臭氧和普鲁卡因增加富含血小板的血浆中血小板衍生因子的分泌。

IF 2.1 4区 生物学 Q4 CELL BIOLOGY
Chiara Rita Inguscio, Barbara Cisterna, Maria Assunta Lacavalla, Franco Donati, Osvaldo Angelini, Gabriele Tabaracci, Manuela Malatesta
{"title":"臭氧和普鲁卡因增加富含血小板的血浆中血小板衍生因子的分泌。","authors":"Chiara Rita Inguscio, Barbara Cisterna, Maria Assunta Lacavalla, Franco Donati, Osvaldo Angelini, Gabriele Tabaracci, Manuela Malatesta","doi":"10.4081/ejh.2023.3839","DOIUrl":null,"url":null,"abstract":"<p><p>Platelet-rich plasma (PRP) is gaining more and more attention in regenerative medicine as an innovative and efficient therapeutic approach. The regenerative properties of PRP rely on the numerous bioactive molecules released by the platelets: growth factors are involved in proliferation and differentiation of endothelial cells and fibroblasts, angiogenesis and extracellular matrix formation, while cytokines are mainly involved in immune cell recruitment and inflammation modulation. Attempts are ongoing to improve the therapeutic potential of PRP by combining it with agents able to promote regenerative processes. Two interesting candidates are ozone, administered at low doses as gaseous oxygen-ozone mixtures, and procaine. In the present study, we investigated the effects induced on platelets by the in vitro treatment of PRP with ozone or procaine, or both. We combined transmission electron microscopy to obtain information on platelet modifications and bioanalytical assays to quantify the secreted factors. The results demonstrate that, although platelets were already activated by the procedure to prepare PRP, both ozone and procaine induced differential morpho-functional modifications in platelets resulting in an increased release of factors. In detail, ozone induced an increase in surface protrusions and open canalicular system dilation suggestive of a marked α-granule release, while procaine caused a decrease in surface protrusions and open canalicular system dilation but a remarkable increase in microvesicle release suggestive of high secretory activity. Consistently, nine of the thirteen platelet-derived factors analysed in the PRP serum significantly increased after treatment with ozone and/or procaine. Therefore, ozone and procaine proved to have a remarkable stimulating potential without causing any damage to platelets, probably because they act through physiological, although different, secretory pathways.</p>","PeriodicalId":50487,"journal":{"name":"European Journal of Histochemistry","volume":"67 4","pages":""},"PeriodicalIF":2.1000,"publicationDate":"2023-10-10","publicationTypes":"Journal Article","fieldsOfStudy":null,"isOpenAccess":false,"openAccessPdf":"https://www.ncbi.nlm.nih.gov/pmc/articles/PMC10644046/pdf/","citationCount":"0","resultStr":"{\"title\":\"Ozone and procaine increase secretion of platelet-derived factors in platelet-rich plasma.\",\"authors\":\"Chiara Rita Inguscio, Barbara Cisterna, Maria Assunta Lacavalla, Franco Donati, Osvaldo Angelini, Gabriele Tabaracci, Manuela Malatesta\",\"doi\":\"10.4081/ejh.2023.3839\",\"DOIUrl\":null,\"url\":null,\"abstract\":\"<p><p>Platelet-rich plasma (PRP) is gaining more and more attention in regenerative medicine as an innovative and efficient therapeutic approach. The regenerative properties of PRP rely on the numerous bioactive molecules released by the platelets: growth factors are involved in proliferation and differentiation of endothelial cells and fibroblasts, angiogenesis and extracellular matrix formation, while cytokines are mainly involved in immune cell recruitment and inflammation modulation. Attempts are ongoing to improve the therapeutic potential of PRP by combining it with agents able to promote regenerative processes. Two interesting candidates are ozone, administered at low doses as gaseous oxygen-ozone mixtures, and procaine. In the present study, we investigated the effects induced on platelets by the in vitro treatment of PRP with ozone or procaine, or both. We combined transmission electron microscopy to obtain information on platelet modifications and bioanalytical assays to quantify the secreted factors. The results demonstrate that, although platelets were already activated by the procedure to prepare PRP, both ozone and procaine induced differential morpho-functional modifications in platelets resulting in an increased release of factors. In detail, ozone induced an increase in surface protrusions and open canalicular system dilation suggestive of a marked α-granule release, while procaine caused a decrease in surface protrusions and open canalicular system dilation but a remarkable increase in microvesicle release suggestive of high secretory activity. Consistently, nine of the thirteen platelet-derived factors analysed in the PRP serum significantly increased after treatment with ozone and/or procaine. Therefore, ozone and procaine proved to have a remarkable stimulating potential without causing any damage to platelets, probably because they act through physiological, although different, secretory pathways.</p>\",\"PeriodicalId\":50487,\"journal\":{\"name\":\"European Journal of Histochemistry\",\"volume\":\"67 4\",\"pages\":\"\"},\"PeriodicalIF\":2.1000,\"publicationDate\":\"2023-10-10\",\"publicationTypes\":\"Journal Article\",\"fieldsOfStudy\":null,\"isOpenAccess\":false,\"openAccessPdf\":\"https://www.ncbi.nlm.nih.gov/pmc/articles/PMC10644046/pdf/\",\"citationCount\":\"0\",\"resultStr\":null,\"platform\":\"Semanticscholar\",\"paperid\":null,\"PeriodicalName\":\"European Journal of Histochemistry\",\"FirstCategoryId\":\"99\",\"ListUrlMain\":\"https://doi.org/10.4081/ejh.2023.3839\",\"RegionNum\":4,\"RegionCategory\":\"生物学\",\"ArticlePicture\":[],\"TitleCN\":null,\"AbstractTextCN\":null,\"PMCID\":null,\"EPubDate\":\"\",\"PubModel\":\"\",\"JCR\":\"Q4\",\"JCRName\":\"CELL BIOLOGY\",\"Score\":null,\"Total\":0}","platform":"Semanticscholar","paperid":null,"PeriodicalName":"European Journal of Histochemistry","FirstCategoryId":"99","ListUrlMain":"https://doi.org/10.4081/ejh.2023.3839","RegionNum":4,"RegionCategory":"生物学","ArticlePicture":[],"TitleCN":null,"AbstractTextCN":null,"PMCID":null,"EPubDate":"","PubModel":"","JCR":"Q4","JCRName":"CELL BIOLOGY","Score":null,"Total":0}
引用次数: 0

