IgG和IgA抗laminin -332抗体阳性的粘膜类天疱疮伴IgG和IgA抗envoplakin和抗periplakin抗体1例。

IF 1.7 Q3 DERMATOLOGY
Yoshiaki Matsushima, Masako Kitano, Daisuke Hayashi, Hiroyuki Goto, Mako Mine, Takeshi Yokoe, Makoto Kondo, Koji Habe, Yuji Toiyama, Takashi Hashimoto, Daisuke Tsuruta, Kazuhiko Takeuchi, Keiichi Yamanaka
{"title":"IgG和IgA抗laminin -332抗体阳性的粘膜类天疱疮伴IgG和IgA抗envoplakin和抗periplakin抗体1例。","authors":"Yoshiaki Matsushima,&nbsp;Masako Kitano,&nbsp;Daisuke Hayashi,&nbsp;Hiroyuki Goto,&nbsp;Mako Mine,&nbsp;Takeshi Yokoe,&nbsp;Makoto Kondo,&nbsp;Koji Habe,&nbsp;Yuji Toiyama,&nbsp;Takashi Hashimoto,&nbsp;Daisuke Tsuruta,&nbsp;Kazuhiko Takeuchi,&nbsp;Keiichi Yamanaka","doi":"10.3390/dermatopathology9030034","DOIUrl":null,"url":null,"abstract":"<p><p>A 76-year-old Japanese man presented with a 6-year history of a sore throat. He was treated at several clinics without any improvement before being referred to us. Physical examination revealed widespread erosions and ulcers from the palate to the larynx. Approximately 25 × 15 mm in size, erosive lesions were present on the retroauricular regions, forearms, and glans penis. Pseudomembranous conjunctivitis was also observed. The skin biopsy revealed a partial cleft formation below the epidermis, suggesting subepidermal bullous disease. Immuno-serological tests were negative for anti-desmoglein 1 (Dsg1), anti-Dsg3, anti-BP180, and anti-BP230 antibodies by ELISAs. A whole-body examination revealed gastric cancer. The possibility of mucous membrane pemphigoid (MMP) or paraneoplastic pemphigus (PNP) was considered. Indirect immunofluorescence using rat bladders showed positive IgG reactivity with cell surfaces on the transitional epithelia. Immunoblotting using recombinant proteins of laminin-332 showed both IgG and IgA reactivities with laminin-α3, and immunoblotting using normal human epidermal extract showed double-positive reactivities with envoplakin and periplakin for both IgG and IgA antibodies. Based on the clinical and histopathological features and results of various immuno-serological tests, our case was diagnosed as anti-laminin-332-type MMP with serological findings of PNP. Twenty days after laparoscopic gastrectomy, treatment with oral methylprednisolone 32 mg/day was initiated, and mucosal and skin lesions improved.</p>","PeriodicalId":42885,"journal":{"name":"Dermatopathology","volume":" ","pages":"287-291"},"PeriodicalIF":1.7000,"publicationDate":"2022-08-08","publicationTypes":"Journal Article","fieldsOfStudy":null,"isOpenAccess":false,"openAccessPdf":"https://www.ncbi.nlm.nih.gov/pmc/articles/PMC9397087/pdf/","citationCount":"1","resultStr":"{\"title\":\"A Case of IgG and IgA Anti-Laminin-332 Antibody-Positive Mucous Membrane Pemphigoid with IgG and IgA Anti-Envoplakin and Anti-Periplakin Antibodies.\",\"authors\":\"Yoshiaki Matsushima,&nbsp;Masako Kitano,&nbsp;Daisuke Hayashi,&nbsp;Hiroyuki Goto,&nbsp;Mako Mine,&nbsp;Takeshi Yokoe,&nbsp;Makoto Kondo,&nbsp;Koji Habe,&nbsp;Yuji Toiyama,&nbsp;Takashi Hashimoto,&nbsp;Daisuke Tsuruta,&nbsp;Kazuhiko Takeuchi,&nbsp;Keiichi Yamanaka\",\"doi\":\"10.3390/dermatopathology9030034\",\"DOIUrl\":null,\"url\":null,\"abstract\":\"<p><p>A 76-year-old Japanese man presented with a 6-year history of a sore throat. He was treated at several clinics without any improvement before being referred to us. Physical examination revealed widespread erosions and ulcers from the palate to the larynx. Approximately 25 × 15 mm in size, erosive lesions were present on the retroauricular regions, forearms, and glans penis. Pseudomembranous conjunctivitis was also observed. The skin biopsy revealed a partial cleft formation below the epidermis, suggesting subepidermal bullous disease. Immuno-serological tests were negative for anti-desmoglein 1 (Dsg1), anti-Dsg3, anti-BP180, and anti-BP230 antibodies by ELISAs. A whole-body examination revealed gastric cancer. The possibility of mucous membrane pemphigoid (MMP) or paraneoplastic pemphigus (PNP) was considered. Indirect immunofluorescence using rat bladders showed positive IgG reactivity with cell surfaces on the transitional epithelia. Immunoblotting using recombinant proteins of laminin-332 showed both IgG and IgA reactivities with laminin-α3, and immunoblotting using normal human epidermal extract showed double-positive reactivities with envoplakin and periplakin for both IgG and IgA antibodies. Based on the clinical and histopathological features and results of various immuno-serological tests, our case was diagnosed as anti-laminin-332-type MMP with serological findings of PNP. Twenty days after laparoscopic gastrectomy, treatment with oral methylprednisolone 32 mg/day was initiated, and mucosal and skin lesions improved.</p>\",\"PeriodicalId\":42885,\"journal\":{\"name\":\"Dermatopathology\",\"volume\":\" \",\"pages\":\"287-291\"},\"PeriodicalIF\":1.7000,\"publicationDate\":\"2022-08-08\",\"publicationTypes\":\"Journal Article\",\"fieldsOfStudy\":null,\"isOpenAccess\":false,\"openAccessPdf\":\"https://www.ncbi.nlm.nih.gov/pmc/articles/PMC9397087/pdf/\",\"citationCount\":\"1\",\"resultStr\":null,\"platform\":\"Semanticscholar\",\"paperid\":null,\"PeriodicalName\":\"Dermatopathology\",\"FirstCategoryId\":\"1085\",\"ListUrlMain\":\"https://doi.org/10.3390/dermatopathology9030034\",\"RegionNum\":0,\"RegionCategory\":null,\"ArticlePicture\":[],\"TitleCN\":null,\"AbstractTextCN\":null,\"PMCID\":null,\"EPubDate\":\"\",\"PubModel\":\"\",\"JCR\":\"Q3\",\"JCRName\":\"DERMATOLOGY\",\"Score\":null,\"Total\":0}","platform":"Semanticscholar","paperid":null,"PeriodicalName":"Dermatopathology","FirstCategoryId":"1085","ListUrlMain":"https://doi.org/10.3390/dermatopathology9030034","RegionNum":0,"RegionCategory":null,"ArticlePicture":[],"TitleCN":null,"AbstractTextCN":null,"PMCID":null,"EPubDate":"","PubModel":"","JCR":"Q3","JCRName":"DERMATOLOGY","Score":null,"Total":0}
引用次数: 1

