大小叶毛细血管瘤合并趾甲内生:组织病理学特征及病例报告。

IF 1.7 Q3 DERMATOLOGY
Antonio Córdoba-Fernández, María Dolores Jiménez-Cristino, Victoria Eugenia Córdoba-Jiménez
{"title":"大小叶毛细血管瘤合并趾甲内生:组织病理学特征及病例报告。","authors":"Antonio Córdoba-Fernández,&nbsp;María Dolores Jiménez-Cristino,&nbsp;Victoria Eugenia Córdoba-Jiménez","doi":"10.3390/dermatopathology9030031","DOIUrl":null,"url":null,"abstract":"<p><p>Lobular capillary hemangioma (LCH-PG) is a type of pyogenic granuloma characterized by proliferating blood vessels that resemble conventional granulation tissue. Granulation tissue is very often seen in association with ingrown toenails. Despite the close relationship between both entities, LCH-PG shows clinically different behaviors, such as rapid growth and frequent recurrence. Currently, it is unknown exactly how the different etiological factors contribute to the formation of differences between entities. We present a case of a large LCH-PG associated with chronic onychocryptosis in a 26-year-old man. Histopathological features included extensive signs of ulceration, hyperkeratosis, and patchy epidermal acanthosis with the presence of fibrous septa with lobular areas beneath the ulcerative area. The presence of stroma with a marked proliferation of blood vessels with wall thickening and mixed-type inflammatory changes was also characteristic. In advanced stages of onychocryptosis, as presented here, conventional granulation tissue or pyogenic granuloma can be clinically difficult to distinguish from other benign or malignant neoplasms. Histological examination is mandatory, and excisional biopsy can provide a definitive diagnosis.</p>","PeriodicalId":42885,"journal":{"name":"Dermatopathology","volume":" ","pages":"271-276"},"PeriodicalIF":1.7000,"publicationDate":"2022-07-25","publicationTypes":"Journal Article","fieldsOfStudy":null,"isOpenAccess":false,"openAccessPdf":"https://www.ncbi.nlm.nih.gov/pmc/articles/PMC9330171/pdf/","citationCount":"0","resultStr":"{\"title\":\"Large Lobular Capillary Hemangioma Associated with Ingrown Toenail: Histopathological Features and Case Report.\",\"authors\":\"Antonio Córdoba-Fernández,&nbsp;María Dolores Jiménez-Cristino,&nbsp;Victoria Eugenia Córdoba-Jiménez\",\"doi\":\"10.3390/dermatopathology9030031\",\"DOIUrl\":null,\"url\":null,\"abstract\":\"<p><p>Lobular capillary hemangioma (LCH-PG) is a type of pyogenic granuloma characterized by proliferating blood vessels that resemble conventional granulation tissue. Granulation tissue is very often seen in association with ingrown toenails. Despite the close relationship between both entities, LCH-PG shows clinically different behaviors, such as rapid growth and frequent recurrence. Currently, it is unknown exactly how the different etiological factors contribute to the formation of differences between entities. We present a case of a large LCH-PG associated with chronic onychocryptosis in a 26-year-old man. Histopathological features included extensive signs of ulceration, hyperkeratosis, and patchy epidermal acanthosis with the presence of fibrous septa with lobular areas beneath the ulcerative area. The presence of stroma with a marked proliferation of blood vessels with wall thickening and mixed-type inflammatory changes was also characteristic. In advanced stages of onychocryptosis, as presented here, conventional granulation tissue or pyogenic granuloma can be clinically difficult to distinguish from other benign or malignant neoplasms. Histological examination is mandatory, and excisional biopsy can provide a definitive diagnosis.</p>\",\"PeriodicalId\":42885,\"journal\":{\"name\":\"Dermatopathology\",\"volume\":\" \",\"pages\":\"271-276\"},\"PeriodicalIF\":1.7000,\"publicationDate\":\"2022-07-25\",\"publicationTypes\":\"Journal Article\",\"fieldsOfStudy\":null,\"isOpenAccess\":false,\"openAccessPdf\":\"https://www.ncbi.nlm.nih.gov/pmc/articles/PMC9330171/pdf/\",\"citationCount\":\"0\",\"resultStr\":null,\"platform\":\"Semanticscholar\",\"paperid\":null,\"PeriodicalName\":\"Dermatopathology\",\"FirstCategoryId\":\"1085\",\"ListUrlMain\":\"https://doi.org/10.3390/dermatopathology9030031\",\"RegionNum\":0,\"RegionCategory\":null,\"ArticlePicture\":[],\"TitleCN\":null,\"AbstractTextCN\":null,\"PMCID\":null,\"EPubDate\":\"\",\"PubModel\":\"\",\"JCR\":\"Q3\",\"JCRName\":\"DERMATOLOGY\",\"Score\":null,\"Total\":0}","platform":"Semanticscholar","paperid":null,"PeriodicalName":"Dermatopathology","FirstCategoryId":"1085","ListUrlMain":"https://doi.org/10.3390/dermatopathology9030031","RegionNum":0,"RegionCategory":null,"ArticlePicture":[],"TitleCN":null,"AbstractTextCN":null,"PMCID":null,"EPubDate":"","PubModel":"","JCR":"Q3","JCRName":"DERMATOLOGY","Score":null,"Total":0}
引用次数: 0

