囊性纤维化跨膜传导调节因子3′UTR中一种新型功能性miR-143-5p识别元件的鉴定

AIMS Genetics Pub Date : 2018-02-23 eCollection Date: 2018-01-01 DOI:10.3934/genet.2018.1.53
Chiara De Santi, Sucharitha Gadi, Agnieszka Swiatecka-Urban, Catherine M Greene
{"title":"囊性纤维化跨膜传导调节因子3′UTR中一种新型功能性miR-143-5p识别元件的鉴定","authors":"Chiara De Santi, Sucharitha Gadi, Agnieszka Swiatecka-Urban, Catherine M Greene","doi":"10.3934/genet.2018.1.53","DOIUrl":null,"url":null,"abstract":"<p><p>MicroRNAs (miRNAs) are small non-coding RNAs involved in regulation of gene expression. They bind in a sequence-specific manner to miRNA recognition elements (MREs) located in the 3' untranslated region (UTR) of target mRNAs and prevent mRNA translation. MiRNA expression is dysregulated in cystic fibrosis (CF), affecting several biological processes including ion conductance in the epithelial cells of the lung. We previously reported that miR-143 is up-regulated in CF bronchial brushings compared to non-CF. Here we identified two predicted binding sites for miR-143-5p (starting at residues 558 and 644) on the <i>CFTR</i> mRNA, and aimed to assess whether <i>CFTR</i> is a true molecular target of miR-143-5p. Expression of miR-143-5p was found to be up-regulated in a panel of CF vs non-CF cell lines (1.7-fold, P = 0.0165), and its levels were increased <i>in vitro</i> after 20 hours treatment with bronchoalveolar lavage fluid from CF patients compared to vehicle-treated cells (3.3-fold, P = 0.0319). Luciferase assays were performed to elucidate direct miRNA::target interactions and showed that miR-143-5p significantly decreased the reporter activity when carrying the wild-type full length sequence of <i>CFTR</i> 3'UTR (minus 15%, P = 0.005). This repression was rescued by the disruption of the first, but not the second, predicted MRE, suggesting that the residue starting at 558 was the actual active binding site. In conclusion, we here showed that miR-143-5p modestly but significantly inhibits CFTR, improving the knowledge on functional MREs within the <i>CFTR</i> 3'UTR. This could lead to the development of novel therapeutic strategies where miRNA-mediated CFTR repression is blocked thereby possibly increasing the efficacy of the currently available CFTR modulators.</p>","PeriodicalId":43477,"journal":{"name":"AIMS Genetics","volume":"5 1","pages":"53-62"},"PeriodicalIF":0.0000,"publicationDate":"2018-02-23","publicationTypes":"Journal Article","fieldsOfStudy":null,"isOpenAccess":false,"openAccessPdf":"https://www.ncbi.nlm.nih.gov/pmc/articles/PMC6690249/pdf/","citationCount":"0","resultStr":"{\"title\":\"Identification of a novel functional miR-143-5p recognition element in the Cystic Fibrosis Transmembrane Conductance Regulator 3'UTR.\",\"authors\":\"Chiara De Santi, Sucharitha Gadi, Agnieszka Swiatecka-Urban, Catherine M Greene\",\"doi\":\"10.3934/genet.2018.1.53\",\"DOIUrl\":null,\"url\":null,\"abstract\":\"<p><p>MicroRNAs (miRNAs) are small non-coding RNAs involved in regulation of gene expression. They bind in a sequence-specific manner to miRNA recognition elements (MREs) located in the 3' untranslated region (UTR) of target mRNAs and prevent mRNA translation. MiRNA expression is dysregulated in cystic fibrosis (CF), affecting several biological processes including ion conductance in the epithelial cells of the lung. We previously reported that miR-143 is up-regulated in CF bronchial brushings compared to non-CF. Here we identified two predicted binding sites for miR-143-5p (starting at residues 558 and 644) on the <i>CFTR</i> mRNA, and aimed to assess whether <i>CFTR</i> is a true molecular target of miR-143-5p. Expression of miR-143-5p was found to be up-regulated in a panel of CF vs non-CF cell lines (1.7-fold, P = 0.0165), and its levels were increased <i>in vitro</i> after 20 hours treatment with bronchoalveolar lavage fluid from CF patients compared to vehicle-treated cells (3.3-fold, P = 0.0319). Luciferase assays were performed to elucidate direct miRNA::target interactions and showed that miR-143-5p significantly decreased the reporter activity when carrying the wild-type full length sequence of <i>CFTR</i> 3'UTR (minus 15%, P = 0.005). This repression was rescued by the disruption of the first, but not the second, predicted MRE, suggesting that the residue starting at 558 was the actual active binding site. In conclusion, we here showed that miR-143-5p modestly but significantly inhibits CFTR, improving the knowledge on functional MREs within the <i>CFTR</i> 3'UTR. This could lead to the development of novel therapeutic strategies where miRNA-mediated CFTR repression is blocked thereby possibly increasing the efficacy of the currently available CFTR modulators.</p>\",\"PeriodicalId\":43477,\"journal\":{\"name\":\"AIMS Genetics\",\"volume\":\"5 1\",\"pages\":\"53-62\"},\"PeriodicalIF\":0.0000,\"publicationDate\":\"2018-02-23\",\"publicationTypes\":\"Journal Article\",\"fieldsOfStudy\":null,\"isOpenAccess\":false,\"openAccessPdf\":\"https://www.ncbi.nlm.nih.gov/pmc/articles/PMC6690249/pdf/\",\"citationCount\":\"0\",\"resultStr\":null,\"platform\":\"Semanticscholar\",\"paperid\":null,\"PeriodicalName\":\"AIMS Genetics\",\"FirstCategoryId\":\"1085\",\"ListUrlMain\":\"https://doi.org/10.3934/genet.2018.1.53\",\"RegionNum\":0,\"RegionCategory\":null,\"ArticlePicture\":[],\"TitleCN\":null,\"AbstractTextCN\":null,\"PMCID\":null,\"EPubDate\":\"2018/1/1 0:00:00\",\"PubModel\":\"eCollection\",\"JCR\":\"\",\"JCRName\":\"\",\"Score\":null,\"Total\":0}","platform":"Semanticscholar","paperid":null,"PeriodicalName":"AIMS Genetics","FirstCategoryId":"1085","ListUrlMain":"https://doi.org/10.3934/genet.2018.1.53","RegionNum":0,"RegionCategory":null,"ArticlePicture":[],"TitleCN":null,"AbstractTextCN":null,"PMCID":null,"EPubDate":"2018/1/1 0:00:00","PubModel":"eCollection","JCR":"","JCRName":"","Score":null,"Total":0}
引用次数: 0

