女性运动员和孕妇心脏重构的差异:一项病例对照研究

IF 1.6 3区 医学 Q3 CARDIAC & CARDIOVASCULAR SYSTEMS
Loira Toncelli, Lucia Pasquini, Giulia Masini, Melissa Orlandi, Gabriele Paci, Federico Mecacci, Gianni Pedrizzetti, Giorgio Galanti
{"title":"女性运动员和孕妇心脏重构的差异:一项病例对照研究","authors":"Loira Toncelli, Lucia Pasquini, Giulia Masini, Melissa Orlandi, Gabriele Paci, Federico Mecacci, Gianni Pedrizzetti, Giorgio Galanti","doi":"10.1186/s12947-022-00280-7","DOIUrl":null,"url":null,"abstract":"<p><strong>Objectives: </strong>The aim of this study was to detect possible differences in reversible cardiac remodeling occurring in sport training and twin pregnancy.</p><p><strong>Background: </strong>cardiac remodeling occurs in athletes and pregnant women due to training and fetal requirements, respectively. These changes could be apparently similar.</p><p><strong>Methods: </strong>21 female elite athletes (23.2 ± 5.3 years), 25 women with twin pregnancies (35.4 ± 5.7 years) and 25 healthy competitive female athletes (controls), age-matched with pregnant women (34.9 ± 7.9 years), were enrolled. This latter group was included to minimize the effect of age on cardiac remodeling. All women evaluated through anamnestic collection, physical examination, 12 leads ECG, standard echocardiogram and strain analysis. Sphericity (SI) and apical conicity (ACI) indexes were also calculated.</p><p><strong>Results: </strong>Pregnant women showed higher LA dimension (p < 0.001) compared to both groups of athletes. LV e RV GLS were significantly different in pregnant women compared to female athletes (p = 0.02 and 0.03, respectively). RV GLS was also different between pregnant women and controls (p = 0.02). Pregnant women showed significantly higher S' wave compared to female athletes (p = 0.02) but not controls. Parameters of diastolic function were significantly higher in athletes (p = 0.08 for IVRT and p < 0.001 for E/A,). SI was lower in athletes in both diastole (p = 0.01) and systole (p < 0.001), while ACIs was lower in pregnant women (p = 0.04).</p><p><strong>Conclusions: </strong>Cardiac remodeling of athletes and pregnant women could be similar at first sight but different in LV shape and in GLS, highlighting a profound difference in longitudinal deformation between athletes and pregnant women. This difference seems not to be related with age. These findings suggest that an initial maternal cardiovascular maladaptation could occur in the third trimester of twin pregnancies.</p>","PeriodicalId":9613,"journal":{"name":"Cardiovascular Ultrasound","volume":" ","pages":"10"},"PeriodicalIF":1.6000,"publicationDate":"2022-04-13","publicationTypes":"Journal Article","fieldsOfStudy":null,"isOpenAccess":false,"openAccessPdf":"https://www.ncbi.nlm.nih.gov/pmc/articles/PMC9006435/pdf/","citationCount":"0","resultStr":"{\"title\":\"Difference in cardiac remodeling between female athletes and pregnant women: a case control study.\",\"authors\":\"Loira Toncelli, Lucia Pasquini, Giulia Masini, Melissa Orlandi, Gabriele Paci, Federico Mecacci, Gianni Pedrizzetti, Giorgio Galanti\",\"doi\":\"10.1186/s12947-022-00280-7\",\"DOIUrl\":null,\"url\":null,\"abstract\":\"<p><strong>Objectives: </strong>The aim of this study was to detect possible differences in reversible cardiac remodeling occurring in sport training and twin pregnancy.</p><p><strong>Background: </strong>cardiac remodeling occurs in athletes and pregnant women due to training and fetal requirements, respectively. These changes could be apparently similar.</p><p><strong>Methods: </strong>21 female elite athletes (23.2 ± 5.3 years), 25 women with twin pregnancies (35.4 ± 5.7 years) and 25 healthy competitive female athletes (controls), age-matched with pregnant women (34.9 ± 7.9 years), were enrolled. This latter group was included to minimize the effect of age on cardiac remodeling. All women evaluated through anamnestic collection, physical examination, 12 leads ECG, standard echocardiogram and strain analysis. Sphericity (SI) and apical conicity (ACI) indexes were also calculated.</p><p><strong>Results: </strong>Pregnant women showed higher LA dimension (p < 0.001) compared to both groups of athletes. LV e RV GLS were significantly different in pregnant women compared to female athletes (p = 0.02 and 0.03, respectively). RV GLS was also different between pregnant women and controls (p = 0.02). Pregnant women showed significantly higher S' wave compared to female athletes (p = 0.02) but not controls. Parameters of diastolic function were significantly higher in athletes (p = 0.08 for IVRT and p < 0.001 for E/A,). SI was lower in athletes in both diastole (p = 0.01) and systole (p < 0.001), while ACIs was lower in pregnant women (p = 0.04).</p><p><strong>Conclusions: </strong>Cardiac remodeling of athletes and pregnant women could be similar at first sight but different in LV shape and in GLS, highlighting a profound difference in longitudinal deformation between athletes and pregnant women. This difference seems not to be related with age. These findings suggest that an initial maternal cardiovascular maladaptation could occur in the third trimester of twin pregnancies.</p>\",\"PeriodicalId\":9613,\"journal\":{\"name\":\"Cardiovascular Ultrasound\",\"volume\":\" \",\"pages\":\"10\"},\"PeriodicalIF\":1.6000,\"publicationDate\":\"2022-04-13\",\"publicationTypes\":\"Journal Article\",\"fieldsOfStudy\":null,\"isOpenAccess\":false,\"openAccessPdf\":\"https://www.ncbi.nlm.nih.gov/pmc/articles/PMC9006435/pdf/\",\"citationCount\":\"0\",\"resultStr\":null,\"platform\":\"Semanticscholar\",\"paperid\":null,\"PeriodicalName\":\"Cardiovascular Ultrasound\",\"FirstCategoryId\":\"3\",\"ListUrlMain\":\"https://doi.org/10.1186/s12947-022-00280-7\",\"RegionNum\":3,\"RegionCategory\":\"医学\",\"ArticlePicture\":[],\"TitleCN\":null,\"AbstractTextCN\":null,\"PMCID\":null,\"EPubDate\":\"\",\"PubModel\":\"\",\"JCR\":\"Q3\",\"JCRName\":\"CARDIAC & CARDIOVASCULAR SYSTEMS\",\"Score\":null,\"Total\":0}","platform":"Semanticscholar","paperid":null,"PeriodicalName":"Cardiovascular Ultrasound","FirstCategoryId":"3","ListUrlMain":"https://doi.org/10.1186/s12947-022-00280-7","RegionNum":3,"RegionCategory":"医学","ArticlePicture":[],"TitleCN":null,"AbstractTextCN":null,"PMCID":null,"EPubDate":"","PubModel":"","JCR":"Q3","JCRName":"CARDIAC & CARDIOVASCULAR SYSTEMS","Score":null,"Total":0}
引用次数: 0

