人细小病毒b19ns1蛋白在慢性和炎症性疾病中的致病作用

Q3 Immunology and Microbiology
Interdisciplinary Perspectives on Infectious Diseases Pub Date : 2022-06-06 eCollection Date: 2022-01-01 DOI:10.1155/2022/1639990
Sedigheh Jalali, Ali Farhadi, Gholamreza Rafiei Dehbidi, Shirin Farjadian, Sedigheh Sharifzadeh, Reza Ranjbaran, Noorossadat Seyyedi, Sepide Namdari, Abbas Behzad-Behbahani
{"title":"人细小病毒b19ns1蛋白在慢性和炎症性疾病中的致病作用","authors":"Sedigheh Jalali, Ali Farhadi, Gholamreza Rafiei Dehbidi, Shirin Farjadian, Sedigheh Sharifzadeh, Reza Ranjbaran, Noorossadat Seyyedi, Sepide Namdari, Abbas Behzad-Behbahani","doi":"10.1155/2022/1639990","DOIUrl":null,"url":null,"abstract":"<p><strong>Background: </strong>The nonstructural protein (NS1) of human parvovirus B19 (hPVB19) is considered to be a double-edged sword in its pathogenesis. NS1 protein promotes cell death by apoptosis in erythroid-lineage cells and is also implicated in triggering and the progression of various inflammation and autoimmune disorders.</p><p><strong>Objectives: </strong>We investigated the possible role of hPVB19 NS1 in the modulation of proinflammatory cytokines in nonpermissive HEK-293T cells.</p><p><strong>Methods: </strong>A plasmid containing the fully sequenced NS1 gene (pCMV6-AC-GFP-NS1) was transfected into HEK-293T cells. Transfection efficiency was assessed by fluorescent microscopy over time. Mock (pCMV6-AC-GFP) transfected cells were used as controls. The percentage of apoptotic cells was measured by flow cytometry at 24, 48, and 72 h posttransfection. Interleukin 6 (IL-6) mRNA, as a pleiotropic cytokine, was measured by real-time PCR. Furthermore, cellular supernatants were collected to determine the type and quantity of cytokines produced by mock- and NS1-transfected cells using flow cytometry.</p><p><strong>Results: </strong>Fold change in the expression level of IL-6 mRNA in transfected cells after 72 hr of incubation was found to be 3.01 when compared with mock-transfected cells; however, cell apoptosis did not happen over time. Also, the concentration of cytokines such as IL-2, IL-6, IL-9, IL-17A, IL-21, IL-22, interferon (IFN)-<i>γ</i>, and tumor necrosis factor <i>α</i> (TNF-<i>α</i>) increased in NS1-transfected cells.</p><p><strong>Conclusions: </strong>Overall, our results indicated that proinflammatory cytokine levels had increased following the expression of hPVB19 NS1 in HEK-293T cells, consistent with a role for NS1 expression facilitating the upregulation of inflammatory reactions. Therefore, hPVB19 NS1 function may play a role in the progression of some chronic and inflammatory diseases.</p>","PeriodicalId":39128,"journal":{"name":"Interdisciplinary Perspectives on Infectious Diseases","volume":" ","pages":"1639990"},"PeriodicalIF":0.0000,"publicationDate":"2022-06-06","publicationTypes":"Journal Article","fieldsOfStudy":null,"isOpenAccess":false,"openAccessPdf":"https://www.ncbi.nlm.nih.gov/pmc/articles/PMC9192293/pdf/","citationCount":"0","resultStr":"{\"title\":\"The Pathogenic Aspects of Human Parvovirus B19 NS1 Protein in Chronic and Inflammatory Diseases.\",\"authors\":\"Sedigheh Jalali, Ali Farhadi, Gholamreza Rafiei Dehbidi, Shirin Farjadian, Sedigheh Sharifzadeh, Reza Ranjbaran, Noorossadat Seyyedi, Sepide Namdari, Abbas Behzad-Behbahani\",\"doi\":\"10.1155/2022/1639990\",\"DOIUrl\":null,\"url\":null,\"abstract\":\"<p><strong>Background: </strong>The nonstructural protein (NS1) of human parvovirus B19 (hPVB19) is considered to be a double-edged sword in its pathogenesis. NS1 protein promotes cell death by apoptosis in erythroid-lineage cells and is also implicated in triggering and the progression of various inflammation and autoimmune disorders.</p><p><strong>Objectives: </strong>We investigated the possible role of hPVB19 NS1 in the modulation of proinflammatory cytokines in nonpermissive HEK-293T cells.</p><p><strong>Methods: </strong>A plasmid containing the fully sequenced NS1 gene (pCMV6-AC-GFP-NS1) was transfected into HEK-293T cells. Transfection efficiency was assessed by fluorescent microscopy over time. Mock (pCMV6-AC-GFP) transfected cells were used as controls. The percentage of apoptotic cells was measured by flow cytometry at 24, 48, and 72 h posttransfection. Interleukin 6 (IL-6) mRNA, as a pleiotropic cytokine, was measured by real-time PCR. Furthermore, cellular supernatants were collected to determine the type and quantity of cytokines produced by mock- and NS1-transfected cells using flow cytometry.</p><p><strong>Results: </strong>Fold change in the expression level of IL-6 mRNA in transfected cells after 72 hr of incubation was found to be 3.01 when compared with mock-transfected cells; however, cell apoptosis did not happen over time. Also, the concentration of cytokines such as IL-2, IL-6, IL-9, IL-17A, IL-21, IL-22, interferon (IFN)-<i>γ</i>, and tumor necrosis factor <i>α</i> (TNF-<i>α</i>) increased in NS1-transfected cells.</p><p><strong>Conclusions: </strong>Overall, our results indicated that proinflammatory cytokine levels had increased following the expression of hPVB19 NS1 in HEK-293T cells, consistent with a role for NS1 expression facilitating the upregulation of inflammatory reactions. Therefore, hPVB19 NS1 function may play a role in the progression of some chronic and inflammatory diseases.</p>\",\"PeriodicalId\":39128,\"journal\":{\"name\":\"Interdisciplinary Perspectives on Infectious Diseases\",\"volume\":\" \",\"pages\":\"1639990\"},\"PeriodicalIF\":0.0000,\"publicationDate\":\"2022-06-06\",\"publicationTypes\":\"Journal Article\",\"fieldsOfStudy\":null,\"isOpenAccess\":false,\"openAccessPdf\":\"https://www.ncbi.nlm.nih.gov/pmc/articles/PMC9192293/pdf/\",\"citationCount\":\"0\",\"resultStr\":null,\"platform\":\"Semanticscholar\",\"paperid\":null,\"PeriodicalName\":\"Interdisciplinary Perspectives on Infectious Diseases\",\"FirstCategoryId\":\"1085\",\"ListUrlMain\":\"https://doi.org/10.1155/2022/1639990\",\"RegionNum\":0,\"RegionCategory\":null,\"ArticlePicture\":[],\"TitleCN\":null,\"AbstractTextCN\":null,\"PMCID\":null,\"EPubDate\":\"2022/1/1 0:00:00\",\"PubModel\":\"eCollection\",\"JCR\":\"Q3\",\"JCRName\":\"Immunology and Microbiology\",\"Score\":null,\"Total\":0}","platform":"Semanticscholar","paperid":null,"PeriodicalName":"Interdisciplinary Perspectives on Infectious Diseases","FirstCategoryId":"1085","ListUrlMain":"https://doi.org/10.1155/2022/1639990","RegionNum":0,"RegionCategory":null,"ArticlePicture":[],"TitleCN":null,"AbstractTextCN":null,"PMCID":null,"EPubDate":"2022/1/1 0:00:00","PubModel":"eCollection","JCR":"Q3","JCRName":"Immunology and Microbiology","Score":null,"Total":0}
引用次数: 0