摘要

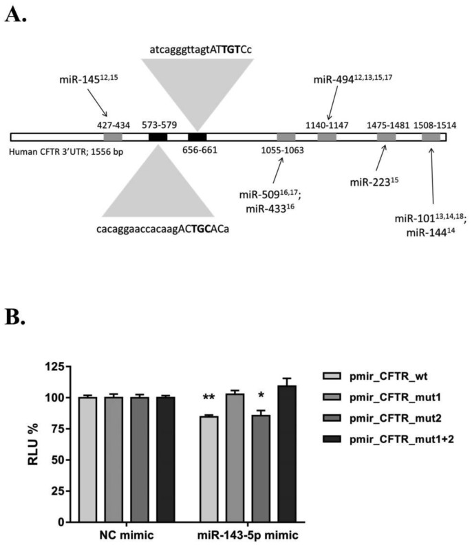
摘要微小RNA(miRNA)是参与基因表达调控的小型非编码RNA。它们以序列特异性的方式与位于靶mRNA 3〃非翻译区(UTR)的miRNA识别元件(MRE)结合,并阻止mRNA翻译。MiRNA的表达在囊性纤维化(CF)中失调,影响几个生物学过程,包括肺上皮细胞中的离子传导。我们之前报道,与非CF相比,miR-143在CF支气管刷毛中上调。在这里,我们确定了CFTR mRNA上miR-143-5p的两个预测结合位点(从残基558和644开始),并旨在评估CFTR是否是miR-143-5p的真正分子靶标。miR-143-5p的表达在一组CF细胞系与非CF细胞系中被发现上调(1.7倍,P = 0.0165),并且在用CF患者的支气管肺泡灌洗液处理20小时后,其水平在体外比载体处理的细胞增加(3.3倍,P = 0.0319)。进行萤光素酶测定以阐明miRNA::靶标的直接相互作用,并显示miR-143-5p在携带CFTR 3〃UTR的野生型全长序列时显著降低了报告活性(负15%,P = 0.005)。第一个而不是第二个预测的MRE的破坏挽救了这种抑制,这表明从558开始的残基是实际的活性结合位点。总之,我们在这里表明miR-143-5p适度但显著地抑制CFTR,提高了对CFTR 3〃UTR内功能性MRE的认识。这可能导致开发新的治疗策略,其中miRNA介导的CFTR抑制被阻断,从而可能提高目前可用的CFTR调节剂的功效。
本文章由计算机程序翻译,如有差异,请以英文原文为准。

