非洲海棠的体内外毒理学评价。菊科植物叶片提取物对大鼠模型的影响。

IF 3 Q2 TOXICOLOGY
Journal of Toxicology Pub Date : 2022-11-07 eCollection Date: 2022-01-01 DOI:10.1155/2022/3434383
Mustapha A Ahmed, Elvis O Ameyaw, Francis Ackah-Armah, Desmond O Acheampong, Peter K Gathumbi, Michael B Adinortey, George Ghartey-Kwansah, Hope R Otsyina, Christian K Adokoh
{"title":"非洲海棠的体内外毒理学评价。菊科植物叶片提取物对大鼠模型的影响。","authors":"Mustapha A Ahmed,&nbsp;Elvis O Ameyaw,&nbsp;Francis Ackah-Armah,&nbsp;Desmond O Acheampong,&nbsp;Peter K Gathumbi,&nbsp;Michael B Adinortey,&nbsp;George Ghartey-Kwansah,&nbsp;Hope R Otsyina,&nbsp;Christian K Adokoh","doi":"10.1155/2022/3434383","DOIUrl":null,"url":null,"abstract":"<p><p><i>Avicennia africana</i> is an important ethnomedicinal plant that has long been used to treat malaria and several other diseases. Despite the plant's antimalarial and other therapeutic properties, there is limited evidence-based data on its potential toxicity. Hence, the purpose of the current study was to assess the safety of <i>A. africana</i> leaf ethanolic extract (AAE). The study was designed to ascertain the cytotoxic effects of the crude extract on red blood cells (RBCs) as well as the acute and subacute toxicity in Wistar albino rats in accordance with Organization for Economic Co-operation and Development (OECD) guidelines \"Test No. 423\" and CPMW/SWP/1042/99. The pulverized, shade-dried plant leaves were sequentially macerated with 70% ethanol to obtain the crude extract (AAE). The extract's cytotoxic activity (CC<sub>50</sub>) against the uninfected human red blood cells (RBCs) was determined using the 3-(4,5-Dimethylythiazol-2-yl)-2,5-diphenyl tetrazolium bromide (MTT) assay. For the acute toxicity studies, the rats (male and female) were divided randomly into six groups of five rats (<i>n</i> = 5) and dosed orally once with the following dose levels: 100, 300, 1000, 3000, and 5000 mgkg<sup>-1</sup>, p.o. of the extracted AAE, with the control group receiving only the vehicle. In the repeated dose toxicity studies, the rats (both sexes) were orally administered daily with AAE at 100, 300, and 1000 mgkg<sup>-1</sup> for 14 days. Rat body weights were measured, and blood samples were tested for haematological and biochemical markers. Internal organs like the heart, kidney, liver, and spleen were collected, inspected, and weighed, and histological examinations were performed. The median lethal dose (LD<sub>50</sub>) value is greater than 5000 mgkg<sup>-1</sup> body weight, with no significant change in bodyweight or relative organ weight (ROWs) of the extract-treated groups or control group. The extract showed greater cytotoxicity activity (CC<sub>50</sub>), which was >100 <i>μ</i>g/mL, compared to the reference drug (artesunate).The dosage groups of 100 and 300 mgkg<sup>-1</sup>bwt had neutrophilia and lymphocytopenia (<i>p</i> < 0.05). However, changes in these haematological parameters may not be dose dependent and could be stress related. All the serum biochemical markers studied in rats given AAE did not show any significant change (<i>p</i> > 0.05). Histopathological examination of internal organs of AAE-treated rats did not show any significant abnormalities resulting from the extract treatment compared to the control group. Based on the findings in the present study, the LD50 value of AAE was found to exceed 5000 mgkg<sup>-1</sup> in the acute toxicity test, while the no observed adverse effect level (NOAEL) in rats was 1000 mgkg<sup>-1</sup> p.o. In the sub-acute toxicity tests. Histopathological analysis revealed no morphological abnormalities in the vital organs.</p>","PeriodicalId":17421,"journal":{"name":"Journal of Toxicology","volume":" ","pages":"3434383"},"PeriodicalIF":3.0000,"publicationDate":"2022-11-07","publicationTypes":"Journal Article","fieldsOfStudy":null,"isOpenAccess":false,"openAccessPdf":"https://www.ncbi.nlm.nih.gov/pmc/articles/PMC9663239/pdf/","citationCount":"0","resultStr":"{\"title\":\"In Vitro and In Vivo Toxicological Evaluation of <i>Avicennia africana</i> P: Beauv. (Avicenniaceae) Leaf Extract in a Rat Model.