平滑肌肌球蛋白组装:从带状和侧极性到排极性螺旋模型。

IF 1.7 3区 生物学 Q4 CELL BIOLOGY
Isabel J Sobieszek, Apolinary Sobieszek
{"title":"平滑肌肌球蛋白组装:从带状和侧极性到排极性螺旋模型。","authors":"Isabel J Sobieszek,&nbsp;Apolinary Sobieszek","doi":"10.1007/s10974-022-09622-4","DOIUrl":null,"url":null,"abstract":"<p><p>After decades of debate over the structure of smooth muscle myosin filaments, it is still unclear whether they are helical, as in all other muscle types, or square in shape. In both cases bipolar building units are proposed, but the deduced cross-bridge arrangements are fundamentally different. The opposite polarity of the adjusting longitudinal rows is proposed for the helical structure, while in the case of square filaments, or myosin ribbons, only their two faces are appositively polarized. Analysis of our unpublished archival data on light meromyosin (LMM) paracrystals and myosin rod assemblies as well as the filaments themselves indicated that the rods were assembled with a 6°-7° tilt angle from the rods' longitudinal axis, in contrast to the lack of tilt in LMM, both exhibiting a 14.3 nm myosin periodicity. Optical diffraction analysis of EM images of the rod assemblies and those of intact myosin confirmed their helical architecture characterized by 28 nm residue translations, 172 nm repeats and 516 nm pitch. A detailed helical model of these filaments was elucidated with bipolar tetramer building units made of two polar trimers. The filaments elongate at their two ends in a head-to-head manner, enabling targeted cross-bridge polarity of the adjacent rows, in the form of a unique Boerdijk-Coxeter type helix, similar to that of collagen or desmin fibers, with the covalent links replaced by a head-to-head clasp.</p>","PeriodicalId":16422,"journal":{"name":"Journal of Muscle Research and Cell Motility","volume":"43 3","pages":"113-133"},"PeriodicalIF":1.7000,"publicationDate":"2022-09-01","publicationTypes":"Journal Article","fieldsOfStudy":null,"isOpenAccess":false,"openAccessPdf":"https://www.ncbi.nlm.nih.gov/pmc/articles/PMC9420085/pdf/","citationCount":"3","resultStr":"{\"title\":\"Myosin assembly of smooth muscle: from ribbons and side polarity to a row polar helical model.\",\"authors\":\"Isabel J Sobieszek,&nbsp;Apolinary Sobieszek\",\"doi\":\"10.1007/s10974-022-09622-4\",\"DOIUrl\":null,\"url\":null,\"abstract\":\"<p><p>After decades of debate over the structure of smooth muscle myosin filaments, it is still unclear whether they are helical, as in all other muscle types, or square in shape. In both cases bipolar building units are proposed, but the deduced cross-bridge arrangements are fundamentally different. The opposite polarity of the adjusting longitudinal rows is proposed for the helical structure, while in the case of square filaments, or myosin ribbons, only their two faces are appositively polarized. Analysis of our unpublished archival data on light meromyosin (LMM) paracrystals and myosin rod assemblies as well as the filaments themselves indicated that the rods were assembled with a 6°-7° tilt angle from the rods' longitudinal axis, in contrast to the lack of tilt in LMM, both exhibiting a 14.3 nm myosin periodicity. Optical diffraction analysis of EM images of the rod assemblies and those of intact myosin confirmed their helical architecture characterized by 28 nm residue translations, 172 nm repeats and 516 nm pitch. A detailed helical model of these filaments was elucidated with bipolar tetramer building units made of two polar trimers. The filaments elongate at their two ends in a head-to-head manner, enabling targeted cross-bridge polarity of the adjacent rows, in the form of a unique Boerdijk-Coxeter type helix, similar to that of collagen or desmin fibers, with the covalent links replaced by a head-to-head clasp.</p>\",\"PeriodicalId\":16422,\"journal\":{\"name\":\"Journal of Muscle Research and Cell Motility\",\"volume\":\"43 3\",\"pages\":\"113-133\"},\"PeriodicalIF\":1.7000,\"publicationDate\":\"2022-09-01\",\"publicationTypes\":\"Journal Article\",\"fieldsOfStudy\":null,\"isOpenAccess\":false,\"openAccessPdf\":\"https://www.ncbi.nlm.nih.gov/pmc/articles/PMC9420085/pdf/\",\"citationCount\":\"3\",\"resultStr\":null,\"platform\":\"Semanticscholar\",\"paperid\":null,\"PeriodicalName\":\"Journal of Muscle Research and Cell Motility\",\"FirstCategoryId\":\"99\",\"ListUrlMain\":\"https://doi.org/10.1007/s10974-022-09622-4\",\"RegionNum\":3,\"RegionCategory\":\"生物学\",\"ArticlePicture\":[],\"TitleCN\":null,\"AbstractTextCN\":null,\"PMCID\":null,\"EPubDate\":\"2022/7/16 0:00:00\",\"PubModel\":\"Epub\",\"JCR\":\"Q4\",\"JCRName\":\"CELL BIOLOGY\",\"Score\":null,\"Total\":0}","platform":"Semanticscholar","paperid":null,"PeriodicalName":"Journal of Muscle Research and Cell Motility","FirstCategoryId":"99","ListUrlMain":"https://doi.org/10.1007/s10974-022-09622-4","RegionNum":3,"RegionCategory":"生物学","ArticlePicture":[],"TitleCN":null,"AbstractTextCN":null,"PMCID":null,"EPubDate":"2022/7/16 0:00:00","PubModel":"Epub","JCR":"Q4","JCRName":"CELL BIOLOGY","Score":null,"Total":0}
引用次数: 3