摘要

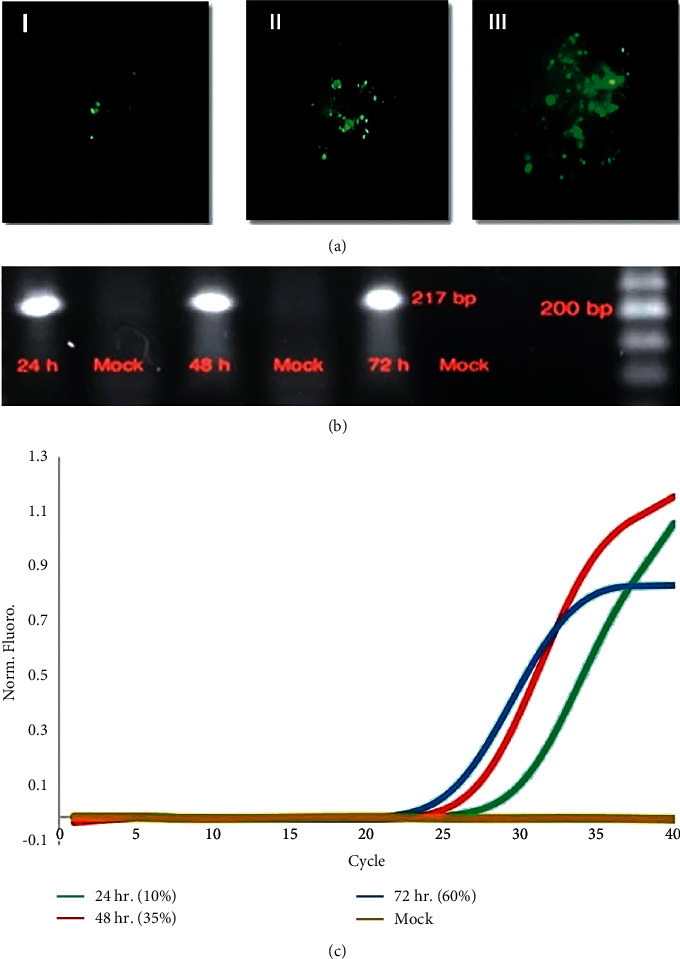
人细小病毒B19 (hPVB19)的非结构蛋白(NS1)在其发病机制中被认为是一把双刃剑。NS1蛋白在红系细胞中通过凋亡促进细胞死亡,也与各种炎症和自身免疫性疾病的触发和进展有关。目的探讨hpvb19ns1在非允许性HEK-293T细胞中调节促炎细胞因子的可能作用。方法将含有NS1基因全序列的质粒pCMV6-AC-GFP-NS1转染HEK-293T细胞。通过荧光显微镜观察转染效率。模拟细胞(pCMV6-AC-GFP)转染作为对照。转染后24、48、72 h流式细胞术检测凋亡细胞百分比。白细胞介素6 (IL-6) mRNA是一种多效性细胞因子,采用实时荧光定量PCR检测。此外,收集细胞上清液,用流式细胞术测定转染模拟细胞和ns1细胞产生的细胞因子的类型和数量。结果转染后72h细胞IL-6 mRNA表达量与模拟转染细胞相比变化为3.01倍;然而,细胞凋亡并没有随着时间的推移而发生。同时,转染ns1的细胞中IL-2、IL-6、IL-9、IL-17A、IL-21、IL-22、干扰素(IFN)-γ、肿瘤坏死因子α (TNF-α)浓度升高。综上所述,我们的研究结果表明,在HEK-293T细胞中表达hPVB19 NS1后,促炎细胞因子水平升高,与NS1表达促进炎症反应上调的作用一致。因此,hPVB19 NS1的功能可能在一些慢性和炎症性疾病的进展中发挥作用。
本文章由计算机程序翻译,如有差异,请以英文原文为准。