\",\"authors\":\"Mustapha A Ahmed,&nbsp;Elvis O Ameyaw,&nbsp;Francis Ackah-Armah,&nbsp;Desmond O Acheampong,&nbsp;Peter K Gathumbi,&nbsp;Michael B Adinortey,&nbsp;George Ghartey-Kwansah,&nbsp;Hope R Otsyina,&nbsp;Christian K Adokoh\",\"doi\":\"10.1155/2022/3434383\",\"DOIUrl\":null,\"url\":null,\"abstract\":\"<p><p><i>Avicennia africana</i> is an important ethnomedicinal plant that has long been used to treat malaria and several other diseases. Despite the plant's antimalarial and other therapeutic properties, there is limited evidence-based data on its potential toxicity. Hence, the purpose of the current study was to assess the safety of <i>A. africana</i> leaf ethanolic extract (AAE). The study was designed to ascertain the cytotoxic effects of the crude extract on red blood cells (RBCs) as well as the acute and subacute toxicity in Wistar albino rats in accordance with Organization for Economic Co-operation and Development (OECD) guidelines \\\"Test No. 423\\\" and CPMW/SWP/1042/99. The pulverized, shade-dried plant leaves were sequentially macerated with 70% ethanol to obtain the crude extract (AAE). The extract's cytotoxic activity (CC<sub>50</sub>) against the uninfected human red blood cells (RBCs) was determined using the 3-(4,5-Dimethylythiazol-2-yl)-2,5-diphenyl tetrazolium bromide (MTT) assay. For the acute toxicity studies, the rats (male and female) were divided randomly into six groups of five rats (<i>n</i> = 5) and dosed orally once with the following dose levels: 100, 300, 1000, 3000, and 5000 mgkg<sup>-1</sup>, p.o. of the extracted AAE, with the control group receiving only the vehicle. In the repeated dose toxicity studies, the rats (both sexes) were orally administered daily with AAE at 100, 300, and 1000 mgkg<sup>-1</sup> for 14 days. Rat body weights were measured, and blood samples were tested for haematological and biochemical markers. Internal organs like the heart, kidney, liver, and spleen were collected, inspected, and weighed, and histological examinations were performed. The median lethal dose (LD<sub>50</sub>) value is greater than 5000 mgkg<sup>-1</sup> body weight, with no significant change in bodyweight or relative organ weight (ROWs) of the extract-treated groups or control group. The extract showed greater cytotoxicity activity (CC<sub>50</sub>), which was >100 <i>μ</i>g/mL, compared to the reference drug (artesunate).The dosage groups of 100 and 300 mgkg<sup>-1</sup>bwt had neutrophilia and lymphocytopenia (<i>p</i> < 0.05). However, changes in these haematological parameters may not be dose dependent and could be stress related. All the serum biochemical markers studied in rats given AAE did not show any significant change (<i>p</i> > 0.05). Histopathological examination of internal organs of AAE-treated rats did not show any significant abnormalities resulting from the extract treatment compared to the control group. Based on the findings in the present study, the LD50 value of AAE was found to exceed 5000 mgkg<sup>-1</sup> in the acute toxicity test, while the no observed adverse effect level (NOAEL) in rats was 1000 mgkg<sup>-1</sup> p.o. In the sub-acute toxicity tests. Histopathological analysis revealed no morphological abnormalities in the vital organs.</p>\",\"PeriodicalId\":17421,\"journal\":{\"name\":\"Journal of Toxicology\",\"volume\":\" \",\"pages\":\"3434383\"},\"PeriodicalIF\":3.0000,\"publicationDate\":\"2022-11-07\",\"publicationTypes\":\"Journal Article\",\"fieldsOfStudy\":null,\"isOpenAccess\":false,\"openAccessPdf\":\"https://www.ncbi.nlm.nih.gov/pmc/articles/PMC9663239/pdf/\",\"citationCount\":\"0\",\"resultStr\":null,\"platform\":\"Semanticscholar\",\"paperid\":null,\"PeriodicalName\":\"Journal of Toxicology\",\"FirstCategoryId\":\"3\",\"ListUrlMain\":\"https://doi.org/10.1155/2022/3434383\",\"RegionNum\":0,\"RegionCategory\":null,\"ArticlePicture\":[],\"TitleCN\":null,\"AbstractTextCN\":null,\"PMCID\":null,\"EPubDate\":\"2022/1/1 0:00:00\",\"PubModel\":\"eCollection\",\"JCR\":\"Q2\",\"JCRName\":\"TOXICOLOGY\",\"Score\":null,\"Total\":0}","platform":"Semanticscholar","paperid":null,"PeriodicalName":"Journal of Toxicology","FirstCategoryId":"3","ListUrlMain":"https://doi.org/10.1155/2022/3434383","RegionNum":0,"RegionCategory":null,"ArticlePicture":[],"TitleCN":null,"AbstractTextCN":null,"PMCID":null,"EPubDate":"2022/1/1 0:00:00","PubModel":"eCollection","JCR":"Q2","JCRName":"TOXICOLOGY","Score":null,"Total":0}
引用次数: 0