摘要

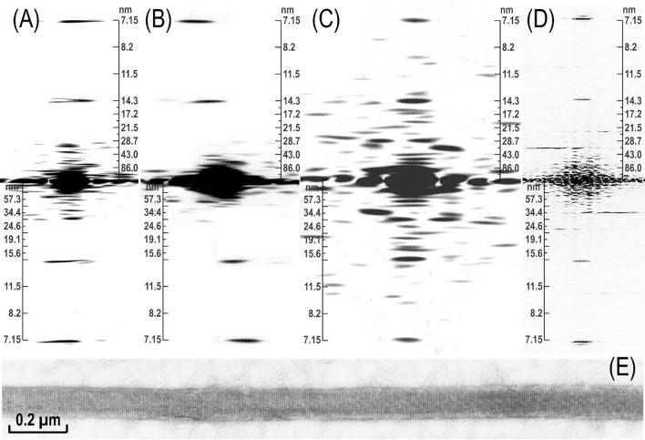
在对平滑肌肌球蛋白丝的结构进行了几十年的争论之后,人们仍然不清楚它们是像所有其他肌肉类型一样呈螺旋状,还是呈方形。在这两种情况下都提出了双极建筑单元,但推导出的跨桥布置是根本不同的。螺旋结构的调节纵行极性相反,而在方形细丝或肌凝蛋白带的情况下,只有它们的两个面是同极性的。我们未发表的关于轻肌凝蛋白(LMM)准晶体和肌凝蛋白棒组装以及细丝本身的档案数据分析表明,棒组装与棒的纵轴倾斜6°-7°,与LMM缺乏倾斜形成对比,两者都表现出14.3 nm的肌凝蛋白周期性。对棒状结构和完整肌球蛋白的电镜图像进行光学衍射分析,证实了它们的螺旋结构,其特征是28 nm残基翻译,172 nm重复和516 nm间距。用由两个极性三聚体组成的双极性四聚体构建单元阐明了这些细丝的详细螺旋模型。纤维以头对头的方式在其两端拉长,使相邻行具有针对性的交叉桥极性,以独特的Boerdijk-Coxeter型螺旋的形式,类似于胶原蛋白或desmin纤维,共价连接被头对头的扣环取代。
本文章由计算机程序翻译,如有差异,请以英文原文为准。

Myosin assembly of smooth muscle: from ribbons and side polarity to a row polar helical model.

