原发性食管黏膜相关淋巴组织淋巴瘤:一例罕见病例报告和其他已发表资料的回顾

Ji Hea Bang, Jin Hyong Kang, Seung Han Kim, Jong Jae Park, Beom Jae Lee, Moon Kyung Joo, Tae Sung Jeon
{"title":"原发性食管黏膜相关淋巴组织淋巴瘤:一例罕见病例报告和其他已发表资料的回顾","authors":"Ji Hea Bang, Jin Hyong Kang, Seung Han Kim, Jong Jae Park, Beom Jae Lee, Moon Kyung Joo, Tae Sung Jeon","doi":"10.7704/kjhugr.2023.0026","DOIUrl":null,"url":null,"abstract":"<p><p>The gastrointestinal tract is the most common extranodal site for lymphomas, and mucosa-associated lymphoid tissue lymphoma is the second most common histological lymphoma subtype. However, primary esophageal mucosa-associated lymphoid tissue lymphomas are extremely rare. Few such cases are documented, and the reports demonstrate inconsistent diagnostic and therapeutic strategies. Herein, a 54-year-old man was referred to our hospital for treatment of dysphagia. Esophagogastroduodenoscopy revealed a large, horseshoe-shaped subepithelial mass in the upper esophagus. Endoscopic ultrasonography and computed tomography revealed that the mass was well-demarcated and confined to the muscularis mucosa, with no abnormalities in other organs or lymph nodes. The mass was presumptively diagnosed as benign, and the patient underwent endoscopic mucosal dissection for pathological confirmation and symptom relief. Pathological examination of the dissection specimen revealed that it was a primary esophageal mucosa-associated lymphoid tissue lymphoma. As the patient had an elevated immunoglobulin G level and <i>Helicobacter pylori</i> infection, we administered adjuvant eradication therapy. The patient remains under surveillance and is free of lymphoma recurrence 36 months postoperatively. This case report demonstrates that endoscopic resection and <i>H. pylori</i> eradication are effective treatment strategies for early-stage esophageal mucosa-associated lymphoid tissue lymphoma.</p>","PeriodicalId":22895,"journal":{"name":"The Korean Journal of Helicobacter and Upper Gastrointestinal Research","volume":" ","pages":"207-213"},"PeriodicalIF":0.0000,"publicationDate":"2023-09-01","publicationTypes":"Journal Article","fieldsOfStudy":null,"isOpenAccess":false,"openAccessPdf":"https://www.ncbi.nlm.nih.gov/pmc/articles/PMC11967450/pdf/","citationCount":"0","resultStr":"{\"title\":\"Primary Esophageal Mucosa-associated Lymphoid Tissue Lymphoma: A Rare Case Report and Review of Other Published Data.\",\"authors\":\"Ji Hea Bang, Jin Hyong Kang, Seung Han Kim, Jong Jae Park, Beom Jae Lee, Moon Kyung Joo, Tae Sung Jeon\",\"doi\":\"10.7704/kjhugr.2023.0026\",\"DOIUrl\":null,\"url\":null,\"abstract\":\"<p><p>The gastrointestinal tract is the most common extranodal site for lymphomas, and mucosa-associated lymphoid tissue lymphoma is the second most common histological lymphoma subtype. However, primary esophageal mucosa-associated lymphoid tissue lymphomas are extremely rare. Few such cases are documented, and the reports demonstrate inconsistent diagnostic and therapeutic strategies. Herein, a 54-year-old man was referred to our hospital for treatment of dysphagia. Esophagogastroduodenoscopy revealed a large, horseshoe-shaped subepithelial mass in the upper esophagus. Endoscopic ultrasonography and computed tomography revealed that the mass was well-demarcated and confined to the muscularis mucosa, with no abnormalities in other organs or lymph nodes. The mass was presumptively diagnosed as benign, and the patient underwent endoscopic mucosal dissection for pathological confirmation and symptom relief. Pathological examination of the dissection specimen revealed that it was a primary esophageal mucosa-associated lymphoid tissue lymphoma. As the patient had an elevated immunoglobulin G level and <i>Helicobacter pylori</i> infection, we administered adjuvant eradication therapy. The patient remains under surveillance and is free of lymphoma recurrence 36 months postoperatively. This case report demonstrates that endoscopic resection and <i>H. pylori</i> eradication are effective treatment strategies for early-stage esophageal mucosa-associated lymphoid tissue lymphoma.</p>\",\"PeriodicalId\":22895,\"journal\":{\"name\":\"The Korean Journal of Helicobacter and Upper Gastrointestinal Research\",\"volume\":\" \",\"pages\":\"207-213\"},\"PeriodicalIF\":0.0000,\"publicationDate\":\"2023-09-01\",\"publicationTypes\":\"Journal Article\",\"fieldsOfStudy\":null,\"isOpenAccess\":false,\"openAccessPdf\":\"https://www.ncbi.nlm.nih.gov/pmc/articles/PMC11967450/pdf/\",\"citationCount\":\"0\",\"resultStr\":null,\"platform\":\"Semanticscholar\",\"paperid\":null,\"PeriodicalName\":\"The Korean Journal of Helicobacter and Upper Gastrointestinal Research\",\"FirstCategoryId\":\"1085\",\"ListUrlMain\":\"https://doi.org/10.7704/kjhugr.2023.0026\",\"RegionNum\":0,\"RegionCategory\":null,\"ArticlePicture\":[],\"TitleCN\":null,\"AbstractTextCN\":null,\"PMCID\":null,\"EPubDate\":\"2023/8/30 0:00:00\",\"PubModel\":\"Epub\",\"JCR\":\"\",\"JCRName\":\"\",\"Score\":null,\"Total\":0}","platform":"Semanticscholar","paperid":null,"PeriodicalName":"The Korean Journal of Helicobacter and Upper Gastrointestinal Research","FirstCategoryId":"1085","ListUrlMain":"https://doi.org/10.7704/kjhugr.2023.0026","RegionNum":0,"RegionCategory":null,"ArticlePicture":[],"TitleCN":null,"AbstractTextCN":null,"PMCID":null,"EPubDate":"2023/8/30 0:00:00","PubModel":"Epub","JCR":"","JCRName":"","Score":null,"Total":0}
引用次数: 0