摘要

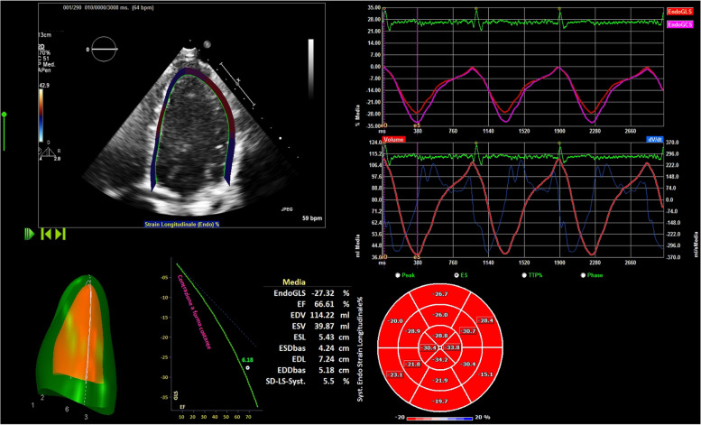
研究目的背景:由于训练和胎儿的需要,运动员和孕妇的心脏都会发生重塑。方法:21 名女性精英运动员(23.2 ± 5.3 岁)、25 名双胎妊娠妇女(35.4 ± 5.7 岁)和 25 名健康的竞技女运动员(对照组)参加了研究,她们的年龄与孕妇(34.9 ± 7.9 岁)相匹配。加入后一组是为了尽量减少年龄对心脏重塑的影响。所有女性均接受了安氏采集、体格检查、12导联心电图、标准超声心动图和应变分析。同时还计算了球形度(SI)和心尖圆锥度(ACI)指数:结果:孕妇的 LA 尺度更高(P运动员和孕妇的心脏重塑乍一看很相似,但在左心室形态和GLS方面却有所不同,这凸显了运动员和孕妇在纵向变形方面的巨大差异。这种差异似乎与年龄无关。这些研究结果表明,双胎妊娠的第三个三个月可能会出现最初的母体心血管适应不良。
本文章由计算机程序翻译,如有差异,请以英文原文为准。

