经支气管微波消融治疗周围型肺部肿瘤:NAVABLATE研究。

IF 3.2 Q2 RESPIRATORY SYSTEM
Kelvin K W Lau, Rainbow W H Lau, Ralitsa Baranowski, Julie Krzykowski, Calvin S H Ng
{"title":"经支气管微波消融治疗周围型肺部肿瘤:NAVABLATE研究。","authors":"Kelvin K W Lau, Rainbow W H Lau, Ralitsa Baranowski, Julie Krzykowski, Calvin S H Ng","doi":"10.1097/LBR.0000000000000950","DOIUrl":null,"url":null,"abstract":"<p><strong>Background: </strong>Image-guided thermal ablation is a minimally invasive local therapy for lung malignancies. NAVABLATE characterized the safety and performance of transbronchial microwave ablation (MWA) in the lung.</p><p><strong>Methods: </strong>The prospective, single-arm, 2-center NAVABLATE study (NCT03569111) evaluated transbronchial MWA in patients with histologically confirmed lung malignancies ≤30 mm in maximum diameter who were not candidates for, or who declined, both surgery and stereotactic body radiation therapy. Ablation of 1 nodule was allowed per subject. The nodule was reached with electromagnetic navigation bronchoscopy. Cone-beam computed tomography was used to verify the ablation catheter position and to evaluate the ablation zone postprocedure. The primary end point was composite adverse events related to the transbronchial MWA device through 1-month follow-up. Secondary end points included technical success (nodule reached and ablated according to the study protocol) and technique efficacy (satisfactory ablation based on 1-month follow-up imaging).</p><p><strong>Results: </strong>Thirty subjects (30 nodules; 66.7% primary lung, 33.3% oligometastatic) were enrolled from February 2019 to September 2020. The pre-procedure median nodule size was 12.5 mm (range 5 to 27 mm). Procedure-day technical success was 100% (30/30), with a mean ablative margin of 9.9±2.7 mm. One-month imaging showed 100% (30/30) technique efficacy. The composite adverse event rate related to the transbronchial MWA device through 1-month follow-up was 3.3% (1 subject, mild hemoptysis). No deaths or pneumothoraces occurred. Four subjects (13.3%) experienced grade 3 complications; none had grade 4 or 5.</p><p><strong>Conclusion: </strong>Transbronchial microwave ablation is an alternative treatment modality for malignant lung nodules ≤30 mm. There were no deaths or pneumothorax. In all, 13.3% of patients developed grade 3 or above complications.</p>","PeriodicalId":15268,"journal":{"name":"Journal of Bronchology & Interventional Pulmonology","volume":" ","pages":"165-174"},"PeriodicalIF":3.2000,"publicationDate":"2024-04-01","publicationTypes":"Journal Article","fieldsOfStudy":null,"isOpenAccess":false,"openAccessPdf":"https://www.ncbi.nlm.nih.gov/pmc/articles/PMC10984635/pdf/","citationCount":"0","resultStr":"{\"title\":\"Transbronchial Microwave Ablation of Peripheral Lung Tumors: The NAVABLATE Study.\",\"authors\":\"Kelvin K W Lau, Rainbow W H Lau, Ralitsa Baranowski, Julie Krzykowski, Calvin S H Ng\",\"doi\":\"10.1097/LBR.0000000000000950\",\"DOIUrl\":null,\"url\":null,\"abstract\":\"<p><strong>Background: </strong>Image-guided thermal ablation is a minimally invasive local therapy for lung malignancies. NAVABLATE characterized the safety and performance of transbronchial microwave ablation (MWA) in the lung.