摘要

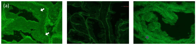
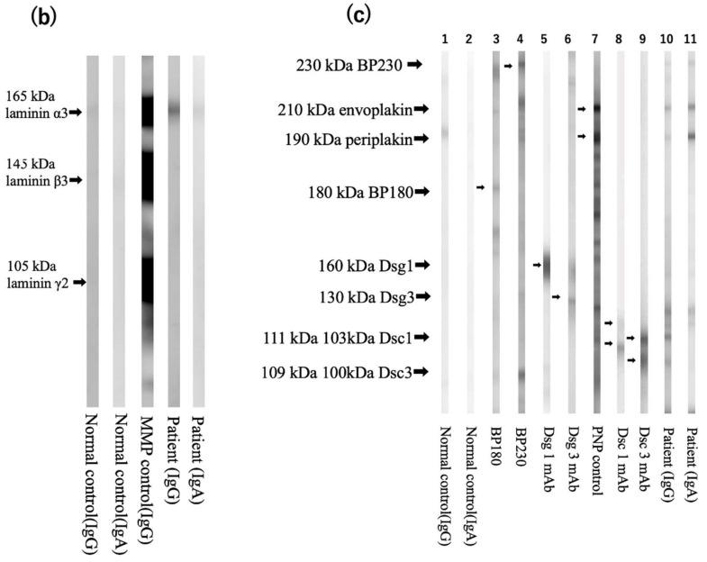
76岁日本男性,6年咽喉痛病史。在转介到我们这里之前,他在几家诊所接受过治疗,但没有任何好转。体格检查发现从上颚到喉部广泛的糜烂和溃疡。约25 × 15mm大小,在耳后区域、前臂和阴茎头出现糜烂性病变。假膜性结膜炎亦有发生。皮肤活检显示表皮下有部分裂口形成,提示表皮下大疱性疾病。elisa免疫血清学检测抗粘粒蛋白1 (Dsg1)、抗dsg3、抗bp180和抗bp230抗体均为阴性。全身检查发现胃癌。考虑粘膜类天疱疮(MMP)或副肿瘤性天疱疮(PNP)的可能性。利用大鼠膀胱的间接免疫荧光显示IgG与移行上皮细胞表面有阳性反应。重组层粘连蛋白-332免疫印迹与层粘连蛋白-α3均有IgG和IgA反应,正常人表皮提取物免疫印迹与envoplakin和periplakin均有IgG和IgA双阳性反应。根据临床和组织病理学特征以及各种免疫血清学检查结果,我们的病例被诊断为抗lamin332型MMP,血清学结果为PNP。腹腔镜胃切除术后20天,开始口服甲基强的松龙32 mg/天,粘膜和皮肤病变得到改善。
本文章由计算机程序翻译,如有差异,请以英文原文为准。

