一例肝细胞癌继发恶性肿瘤的体液高钙血症,临床表现突出。

Spartan medical research journal Pub Date : 2019-07-01
Pamela Castro-Camero, Bumsoo Park, Amit Gupta, Raghavendra Vemulapalli, Maria Shreve
{"title":"一例肝细胞癌继发恶性肿瘤的体液高钙血症,临床表现突出。","authors":"Pamela Castro-Camero, Bumsoo Park, Amit Gupta, Raghavendra Vemulapalli, Maria Shreve","doi":"","DOIUrl":null,"url":null,"abstract":"<p><p>Hepatocellular carcinoma is one of the most common liver malignancies in the United States. Poor prognosis is associated with paraneoplastic syndromes such as hypercalcemia, hypercholesterolemia, or hypoglycemia. Hypercalcemia as a paraneoplastic syndrome of hepatocellular carcinoma has been rarely reported. We report a mortality case of incidentally diagnosed hepatocellular carcinoma associated with humoral hypercalcemia of malignancy. The patient demonstrated a fulminant disease course with an unexpected fatal outcome within 40 days of initial diagnosis. Our case can suggest importance of early definitive treatment of hepatocellular carcinoma, extremely close monitoring, and aggressive medical treatment when it is associated with humoral hypercalcemia of malignancy.</p>","PeriodicalId":74853,"journal":{"name":"Spartan medical research journal","volume":"4 1","pages":"8983"},"PeriodicalIF":0.0000,"publicationDate":"2019-07-01","publicationTypes":"Journal Article","fieldsOfStudy":null,"isOpenAccess":false,"openAccessPdf":"https://www.ncbi.nlm.nih.gov/pmc/articles/PMC7746133/pdf/","citationCount":"0","resultStr":"{\"title\":\"A Case of Humoral Hypercalcemia of Malignancy Secondary to Hepatocellular Carcinoma with Fulminant Clinical Course.\",\"authors\":\"Pamela Castro-Camero, Bumsoo Park, Amit Gupta, Raghavendra Vemulapalli, Maria Shreve\",\"doi\":\"\",\"DOIUrl\":null,\"url\":null,\"abstract\":\"<p><p>Hepatocellular carcinoma is one of the most common liver malignancies in the United States. Poor prognosis is associated with paraneoplastic syndromes such as hypercalcemia, hypercholesterolemia, or hypoglycemia. Hypercalcemia as a paraneoplastic syndrome of hepatocellular carcinoma has been rarely reported. We report a mortality case of incidentally diagnosed hepatocellular carcinoma associated with humoral hypercalcemia of malignancy. The patient demonstrated a fulminant disease course with an unexpected fatal outcome within 40 days of initial diagnosis. Our case can suggest importance of early definitive treatment of hepatocellular carcinoma, extremely close monitoring, and aggressive medical treatment when it is associated with humoral hypercalcemia of malignancy.</p>\",\"PeriodicalId\":74853,\"journal\":{\"name\":\"Spartan medical research journal\",\"volume\":\"4 1\",\"pages\":\"8983\"},\"PeriodicalIF\":0.0000,\"publicationDate\":\"2019-07-01\",\"publicationTypes\":\"Journal Article\",\"fieldsOfStudy\":null,\"isOpenAccess\":false,\"openAccessPdf\":\"https://www.ncbi.nlm.nih.gov/pmc/articles/PMC7746133/pdf/\",\"citationCount\":\"0\",\"resultStr\":null,\"platform\":\"Semanticscholar\",\"paperid\":null,\"PeriodicalName\":\"Spartan medical research journal\",\"FirstCategoryId\":\"1085\",\"ListUrlMain\":\"\",\"RegionNum\":0,\"RegionCategory\":null,\"ArticlePicture\":[],\"TitleCN\":null,\"AbstractTextCN\":null,\"PMCID\":null,\"EPubDate\":\"\",\"PubModel\":\"\",\"JCR\":\"\",\"JCRName\":\"\",\"Score\":null,\"Total\":0}","platform":"Semanticscholar","paperid":null,"PeriodicalName":"Spartan medical research journal","FirstCategoryId":"1085","ListUrlMain":"","RegionNum":0,"RegionCategory":null,"ArticlePicture":[],"TitleCN":null,"AbstractTextCN":null,"PMCID":null,"EPubDate":"","PubModel":"","JCR":"","JCRName":"","Score":null,"Total":0}
引用次数: 0