</p><p><strong>Methods: </strong>The prospective, single-arm, 2-center NAVABLATE study (NCT03569111) evaluated transbronchial MWA in patients with histologically confirmed lung malignancies ≤30 mm in maximum diameter who were not candidates for, or who declined, both surgery and stereotactic body radiation therapy. Ablation of 1 nodule was allowed per subject. The nodule was reached with electromagnetic navigation bronchoscopy. Cone-beam computed tomography was used to verify the ablation catheter position and to evaluate the ablation zone postprocedure. The primary end point was composite adverse events related to the transbronchial MWA device through 1-month follow-up. Secondary end points included technical success (nodule reached and ablated according to the study protocol) and technique efficacy (satisfactory ablation based on 1-month follow-up imaging).</p><p><strong>Results: </strong>Thirty subjects (30 nodules; 66.7% primary lung, 33.3% oligometastatic) were enrolled from February 2019 to September 2020. The pre-procedure median nodule size was 12.5 mm (range 5 to 27 mm). Procedure-day technical success was 100% (30/30), with a mean ablative margin of 9.9±2.7 mm. One-month imaging showed 100% (30/30) technique efficacy. The composite adverse event rate related to the transbronchial MWA device through 1-month follow-up was 3.3% (1 subject, mild hemoptysis). No deaths or pneumothoraces occurred. Four subjects (13.3%) experienced grade 3 complications; none had grade 4 or 5.</p><p><strong>Conclusion: </strong>Transbronchial microwave ablation is an alternative treatment modality for malignant lung nodules ≤30 mm. There were no deaths or pneumothorax. In all, 13.3% of patients developed grade 3 or above complications.</p>\",\"PeriodicalId\":15268,\"journal\":{\"name\":\"Journal of Bronchology & Interventional Pulmonology\",\"volume\":\" \",\"pages\":\"165-174\"},\"PeriodicalIF\":3.2000,\"publicationDate\":\"2024-04-01\",\"publicationTypes\":\"Journal Article\",\"fieldsOfStudy\":null,\"isOpenAccess\":false,\"openAccessPdf\":\"https://www.ncbi.nlm.nih.gov/pmc/articles/PMC10984635/pdf/\",\"citationCount\":\"0\",\"resultStr\":null,\"platform\":\"Semanticscholar\",\"paperid\":null,\"PeriodicalName\":\"Journal of Bronchology & Interventional Pulmonology\",\"FirstCategoryId\":\"1085\",\"ListUrlMain\":\"https://doi.org/10.1097/LBR.0000000000000950\",\"RegionNum\":0,\"RegionCategory\":null,\"ArticlePicture\":[],\"TitleCN\":null,\"AbstractTextCN\":null,\"PMCID\":null,\"EPubDate\":\"\",\"PubModel\":\"\",\"JCR\":\"Q2\",\"JCRName\":\"RESPIRATORY SYSTEM\",\"Score\":null,\"Total\":0}","platform":"Semanticscholar","paperid":null,"PeriodicalName":"Journal of Bronchology & Interventional Pulmonology","FirstCategoryId":"1085","ListUrlMain":"https://doi.org/10.1097/LBR.0000000000000950","RegionNum":0,"RegionCategory":null,"ArticlePicture":[],"TitleCN":null,"AbstractTextCN":null,"PMCID":null,"EPubDate":"","PubModel":"","JCR":"Q2","JCRName":"RESPIRATORY SYSTEM","Score":null,"Total":0}
引用次数: 0

