泰国南部看似健康的收容犬出现多种血液病原体感染。

IF 3.2 Q1 VETERINARY SCIENCES
Narin Sontigun, Worakan Boonhoh, Punpichaya Fungwithaya, Tuempong Wongtawan
{"title":"泰国南部看似健康的收容犬出现多种血液病原体感染。","authors":"Narin Sontigun,&nbsp;Worakan Boonhoh,&nbsp;Punpichaya Fungwithaya,&nbsp;Tuempong Wongtawan","doi":"10.1080/23144599.2022.2111514","DOIUrl":null,"url":null,"abstract":"<p><p>In developing countries such as Thailand, free-ranging dogs are frequently involved in road accidents and contribute to the cost of public healthcare. Shelters play a vital role in communities because they help to control the population of unwanted and free-ranging dogs. This study aimed to investigate blood pathogen infection in sheltered dogs, as it is one of the factors contributing to animal welfare. Blood samples were randomly collected from 141 dogs from the largest shelter (approximately 400-500 dogs in total) in southern Thailand. Blood pathogens were detected using both PCR and light microscopy. Four blood pathogens were identified: <i>Anaplasma platys, Ehrlichia canis, Babesia canis vogeli</i>, and <i>Hepatozoon canis</i>. No trypanosomes were detected. The incidence of blood parasite infection was 56.7% (80/141) by PCR, and 28.4% (40/141) by microscopy. <i>E. canis</i> was the most prevalent pathogen, accounting for 46.1% (65/141) of the cases, while multiple infections accounted for 22% (31/141) of the cases. A triple infection with <i>E. canis, A. platys</i>, and <i>B. canis vogeli</i> was observed in 5.7% (8/141) of the cases. Although PCR is far more sensitive than microscopy, it appears to have equivalent specificity. In conclusion, this study reported a high occurrence of blood pathogen infections in clinically healthy sheltered dogs. Many of them were infected with multiple pathogens and may have been infected before entering the shelter. These findings suggest that a blood test is necessary to screen dogs prior to their admission to the shelter to prevent disease transmission and enhance animal welfare.</p>","PeriodicalId":45744,"journal":{"name":"International Journal of Veterinary Science and Medicine","volume":" ","pages":"64-71"},"PeriodicalIF":3.2000,"publicationDate":"2022-08-24","publicationTypes":"Journal Article","fieldsOfStudy":null,"isOpenAccess":false,"openAccessPdf":"https://www.ncbi.nlm.nih.gov/pmc/articles/PMC9415632/pdf/","citationCount":"3","resultStr":"{\"title\":\"Multiple blood pathogen infections in apparently healthy sheltered dogs in southern Thailand.\",\"authors\":\"Narin Sontigun,&nbsp;Worakan Boonhoh,&nbsp;Punpichaya Fungwithaya,&nbsp;Tuempong Wongtawan\",\"doi\":\"10.1080/23144599.2022.2111514\",\"DOIUrl\":null,\"url\":null,\"abstract\":\"<p><p>In developing countries such as Thailand, free-ranging dogs are frequently involved in road accidents and contribute to the cost of public healthcare. Shelters play a vital role in communities because they help to control the population of unwanted and free-ranging dogs. This study aimed to investigate blood pathogen infection in sheltered dogs, as it is one of the factors contributing to animal welfare. Blood samples were randomly collected from 141 dogs from the largest shelter (approximately 400-500 dogs in total) in southern Thailand. Blood pathogens were detected using both PCR and light microscopy. Four blood pathogens were identified: <i>Anaplasma platys, Ehrlichia canis, Babesia canis vogeli</i>, and <i>Hepatozoon canis</i>. No trypanosomes were detected. The incidence of blood parasite infection was 56.7% (80/141) by PCR, and 28.4% (40/141) by microscopy. <i>E. canis</i> was the most prevalent pathogen, accounting for 46.1% (65/141) of the cases, while multiple infections accounted for 22% (31/141) of the cases. A triple infection with <i>E. canis, A. platys</i>, and <i>B. canis vogeli</i> was observed in 5.7% (8/141) of the cases. Although PCR is far more sensitive than microscopy, it appears to have equivalent specificity. In conclusion, this study reported a high occurrence of blood pathogen infections in clinically healthy sheltered dogs. Many of them were infected with multiple pathogens and may have been infected before entering the shelter. These findings suggest that a blood test is necessary to screen dogs prior to their admission to the shelter to prevent disease transmission and enhance animal welfare.</p>\",\"PeriodicalId\":45744,\"journal\":{\"name\":\"International Journal of Veterinary Science and Medicine\",\"volume\":\" \",\"pages\":\"64-71\"},\"PeriodicalIF\":3.2000,\"publicationDate\":\"2022-08-24\",\"publicationTypes\":\"Journal Article\",\"fieldsOfStudy\":null,\"isOpenAccess\":false,\"openAccessPdf\":\"https://www.ncbi.nlm.nih.gov/pmc/articles/PMC9415632/pdf/\",\"citationCount\":\"3\",\"resultStr\":null,\"platform\":\"Semanticscholar\",\"paperid\":null,\"PeriodicalName\":\"International Journal of Veterinary Science and Medicine\",\"FirstCategoryId\":\"1085\",\"ListUrlMain\":\"https://doi.org/10.1080/23144599.2022.2111514\",\"RegionNum\":0,\"RegionCategory\":null,\"ArticlePicture\":[],\"TitleCN\":null,\"AbstractTextCN\":null,\"PMCID\":null,\"EPubDate\":\"2022/1/1 0:00:00\",\"PubModel\":\"eCollection\",\"JCR\":\"Q1\",\"JCRName\":\"VETERINARY SCIENCES\",\"Score\":null,\"Total\":0}","platform":"Semanticscholar","paperid":null,"PeriodicalName":"International Journal of Veterinary Science and Medicine","FirstCategoryId":"1085","ListUrlMain":"https://doi.org/10.1080/23144599.2022.2111514","RegionNum":0,"RegionCategory":null,"ArticlePicture":[],"TitleCN":null,"AbstractTextCN":null,"PMCID":null,"EPubDate":"2022/1/1 0:00:00","PubModel":"eCollection","JCR":"Q1","JCRName":"VETERINARY SCIENCES","Score":null,"Total":0}
引用次数: 3

