细胞块的热诱导加工显著缩短了总周转时间。

IF 1 4区 医学 Q4 MEDICAL LABORATORY TECHNOLOGY
Journal of Cytology Pub Date : 2023-07-01 Epub Date: 2023-08-14 DOI:10.4103/joc.joc_34_23
Suhas Dhende, Saleem Pathuthara, Neelam Prabhudesai, Dipak Shinde, Nupur Karnik, Kedar Deodhar
{"title":"细胞块的热诱导加工显著缩短了总周转时间。","authors":"Suhas Dhende,&nbsp;Saleem Pathuthara,&nbsp;Neelam Prabhudesai,&nbsp;Dipak Shinde,&nbsp;Nupur Karnik,&nbsp;Kedar Deodhar","doi":"10.4103/joc.joc_34_23","DOIUrl":null,"url":null,"abstract":"<p><strong>Introduction: </strong>Cellblock (CB) with immunohistochemistry (IHC) is practically indispensable in the diagnostic workup of serous effusions; however, CB requires a minimum of 15-20 h for routine histopathological processing. A reduction in processing time can expedite a faster diagnosis.</p><p><strong>Aim: </strong>This study was undertaken to evaluate the utility of the heat-induced CB (HICB) technique.</p><p><strong>Material and methods: </strong>Two sets of agar-embedded CBs were processed from 50 effusion samples. CBs were further processed by conventional and rapid methods. Conventional CBs (CCB) were processed in a histoprocessor, whereas rapid CB was processed in a heated water bath with an agitation facility. For HICB processing, dehydration and clearing were performed at 50°C followed by paraffin wax impregnation at 65°C temperature. From both CBs, sections of 5 um thickness were cut and stained with hematoxylin and eosin (H and E). Cell morphology, cost, and time were compared between the two methods. The feasibility of IHC was attempted in a few cases.</p><p><strong>Results: </strong>HICB was completed within 4.30 h compared with CCB. Diagnoses on both CBs were concordant in all the cases. Incomplete dehydration was noted in six (12%) cases, but the diagnosis was not compromised. No additional cost was involved in HICB. On IHC, both HICB and CCB exhibited equivalent expression.</p><p><strong>Conclusions: </strong>HICB is a rapid, innovative, simple, and cost-effective technique and expedites faster diagnosis. It does not require any advanced equipment.</p>","PeriodicalId":50217,"journal":{"name":"Journal of Cytology","volume":"40 3","pages":"126-132"},"PeriodicalIF":1.0000,"publicationDate":"2023-07-01","publicationTypes":"Journal Article","fieldsOfStudy":null,"isOpenAccess":false,"openAccessPdf":"https://www.ncbi.nlm.nih.gov/pmc/articles/PMC10516157/pdf/","citationCount":"0","resultStr":"{\"title\":\"Heat Induced Processing of Cellblocks with Significant Reduction in Overall Turn Around Time.\",\"authors\":\"Suhas Dhende,&nbsp;Saleem Pathuthara,&nbsp;Neelam Prabhudesai,&nbsp;Dipak Shinde,&nbsp;Nupur Karnik,&nbsp;Kedar Deodhar\",\"doi\":\"10.4103/joc.joc_34_23\",\"DOIUrl\":null,\"url\":null,\"abstract\":\"<p><strong>Introduction: </strong>Cellblock (CB) with immunohistochemistry (IHC) is practically indispensable in the diagnostic workup of serous effusions; however, CB requires a minimum of 15-20 h for routine histopathological processing. A reduction in processing time can expedite a faster diagnosis.</p><p><strong>Aim: </strong>This study was undertaken to evaluate the utility of the heat-induced CB (HICB) technique.</p><p><strong>Material and methods: </strong>Two sets of agar-embedded CBs were processed from 50 effusion samples. CBs were further processed by conventional and rapid methods. Conventional CBs (CCB) were processed in a histoprocessor, whereas rapid CB was processed in a heated water bath with an agitation facility. For HICB processing, dehydration and clearing were performed at 50°C followed by paraffin wax impregnation at 65°C temperature. From both CBs, sections of 5 um thickness were cut and stained with hematoxylin and eosin (H and E). Cell morphology, cost, and time were compared between the two methods. The feasibility of IHC was attempted in a few cases.</p><p><strong>Results: </strong>HICB was completed within 4.30 h compared with CCB. Diagnoses on both CBs were concordant in all the cases. Incomplete dehydration was noted in six (12%) cases, but the diagnosis was not compromised. No additional cost was involved in HICB. On IHC, both HICB and CCB exhibited equivalent expression.</p><p><strong>Conclusions: </strong>HICB is a rapid, innovative, simple, and cost-effective technique and expedites faster diagnosis. It does not require any advanced equipment.</p>\",\"PeriodicalId\":50217,\"journal\":{\"name\":\"Journal of Cytology\",\"volume\":\"40 3\",\"pages\":\"126-132\"},\"PeriodicalIF\":1.0000,\"publicationDate\":\"2023-07-01\",\"publicationTypes\":\"Journal Article\",\"fieldsOfStudy\":null,\"isOpenAccess\":false,\"openAccessPdf\":\"https://www.ncbi.nlm.nih.gov/pmc/articles/PMC10516157/pdf/\",\"citationCount\":\"0\",\"resultStr\":null,\"platform\":\"Semanticscholar\",\"paperid\":null,\"PeriodicalName\":\"Journal of Cytology\",\"FirstCategoryId\":\"3\",\"ListUrlMain\":\"https://doi.org/10.4103/joc.joc_34_23\",\"RegionNum\":4,\"RegionCategory\":\"医学\",\"ArticlePicture\":[],\"TitleCN\":null,\"AbstractTextCN\":null,\"PMCID\":null,\"EPubDate\":\"2023/8/14 0:00:00\",\"PubModel\":\"Epub\",\"JCR\":\"Q4\",\"JCRName\":\"MEDICAL LABORATORY TECHNOLOGY\",\"Score\":null,\"Total\":0}","platform":"Semanticscholar","paperid":null,"PeriodicalName":"Journal of Cytology","FirstCategoryId":"3","ListUrlMain":"https://doi.org/10.4103/joc.joc_34_23","RegionNum":4,"RegionCategory":"医学","ArticlePicture":[],"TitleCN":null,"AbstractTextCN":null,"PMCID":null,"EPubDate":"2023/8/14 0:00:00","PubModel":"Epub","JCR":"Q4","JCRName":"MEDICAL LABORATORY TECHNOLOGY","Score":null,"Total":0}
引用次数: 0