摘要

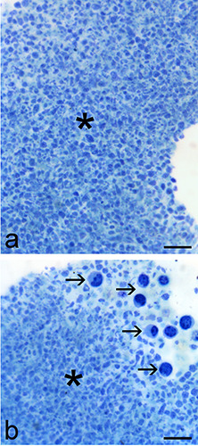
富血小板血浆(PRP)作为一种创新有效的治疗方法,在再生医学中越来越受到重视。PRP的再生特性依赖于血小板释放的大量生物活性分子:生长因子参与内皮细胞和成纤维细胞的增殖和分化、血管生成和细胞外基质的形成,而细胞因子主要参与免疫细胞募集和炎症调节。目前正在尝试通过将PRP与能够促进再生过程的药物相结合来提高其治疗潜力。两个有趣的候选者是臭氧,以气态氧-臭氧混合物的低剂量给药,以及普鲁卡因。在本研究中,我们研究了臭氧或普鲁卡因或两者联合体外处理PRP对血小板的影响。我们结合透射电子显微镜获得血小板修饰的信息,并结合生物分析测定来量化分泌因子。结果表明,尽管血小板已经被制备PRP的程序激活,但臭氧和普鲁卡因都诱导了血小板的不同形态功能修饰,导致因子的释放增加。详细地说,臭氧诱导表面突起增加和开放性小管系统扩张,提示显著的α-颗粒释放,而普鲁卡因导致表面突起减少和开放性管系统扩张,但微泡释放显著增加,提示高分泌活性。一致地,在用臭氧和/或普鲁卡因治疗后,PRP血清中分析的13个血小板衍生因子中有9个显著增加。因此,臭氧和普鲁卡因被证明具有显著的刺激潜力,不会对血小板造成任何损伤,这可能是因为它们通过生理分泌途径发挥作用,尽管它们不同。
本文章由计算机程序翻译,如有差异,请以英文原文为准。

Ozone and procaine increase secretion of platelet-derived factors in platelet-rich plasma.

