尿肾损伤分子是早期发现阻塞性肾病的最佳生物标志物吗?

IF 1.3 4区 医学 Q4 UROLOGY & NEPHROLOGY
Current Urology Pub Date : 2024-12-01 Epub Date: 2024-12-20 DOI:10.1097/CU9.0000000000000065
Ahmed S El-Hefnawy, Mona A El-Hussiny, Ahmed M A Ibrahim, Khadiga M Ali, Mohammed A Atwa, Nashwa Barakat, Mohamed Alhefnawy, Ahmed A Shokeir
{"title":"尿肾损伤分子是早期发现阻塞性肾病的最佳生物标志物吗?","authors":"Ahmed S El-Hefnawy, Mona A El-Hussiny, Ahmed M A Ibrahim, Khadiga M Ali, Mohammed A Atwa, Nashwa Barakat, Mohamed Alhefnawy, Ahmed A Shokeir","doi":"10.1097/CU9.0000000000000065","DOIUrl":null,"url":null,"abstract":"<p><strong>Objectives: </strong>To evaluate the urinary kidney injury molecule-1 (KIM-1) as a predictor for early detection of acute kidney injury in cases with obstructive nephropathy in an animal model and to correlate urinary KIM-1 with the progress of obstructive nephropathy on a histopathological basis.</p><p><strong>Materials and methods: </strong>Three models of obstruction were induced in 90 male rats: unilateral partial ureteral obstruction with a normal contra-lateral kidney, with nephrectomy of a contralateral kidney (solitary kidney), and bilateral partial ureteral obstruction. Each group was further divided into 2 subgroups; the sham-group (10 rats) and the disease group (20 rats). Serum creatinine, blood urea nitrogen, and urinary KIM-1 were collected on days 0, 7, and 14. Rats were sacrificed on the 7th and 14th day for histopathological examination of the obstructed kidney.</p><p><strong>Results: </strong>By the end of first week, there was a significant rise of all biomarker levels in all groups when compared with basal levels. Similarly, biomarker levels at the 14th day were significantly higher than those obtained at the 7th day. The urinary KIM-1 level was not detected in the baseline condition. Expression of urinary KIM-1 showed a significant rise in all models ranging from 22 to 85 fold at the 7th day and even higher levels at the 14th day. Histopathological examination confirmed the presence of different forms of tubular injury.</p><p><strong>Conclusions: </strong>Urinary KIM-1 is significantly elevated in obstructive uropathy. Such an elevation might be advantageous in the early diagnosis and subsequent early intervention of cases with partial ureteral obstruction.</p>","PeriodicalId":39147,"journal":{"name":"Current Urology","volume":" ","pages":"312-317"},"PeriodicalIF":1.3000,"publicationDate":"2024-12-01","publicationTypes":"Journal Article","fieldsOfStudy":null,"isOpenAccess":false,"openAccessPdf":"https://www.ncbi.nlm.nih.gov/pmc/articles/PMC12004957/pdf/","citationCount":"0","resultStr":"{\"title\":\"Is the urinary kidney injury molecule an optimum biomarker for early detection of obstructive nephropathy? An experimental study.\",\"authors\":\"Ahmed S El-Hefnawy, Mona A El-Hussiny, Ahmed M A Ibrahim, Khadiga M Ali, Mohammed A Atwa, Nashwa Barakat, Mohamed Alhefnawy, Ahmed A Shokeir\",\"doi\":\"10.1097/CU9.0000000000000065\",\"DOIUrl\":null,\"url\":null,\"abstract\":\"<p><strong>Objectives: </strong>To evaluate the urinary kidney injury molecule-1 (KIM-1) as a predictor for early detection of acute kidney injury in cases with obstructive nephropathy in an animal model and to correlate urinary KIM-1 with the progress of obstructive nephropathy on a histopathological basis.</p><p><strong>Materials and methods: </strong>Three models of obstruction were induced in 90 male rats: unilateral partial ureteral obstruction with a normal contra-lateral kidney, with nephrectomy of a contralateral kidney (solitary kidney), and bilateral partial ureteral obstruction. Each group was further divided into 2 subgroups; the sham-group (10 rats) and the disease group (20 rats). Serum creatinine, blood urea nitrogen, and urinary KIM-1 were collected on days 0, 7, and 14. Rats were sacrificed on the 7th and 14th day for histopathological examination of the obstructed kidney.</p><p><strong>Results: </strong>By the end of first week, there was a significant rise of all biomarker levels in all groups when compared with basal levels. Similarly, biomarker levels at the 14th day were significantly higher than those obtained at the 7th day. The urinary KIM-1 level was not detected in the baseline condition. Expression of urinary KIM-1 showed a significant rise in all models ranging from 22 to 85 fold at the 7th day and even higher levels at the 14th day. Histopathological examination confirmed the presence of different forms of tubular injury.</p><p><strong>Conclusions: </strong>Urinary KIM-1 is significantly elevated in obstructive uropathy. Such an elevation might be advantageous in the early diagnosis and subsequent early intervention of cases with partial ureteral obstruction.</p>\",\"PeriodicalId\":39147,\"journal\":{\"name\":\"Current Urology\",\"volume\":\" \",\"pages\":\"312-317\"},\"PeriodicalIF\":1.3000,\"publicationDate\":\"2024-12-01\",\"publicationTypes\":\"Journal Article\",\"fieldsOfStudy\":null,\"isOpenAccess\":false,\"openAccessPdf\":\"https://www.ncbi.nlm.nih.gov/pmc/articles/PMC12004957/pdf/\",\"citationCount\":\"0\",\"resultStr\":null,\"platform\":\"Semanticscholar\",\"paperid\":null,\"PeriodicalName\":\"Current Urology\",\"FirstCategoryId\":\"1085\",\"ListUrlMain\":\"https://doi.org/10.1097/CU9.0000000000000065\",\"RegionNum\":4,\"RegionCategory\":\"医学\",\"ArticlePicture\":[],\"TitleCN\":null,\"AbstractTextCN\":null,\"PMCID\":null,\"EPubDate\":\"2024/12/20 0:00:00\",\"PubModel\":\"Epub\",\"JCR\":\"Q4\",\"JCRName\":\"UROLOGY & NEPHROLOGY\",\"Score\":null,\"Total\":0}","platform":"Semanticscholar","paperid":null,"PeriodicalName":"Current Urology","FirstCategoryId":"1085","ListUrlMain":"https://doi.org/10.1097/CU9.0000000000000065","RegionNum":4,"RegionCategory":"医学","ArticlePicture":[],"TitleCN":null,"AbstractTextCN":null,"PMCID":null,"EPubDate":"2024/12/20 0:00:00","PubModel":"Epub","JCR":"Q4","JCRName":"UROLOGY & NEPHROLOGY","Score":null,"Total":0}
引用次数: 0