摘要

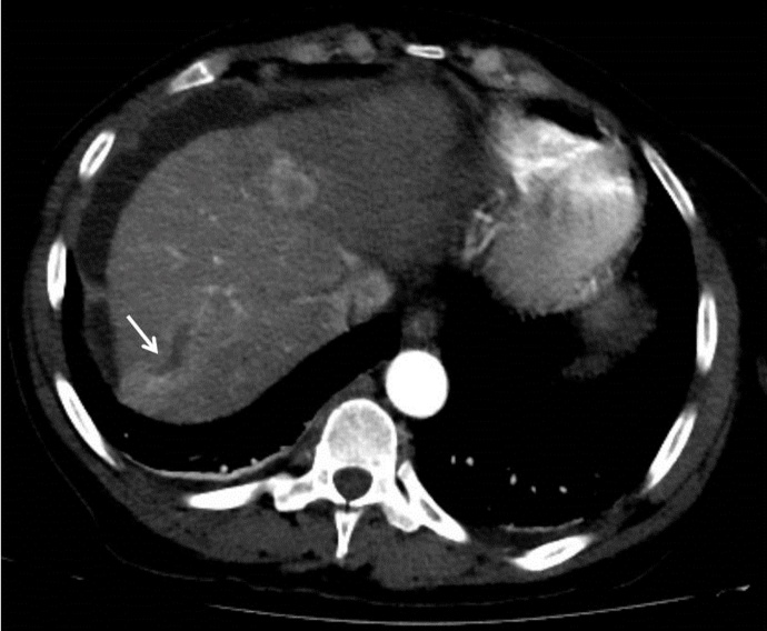
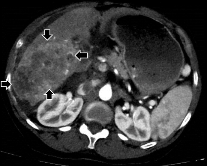
肝细胞癌是美国最常见的肝脏恶性肿瘤之一。预后不良与副肿瘤综合征有关,如高钙血症、高胆固醇血症或低血糖。高钙血症是肝细胞癌的一种副肿瘤综合征,很少有报道。我们报告了一例偶然诊断的肝细胞癌伴恶性体液高钙血症的死亡病例。该患者在最初诊断的40天内表现出暴发性病程,并出现意外的致命结果。我们的病例表明,当肝细胞癌与恶性肿瘤的体液高钙血症相关时,早期明确治疗、密切监测和积极治疗具有重要意义。
本文章由计算机程序翻译,如有差异,请以英文原文为准。

A Case of Humoral Hypercalcemia of Malignancy Secondary to Hepatocellular Carcinoma with Fulminant Clinical Course.

A Case of Humoral Hypercalcemia of Malignancy Secondary to Hepatocellular Carcinoma with Fulminant Clinical Course.

A Case of Humoral Hypercalcemia of Malignancy Secondary to Hepatocellular Carcinoma with Fulminant Clinical Course.

Hepatocellular carcinoma is one of the most common liver malignancies in the United States. Poor prognosis is associated with paraneoplastic syndromes such as hypercalcemia, hypercholesterolemia, or hypoglycemia. Hypercalcemia as a paraneoplastic syndrome of hepatocellular carcinoma has been rarely reported. We report a mortality case of incidentally diagnosed hepatocellular carcinoma associated with humoral hypercalcemia of malignancy. The patient demonstrated a fulminant disease course with an unexpected fatal outcome within 40 days of initial diagnosis. Our case can suggest importance of early definitive treatment of hepatocellular carcinoma, extremely close monitoring, and aggressive medical treatment when it is associated with humoral hypercalcemia of malignancy.

求助全文
通过发布文献求助,成功后即可免费获取论文全文。 去求助
来源期刊
自引率
0.00%
发文量
0
×
引用
GB/T 7714-2015
复制
MLA
复制
APA
复制
导出至
BibTeX EndNote RefMan NoteFirst NoteExpress
×
提示
您的信息不完整,为了账户安全,请先补充。
现在去补充
×
提示
您因"违规操作"
具体请查看互助需知
我知道了
×
提示
确定
请完成安全验证×
copy
已复制链接
快去分享给好友吧!
我知道了
右上角分享
点击右上角分享
0
联系我们:info@booksci.cn Book学术提供免费学术资源搜索服务,方便国内外学者检索中英文文献。致力于提供最便捷和优质的服务体验。 Copyright © 2023 布克学术 All rights reserved.
京ICP备2023020795号-1
ghs 京公网安备 11010802042870号
Book学术文献互助
Book学术文献互助群
群 号:604180095
Book学术官方微信