摘要

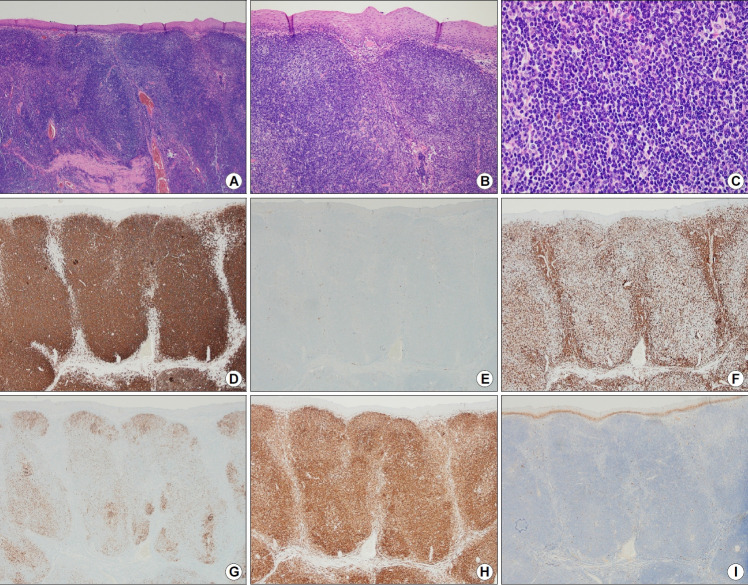
胃肠道是结外淋巴瘤最常见的部位,粘膜相关淋巴组织淋巴瘤是第二常见的组织学淋巴瘤亚型。然而,原发性食管黏膜相关淋巴组织淋巴瘤极为罕见。很少有这样的病例被记录下来,报告显示了不一致的诊断和治疗策略。在此,一位54岁的男性因吞咽困难被转介到我院治疗。食管胃十二指肠镜检查发现食管上部有一个大的马蹄形上皮下肿块。超声内镜及计算机断层扫描显示肿块界限清晰,局限于肌层粘膜,其他器官及淋巴结未见异常。肿块推定为良性,患者行内镜下粘膜剥离以病理证实并缓解症状。解剖标本病理检查显示为原发性食管黏膜相关淋巴组织淋巴瘤。由于患者免疫球蛋白G水平升高和幽门螺杆菌感染,我们给予辅助根除治疗。术后36个月,患者仍在监测中,无淋巴瘤复发。本病例报告表明内镜切除和根除幽门螺杆菌是早期食管黏膜相关淋巴组织淋巴瘤的有效治疗策略。韩国幽门螺杆菌研究2023年8月30日。[印刷前的Epub])
本文章由计算机程序翻译,如有差异,请以英文原文为准。

