出生时漏诊:一例罕见的先天性膈疝继发急性胰腺炎。

IF 0.5 Q4 GASTROENTEROLOGY & HEPATOLOGY
Case Reports in Gastrointestinal Medicine Pub Date : 2022-06-16 eCollection Date: 2022-01-01 DOI:10.1155/2022/7580807
Ahamed A Khalyfa, Navkiran Randhawa, David Gabbert, Ashirf Al-Ghanoudi
{"title":"出生时漏诊:一例罕见的先天性膈疝继发急性胰腺炎。","authors":"Ahamed A Khalyfa,&nbsp;Navkiran Randhawa,&nbsp;David Gabbert,&nbsp;Ashirf Al-Ghanoudi","doi":"10.1155/2022/7580807","DOIUrl":null,"url":null,"abstract":"<p><p>Acute pancreatitis is a common gastrointestinal cause of hospitalizations across the world. The most common etiologies of acute pancreatitis include gallstones, excessive alcohol use, hypertriglyceridemia, or, rarely, trauma. Traction-induced pancreatitis is an uncommon but previously reported cause of acute pancreatitis. We present a 60-year-old male with a past medical history of cerebral palsy who presented to our facility with acute pancreatitis secondary to a congenital diaphragmatic hernia.</p>","PeriodicalId":45645,"journal":{"name":"Case Reports in Gastrointestinal Medicine","volume":" ","pages":"7580807"},"PeriodicalIF":0.5000,"publicationDate":"2022-06-16","publicationTypes":"Journal Article","fieldsOfStudy":null,"isOpenAccess":false,"openAccessPdf":"https://www.ncbi.nlm.nih.gov/pmc/articles/PMC9225915/pdf/","citationCount":"0","resultStr":"{\"title\":\"Missed at Birth: A Rare Case of Acute Pancreatitis Secondary to Congenital Diaphragmatic Hernia.\",\"authors\":\"Ahamed A Khalyfa,&nbsp;Navkiran Randhawa,&nbsp;David Gabbert,&nbsp;Ashirf Al-Ghanoudi\",\"doi\":\"10.1155/2022/7580807\",\"DOIUrl\":null,\"url\":null,\"abstract\":\"<p><p>Acute pancreatitis is a common gastrointestinal cause of hospitalizations across the world. The most common etiologies of acute pancreatitis include gallstones, excessive alcohol use, hypertriglyceridemia, or, rarely, trauma. Traction-induced pancreatitis is an uncommon but previously reported cause of acute pancreatitis. We present a 60-year-old male with a past medical history of cerebral palsy who presented to our facility with acute pancreatitis secondary to a congenital diaphragmatic hernia.</p>\",\"PeriodicalId\":45645,\"journal\":{\"name\":\"Case Reports in Gastrointestinal Medicine\",\"volume\":\" \",\"pages\":\"7580807\"},\"PeriodicalIF\":0.5000,\"publicationDate\":\"2022-06-16\",\"publicationTypes\":\"Journal Article\",\"fieldsOfStudy\":null,\"isOpenAccess\":false,\"openAccessPdf\":\"https://www.ncbi.nlm.nih.gov/pmc/articles/PMC9225915/pdf/\",\"citationCount\":\"0\",\"resultStr\":null,\"platform\":\"Semanticscholar\",\"paperid\":null,\"PeriodicalName\":\"Case Reports in Gastrointestinal Medicine\",\"FirstCategoryId\":\"1085\",\"ListUrlMain\":\"https://doi.org/10.1155/2022/7580807\",\"RegionNum\":0,\"RegionCategory\":null,\"ArticlePicture\":[],\"TitleCN\":null,\"AbstractTextCN\":null,\"PMCID\":null,\"EPubDate\":\"2022/1/1 0:00:00\",\"PubModel\":\"eCollection\",\"JCR\":\"Q4\",\"JCRName\":\"GASTROENTEROLOGY & HEPATOLOGY\",\"Score\":null,\"Total\":0}","platform":"Semanticscholar","paperid":null,"PeriodicalName":"Case Reports in Gastrointestinal Medicine","FirstCategoryId":"1085","ListUrlMain":"https://doi.org/10.1155/2022/7580807","RegionNum":0,"RegionCategory":null,"ArticlePicture":[],"TitleCN":null,"AbstractTextCN":null,"PMCID":null,"EPubDate":"2022/1/1 0:00:00","PubModel":"eCollection","JCR":"Q4","JCRName":"GASTROENTEROLOGY & HEPATOLOGY","Score":null,"Total":0}
引用次数: 0

摘要

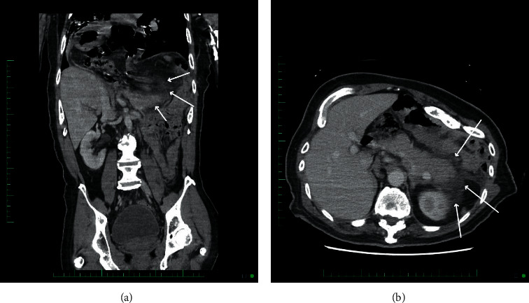
急性胰腺炎是一种常见的胃肠道原因在世界各地的住院治疗。急性胰腺炎最常见的病因包括胆结石、过度饮酒、高甘油三酯血症,或少数情况下的创伤。牵引性胰腺炎是一种罕见的急性胰腺炎,但以前有报道。我们报告一位60岁男性,既往有脑瘫病史,以先天性膈疝继发急性胰腺炎就诊。
本文章由计算机程序翻译,如有差异,请以英文原文为准。

Missed at Birth: A Rare Case of Acute Pancreatitis Secondary to Congenital Diaphragmatic Hernia.

Missed at Birth: A Rare Case of Acute Pancreatitis Secondary to Congenital Diaphragmatic Hernia.

Acute pancreatitis is a common gastrointestinal cause of hospitalizations across the world. The most common etiologies of acute pancreatitis include gallstones, excessive alcohol use, hypertriglyceridemia, or, rarely, trauma. Traction-induced pancreatitis is an uncommon but previously reported cause of acute pancreatitis. We present a 60-year-old male with a past medical history of cerebral palsy who presented to our facility with acute pancreatitis secondary to a congenital diaphragmatic hernia.

求助全文
通过发布文献求助,成功后即可免费获取论文全文。 去求助
来源期刊
Case Reports in Gastrointestinal Medicine
Case Reports in Gastrointestinal Medicine GASTROENTEROLOGY & HEPATOLOGY-
自引率
0.00%
发文量
33
审稿时长
14 weeks
×
引用
GB/T 7714-2015
复制
MLA
复制
APA
复制
导出至
BibTeX EndNote RefMan NoteFirst NoteExpress
×
提示
您的信息不完整,为了账户安全,请先补充。
现在去补充
×
提示
您因"违规操作"
具体请查看互助需知
我知道了
×
提示
确定
请完成安全验证×
copy
已复制链接
快去分享给好友吧!
我知道了
右上角分享
点击右上角分享
0
联系我们:info@booksci.cn Book学术提供免费学术资源搜索服务,方便国内外学者检索中英文文献。致力于提供最便捷和优质的服务体验。 Copyright © 2023 布克学术 All rights reserved.
京ICP备2023020795号-1
ghs 京公网安备 11010802042870号
Book学术文献互助
Book学术文献互助群
群 号:604180095
Book学术官方微信