摘要

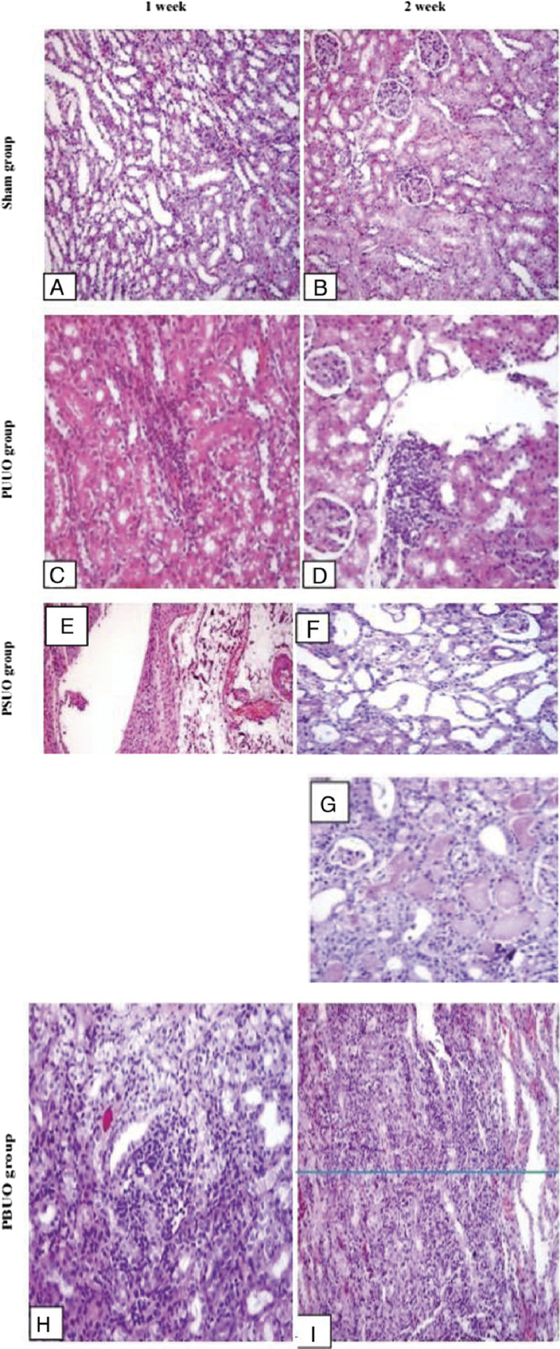
目的:在动物模型中评价尿肾损伤分子-1 (KIM-1)作为早期发现阻塞性肾病急性肾损伤的预测因子,并在组织病理学基础上探讨尿肾损伤分子-1与阻塞性肾病进展的相关性。材料与方法:90只雄性大鼠造梗阻模型:对侧正常肾单侧部分输尿管梗阻模型、对侧肾切除(孤立肾)模型、双侧部分输尿管梗阻模型。每组再分为2个亚组;假手术组(10只)和疾病组(20只)。于第0、7、14天采集血清肌酐、血尿素氮、尿KIM-1。第7、14天处死大鼠,对梗阻肾进行组织病理学检查。结果:到第一周结束时,与基础水平相比,所有组的所有生物标志物水平均显著升高。同样,第14天的生物标志物水平显著高于第7天。在基线条件下未检测到尿KIM-1水平。在所有模型中,尿KIM-1的表达在第7天显著升高22 ~ 85倍,在第14天甚至更高。组织病理学检查证实存在不同形式的肾小管损伤。结论:尿KIM-1在梗阻性尿病患者中显著升高。这样的抬高可能有利于部分输尿管梗阻病例的早期诊断和随后的早期干预。
本文章由计算机程序翻译,如有差异,请以英文原文为准。