Primary Esophageal Mucosa-associated Lymphoid Tissue Lymphoma: A Rare Case Report and Review of Other Published Data.

Primary Esophageal Mucosa-associated Lymphoid Tissue Lymphoma: A Rare Case Report and Review of Other Published Data.

Primary Esophageal Mucosa-associated Lymphoid Tissue Lymphoma: A Rare Case Report and Review of Other Published Data.

Primary Esophageal Mucosa-associated Lymphoid Tissue Lymphoma: A Rare Case Report and Review of Other Published Data.

The gastrointestinal tract is the most common extranodal site for lymphomas, and mucosa-associated lymphoid tissue lymphoma is the second most common histological lymphoma subtype. However, primary esophageal mucosa-associated lymphoid tissue lymphomas are extremely rare. Few such cases are documented, and the reports demonstrate inconsistent diagnostic and therapeutic strategies. Herein, a 54-year-old man was referred to our hospital for treatment of dysphagia. Esophagogastroduodenoscopy revealed a large, horseshoe-shaped subepithelial mass in the upper esophagus. Endoscopic ultrasonography and computed tomography revealed that the mass was well-demarcated and confined to the muscularis mucosa, with no abnormalities in other organs or lymph nodes. The mass was presumptively diagnosed as benign, and the patient underwent endoscopic mucosal dissection for pathological confirmation and symptom relief. Pathological examination of the dissection specimen revealed that it was a primary esophageal mucosa-associated lymphoid tissue lymphoma. As the patient had an elevated immunoglobulin G level and Helicobacter pylori infection, we administered adjuvant eradication therapy. The patient remains under surveillance and is free of lymphoma recurrence 36 months postoperatively. This case report demonstrates that endoscopic resection and H. pylori eradication are effective treatment strategies for early-stage esophageal mucosa-associated lymphoid tissue lymphoma.

求助全文
通过发布文献求助,成功后即可免费获取论文全文。 去求助
来源期刊
自引率
0.00%
发文量
41
审稿时长
18 weeks
×
引用
GB/T 7714-2015
复制
MLA
复制
APA
复制
导出至
BibTeX EndNote RefMan NoteFirst NoteExpress
×
提示
您的信息不完整,为了账户安全,请先补充。
现在去补充
×
提示
您因"违规操作"
具体请查看互助需知
我知道了
×
提示
确定
请完成安全验证×
copy
已复制链接
快去分享给好友吧!
我知道了
右上角分享
点击右上角分享
0
联系我们:info@booksci.cn Book学术提供免费学术资源搜索服务,方便国内外学者检索中英文文献。致力于提供最便捷和优质的服务体验。 Copyright © 2023 布克学术 All rights reserved.
京ICP备2023020795号-1
ghs 京公网安备 11010802042870号
Book学术文献互助
Book学术文献互助群
群 号:604180095
Book学术官方微信