摘要

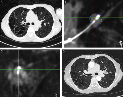
背景:图像引导热消融是一种微创的肺部恶性肿瘤局部治疗方法。NAVABLATE研究了经支气管微波消融术(MWA)在肺部的安全性和性能。方法:前瞻性单臂双中心NAVABLATE研究(NCT03569111)评估了经组织学证实的最大直径≤30mm的肺部恶性肿瘤患者的经支气管MWA,这些患者不适合或拒绝接受手术和立体定向身体放射治疗。每个受试者允许消融1个结节。通过电磁导航支气管镜检查到达结节。锥形束计算机断层扫描用于验证消融导管的位置并评估术后消融区。主要终点是通过1个月的随访,与经支气管MWA装置相关的复合不良事件。次要终点包括技术成功(根据研究方案到达并消融结节)和技术疗效(基于1个月随访成像的满意消融)。结果:2019年2月至2020年9月,30名受试者(30个结节;66.7%的原发性肺,33.3%的少转移性肺)入选。术前结节的中位尺寸为12.5毫米(范围为5至27毫米)。手术当天的技术成功率为100%(30/30),平均消融边缘为9.9±2.7mm。一个月的成像显示技术有效性为100%(/30)。通过1个月的随访,与经支气管MWA装置相关的综合不良事件发生率为3.3%(1名受试者,轻度咳血)。未发生死亡或胸腔积液。4名受试者(13.3%)出现3级并发症;结论:经支气管微波消融术是治疗≤30mm恶性肺结节的一种替代治疗方法。没有死亡或发生肺气肿。总的来说,13.3%的患者出现3级或以上并发症。
本文章由计算机程序翻译,如有差异,请以英文原文为准。

Transbronchial Microwave Ablation of Peripheral Lung Tumors: The NAVABLATE Study.

Transbronchial Microwave Ablation of Peripheral Lung Tumors: The NAVABLATE Study.

Background: Image-guided thermal ablation is a minimally invasive local therapy for lung malignancies. NAVABLATE characterized the safety and performance of transbronchial microwave ablation (MWA) in the lung.

Methods: The prospective, single-arm, 2-center NAVABLATE study (NCT03569111) evaluated transbronchial MWA in patients with histologically confirmed lung malignancies ≤30 mm in maximum diameter who were not candidates for, or who declined, both surgery and stereotactic body radiation therapy. Ablation of 1 nodule was allowed per subject. The nodule was reached with electromagnetic navigation bronchoscopy. Cone-beam computed tomography was used to verify the ablation catheter position and to evaluate the ablation zone postprocedure. The primary end point was composite adverse events related to the transbronchial MWA device through 1-month follow-up. Secondary end points included technical success (nodule reached and ablated according to the study protocol) and technique efficacy (satisfactory ablation based on 1-month follow-up imaging).

Results: Thirty subjects (30 nodules; 66.7% primary lung, 33.3% oligometastatic) were enrolled from February 2019 to September 2020. The pre-procedure median nodule size was 12.5 mm (range 5 to 27 mm). Procedure-day technical success was 100% (30/30), with a mean ablative margin of 9.9±2.7 mm. One-month imaging showed 100% (30/30) technique efficacy. The composite adverse event rate related to the transbronchial MWA device through 1-month follow-up was 3.3% (1 subject, mild hemoptysis). No deaths or pneumothoraces occurred. Four subjects (13.3%) experienced grade 3 complications; none had grade 4 or 5.

Conclusion: Transbronchial microwave ablation is an alternative treatment modality for malignant lung nodules ≤30 mm. There were no deaths or pneumothorax. In all, 13.3% of patients developed grade 3 or above complications.

求助全文
通过发布文献求助,成功后即可免费获取论文全文。 去求助
来源期刊
CiteScore
4.40
自引率
6.10%
发文量
121
×
引用
GB/T 7714-2015
复制
MLA
复制
APA
复制
导出至
BibTeX EndNote RefMan NoteFirst NoteExpress
×
提示
您的信息不完整,为了账户安全,请先补充。
现在去补充
×
提示
您因"违规操作"
具体请查看互助需知
我知道了
×
提示
确定
请完成安全验证×
copy
已复制链接
快去分享给好友吧!
我知道了
右上角分享
点击右上角分享
0
联系我们:info@booksci.cn Book学术提供免费学术资源搜索服务,方便国内外学者检索中英文文献。致力于提供最便捷和优质的服务体验。 Copyright © 2023 布克学术 All rights reserved.
京ICP备2023020795号-1
ghs 京公网安备 11010802042870号
Book学术文献互助
Book学术文献互助群
群 号:604180095
Book学术官方微信