贲门失弛缓症是移植心脏急性细胞排斥反应的不寻常原因。

IF 0.5 Q4 CARDIAC & CARDIOVASCULAR SYSTEMS
Case Reports in Cardiology Pub Date : 2022-09-28 eCollection Date: 2022-01-01 DOI:10.1155/2022/2054727
Amanda Fernandes, Crystal Lihong Yan, Phillip Ruiz, Nina Thakkar Rivera
{"title":"贲门失弛缓症是移植心脏急性细胞排斥反应的不寻常原因。","authors":"Amanda Fernandes,&nbsp;Crystal Lihong Yan,&nbsp;Phillip Ruiz,&nbsp;Nina Thakkar Rivera","doi":"10.1155/2022/2054727","DOIUrl":null,"url":null,"abstract":"<p><p>A 68-year-old female with end-stage heart failure presented to the hospital for heart transplant. She was diagnosed with achalasia 14 months prior and treated with frequent botulinum toxin injections. She underwent orthotopic heart transplant on the day of admission and was extubated a few days later. She developed intractable nausea and vomiting. Her first endomyocardial biopsy revealed moderate, approaching severe rejection. She was treated with high-dose intravenous pulse steroids. Fluoroscopy at the time of follow-up biopsy showed undigested pills in her esophagus with narrowing at the distal end and thus failure to deliver immunosuppressive therapy. This case highlights achalasia as an etiology for acute rejection and its potential management.</p>","PeriodicalId":51760,"journal":{"name":"Case Reports in Cardiology","volume":" ","pages":"2054727"},"PeriodicalIF":0.5000,"publicationDate":"2022-09-28","publicationTypes":"Journal Article","fieldsOfStudy":null,"isOpenAccess":false,"openAccessPdf":"https://www.ncbi.nlm.nih.gov/pmc/articles/PMC9569230/pdf/","citationCount":"0","resultStr":"{\"title\":\"Achalasia as an Unusual Cause of Acute Cellular Rejection of a Transplanted Heart.\",\"authors\":\"Amanda Fernandes,&nbsp;Crystal Lihong Yan,&nbsp;Phillip Ruiz,&nbsp;Nina Thakkar Rivera\",\"doi\":\"10.1155/2022/2054727\",\"DOIUrl\":null,\"url\":null,\"abstract\":\"<p><p>A 68-year-old female with end-stage heart failure presented to the hospital for heart transplant. She was diagnosed with achalasia 14 months prior and treated with frequent botulinum toxin injections. She underwent orthotopic heart transplant on the day of admission and was extubated a few days later. She developed intractable nausea and vomiting. Her first endomyocardial biopsy revealed moderate, approaching severe rejection. She was treated with high-dose intravenous pulse steroids. Fluoroscopy at the time of follow-up biopsy showed undigested pills in her esophagus with narrowing at the distal end and thus failure to deliver immunosuppressive therapy. This case highlights achalasia as an etiology for acute rejection and its potential management.</p>\",\"PeriodicalId\":51760,\"journal\":{\"name\":\"Case Reports in Cardiology\",\"volume\":\" \",\"pages\":\"2054727\"},\"PeriodicalIF\":0.5000,\"publicationDate\":\"2022-09-28\",\"publicationTypes\":\"Journal Article\",\"fieldsOfStudy\":null,\"isOpenAccess\":false,\"openAccessPdf\":\"https://www.ncbi.nlm.nih.gov/pmc/articles/PMC9569230/pdf/\",\"citationCount\":\"0\",\"resultStr\":null,\"platform\":\"Semanticscholar\",\"paperid\":null,\"PeriodicalName\":\"Case Reports in Cardiology\",\"FirstCategoryId\":\"1085\",\"ListUrlMain\":\"https://doi.org/10.1155/2022/2054727\",\"RegionNum\":0,\"RegionCategory\":null,\"ArticlePicture\":[],\"TitleCN\":null,\"AbstractTextCN\":null,\"PMCID\":null,\"EPubDate\":\"2022/1/1 0:00:00\",\"PubModel\":\"eCollection\",\"JCR\":\"Q4\",\"JCRName\":\"CARDIAC & CARDIOVASCULAR SYSTEMS\",\"Score\":null,\"Total\":0}","platform":"Semanticscholar","paperid":null,"PeriodicalName":"Case Reports in Cardiology","FirstCategoryId":"1085","ListUrlMain":"https://doi.org/10.1155/2022/2054727","RegionNum":0,"RegionCategory":null,"ArticlePicture":[],"TitleCN":null,"AbstractTextCN":null,"PMCID":null,"EPubDate":"2022/1/1 0:00:00","PubModel":"eCollection","JCR":"Q4","JCRName":"CARDIAC & CARDIOVASCULAR SYSTEMS","Score":null,"Total":0}
引用次数: 0

