"Endoscopic Submucosal Dissection for Treatment of Localized Gastric Mucosa-associated Lymphoid Tissue Lymphoma: A Case Series.\",\"authors\":\"Jun-Young Seo, Kee Don Choi, In Hye Song, Young Soo Park, Hee Kyong Na, Ji Yong Ahn, Jeong Hoon Lee, Kee Wook Jung, Do Hoon Kim, Ho June Song, Gin Hyug Lee, Hwoon-Yong Jung\",\"doi\":\"10.7704/kjhugr.2023.0025\",\"DOIUrl\":null,\"url\":null,\"abstract\":\"<p><strong>Background/aims: </strong>The treatment for gastric mucosa-associated lymphoid tissue lymphoma (MALToma) generally involves eradication of <i>Helicobacter pylori</i>. However, MALToma lesions may recur even without <i>H. pylori</i> re-infection. Furthermore, the remission rate of <i>H. pylori</i>-negative MALToma after eradication is low. Therefore, herein, we report on endoscopic submucosal dissection (ESD) as a treatment strategy for gastric MALToma.</p><p><strong>Methods: </strong>We retrospectively reviewed the data of all patients of gastric MALToma who underwent endoscopic resection at our institution between January 2000 and December 2021. Clinical remission was defined as complete histological remission or probable minimal residual disease according to the GELA grading system for post-treatment evaluation of gastric MALToma.</p><p><strong>Results: </strong>Six patients with gastric MALToma underwent ESD. Two patients were diagnosed with gastric MALToma, which improved after eradication treatment and relapsed approximately 36 and 41 months later, respectively. These patients had singular lesions localized to the mucosa and did not experience <i>H. pylori</i> re-infection. The lesions were successfully removed via ESD. The remaining four patients had <i>H. pylori</i>-negative gastric MALToma. These patients also had single, localized lesions that were removed via ESD. All the patients remained in clinical remission until the final follow-up.</p><p><strong>Conclusions: </strong>ESD is a safe and effective intervention for <i>H. pylori</i>-negative gastric MALToma when the lesion is single and confined to the mucosal layer.</p>\",\"PeriodicalId\":22895,\"journal\":{\"name\":\"The Korean Journal of Helicobacter and Upper Gastrointestinal Research\",\"volume\":\" \",\"pages\":\"188-196\"},\"PeriodicalIF\":0.0000,\"publicationDate\":\"2023-09-01\",\"publicationTypes\":\"Journal Article\",\"fieldsOfStudy\":null,\"isOpenAccess\":false,\"openAccessPdf\":\"https://www.ncbi.nlm.nih.gov/pmc/articles/PMC11967490/pdf/\",\"citationCount\":\"0\",\"resultStr\":null,\"platform\":\"Semanticscholar\",\"paperid\":null,\"PeriodicalName\":\"The Korean Journal of Helicobacter and Upper Gastrointestinal Research\",\"FirstCategoryId\":\"1085\",\"ListUrlMain\":\"https://doi.org/10.7704/kjhugr.2023.0025\",\"RegionNum\":0,\"RegionCategory\":null,\"ArticlePicture\":[],\"TitleCN\":null,\"AbstractTextCN\":null,\"PMCID\":null,\"EPubDate\":\"2023/8/30 0:00:00\",\"PubModel\":\"Epub\",\"JCR\":\"\",\"JCRName\":\"\",\"Score\":null,\"Total\":0}","platform":"Semanticscholar","paperid":null,"PeriodicalName":"The Korean Journal of Helicobacter and Upper Gastrointestinal Research","FirstCategoryId":"1085","ListUrlMain":"https://doi.org/10.7704/kjhugr.2023.0025","RegionNum":0,"RegionCategory":null,"ArticlePicture":[],"TitleCN":null,"AbstractTextCN":null,"PMCID":null,"EPubDate":"2023/8/30 0:00:00","PubModel":"Epub","JCR":"","JCRName":"","Score":null,"Total":0}
引用次数: 0