摘要

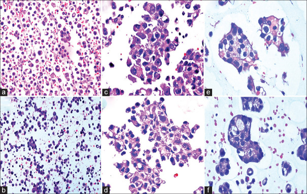
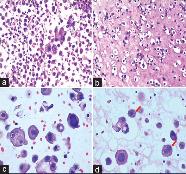
引言:细胞块(CB)和免疫组织化学(IHC)在浆液性渗出液的诊断中是必不可少的;然而,CB需要至少15-20小时的常规组织病理学处理。减少处理时间可以加快诊断速度。目的:本研究旨在评估热诱导CB(HICB)技术的实用性。材料和方法:从50份渗出液样品中制备两套琼脂包埋CBs。通过常规和快速方法对CB进行进一步处理。常规CB(CCB)在组织处理器中处理,而快速CB在带搅拌设备的热水浴中处理。对于HICB加工,在50°C下进行脱水和清理,然后在65°C下浸渍石蜡。从两个CB中,切割厚度为5μm的切片,并用苏木精和伊红(H和E)染色。比较了两种方法的细胞形态、成本和时间。在少数情况下尝试了国际人道主义法的可行性。结果:与CCB相比,HICB在4.30小时内完成。在所有病例中,两种CBs的诊断都是一致的。在6例(12%)病例中发现不完全脱水,但诊断没有受到影响。HICB不涉及额外费用。在IHC上,HICB和CCB都表现出相同的表达。结论:HICB是一种快速、创新、简单、成本效益高的技术,可加快诊断速度。它不需要任何先进的设备。
本文章由计算机程序翻译,如有差异,请以英文原文为准。

Heat Induced Processing of Cellblocks with Significant Reduction in Overall Turn Around Time.