Is the urinary kidney injury molecule an optimum biomarker for early detection of obstructive nephropathy? An experimental study.

Is the urinary kidney injury molecule an optimum biomarker for early detection of obstructive nephropathy? An experimental study.

Is the urinary kidney injury molecule an optimum biomarker for early detection of obstructive nephropathy? An experimental study.

Objectives: To evaluate the urinary kidney injury molecule-1 (KIM-1) as a predictor for early detection of acute kidney injury in cases with obstructive nephropathy in an animal model and to correlate urinary KIM-1 with the progress of obstructive nephropathy on a histopathological basis.

Materials and methods: Three models of obstruction were induced in 90 male rats: unilateral partial ureteral obstruction with a normal contra-lateral kidney, with nephrectomy of a contralateral kidney (solitary kidney), and bilateral partial ureteral obstruction. Each group was further divided into 2 subgroups; the sham-group (10 rats) and the disease group (20 rats). Serum creatinine, blood urea nitrogen, and urinary KIM-1 were collected on days 0, 7, and 14. Rats were sacrificed on the 7th and 14th day for histopathological examination of the obstructed kidney.

Results: By the end of first week, there was a significant rise of all biomarker levels in all groups when compared with basal levels. Similarly, biomarker levels at the 14th day were significantly higher than those obtained at the 7th day. The urinary KIM-1 level was not detected in the baseline condition. Expression of urinary KIM-1 showed a significant rise in all models ranging from 22 to 85 fold at the 7th day and even higher levels at the 14th day. Histopathological examination confirmed the presence of different forms of tubular injury.

Conclusions: Urinary KIM-1 is significantly elevated in obstructive uropathy. Such an elevation might be advantageous in the early diagnosis and subsequent early intervention of cases with partial ureteral obstruction.

求助全文
通过发布文献求助,成功后即可免费获取论文全文。 去求助
来源期刊
Current Urology
Current Urology Medicine-Urology
CiteScore
2.30
自引率
0.00%
发文量
96
×
引用
GB/T 7714-2015
复制
MLA
复制
APA
复制
导出至
BibTeX EndNote RefMan NoteFirst NoteExpress
×
提示
您的信息不完整,为了账户安全,请先补充。
现在去补充
×
提示
您因"违规操作"
具体请查看互助需知
我知道了
×
提示
确定
请完成安全验证×
copy
已复制链接
快去分享给好友吧!
我知道了
右上角分享
点击右上角分享
0
联系我们:info@booksci.cn Book学术提供免费学术资源搜索服务,方便国内外学者检索中英文文献。致力于提供最便捷和优质的服务体验。 Copyright © 2023 布克学术 All rights reserved.
京ICP备2023020795号-1
ghs 京公网安备 11010802042870号
Book学术文献互助
Book学术文献互助群
群 号:604180095
Book学术官方微信