摘要

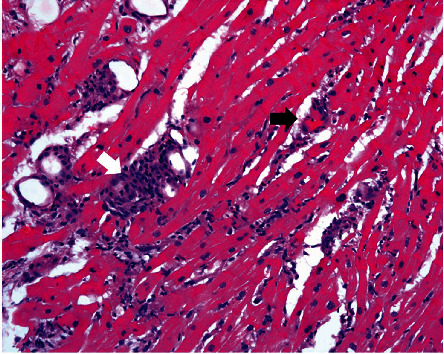
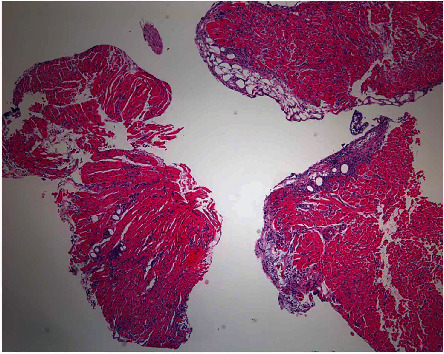
68岁女性,终末期心力衰竭,到医院行心脏移植手术。她在14个月前被诊断为失弛缓症,并经常注射肉毒杆菌毒素治疗。她在入院当天接受了原位心脏移植手术,几天后拔管。她出现难治性恶心和呕吐。她的第一次心内膜活检显示中度,接近严重排斥反应。她接受了大剂量静脉注射类固醇治疗。随访活检时的x线检查显示食管未消化的药丸,远端狭窄,因此无法给予免疫抑制治疗。本病例强调贲门失弛缓症是急性排斥反应的病因及其潜在的治疗方法。
本文章由计算机程序翻译,如有差异,请以英文原文为准。

Achalasia as an Unusual Cause of Acute Cellular Rejection of a Transplanted Heart.

Achalasia as an Unusual Cause of Acute Cellular Rejection of a Transplanted Heart.

Achalasia as an Unusual Cause of Acute Cellular Rejection of a Transplanted Heart.

Achalasia as an Unusual Cause of Acute Cellular Rejection of a Transplanted Heart.

A 68-year-old female with end-stage heart failure presented to the hospital for heart transplant. She was diagnosed with achalasia 14 months prior and treated with frequent botulinum toxin injections. She underwent orthotopic heart transplant on the day of admission and was extubated a few days later. She developed intractable nausea and vomiting. Her first endomyocardial biopsy revealed moderate, approaching severe rejection. She was treated with high-dose intravenous pulse steroids. Fluoroscopy at the time of follow-up biopsy showed undigested pills in her esophagus with narrowing at the distal end and thus failure to deliver immunosuppressive therapy. This case highlights achalasia as an etiology for acute rejection and its potential management.

求助全文
通过发布文献求助,成功后即可免费获取论文全文。 去求助
来源期刊
Case Reports in Cardiology
Case Reports in Cardiology CARDIAC & CARDIOVASCULAR SYSTEMS-
自引率
0.00%
发文量
63
审稿时长
13 weeks
期刊介绍: Case Reports in Cardiology is a peer-reviewed, Open Access journal that publishes case reports and case series related to hypertension, arrhythmia, congestive heart failure, valvular heart disease, vascular disease, congenital heart disease and cardiomyopathy.
×
引用
GB/T 7714-2015
复制
MLA
复制
APA
复制
导出至
BibTeX EndNote RefMan NoteFirst NoteExpress
×
提示
您的信息不完整,为了账户安全,请先补充。
现在去补充
×
提示
您因"违规操作"
具体请查看互助需知
我知道了
×
提示
确定
请完成安全验证×
copy
已复制链接
快去分享给好友吧!
我知道了
右上角分享
点击右上角分享
0
联系我们:info@booksci.cn Book学术提供免费学术资源搜索服务,方便国内外学者检索中英文文献。致力于提供最便捷和优质的服务体验。 Copyright © 2023 布克学术 All rights reserved.
京ICP备2023020795号-1
ghs 京公网安备 11010802042870号
Book学术文献互助
Book学术文献互助群
群 号:604180095
Book学术官方微信