使用机器人辅助全膝关节置换术治疗创伤后冠状面畸形:一个病例系列。

IF 2.3 Q2 ORTHOPEDICS
Orthopedic Research and Reviews Pub Date : 2022-11-22 eCollection Date: 2022-01-01 DOI:10.2147/ORR.S387957
Ji-Hoon Baek, Su Chan Lee, Suengryol Ryu, Hye Sun Ahn, Chang Hyun Nam
{"title":"使用机器人辅助全膝关节置换术治疗创伤后冠状面畸形:一个病例系列。","authors":"Ji-Hoon Baek,&nbsp;Su Chan Lee,&nbsp;Suengryol Ryu,&nbsp;Hye Sun Ahn,&nbsp;Chang Hyun Nam","doi":"10.2147/ORR.S387957","DOIUrl":null,"url":null,"abstract":"<p><strong>Background: </strong>Achieving proper axis alignment can be difficult in the presence of posttraumatic extra-articular deformities in either the femur or the tibia. We present radiological outcomes following robot-assisted total knee arthroplasty (TKA) in patients with osteoarthritis of the knee accompanied by posttraumatic extra-articular deformities.</p><p><strong>Methods: </strong>We analyzed the outcomes of five knees in five patients with (1) Kellgren-Lawrence (K-L) Grade III-IV osteoarthritic knees, (2) the presence of posttraumatic extra-articular deformities either in the femur or the tibia, and (3) who underwent robot-assisted TKA. Their radiological findings were evaluated.</p><p><strong>Results: </strong>All five knees with initial deformity (mean 14.8°, range 12.7-18.5°) were corrected to neutral alignment (mean 0.7°, range -1.1-2.7°). There was no postoperative outlier of hip-knee-ankle (HKA) angle.</p><p><strong>Conclusion: </strong>Our results indicate that robot-assisted TKA can be used to achieve proper limb alignment in patients with posttraumatic extra-articular deformities.</p>","PeriodicalId":19608,"journal":{"name":"Orthopedic Research and Reviews","volume":" ","pages":"445-451"},"PeriodicalIF":2.3000,"publicationDate":"2022-11-22","publicationTypes":"Journal Article","fieldsOfStudy":null,"isOpenAccess":false,"openAccessPdf":"https://ftp.ncbi.nlm.nih.gov/pub/pmc/oa_pdf/c9/68/orr-14-445.PMC9700467.pdf","citationCount":"1","resultStr":"{\"title\":\"Coronal Correction for Post-Traumatic Malalignment Using Robot-Assisted Total Knee Arthroplasty: A Case Series.\",\"authors\":\"Ji-Hoon Baek,&nbsp;Su Chan Lee,&nbsp;Suengryol Ryu,&nbsp;Hye Sun Ahn,&nbsp;Chang Hyun Nam\",\"doi\":\"10.2147/ORR.S387957\",\"DOIUrl\":null,\"url\":null,\"abstract\":\"<p><strong>Background: </strong>Achieving proper axis alignment can be difficult in the presence of posttraumatic extra-articular deformities in either the femur or the tibia. We present radiological outcomes following robot-assisted total knee arthroplasty (TKA) in patients with osteoarthritis of the knee accompanied by posttraumatic extra-articular deformities.</p><p><strong>Methods: </strong>We analyzed the outcomes of five knees in five patients with (1) Kellgren-Lawrence (K-L) Grade III-IV osteoarthritic knees, (2) the presence of posttraumatic extra-articular deformities either in the femur or the tibia, and (3) who underwent robot-assisted TKA. Their radiological findings were evaluated.</p><p><strong>Results: </strong>All five knees with initial deformity (mean 14.8°, range 12.7-18.5°) were corrected to neutral alignment (mean 0.7°, range -1.1-2.7°). There was no postoperative outlier of hip-knee-ankle (HKA) angle.</p><p><strong>Conclusion: </strong>Our results indicate that robot-assisted TKA can be used to achieve proper limb alignment in patients with posttraumatic extra-articular deformities.</p>\",\"PeriodicalId\":19608,\"journal\":{\"name\":\"Orthopedic Research and Reviews\",\"volume\":\" \",\"pages\":\"445-451\"},\"PeriodicalIF\":2.3000,\"publicationDate\":\"2022-11-22\",\"publicationTypes\":\"Journal Article\",\"fieldsOfStudy\":null,\"isOpenAccess\":false,\"openAccessPdf\":\"https://ftp.ncbi.nlm.nih.gov/pub/pmc/oa_pdf/c9/68/orr-14-445.PMC9700467.pdf\",\"citationCount\":\"1\",\"resultStr\":null,\"platform\":\"Semanticscholar\",\"paperid\":null,\"PeriodicalName\":\"Orthopedic Research and Reviews\",\"FirstCategoryId\":\"1085\",\"ListUrlMain\":\"https://doi.org/10.2147/ORR.S387957\",\"RegionNum\":0,\"RegionCategory\":null,\"ArticlePicture\":[],\"TitleCN\":null,\"AbstractTextCN\":null,\"PMCID\":null,\"EPubDate\":\"2022/1/1 0:00:00\",\"PubModel\":\"eCollection\",\"JCR\":\"Q2\",\"JCRName\":\"ORTHOPEDICS\",\"Score\":null,\"Total\":0}","platform":"Semanticscholar","paperid":null,"PeriodicalName":"Orthopedic Research and Reviews","FirstCategoryId":"1085","ListUrlMain":"https://doi.org/10.2147/ORR.S387957","RegionNum":0,"RegionCategory":null,"ArticlePicture":[],"TitleCN":null,"AbstractTextCN":null,"PMCID":null,"EPubDate":"2022/1/1 0:00:00","PubModel":"eCollection","JCR":"Q2","JCRName":"ORTHOPEDICS","Score":null,"Total":0}
引用次数: 1