摘要

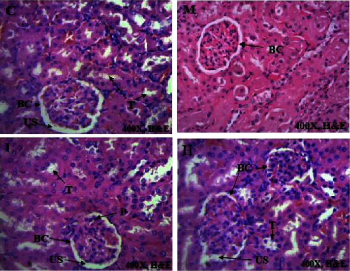
非洲海棠是一种重要的民族药用植物,长期以来被用来治疗疟疾和其他几种疾病。尽管这种植物具有抗疟疾和其他治疗特性,但关于其潜在毒性的循证数据有限。因此,本研究的目的是评估非洲沙叶乙醇提取物(AAE)的安全性。本研究旨在根据经济合作与发展组织(OECD)指南“试验No. 423”和CPMW/SWP/1042/99,确定粗提物对Wistar白化大鼠红细胞(rbc)的细胞毒作用以及急性和亚急性毒性。将植物叶片粉碎后,用70%乙醇浸泡,得到粗提物(AAE)。采用3-(4,5-二甲基噻唑-2-基)-2,5-二苯基溴化四氮唑(MTT)法测定提取物对未感染人红细胞的细胞毒活性(CC50)。急性毒性研究,将雄性和雌性大鼠随机分为6组,每组5只(n = 5),分别以提取的AAE的100、300、1000、3000、5000 mg -1, p.o.给药1次,对照组只给药。在重复给药毒性研究中,大鼠(两性)每天口服AAE 100、300和1000 mg -1,持续14天。测量大鼠体重,并对血样进行血液学和生化指标检测。收集心脏、肾脏、肝脏、脾脏等脏器,进行检查、称重,并进行组织学检查。中位致死剂量(LD50)值大于5000 mgkg-1体重,提取物处理组或对照组的体重或相对器官重量(ROWs)无显著变化。与参比药物青蒿琥酯相比,该提取物具有更高的细胞毒活性(CC50), >100 μg/mL。100和300 mgkg-1bwt剂量组出现中性粒细胞增多和淋巴细胞减少(p < 0.05)。然而,这些血液学参数的变化可能与剂量无关,而可能与应激有关。注射AAE后,各组血清生化指标无显著变化(p > 0.05)。与对照组相比,aae处理大鼠内脏组织病理学检查未见明显异常。根据本研究结果,急性毒性试验中发现AAE的LD50值超过5000 mg -1,而亚急性毒性试验中未观察到大鼠的不良反应水平(NOAEL)为1000 mg -1。组织病理学分析未见重要脏器形态异常。
本文章由计算机程序翻译,如有差异,请以英文原文为准。

In Vitro and In Vivo Toxicological Evaluation of <i>Avicennia africana</i> P: Beauv. (Avicenniaceae) Leaf Extract in a Rat Model.

In Vitro and In Vivo Toxicological Evaluation of <i>Avicennia africana</i> P: Beauv. (Avicenniaceae) Leaf Extract in a Rat Model.