A Case of IgG and IgA Anti-Laminin-332 Antibody-Positive Mucous Membrane Pemphigoid with IgG and IgA Anti-Envoplakin and Anti-Periplakin Antibodies.

A Case of IgG and IgA Anti-Laminin-332 Antibody-Positive Mucous Membrane Pemphigoid with IgG and IgA Anti-Envoplakin and Anti-Periplakin Antibodies.

A Case of IgG and IgA Anti-Laminin-332 Antibody-Positive Mucous Membrane Pemphigoid with IgG and IgA Anti-Envoplakin and Anti-Periplakin Antibodies.

A Case of IgG and IgA Anti-Laminin-332 Antibody-Positive Mucous Membrane Pemphigoid with IgG and IgA Anti-Envoplakin and Anti-Periplakin Antibodies.

A 76-year-old Japanese man presented with a 6-year history of a sore throat. He was treated at several clinics without any improvement before being referred to us. Physical examination revealed widespread erosions and ulcers from the palate to the larynx. Approximately 25 × 15 mm in size, erosive lesions were present on the retroauricular regions, forearms, and glans penis. Pseudomembranous conjunctivitis was also observed. The skin biopsy revealed a partial cleft formation below the epidermis, suggesting subepidermal bullous disease. Immuno-serological tests were negative for anti-desmoglein 1 (Dsg1), anti-Dsg3, anti-BP180, and anti-BP230 antibodies by ELISAs. A whole-body examination revealed gastric cancer. The possibility of mucous membrane pemphigoid (MMP) or paraneoplastic pemphigus (PNP) was considered. Indirect immunofluorescence using rat bladders showed positive IgG reactivity with cell surfaces on the transitional epithelia. Immunoblotting using recombinant proteins of laminin-332 showed both IgG and IgA reactivities with laminin-α3, and immunoblotting using normal human epidermal extract showed double-positive reactivities with envoplakin and periplakin for both IgG and IgA antibodies. Based on the clinical and histopathological features and results of various immuno-serological tests, our case was diagnosed as anti-laminin-332-type MMP with serological findings of PNP. Twenty days after laparoscopic gastrectomy, treatment with oral methylprednisolone 32 mg/day was initiated, and mucosal and skin lesions improved.

求助全文
通过发布文献求助,成功后即可免费获取论文全文。 去求助
来源期刊
Dermatopathology
Dermatopathology DERMATOLOGY-
自引率
5.30%
发文量
39
审稿时长
11 weeks
×
引用
GB/T 7714-2015
复制
MLA
复制
APA
复制
导出至
BibTeX EndNote RefMan NoteFirst NoteExpress
×
提示
您的信息不完整,为了账户安全,请先补充。
现在去补充
×
提示
您因"违规操作"
具体请查看互助需知
我知道了
×
提示
确定
请完成安全验证×
copy
已复制链接
快去分享给好友吧!
我知道了
右上角分享
点击右上角分享
0
联系我们:info@booksci.cn Book学术提供免费学术资源搜索服务,方便国内外学者检索中英文文献。致力于提供最便捷和优质的服务体验。 Copyright © 2023 布克学术 All rights reserved.
京ICP备2023020795号-1
ghs 京公网安备 11010802042870号
Book学术文献互助
Book学术文献互助群
群 号:604180095
Book学术官方微信