Myosin assembly of smooth muscle: from ribbons and side polarity to a row polar helical model.

Myosin assembly of smooth muscle: from ribbons and side polarity to a row polar helical model.

Myosin assembly of smooth muscle: from ribbons and side polarity to a row polar helical model.

After decades of debate over the structure of smooth muscle myosin filaments, it is still unclear whether they are helical, as in all other muscle types, or square in shape. In both cases bipolar building units are proposed, but the deduced cross-bridge arrangements are fundamentally different. The opposite polarity of the adjusting longitudinal rows is proposed for the helical structure, while in the case of square filaments, or myosin ribbons, only their two faces are appositively polarized. Analysis of our unpublished archival data on light meromyosin (LMM) paracrystals and myosin rod assemblies as well as the filaments themselves indicated that the rods were assembled with a 6°-7° tilt angle from the rods' longitudinal axis, in contrast to the lack of tilt in LMM, both exhibiting a 14.3 nm myosin periodicity. Optical diffraction analysis of EM images of the rod assemblies and those of intact myosin confirmed their helical architecture characterized by 28 nm residue translations, 172 nm repeats and 516 nm pitch. A detailed helical model of these filaments was elucidated with bipolar tetramer building units made of two polar trimers. The filaments elongate at their two ends in a head-to-head manner, enabling targeted cross-bridge polarity of the adjacent rows, in the form of a unique Boerdijk-Coxeter type helix, similar to that of collagen or desmin fibers, with the covalent links replaced by a head-to-head clasp.

求助全文
通过发布文献求助,成功后即可免费获取论文全文。 去求助
来源期刊
CiteScore
6.20
自引率
0.00%
发文量
21
审稿时长
>12 weeks
期刊介绍: The Journal of Muscle Research and Cell Motility has as its main aim the publication of original research which bears on either the excitation and contraction of muscle, the analysis of any one of the processes involved therein, the processes underlying contractility and motility of animal and plant cells, the toxicology and pharmacology related to contractility, or the formation, dynamics and turnover of contractile structures in muscle and non-muscle cells. Studies describing the impact of pathogenic mutations in genes encoding components of contractile structures in humans or animals are welcome, provided they offer mechanistic insight into the disease process or the underlying gene function. The policy of the Journal is to encourage any form of novel practical study whatever its specialist interest, as long as it falls within this broad field. Theoretical essays are welcome provided that they are concise and suggest practical ways in which they may be tested. Manuscripts reporting new mutations in known disease genes without validation and mechanistic insight will not be considered. It is the policy of the journal that cells lines, hybridomas and DNA clones should be made available by the developers to any qualified investigator. Submission of a manuscript for publication constitutes an agreement of the authors to abide by this principle.
×
引用
GB/T 7714-2015
复制
MLA
复制
APA
复制
导出至
BibTeX EndNote RefMan NoteFirst NoteExpress
×
提示
您的信息不完整,为了账户安全,请先补充。
现在去补充
×
提示
您因"违规操作"
具体请查看互助需知
我知道了
×
提示
确定
请完成安全验证×
copy
已复制链接
快去分享给好友吧!
我知道了
右上角分享
点击右上角分享
0
联系我们:info@booksci.cn Book学术提供免费学术资源搜索服务,方便国内外学者检索中英文文献。致力于提供最便捷和优质的服务体验。 Copyright © 2023 布克学术 All rights reserved.
京ICP备2023020795号-1
ghs 京公网安备 11010802042870号
Book学术文献互助
Book学术文献互助群
群 号:604180095
Book学术官方微信