In Vitro and In Vivo Toxicological Evaluation of <i>Avicennia africana</i> P: Beauv. (Avicenniaceae) Leaf Extract in a Rat Model.

In Vitro and In Vivo Toxicological Evaluation of Avicennia africana P: Beauv. (Avicenniaceae) Leaf Extract in a Rat Model.

Avicennia africana is an important ethnomedicinal plant that has long been used to treat malaria and several other diseases. Despite the plant's antimalarial and other therapeutic properties, there is limited evidence-based data on its potential toxicity. Hence, the purpose of the current study was to assess the safety of A. africana leaf ethanolic extract (AAE). The study was designed to ascertain the cytotoxic effects of the crude extract on red blood cells (RBCs) as well as the acute and subacute toxicity in Wistar albino rats in accordance with Organization for Economic Co-operation and Development (OECD) guidelines "Test No. 423" and CPMW/SWP/1042/99. The pulverized, shade-dried plant leaves were sequentially macerated with 70% ethanol to obtain the crude extract (AAE). The extract's cytotoxic activity (CC50) against the uninfected human red blood cells (RBCs) was determined using the 3-(4,5-Dimethylythiazol-2-yl)-2,5-diphenyl tetrazolium bromide (MTT) assay. For the acute toxicity studies, the rats (male and female) were divided randomly into six groups of five rats (n = 5) and dosed orally once with the following dose levels: 100, 300, 1000, 3000, and 5000 mgkg-1, p.o. of the extracted AAE, with the control group receiving only the vehicle. In the repeated dose toxicity studies, the rats (both sexes) were orally administered daily with AAE at 100, 300, and 1000 mgkg-1 for 14 days. Rat body weights were measured, and blood samples were tested for haematological and biochemical markers. Internal organs like the heart, kidney, liver, and spleen were collected, inspected, and weighed, and histological examinations were performed. The median lethal dose (LD50) value is greater than 5000 mgkg-1 body weight, with no significant change in bodyweight or relative organ weight (ROWs) of the extract-treated groups or control group. The extract showed greater cytotoxicity activity (CC50), which was >100 μg/mL, compared to the reference drug (artesunate).The dosage groups of 100 and 300 mgkg-1bwt had neutrophilia and lymphocytopenia (p < 0.05). However, changes in these haematological parameters may not be dose dependent and could be stress related. All the serum biochemical markers studied in rats given AAE did not show any significant change (p > 0.05). Histopathological examination of internal organs of AAE-treated rats did not show any significant abnormalities resulting from the extract treatment compared to the control group. Based on the findings in the present study, the LD50 value of AAE was found to exceed 5000 mgkg-1 in the acute toxicity test, while the no observed adverse effect level (NOAEL) in rats was 1000 mgkg-1 p.o. In the sub-acute toxicity tests. Histopathological analysis revealed no morphological abnormalities in the vital organs.

求助全文
通过发布文献求助,成功后即可免费获取论文全文。 去求助
来源期刊
Journal of Toxicology
Journal of Toxicology TOXICOLOGY-
CiteScore
5.50
自引率
3.40%
发文量
0
审稿时长
10 weeks
期刊介绍: Journal of Toxicology is a peer-reviewed, Open Access journal that publishes original research articles, review articles, and clinical studies in all areas of toxicological sciences. The journal will consider articles looking at the structure, function, and mechanism of agents that are toxic to humans and/or animals, as well as toxicological medicine, risk assessment, safety evaluation, and environmental health.
×
引用
GB/T 7714-2015
复制
MLA
复制
APA
复制
导出至
BibTeX EndNote RefMan NoteFirst NoteExpress
×
提示
您的信息不完整,为了账户安全,请先补充。
现在去补充
×
提示
您因"违规操作"
具体请查看互助需知
我知道了
×
提示
确定
请完成安全验证×
copy
已复制链接
快去分享给好友吧!
我知道了
右上角分享
点击右上角分享
0
联系我们:info@booksci.cn Book学术提供免费学术资源搜索服务,方便国内外学者检索中英文文献。致力于提供最便捷和优质的服务体验。 Copyright © 2023 布克学术 All rights reserved.
京ICP备2023020795号-1
ghs 京公网安备 11010802042870号
Book学术文献互助
Book学术文献互助群
群 号:604180095
Book学术官方微信