阿富汗卡波西肉瘤:来自三级转诊中心的病例系列。

IF 1.7 Q3 DERMATOLOGY
Alyssa D Higgins, Richard J Dunn, Omer Malikzai, Mirwais Ahmadzai, Jerad M Gardner, Benjamin K Stoff, Josette R McMichael
{"title":"阿富汗卡波西肉瘤:来自三级转诊中心的病例系列。","authors":"Alyssa D Higgins, Richard J Dunn, Omer Malikzai, Mirwais Ahmadzai, Jerad M Gardner, Benjamin K Stoff, Josette R McMichael","doi":"10.3390/dermatopathology9030030","DOIUrl":null,"url":null,"abstract":"Kaposi sarcoma is a vascular endothelial neoplasm caused by human herpesvirus 8. Although it is a well-studied disease, little is known about the specific characteristics or epidemiology of Kaposi sarcoma in Afghanistan. The data consist primarily of anecdotal reports and epidemiological studies extrapolated from neighboring countries. In this case series, we summarize existing data about Kaposi sarcoma in Afghanistan and present seven histologically confirmed cases with associated clinical features to shed light on the characteristics of Kaposi sarcoma in this unique geographic setting.","PeriodicalId":42885,"journal":{"name":"Dermatopathology","volume":" ","pages":"258-270"},"PeriodicalIF":1.7000,"publicationDate":"2022-07-15","publicationTypes":"Journal Article","fieldsOfStudy":null,"isOpenAccess":false,"openAccessPdf":"https://www.ncbi.nlm.nih.gov/pmc/articles/PMC9326635/pdf/","citationCount":"0","resultStr":"{\"title\":\"Kaposi Sarcoma in Afghanistan: A Case Series from a Tertiary Referral Center.\",\"authors\":\"Alyssa D Higgins, Richard J Dunn, Omer Malikzai, Mirwais Ahmadzai, Jerad M Gardner, Benjamin K Stoff, Josette R McMichael\",\"doi\":\"10.3390/dermatopathology9030030\",\"DOIUrl\":null,\"url\":null,\"abstract\":\"Kaposi sarcoma is a vascular endothelial neoplasm caused by human herpesvirus 8. Although it is a well-studied disease, little is known about the specific characteristics or epidemiology of Kaposi sarcoma in Afghanistan. The data consist primarily of anecdotal reports and epidemiological studies extrapolated from neighboring countries. In this case series, we summarize existing data about Kaposi sarcoma in Afghanistan and present seven histologically confirmed cases with associated clinical features to shed light on the characteristics of Kaposi sarcoma in this unique geographic setting.\",\"PeriodicalId\":42885,\"journal\":{\"name\":\"Dermatopathology\",\"volume\":\" \",\"pages\":\"258-270\"},\"PeriodicalIF\":1.7000,\"publicationDate\":\"2022-07-15\",\"publicationTypes\":\"Journal Article\",\"fieldsOfStudy\":null,\"isOpenAccess\":false,\"openAccessPdf\":\"https://www.ncbi.nlm.nih.gov/pmc/articles/PMC9326635/pdf/\",\"citationCount\":\"0\",\"resultStr\":null,\"platform\":\"Semanticscholar\",\"paperid\":null,\"PeriodicalName\":\"Dermatopathology\",\"FirstCategoryId\":\"1085\",\"ListUrlMain\":\"https://doi.org/10.3390/dermatopathology9030030\",\"RegionNum\":0,\"RegionCategory\":null,\"ArticlePicture\":[],\"TitleCN\":null,\"AbstractTextCN\":null,\"PMCID\":null,\"EPubDate\":\"\",\"PubModel\":\"\",\"JCR\":\"Q3\",\"JCRName\":\"DERMATOLOGY\",\"Score\":null,\"Total\":0}","platform":"Semanticscholar","paperid":null,"PeriodicalName":"Dermatopathology","FirstCategoryId":"1085","ListUrlMain":"https://doi.org/10.3390/dermatopathology9030030","RegionNum":0,"RegionCategory":null,"ArticlePicture":[],"TitleCN":null,"AbstractTextCN":null,"PMCID":null,"EPubDate":"","PubModel":"","JCR":"Q3","JCRName":"DERMATOLOGY","Score":null,"Total":0}
引用次数: 0

摘要

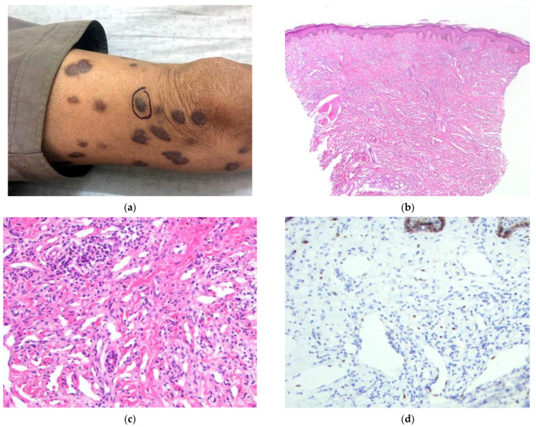
卡波西肉瘤是一种由人类疱疹病毒8引起的血管内皮肿瘤。虽然这是一种被充分研究的疾病,但对阿富汗卡波西肉瘤的具体特征或流行病学知之甚少。这些数据主要包括从邻国推断的轶事报告和流行病学研究。在本病例系列中,我们总结了阿富汗卡波西肉瘤的现有资料,并提出了7例具有相关临床特征的组织学确诊病例,以阐明卡波西肉瘤在这一独特地理环境中的特征。
本文章由计算机程序翻译,如有差异,请以英文原文为准。

Kaposi Sarcoma in Afghanistan: A Case Series from a Tertiary Referral Center.

Kaposi Sarcoma in Afghanistan: A Case Series from a Tertiary Referral Center.

Kaposi Sarcoma in Afghanistan: A Case Series from a Tertiary Referral Center.

Kaposi Sarcoma in Afghanistan: A Case Series from a Tertiary Referral Center.
Kaposi sarcoma is a vascular endothelial neoplasm caused by human herpesvirus 8. Although it is a well-studied disease, little is known about the specific characteristics or epidemiology of Kaposi sarcoma in Afghanistan. The data consist primarily of anecdotal reports and epidemiological studies extrapolated from neighboring countries. In this case series, we summarize existing data about Kaposi sarcoma in Afghanistan and present seven histologically confirmed cases with associated clinical features to shed light on the characteristics of Kaposi sarcoma in this unique geographic setting.
求助全文
通过发布文献求助,成功后即可免费获取论文全文。 去求助
来源期刊
Dermatopathology
Dermatopathology DERMATOLOGY-
自引率
5.30%
发文量
39
审稿时长
11 weeks
×
引用
GB/T 7714-2015
复制
MLA
复制
APA
复制
导出至
BibTeX EndNote RefMan NoteFirst NoteExpress
×
提示
您的信息不完整,为了账户安全,请先补充。
现在去补充
×
提示
您因"违规操作"
具体请查看互助需知
我知道了
×
提示
确定
请完成安全验证×
copy
已复制链接
快去分享给好友吧!
我知道了
右上角分享
点击右上角分享
0
联系我们:info@booksci.cn Book学术提供免费学术资源搜索服务,方便国内外学者检索中英文文献。致力于提供最便捷和优质的服务体验。 Copyright © 2023 布克学术 All rights reserved.
京ICP备2023020795号-1
ghs 京公网安备 11010802042870号
Book学术文献互助
Book学术文献互助群
群 号:604180095
Book学术官方微信