Ozone and procaine increase secretion of platelet-derived factors in platelet-rich plasma.

Ozone and procaine increase secretion of platelet-derived factors in platelet-rich plasma.

Ozone and procaine increase secretion of platelet-derived factors in platelet-rich plasma.

Platelet-rich plasma (PRP) is gaining more and more attention in regenerative medicine as an innovative and efficient therapeutic approach. The regenerative properties of PRP rely on the numerous bioactive molecules released by the platelets: growth factors are involved in proliferation and differentiation of endothelial cells and fibroblasts, angiogenesis and extracellular matrix formation, while cytokines are mainly involved in immune cell recruitment and inflammation modulation. Attempts are ongoing to improve the therapeutic potential of PRP by combining it with agents able to promote regenerative processes. Two interesting candidates are ozone, administered at low doses as gaseous oxygen-ozone mixtures, and procaine. In the present study, we investigated the effects induced on platelets by the in vitro treatment of PRP with ozone or procaine, or both. We combined transmission electron microscopy to obtain information on platelet modifications and bioanalytical assays to quantify the secreted factors. The results demonstrate that, although platelets were already activated by the procedure to prepare PRP, both ozone and procaine induced differential morpho-functional modifications in platelets resulting in an increased release of factors. In detail, ozone induced an increase in surface protrusions and open canalicular system dilation suggestive of a marked α-granule release, while procaine caused a decrease in surface protrusions and open canalicular system dilation but a remarkable increase in microvesicle release suggestive of high secretory activity. Consistently, nine of the thirteen platelet-derived factors analysed in the PRP serum significantly increased after treatment with ozone and/or procaine. Therefore, ozone and procaine proved to have a remarkable stimulating potential without causing any damage to platelets, probably because they act through physiological, although different, secretory pathways.

求助全文
通过发布文献求助,成功后即可免费获取论文全文。 去求助
来源期刊
European Journal of Histochemistry
European Journal of Histochemistry 生物-细胞生物学
CiteScore
3.70
自引率
5.00%
发文量
47
审稿时长
3 months
期刊介绍: The Journal publishes original papers concerning investigations by histochemical and immunohistochemical methods, and performed with the aid of light, super-resolution and electron microscopy, cytometry and imaging techniques. Coverage extends to: functional cell and tissue biology in animals and plants; cell differentiation and death; cell-cell interaction and molecular trafficking; biology of cell development and senescence; nerve and muscle cell biology; cellular basis of diseases. The histochemical approach is nowadays essentially aimed at locating molecules in the very place where they exert their biological roles, and at describing dynamically specific chemical activities in living cells. Basic research on cell functional organization is essential for understanding the mechanisms underlying major biological processes such as differentiation, the control of tissue homeostasis, and the regulation of normal and tumor cell growth. Even more than in the past, the European Journal of Histochemistry, as a journal of functional cytology, represents the venue where cell scientists may present and discuss their original results, technical improvements and theories.
×
引用
GB/T 7714-2015
复制
MLA
复制
APA
复制
导出至
BibTeX EndNote RefMan NoteFirst NoteExpress
×
提示
您的信息不完整,为了账户安全,请先补充。
现在去补充
×
提示
您因"违规操作"
具体请查看互助需知
我知道了
×
提示
确定
请完成安全验证×
copy
已复制链接
快去分享给好友吧!
我知道了
右上角分享
点击右上角分享
0
联系我们:info@booksci.cn Book学术提供免费学术资源搜索服务,方便国内外学者检索中英文文献。致力于提供最便捷和优质的服务体验。 Copyright © 2023 布克学术 All rights reserved.
京ICP备2023020795号-1
ghs 京公网安备 11010802042870号
Book学术文献互助
Book学术文献互助群
群 号:604180095
Book学术官方微信