预测幽门螺杆菌阴性状态的新内镜特征的验证:抓痕标志是否反映幽门螺杆菌未感染?

Jun-Young Seo, Hyo-Jin Cho, Sang Jong Park, Ah Young Lee, Sang-Jung Kim, Ji Yong Ahn
{"title":"预测幽门螺杆菌阴性状态的新内镜特征的验证:抓痕标志是否反映幽门螺杆菌未感染?","authors":"Jun-Young Seo, Hyo-Jin Cho, Sang Jong Park, Ah Young Lee, Sang-Jung Kim, Ji Yong Ahn","doi":"10.7704/kjhugr.2023.0029","DOIUrl":null,"url":null,"abstract":"<p><strong>Background/aims: </strong>Identification of <i>Helicobacter pylori</i> infection status is necessary as <i>H. pylori</i> is associated with gastric malignancy. Recently, a red linear scrape-like appearance on the gastric mucosa, called the \"scratch sign,\" was reported to be associated with <i>H. pylori</i>-negative gastric mucosal status. Herein, we aimed to validate the association between the scratch sign and <i>H. pylori</i> infection status.</p><p><strong>Methods: </strong>The data of patients who underwent screening endoscopy at Bundang Jesaeng General Hospital between March 2023 and April 2023 were reviewed. Patients were classified as having an <i>H. pylori</i> current infection or non-infection status based on the results of rapid urease tests. Patients who had undergone <i>H. pylori</i> eradication therapy were excluded. Endoscopic features of the gastric mucosa were assessed using the Kyoto classification of gastritis.</p><p><strong>Results: </strong>The scratch sign appeared more frequently in patients with non-infection than in those with current infection status (32.7% vs. 10.6%, respectively; <i>P</i><0.001). Multivariate analysis showed that only the presence of sticky mucus was significantly associated with the presence of the scratch sign. Patient without the scratch sign had a higher prevalence of open-type atrophy, intestinal metaplasia, enlarged folds, and diffuse redness, which reflected a higher Kyoto score.</p><p><strong>Conclusions: </strong>Presence of the gastric mucosal scratch sign, a novel endoscopic marker, is indicative of <i>H. pylori</i>-negative status and appears to be inversely correlated with the presence of sticky mucus. In addition to the Kyoto classification of gastritis, detection of the scratch sign may facilitate identification of the <i>H. pylori</i> infection status.</p>","PeriodicalId":22895,"journal":{"name":"The Korean Journal of Helicobacter and Upper Gastrointestinal Research","volume":" ","pages":"197-206"},"PeriodicalIF":0.0000,"publicationDate":"2023-09-01","publicationTypes":"Journal Article","fieldsOfStudy":null,"isOpenAccess":false,"openAccessPdf":"https://www.ncbi.nlm.nih.gov/pmc/articles/PMC11967521/pdf/","citationCount":"0","resultStr":"{\"title\":\"Validation of a Novel Endoscopic Feature that Predicts <i>Helicobacter pylori</i>-negative Status: Does the Scratch Sign Reflect <i>H. pylori</i> Non-infection?\",\"authors\":\"Jun-Young Seo, Hyo-Jin Cho, Sang Jong Park, Ah Young Lee, Sang-Jung Kim, Ji Yong Ahn\",\"doi\":\"10.7704/kjhugr.2023.0029\",\"DOIUrl\":null,\"url\":null,\"abstract\":\"<p><strong>Background/aims: </strong>Identification of <i>Helicobacter pylori</i> infection status is necessary as <i>H. pylori</i> is associated with gastric malignancy. Recently, a red linear scrape-like appearance on the gastric mucosa, called the \\\"scratch sign,\\\" was reported to be associated with <i>H. pylori</i>-negative gastric mucosal status. Herein, we aimed to validate the association between the scratch sign and <i>H. pylori</i> infection status.</p><p><strong>Methods: </strong>The data of patients who underwent screening endoscopy at Bundang Jesaeng General Hospital between March 2023 and April 2023 were reviewed. Patients were classified as having an <i>H. pylori</i> current infection or non-infection status based on the results of rapid urease tests. Patients who had undergone <i>H. pylori</i> eradication therapy were excluded. Endoscopic features of the gastric mucosa were assessed using the Kyoto classification of gastritis.</p><p><strong>Results: </strong>The scratch sign appeared more frequently in patients with non-infection than in those with current infection status (32.7% vs. 10.6%, respectively; <i>P</i><0.001). Multivariate analysis showed that only the presence of sticky mucus was significantly associated with the presence of the scratch sign. Patient without the scratch sign had a higher prevalence of open-type atrophy, intestinal metaplasia, enlarged folds, and diffuse redness, which reflected a higher Kyoto score.</p><p><strong>Conclusions: </strong>Presence of the gastric mucosal scratch sign, a novel endoscopic marker, is indicative of <i>H. pylori</i>-negative status and appears to be inversely correlated with the presence of sticky mucus. In addition to the Kyoto classification of gastritis, detection of the scratch sign may facilitate identification of the <i>H. pylori</i> infection status.</p>\",\"PeriodicalId\":22895,\"journal\":{\"name\":\"The Korean Journal of Helicobacter and Upper Gastrointestinal Research\",\"volume\":\" \",\"pages\":\"197-206\"},\"PeriodicalIF\":0.0000,\"publicationDate\":\"2023-09-01\",\"publicationTypes\":\"Journal Article\",\"fieldsOfStudy\":null,\"isOpenAccess\":false,\"openAccessPdf\":\"https://www.ncbi.nlm.nih.gov/pmc/articles/PMC11967521/pdf/\",\"citationCount\":\"0\",\"resultStr\":null,\"platform\":\"Semanticscholar\",\"paperid\":null,\"PeriodicalName\":\"The Korean Journal of Helicobacter and Upper Gastrointestinal Research\",\"FirstCategoryId\":\"1085\",\"ListUrlMain\":\"https://doi.org/10.7704/kjhugr.2023.0029\",\"RegionNum\":0,\"RegionCategory\":null,\"ArticlePicture\":[],\"TitleCN\":null,\"AbstractTextCN\":null,\"PMCID\":null,\"EPubDate\":\"2023/8/30 0:00:00\",\"PubModel\":\"Epub\",\"JCR\":\"\",\"JCRName\":\"\",\"Score\":null,\"Total\":0}","platform":"Semanticscholar","paperid":null,"PeriodicalName":"The Korean Journal of Helicobacter and Upper Gastrointestinal Research","FirstCategoryId":"1085","ListUrlMain":"https://doi.org/10.7704/kjhugr.2023.0029","RegionNum":0,"RegionCategory":null,"ArticlePicture":[],"TitleCN":null,"AbstractTextCN":null,"PMCID":null,"EPubDate":"2023/8/30 0:00:00","PubModel":"Epub","JCR":"","JCRName":"","Score":null,"Total":0}
引用次数: 0