Identification of a novel functional miR-143-5p recognition element in the Cystic Fibrosis Transmembrane Conductance Regulator 3'UTR.

Identification of a novel functional miR-143-5p recognition element in the Cystic Fibrosis Transmembrane Conductance Regulator 3'UTR.

Identification of a novel functional miR-143-5p recognition element in the Cystic Fibrosis Transmembrane Conductance Regulator 3'UTR.

MicroRNAs (miRNAs) are small non-coding RNAs involved in regulation of gene expression. They bind in a sequence-specific manner to miRNA recognition elements (MREs) located in the 3' untranslated region (UTR) of target mRNAs and prevent mRNA translation. MiRNA expression is dysregulated in cystic fibrosis (CF), affecting several biological processes including ion conductance in the epithelial cells of the lung. We previously reported that miR-143 is up-regulated in CF bronchial brushings compared to non-CF. Here we identified two predicted binding sites for miR-143-5p (starting at residues 558 and 644) on the CFTR mRNA, and aimed to assess whether CFTR is a true molecular target of miR-143-5p. Expression of miR-143-5p was found to be up-regulated in a panel of CF vs non-CF cell lines (1.7-fold, P = 0.0165), and its levels were increased in vitro after 20 hours treatment with bronchoalveolar lavage fluid from CF patients compared to vehicle-treated cells (3.3-fold, P = 0.0319). Luciferase assays were performed to elucidate direct miRNA::target interactions and showed that miR-143-5p significantly decreased the reporter activity when carrying the wild-type full length sequence of CFTR 3'UTR (minus 15%, P = 0.005). This repression was rescued by the disruption of the first, but not the second, predicted MRE, suggesting that the residue starting at 558 was the actual active binding site. In conclusion, we here showed that miR-143-5p modestly but significantly inhibits CFTR, improving the knowledge on functional MREs within the CFTR 3'UTR. This could lead to the development of novel therapeutic strategies where miRNA-mediated CFTR repression is blocked thereby possibly increasing the efficacy of the currently available CFTR modulators.

求助全文
通过发布文献求助,成功后即可免费获取论文全文。 去求助
来源期刊
AIMS Genetics
AIMS Genetics GENETICS & HEREDITY-
自引率
0.00%
发文量
0
审稿时长
12 weeks
×
引用
GB/T 7714-2015
复制
MLA
复制
APA
复制
导出至
BibTeX EndNote RefMan NoteFirst NoteExpress
×
提示
您的信息不完整,为了账户安全,请先补充。
现在去补充
×
提示
您因"违规操作"
具体请查看互助需知
我知道了
×
提示
确定
请完成安全验证×
copy
已复制链接
快去分享给好友吧!
我知道了
右上角分享
点击右上角分享
0
联系我们:info@booksci.cn Book学术提供免费学术资源搜索服务,方便国内外学者检索中英文文献。致力于提供最便捷和优质的服务体验。 Copyright © 2023 布克学术 All rights reserved.
京ICP备2023020795号-1
ghs 京公网安备 11010802042870号
Book学术文献互助
Book学术文献互助群
群 号:604180095
Book学术官方微信