The Pathogenic Aspects of Human Parvovirus B19 NS1 Protein in Chronic and Inflammatory Diseases.

The Pathogenic Aspects of Human Parvovirus B19 NS1 Protein in Chronic and Inflammatory Diseases.

The Pathogenic Aspects of Human Parvovirus B19 NS1 Protein in Chronic and Inflammatory Diseases.

The Pathogenic Aspects of Human Parvovirus B19 NS1 Protein in Chronic and Inflammatory Diseases.

Background: The nonstructural protein (NS1) of human parvovirus B19 (hPVB19) is considered to be a double-edged sword in its pathogenesis. NS1 protein promotes cell death by apoptosis in erythroid-lineage cells and is also implicated in triggering and the progression of various inflammation and autoimmune disorders.

Objectives: We investigated the possible role of hPVB19 NS1 in the modulation of proinflammatory cytokines in nonpermissive HEK-293T cells.

Methods: A plasmid containing the fully sequenced NS1 gene (pCMV6-AC-GFP-NS1) was transfected into HEK-293T cells. Transfection efficiency was assessed by fluorescent microscopy over time. Mock (pCMV6-AC-GFP) transfected cells were used as controls. The percentage of apoptotic cells was measured by flow cytometry at 24, 48, and 72 h posttransfection. Interleukin 6 (IL-6) mRNA, as a pleiotropic cytokine, was measured by real-time PCR. Furthermore, cellular supernatants were collected to determine the type and quantity of cytokines produced by mock- and NS1-transfected cells using flow cytometry.

Results: Fold change in the expression level of IL-6 mRNA in transfected cells after 72 hr of incubation was found to be 3.01 when compared with mock-transfected cells; however, cell apoptosis did not happen over time. Also, the concentration of cytokines such as IL-2, IL-6, IL-9, IL-17A, IL-21, IL-22, interferon (IFN)-γ, and tumor necrosis factor α (TNF-α) increased in NS1-transfected cells.

Conclusions: Overall, our results indicated that proinflammatory cytokine levels had increased following the expression of hPVB19 NS1 in HEK-293T cells, consistent with a role for NS1 expression facilitating the upregulation of inflammatory reactions. Therefore, hPVB19 NS1 function may play a role in the progression of some chronic and inflammatory diseases.

求助全文
通过发布文献求助,成功后即可免费获取论文全文。 去求助
来源期刊
CiteScore
4.10
自引率
0.00%
发文量
51
审稿时长
18 weeks
×
引用
GB/T 7714-2015
复制
MLA
复制
APA
复制
导出至
BibTeX EndNote RefMan NoteFirst NoteExpress
×
提示
您的信息不完整,为了账户安全,请先补充。
现在去补充
×
提示
您因"违规操作"
具体请查看互助需知
我知道了
×
提示
确定
请完成安全验证×
copy
已复制链接
快去分享给好友吧!
我知道了
右上角分享
点击右上角分享
0
联系我们:info@booksci.cn Book学术提供免费学术资源搜索服务,方便国内外学者检索中英文文献。致力于提供最便捷和优质的服务体验。 Copyright © 2023 布克学术 All rights reserved.
京ICP备2023020795号-1
ghs 京公网安备 11010802042870号
Book学术文献互助
Book学术文献互助群
群 号:604180095
Book学术官方微信