Heat Induced Processing of Cellblocks with Significant Reduction in Overall Turn Around Time.

Heat Induced Processing of Cellblocks with Significant Reduction in Overall Turn Around Time.

Heat Induced Processing of Cellblocks with Significant Reduction in Overall Turn Around Time.

Introduction: Cellblock (CB) with immunohistochemistry (IHC) is practically indispensable in the diagnostic workup of serous effusions; however, CB requires a minimum of 15-20 h for routine histopathological processing. A reduction in processing time can expedite a faster diagnosis.

Aim: This study was undertaken to evaluate the utility of the heat-induced CB (HICB) technique.

Material and methods: Two sets of agar-embedded CBs were processed from 50 effusion samples. CBs were further processed by conventional and rapid methods. Conventional CBs (CCB) were processed in a histoprocessor, whereas rapid CB was processed in a heated water bath with an agitation facility. For HICB processing, dehydration and clearing were performed at 50°C followed by paraffin wax impregnation at 65°C temperature. From both CBs, sections of 5 um thickness were cut and stained with hematoxylin and eosin (H and E). Cell morphology, cost, and time were compared between the two methods. The feasibility of IHC was attempted in a few cases.

Results: HICB was completed within 4.30 h compared with CCB. Diagnoses on both CBs were concordant in all the cases. Incomplete dehydration was noted in six (12%) cases, but the diagnosis was not compromised. No additional cost was involved in HICB. On IHC, both HICB and CCB exhibited equivalent expression.

Conclusions: HICB is a rapid, innovative, simple, and cost-effective technique and expedites faster diagnosis. It does not require any advanced equipment.

求助全文
通过发布文献求助,成功后即可免费获取论文全文。 去求助
来源期刊
Journal of Cytology
Journal of Cytology MEDICAL LABORATORY TECHNOLOGY-
CiteScore
1.80
自引率
7.70%
发文量
34
审稿时长
46 weeks
期刊介绍: The Journal of Cytology is the official Quarterly publication of the Indian Academy of Cytologists. It is in the 25th year of publication in the year 2008. The journal covers all aspects of diagnostic cytology, including fine needle aspiration cytology, gynecological and non-gynecological cytology. Articles on ancillary techniques, like cytochemistry, immunocytochemistry, electron microscopy, molecular cytopathology, as applied to cytological material are also welcome. The journal gives preference to clinically oriented studies over experimental and animal studies. The Journal would publish peer-reviewed original research papers, case reports, systematic reviews, meta-analysis, and debates.
×
引用
GB/T 7714-2015
复制
MLA
复制
APA
复制
导出至
BibTeX EndNote RefMan NoteFirst NoteExpress
×
提示
您的信息不完整,为了账户安全,请先补充。
现在去补充
×
提示
您因"违规操作"
具体请查看互助需知
我知道了
×
提示
确定
请完成安全验证×
copy
已复制链接
快去分享给好友吧!
我知道了
右上角分享
点击右上角分享
0
联系我们:info@booksci.cn Book学术提供免费学术资源搜索服务,方便国内外学者检索中英文文献。致力于提供最便捷和优质的服务体验。 Copyright © 2023 布克学术 All rights reserved.
京ICP备2023020795号-1
ghs 京公网安备 11010802042870号
Book学术文献互助
Book学术文献互助群
群 号:604180095
Book学术官方微信