Difference in cardiac remodeling between female athletes and pregnant women: a case control study.

Difference in cardiac remodeling between female athletes and pregnant women: a case control study.

Difference in cardiac remodeling between female athletes and pregnant women: a case control study.

Difference in cardiac remodeling between female athletes and pregnant women: a case control study.

Objectives: The aim of this study was to detect possible differences in reversible cardiac remodeling occurring in sport training and twin pregnancy.

Background: cardiac remodeling occurs in athletes and pregnant women due to training and fetal requirements, respectively. These changes could be apparently similar.

Methods: 21 female elite athletes (23.2 ± 5.3 years), 25 women with twin pregnancies (35.4 ± 5.7 years) and 25 healthy competitive female athletes (controls), age-matched with pregnant women (34.9 ± 7.9 years), were enrolled. This latter group was included to minimize the effect of age on cardiac remodeling. All women evaluated through anamnestic collection, physical examination, 12 leads ECG, standard echocardiogram and strain analysis. Sphericity (SI) and apical conicity (ACI) indexes were also calculated.

Results: Pregnant women showed higher LA dimension (p < 0.001) compared to both groups of athletes. LV e RV GLS were significantly different in pregnant women compared to female athletes (p = 0.02 and 0.03, respectively). RV GLS was also different between pregnant women and controls (p = 0.02). Pregnant women showed significantly higher S' wave compared to female athletes (p = 0.02) but not controls. Parameters of diastolic function were significantly higher in athletes (p = 0.08 for IVRT and p < 0.001 for E/A,). SI was lower in athletes in both diastole (p = 0.01) and systole (p < 0.001), while ACIs was lower in pregnant women (p = 0.04).

Conclusions: Cardiac remodeling of athletes and pregnant women could be similar at first sight but different in LV shape and in GLS, highlighting a profound difference in longitudinal deformation between athletes and pregnant women. This difference seems not to be related with age. These findings suggest that an initial maternal cardiovascular maladaptation could occur in the third trimester of twin pregnancies.

求助全文
通过发布文献求助,成功后即可免费获取论文全文。 去求助
来源期刊
Cardiovascular Ultrasound
Cardiovascular Ultrasound CARDIAC & CARDIOVASCULAR SYSTEMS-
CiteScore
4.10
自引率
0.00%
发文量
28
审稿时长
>12 weeks
期刊介绍: Cardiovascular Ultrasound is an online journal, publishing peer-reviewed: original research; authoritative reviews; case reports on challenging and/or unusual diagnostic aspects; and expert opinions on new techniques and technologies. We are particularly interested in articles that include relevant images or video files, which provide an additional dimension to published articles and enhance understanding. As an open access journal, Cardiovascular Ultrasound ensures high visibility for authors in addition to providing an up-to-date and freely available resource for the community. The journal welcomes discussion, and provides a forum for publishing opinion and debate ranging from biology to engineering to clinical echocardiography, with both speed and versatility.
×
引用
GB/T 7714-2015
复制
MLA
复制
APA
复制
导出至
BibTeX EndNote RefMan NoteFirst NoteExpress
×
提示
您的信息不完整,为了账户安全,请先补充。
现在去补充
×
提示
您因"违规操作"
具体请查看互助需知
我知道了
×
提示
确定
请完成安全验证×
copy
已复制链接
快去分享给好友吧!
我知道了
右上角分享
点击右上角分享
0
联系我们:info@booksci.cn Book学术提供免费学术资源搜索服务,方便国内外学者检索中英文文献。致力于提供最便捷和优质的服务体验。 Copyright © 2023 布克学术 All rights reserved.
京ICP备2023020795号-1
ghs 京公网安备 11010802042870号
Book学术文献互助
Book学术文献互助群
群 号:604180095
Book学术官方微信