摘要

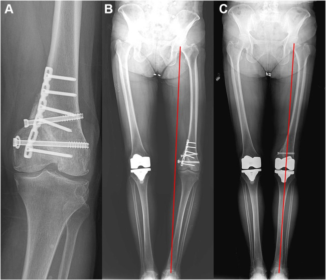
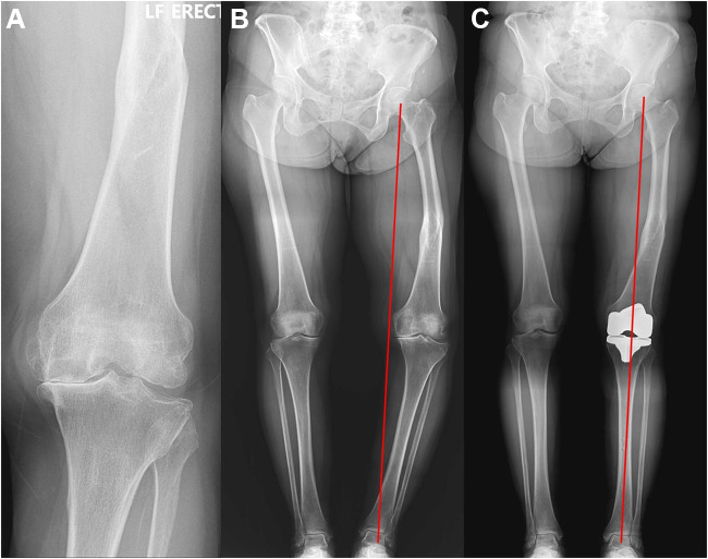
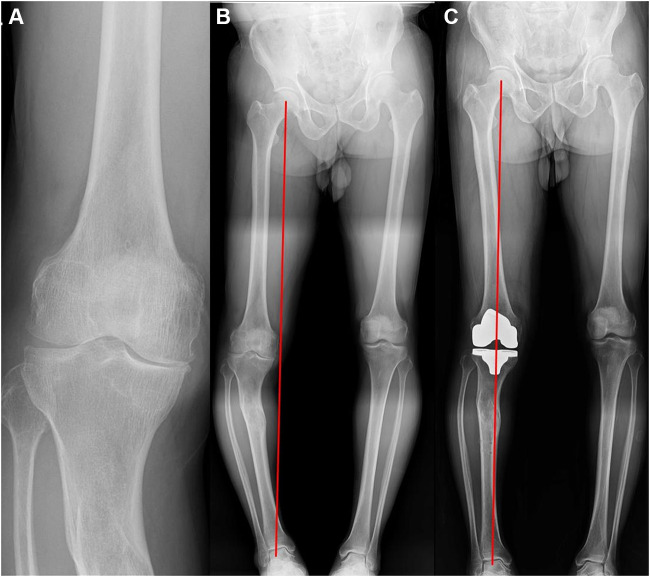
背景:在股骨或胫骨创伤后关节外畸形的情况下,实现适当的轴对齐可能是困难的。我们介绍了机器人辅助全膝关节置换术(TKA)对伴有创伤后关节外畸形的膝关节骨性关节炎患者的放射学结果。方法:我们分析了5例患者(1)Kellgren-Lawrence (K-L) III-IV级骨关节炎膝关节,(2)股骨或胫骨存在创伤后关节外畸形,(3)接受机器人辅助TKA的患者的5个膝关节的结局。对他们的放射学表现进行了评估。结果:所有初始畸形的5个膝关节(平均14.8°,范围12.7-18.5°)均被矫正为中立位(平均0.7°,范围-1.1-2.7°)。术后髋关节-膝关节-踝关节(HKA)角度无异常值。结论:我们的研究结果表明,机器人辅助的TKA可以用于创伤后关节外畸形患者实现正确的肢体对准。
本文章由计算机程序翻译,如有差异,请以英文原文为准。