摘要

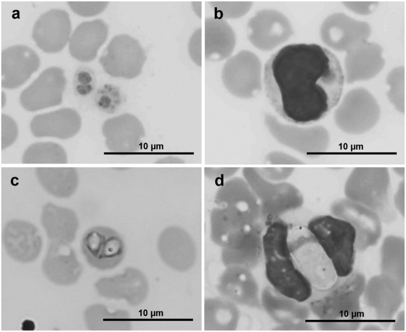
在泰国等发展中国家,自由放养的狗经常卷入交通事故,并增加了公共保健费用。收容所在社区中起着至关重要的作用,因为它们有助于控制不受欢迎和自由放养的狗的数量。本研究旨在调查被收容犬的血液病原体感染情况,因为它是影响动物福利的因素之一。从泰国南部最大的收容所(总共约400-500只狗)随机收集了141只狗的血液样本。采用PCR和光镜检测血液病原菌。鉴定出4种血液病原体:鸭无原体、犬埃利希体、犬巴贝斯虫和犬肝虫。未检出锥虫。PCR检测血寄生虫感染率为56.7%(80/141),镜检为28.4%(40/141)。犬伊螨感染最多,占46.1%(65/141),多重感染占22%(31/141)。5.7%(8/141)的病例存在犬伊虫、兔伊虫和犬沃格利伊虫三联感染。虽然PCR远比显微镜更敏感,但它似乎具有相同的特异性。总之,本研究报告了临床健康的庇护犬血液病原体感染的高发生率。他们中的许多人感染了多种病原体,可能在进入避难所之前就被感染了。这些研究结果表明,在狗进入收容所之前,有必要对它们进行血液检查,以防止疾病传播并提高动物福利。
本文章由计算机程序翻译,如有差异,请以英文原文为准。

Multiple blood pathogen infections in apparently healthy sheltered dogs in southern Thailand.

Multiple blood pathogen infections in apparently healthy sheltered dogs in southern Thailand.

Multiple blood pathogen infections in apparently healthy sheltered dogs in southern Thailand.

In developing countries such as Thailand, free-ranging dogs are frequently involved in road accidents and contribute to the cost of public healthcare. Shelters play a vital role in communities because they help to control the population of unwanted and free-ranging dogs. This study aimed to investigate blood pathogen infection in sheltered dogs, as it is one of the factors contributing to animal welfare. Blood samples were randomly collected from 141 dogs from the largest shelter (approximately 400-500 dogs in total) in southern Thailand. Blood pathogens were detected using both PCR and light microscopy. Four blood pathogens were identified: Anaplasma platys, Ehrlichia canis, Babesia canis vogeli, and Hepatozoon canis. No trypanosomes were detected. The incidence of blood parasite infection was 56.7% (80/141) by PCR, and 28.4% (40/141) by microscopy. E. canis was the most prevalent pathogen, accounting for 46.1% (65/141) of the cases, while multiple infections accounted for 22% (31/141) of the cases. A triple infection with E. canis, A. platys, and B. canis vogeli was observed in 5.7% (8/141) of the cases. Although PCR is far more sensitive than microscopy, it appears to have equivalent specificity. In conclusion, this study reported a high occurrence of blood pathogen infections in clinically healthy sheltered dogs. Many of them were infected with multiple pathogens and may have been infected before entering the shelter. These findings suggest that a blood test is necessary to screen dogs prior to their admission to the shelter to prevent disease transmission and enhance animal welfare.

求助全文
通过发布文献求助,成功后即可免费获取论文全文。 去求助
来源期刊
CiteScore
4.80
自引率
0.00%
发文量
12
审稿时长
24 weeks
×
引用
GB/T 7714-2015
复制
MLA
复制
APA
复制
导出至
BibTeX EndNote RefMan NoteFirst NoteExpress
×
提示
您的信息不完整,为了账户安全,请先补充。
现在去补充
×
提示
您因"违规操作"
具体请查看互助需知
我知道了
×
提示
确定
请完成安全验证×
copy
已复制链接
快去分享给好友吧!
我知道了
右上角分享
点击右上角分享
0
联系我们:info@booksci.cn Book学术提供免费学术资源搜索服务,方便国内外学者检索中英文文献。致力于提供最便捷和优质的服务体验。 Copyright © 2023 布克学术 All rights reserved.
京ICP备2023020795号-1
ghs 京公网安备 11010802042870号
Book学术文献互助
Book学术文献互助群
群 号:604180095
Book学术官方微信