摘要

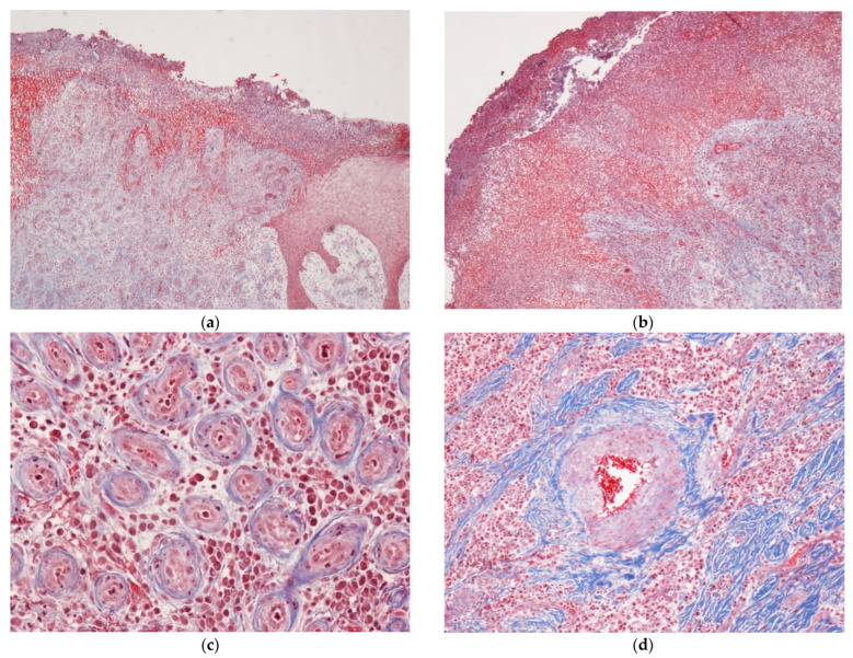
小叶毛细血管瘤(LCH-PG)是一种化脓性肉芽肿,其特征是血管增生,与传统肉芽组织相似。肉芽组织通常与向内生长的脚趾甲有关。尽管两者关系密切,但LCH-PG在临床上表现出不同的行为,如快速生长和频繁复发。目前,尚不清楚不同的病因因素如何导致实体之间的差异形成。我们提出了一个大LCH-PG与慢性甲爪塌陷在一个26岁的男人的情况。组织病理学特征包括广泛的溃疡征象,角化过度,斑块状表皮棘层,溃疡区下方小叶区存在纤维间隔。间质伴血管增生、壁增厚和混合型炎症变化也是其特征。在甲爪隐匿症的晚期,常规肉芽组织或化脓性肉芽肿在临床上很难与其他良性或恶性肿瘤区分。组织学检查是强制性的,切除活检可以提供明确的诊断。
本文章由计算机程序翻译,如有差异,请以英文原文为准。

Large Lobular Capillary Hemangioma Associated with Ingrown Toenail: Histopathological Features and Case Report.

Large Lobular Capillary Hemangioma Associated with Ingrown Toenail: Histopathological Features and Case Report.

Large Lobular Capillary Hemangioma Associated with Ingrown Toenail: Histopathological Features and Case Report.

Large Lobular Capillary Hemangioma Associated with Ingrown Toenail: Histopathological Features and Case Report.

Lobular capillary hemangioma (LCH-PG) is a type of pyogenic granuloma characterized by proliferating blood vessels that resemble conventional granulation tissue. Granulation tissue is very often seen in association with ingrown toenails. Despite the close relationship between both entities, LCH-PG shows clinically different behaviors, such as rapid growth and frequent recurrence. Currently, it is unknown exactly how the different etiological factors contribute to the formation of differences between entities. We present a case of a large LCH-PG associated with chronic onychocryptosis in a 26-year-old man. Histopathological features included extensive signs of ulceration, hyperkeratosis, and patchy epidermal acanthosis with the presence of fibrous septa with lobular areas beneath the ulcerative area. The presence of stroma with a marked proliferation of blood vessels with wall thickening and mixed-type inflammatory changes was also characteristic. In advanced stages of onychocryptosis, as presented here, conventional granulation tissue or pyogenic granuloma can be clinically difficult to distinguish from other benign or malignant neoplasms. Histological examination is mandatory, and excisional biopsy can provide a definitive diagnosis.

求助全文
通过发布文献求助,成功后即可免费获取论文全文。 去求助
来源期刊
Dermatopathology
Dermatopathology DERMATOLOGY-
自引率
5.30%
发文量
39
审稿时长
11 weeks
×
引用
GB/T 7714-2015
复制
MLA
复制
APA
复制
导出至
BibTeX EndNote RefMan NoteFirst NoteExpress
×
提示
您的信息不完整,为了账户安全,请先补充。
现在去补充
×
提示
您因"违规操作"
具体请查看互助需知
我知道了
×
提示
确定
请完成安全验证×
copy
已复制链接
快去分享给好友吧!
我知道了
右上角分享
点击右上角分享
0
联系我们:info@booksci.cn Book学术提供免费学术资源搜索服务,方便国内外学者检索中英文文献。致力于提供最便捷和优质的服务体验。 Copyright © 2023 布克学术 All rights reserved.
京ICP备2023020795号-1
ghs 京公网安备 11010802042870号
Book学术文献互助
Book学术文献互助群
群 号:604180095
Book学术官方微信