摘要

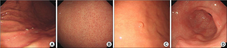
背景/目的:幽门螺杆菌感染状况的鉴定是必要的,因为幽门螺杆菌与胃恶性肿瘤有关。最近,据报道,胃黏膜上出现一种被称为“抓痕征”的红色线状抓痕状外观,与幽门螺杆菌阴性的胃黏膜状态有关。在此,我们旨在验证抓痕征与幽门螺杆菌感染状态之间的相关性。方法:对2023年3月至2023年4月在Bundang Jesaeng综合医院接受筛查内镜检查的患者的数据进行回顾性分析。根据快速尿素酶测试的结果,将患者分为幽门螺杆菌感染或非感染状态。已接受幽门螺杆菌根除治疗的患者被排除在外。采用京都胃炎分类法评估胃黏膜的内镜特征。结果:抓痕征在非感染患者中出现的频率高于目前感染状态的患者(分别为32.7%和10.6%;P<0.001)。多因素分析显示,只有粘性粘液的存在与抓痕征的存在显著相关。无抓痕征患者的开放型萎缩发生率更高,肠道发育不良、褶皱扩大和弥漫性发红,这反映了较高的Kyoto评分。结论:胃粘膜划痕征是一种新的内镜标志物,它表明幽门螺杆菌阴性,并且似乎与粘性粘液的存在呈负相关。除了胃炎的京都分类外,划痕征的检测可能有助于识别幽门螺杆菌感染状态。(韩国幽门螺杆菌研究杂志2023年8月30日。[印刷前的Epub])
本文章由计算机程序翻译,如有差异,请以英文原文为准。

