胃假性黑色素病:罕见的发现。

IF 0.5 Q4 GASTROENTEROLOGY & HEPATOLOGY
Case Reports in Gastrointestinal Medicine Pub Date : 2022-07-30 eCollection Date: 2022-01-01 DOI:10.1155/2022/6290510
John Samies, Ruchit N Shah, Michelle Pramick, Alberto Unzueta
{"title":"胃假性黑色素病:罕见的发现。","authors":"John Samies,&nbsp;Ruchit N Shah,&nbsp;Michelle Pramick,&nbsp;Alberto Unzueta","doi":"10.1155/2022/6290510","DOIUrl":null,"url":null,"abstract":"<p><p>Gastric pseudomelanosis is a benign condition that has been characterized by pigment deposition within subepithelial macrophages inside the stomach wall. Occurrence of the condition is rare, with pseudomelanosis occurring more often within the duodenal mucosa. Few cases have reported pseudomelanosis within the gastric mucosa. We report a case of an 86-year-old female who presented with worsening iron deficiency anemia concerning for gastrointestinal bleeding. Her endoscopic evaluation was remarkable for a speckled pattern of dark pigmentation within the stomach, confirmed to be pseudomelanosis by histologic evaluation with pigment showing positive staining for iron.</p>","PeriodicalId":45645,"journal":{"name":"Case Reports in Gastrointestinal Medicine","volume":" ","pages":"6290510"},"PeriodicalIF":0.5000,"publicationDate":"2022-07-30","publicationTypes":"Journal Article","fieldsOfStudy":null,"isOpenAccess":false,"openAccessPdf":"https://www.ncbi.nlm.nih.gov/pmc/articles/PMC9356900/pdf/","citationCount":"1","resultStr":"{\"title\":\"Gastric Pseudomelanosis: An Uncommon Finding.\",\"authors\":\"John Samies,&nbsp;Ruchit N Shah,&nbsp;Michelle Pramick,&nbsp;Alberto Unzueta\",\"doi\":\"10.1155/2022/6290510\",\"DOIUrl\":null,\"url\":null,\"abstract\":\"<p><p>Gastric pseudomelanosis is a benign condition that has been characterized by pigment deposition within subepithelial macrophages inside the stomach wall. Occurrence of the condition is rare, with pseudomelanosis occurring more often within the duodenal mucosa. Few cases have reported pseudomelanosis within the gastric mucosa. We report a case of an 86-year-old female who presented with worsening iron deficiency anemia concerning for gastrointestinal bleeding. Her endoscopic evaluation was remarkable for a speckled pattern of dark pigmentation within the stomach, confirmed to be pseudomelanosis by histologic evaluation with pigment showing positive staining for iron.</p>\",\"PeriodicalId\":45645,\"journal\":{\"name\":\"Case Reports in Gastrointestinal Medicine\",\"volume\":\" \",\"pages\":\"6290510\"},\"PeriodicalIF\":0.5000,\"publicationDate\":\"2022-07-30\",\"publicationTypes\":\"Journal Article\",\"fieldsOfStudy\":null,\"isOpenAccess\":false,\"openAccessPdf\":\"https://www.ncbi.nlm.nih.gov/pmc/articles/PMC9356900/pdf/\",\"citationCount\":\"1\",\"resultStr\":null,\"platform\":\"Semanticscholar\",\"paperid\":null,\"PeriodicalName\":\"Case Reports in Gastrointestinal Medicine\",\"FirstCategoryId\":\"1085\",\"ListUrlMain\":\"https://doi.org/10.1155/2022/6290510\",\"RegionNum\":0,\"RegionCategory\":null,\"ArticlePicture\":[],\"TitleCN\":null,\"AbstractTextCN\":null,\"PMCID\":null,\"EPubDate\":\"2022/1/1 0:00:00\",\"PubModel\":\"eCollection\",\"JCR\":\"Q4\",\"JCRName\":\"GASTROENTEROLOGY & HEPATOLOGY\",\"Score\":null,\"Total\":0}","platform":"Semanticscholar","paperid":null,"PeriodicalName":"Case Reports in Gastrointestinal Medicine","FirstCategoryId":"1085","ListUrlMain":"https://doi.org/10.1155/2022/6290510","RegionNum":0,"RegionCategory":null,"ArticlePicture":[],"TitleCN":null,"AbstractTextCN":null,"PMCID":null,"EPubDate":"2022/1/1 0:00:00","PubModel":"eCollection","JCR":"Q4","JCRName":"GASTROENTEROLOGY & HEPATOLOGY","Score":null,"Total":0}
引用次数: 1

摘要

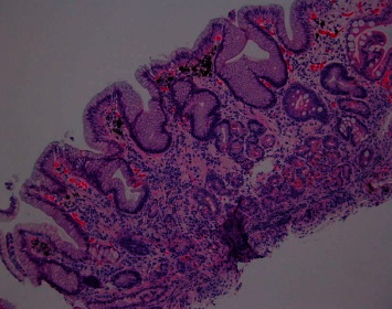
胃假性黑素病是一种良性疾病,其特征是胃壁内上皮下巨噬细胞内的色素沉积。这种情况的发生是罕见的,假性黑色素病更常发生在十二指肠黏膜。胃粘膜内的假性黑色素瘤病例很少报道。我们报告一个病例86岁的女性谁提出了恶化缺铁性贫血有关胃肠道出血。她的内镜检查显示胃内有斑点状的深色色素沉着,经组织学检查证实为假性黑色素病,色素铁染色呈阳性。
本文章由计算机程序翻译,如有差异,请以英文原文为准。

Gastric Pseudomelanosis: An Uncommon Finding.

Gastric Pseudomelanosis: An Uncommon Finding.

Gastric Pseudomelanosis: An Uncommon Finding.

Gastric Pseudomelanosis: An Uncommon Finding.

Gastric pseudomelanosis is a benign condition that has been characterized by pigment deposition within subepithelial macrophages inside the stomach wall. Occurrence of the condition is rare, with pseudomelanosis occurring more often within the duodenal mucosa. Few cases have reported pseudomelanosis within the gastric mucosa. We report a case of an 86-year-old female who presented with worsening iron deficiency anemia concerning for gastrointestinal bleeding. Her endoscopic evaluation was remarkable for a speckled pattern of dark pigmentation within the stomach, confirmed to be pseudomelanosis by histologic evaluation with pigment showing positive staining for iron.

求助全文
通过发布文献求助,成功后即可免费获取论文全文。 去求助
来源期刊
Case Reports in Gastrointestinal Medicine
Case Reports in Gastrointestinal Medicine GASTROENTEROLOGY & HEPATOLOGY-
自引率
0.00%
发文量
33
审稿时长
14 weeks
×
引用
GB/T 7714-2015
复制
MLA
复制
APA
复制
导出至
BibTeX EndNote RefMan NoteFirst NoteExpress
×
提示
您的信息不完整,为了账户安全,请先补充。
现在去补充
×
提示
您因"违规操作"
具体请查看互助需知
我知道了
×
提示
确定
请完成安全验证×
copy
已复制链接
快去分享给好友吧!
我知道了
右上角分享
点击右上角分享
0
联系我们:info@booksci.cn Book学术提供免费学术资源搜索服务,方便国内外学者检索中英文文献。致力于提供最便捷和优质的服务体验。 Copyright © 2023 布克学术 All rights reserved.
京ICP备2023020795号-1
ghs 京公网安备 11010802042870号
Book学术文献互助
Book学术文献互助群
群 号:604180095
Book学术官方微信