Coronal Correction for Post-Traumatic Malalignment Using Robot-Assisted Total Knee Arthroplasty: A Case Series.

Coronal Correction for Post-Traumatic Malalignment Using Robot-Assisted Total Knee Arthroplasty: A Case Series.

Coronal Correction for Post-Traumatic Malalignment Using Robot-Assisted Total Knee Arthroplasty: A Case Series.

Coronal Correction for Post-Traumatic Malalignment Using Robot-Assisted Total Knee Arthroplasty: A Case Series.

Background: Achieving proper axis alignment can be difficult in the presence of posttraumatic extra-articular deformities in either the femur or the tibia. We present radiological outcomes following robot-assisted total knee arthroplasty (TKA) in patients with osteoarthritis of the knee accompanied by posttraumatic extra-articular deformities.

Methods: We analyzed the outcomes of five knees in five patients with (1) Kellgren-Lawrence (K-L) Grade III-IV osteoarthritic knees, (2) the presence of posttraumatic extra-articular deformities either in the femur or the tibia, and (3) who underwent robot-assisted TKA. Their radiological findings were evaluated.

Results: All five knees with initial deformity (mean 14.8°, range 12.7-18.5°) were corrected to neutral alignment (mean 0.7°, range -1.1-2.7°). There was no postoperative outlier of hip-knee-ankle (HKA) angle.

Conclusion: Our results indicate that robot-assisted TKA can be used to achieve proper limb alignment in patients with posttraumatic extra-articular deformities.

求助全文
通过发布文献求助,成功后即可免费获取论文全文。 去求助
来源期刊
Orthopedic Research and Reviews
Orthopedic Research and Reviews Medicine-Orthopedics and Sports Medicine
CiteScore
2.80
自引率
0.00%
发文量
51
审稿时长
16 weeks
期刊介绍: Orthopedic Research and Reviews is an international, peer-reviewed, open-access journal focusing on the patho-physiology of the musculoskeletal system, trauma, surgery and other corrective interventions to restore mobility and function. Advances in new technologies, materials, techniques and pharmacological agents will be particularly welcome. Specific topics covered in the journal include: Patho-physiology and bioengineering, Technologies and materials science, Surgical techniques, including robotics, Trauma management and care, Treatment including pharmacological and non-pharmacological, Rehabilitation and Multidisciplinarian care approaches, Patient quality of life, satisfaction and preference, Health economic evaluations. The journal welcomes submitted papers covering original research, basic science and technology, clinical studies, reviews and evaluations, guidelines, expert opinion and commentary, case reports and extended reports.
×
引用
GB/T 7714-2015
复制
MLA
复制
APA
复制
导出至
BibTeX EndNote RefMan NoteFirst NoteExpress
×
提示
您的信息不完整,为了账户安全,请先补充。
现在去补充
×
提示
您因"违规操作"
具体请查看互助需知
我知道了
×
提示
确定
请完成安全验证×
copy
已复制链接
快去分享给好友吧!
我知道了
右上角分享
点击右上角分享
0
联系我们:info@booksci.cn Book学术提供免费学术资源搜索服务,方便国内外学者检索中英文文献。致力于提供最便捷和优质的服务体验。 Copyright © 2023 布克学术 All rights reserved.
京ICP备2023020795号-1
ghs 京公网安备 11010802042870号
Book学术文献互助
Book学术文献互助群
群 号:604180095
Book学术官方微信