Validation of a Novel Endoscopic Feature that Predicts <i>Helicobacter pylori</i>-negative Status: Does the Scratch Sign Reflect <i>H. pylori</i> Non-infection?

Validation of a Novel Endoscopic Feature that Predicts <i>Helicobacter pylori</i>-negative Status: Does the Scratch Sign Reflect <i>H. pylori</i> Non-infection?

Validation of a Novel Endoscopic Feature that Predicts <i>Helicobacter pylori</i>-negative Status: Does the Scratch Sign Reflect <i>H. pylori</i> Non-infection?

Validation of a Novel Endoscopic Feature that Predicts Helicobacter pylori-negative Status: Does the Scratch Sign Reflect H. pylori Non-infection?

Background/aims: Identification of Helicobacter pylori infection status is necessary as H. pylori is associated with gastric malignancy. Recently, a red linear scrape-like appearance on the gastric mucosa, called the "scratch sign," was reported to be associated with H. pylori-negative gastric mucosal status. Herein, we aimed to validate the association between the scratch sign and H. pylori infection status.

Methods: The data of patients who underwent screening endoscopy at Bundang Jesaeng General Hospital between March 2023 and April 2023 were reviewed. Patients were classified as having an H. pylori current infection or non-infection status based on the results of rapid urease tests. Patients who had undergone H. pylori eradication therapy were excluded. Endoscopic features of the gastric mucosa were assessed using the Kyoto classification of gastritis.

Results: The scratch sign appeared more frequently in patients with non-infection than in those with current infection status (32.7% vs. 10.6%, respectively; P<0.001). Multivariate analysis showed that only the presence of sticky mucus was significantly associated with the presence of the scratch sign. Patient without the scratch sign had a higher prevalence of open-type atrophy, intestinal metaplasia, enlarged folds, and diffuse redness, which reflected a higher Kyoto score.

Conclusions: Presence of the gastric mucosal scratch sign, a novel endoscopic marker, is indicative of H. pylori-negative status and appears to be inversely correlated with the presence of sticky mucus. In addition to the Kyoto classification of gastritis, detection of the scratch sign may facilitate identification of the H. pylori infection status.

求助全文
通过发布文献求助,成功后即可免费获取论文全文。 去求助
来源期刊
自引率
0.00%
发文量
41
审稿时长
18 weeks
×
引用
GB/T 7714-2015
复制
MLA
复制
APA
复制
导出至
BibTeX EndNote RefMan NoteFirst NoteExpress
×
提示
您的信息不完整,为了账户安全,请先补充。
现在去补充
×
提示
您因"违规操作"
具体请查看互助需知
我知道了
×
提示
确定
请完成安全验证×
copy
已复制链接
快去分享给好友吧!
我知道了
右上角分享
点击右上角分享
0
联系我们:info@booksci.cn Book学术提供免费学术资源搜索服务,方便国内外学者检索中英文文献。致力于提供最便捷和优质的服务体验。 Copyright © 2023 布克学术 All rights reserved.
京ICP备2023020795号-1
ghs 京公网安备 11010802042870号
Book学术文献互助
Book学术文献互助群
群 号:604180095
Book学术官方微信