摘要

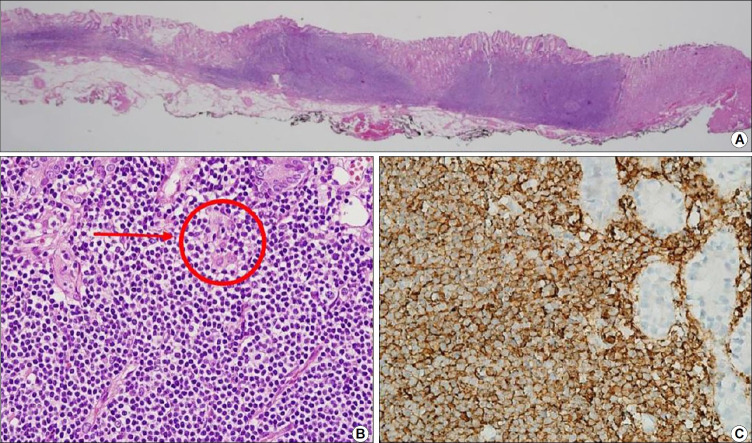
背景/目的:胃黏膜相关淋巴组织淋巴瘤(MALToma)的治疗通常包括根除幽门螺杆菌。然而,即使没有幽门螺杆菌再次感染,MALToma病变也可能复发。此外,幽门螺杆菌阴性MALToma根除后的缓解率较低。因此,在本文中,我们报道了内镜下黏膜下剥离术(ESD)作为胃MALToma的治疗策略。方法:我们回顾性回顾了2000年1月至2021年12月期间在我院接受内镜切除的所有胃MALToma患者的数据。根据胃MAL托马治疗后评估的GELA分级系统,临床缓解被定义为完全的组织学缓解或可能的最小残留疾病。结果:6例胃MALToma患者行ESD治疗。两名患者被诊断为胃MALToma,在根除治疗后病情好转,分别在约36个月和41个月后复发。这些患者有局限于粘膜的独特病变,没有幽门螺杆菌再次感染。通过ESD成功切除病灶。其余4例患者为幽门螺杆菌阴性的胃MALToma。这些患者也有通过ESD切除的单个局部病变。所有患者在最终随访前均处于临床缓解状态。结论:当幽门螺杆菌阴性胃MALToma病变为单一病变且局限于粘膜层时,ESD是一种安全有效的干预措施。(韩国幽门螺杆菌研究杂志2023年8月30日。[印刷前的Epub])
本文章由计算机程序翻译,如有差异,请以英文原文为准。

Endoscopic Submucosal Dissection for Treatment of Localized Gastric Mucosa-associated Lymphoid Tissue Lymphoma: A Case Series.

Endoscopic Submucosal Dissection for Treatment of Localized Gastric Mucosa-associated Lymphoid Tissue Lymphoma: A Case Series.

Endoscopic Submucosal Dissection for Treatment of Localized Gastric Mucosa-associated Lymphoid Tissue Lymphoma: A Case Series.

Endoscopic Submucosal Dissection for Treatment of Localized Gastric Mucosa-associated Lymphoid Tissue Lymphoma: A Case Series.

Background/aims: The treatment for gastric mucosa-associated lymphoid tissue lymphoma (MALToma) generally involves eradication of Helicobacter pylori. However, MALToma lesions may recur even without H. pylori re-infection. Furthermore, the remission rate of H. pylori-negative MALToma after eradication is low. Therefore, herein, we report on endoscopic submucosal dissection (ESD) as a treatment strategy for gastric MALToma.

Methods: We retrospectively reviewed the data of all patients of gastric MALToma who underwent endoscopic resection at our institution between January 2000 and December 2021. Clinical remission was defined as complete histological remission or probable minimal residual disease according to the GELA grading system for post-treatment evaluation of gastric MALToma.

Results: Six patients with gastric MALToma underwent ESD. Two patients were diagnosed with gastric MALToma, which improved after eradication treatment and relapsed approximately 36 and 41 months later, respectively. These patients had singular lesions localized to the mucosa and did not experience H. pylori re-infection. The lesions were successfully removed via ESD. The remaining four patients had H. pylori-negative gastric MALToma. These patients also had single, localized lesions that were removed via ESD. All the patients remained in clinical remission until the final follow-up.

Conclusions: ESD is a safe and effective intervention for H. pylori-negative gastric MALToma when the lesion is single and confined to the mucosal layer.

求助全文
通过发布文献求助,成功后即可免费获取论文全文。 去求助
来源期刊
自引率
0.00%
发文量
41
审稿时长
18 weeks
×
引用
GB/T 7714-2015
复制
MLA
复制
APA
复制
导出至
BibTeX EndNote RefMan NoteFirst NoteExpress
×
提示
您的信息不完整,为了账户安全,请先补充。
现在去补充
×
提示
您因"违规操作"
具体请查看互助需知
我知道了
×
提示
确定
请完成安全验证×
copy
已复制链接
快去分享给好友吧!
我知道了
右上角分享
点击右上角分享
0
联系我们:info@booksci.cn Book学术提供免费学术资源搜索服务,方便国内外学者检索中英文文献。致力于提供最便捷和优质的服务体验。 Copyright © 2023 布克学术 All rights reserved.
京ICP备2023020795号-1
ghs 京公网安备 11010802042870号
Book学术文献互助
Book学术文献互助群
群 号:604180095
Book学术官方微信