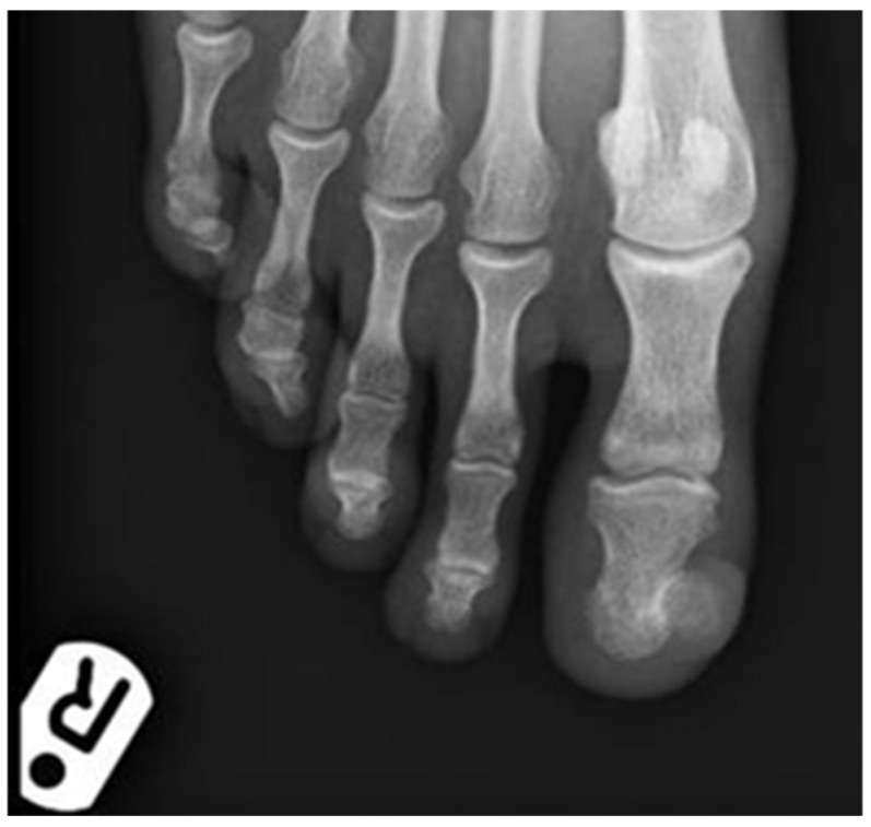
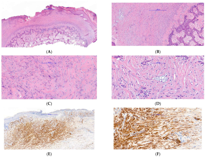
两名年轻女性的甲下外生骨肿表现为化脓性肉芽肿样病变,伴有反应性肌成纤维细胞增生。

IF 1.7 Q3 DERMATOLOGY
Rosanna Fox, Effie Katsarma, Nick Tiffin, Manuraj Singh
{"title":"两名年轻女性的甲下外生骨肿表现为化脓性肉芽肿样病变,伴有反应性肌成纤维细胞增生。","authors":"Rosanna Fox,&nbsp;Effie Katsarma,&nbsp;Nick Tiffin,&nbsp;Manuraj Singh","doi":"10.3390/dermatopathology9020024","DOIUrl":null,"url":null,"abstract":"<p><p>Subungual exostosis (SE) is a well-recognised benign proliferation of the distal phalanx most often seen in young adults and affecting the big toe. Possible triggers include previous trauma and chronic irritation or infection. We describe two atypical cases of SE in two young women presenting with pyogenic granuloma-like lesions clinically. Diagnostic biopsies were performed to confirm the diagnosis and excluded amelanotic melanoma. However, histology unexpectedly revealed reactive myofibroblastic proliferations mimicking nodular fasciitis overlying the SE. Given the atypical clinical presentation, the diagnosis was initially missed or not considered in both patients. They highlight two important points; the first is that SEs may present with pyogenic granuloma-like lesions clinically and that histological analysis is then required to exclude malignancy, particularly amelanotic melanoma. Secondly, that the histology will show a reactive myofibroblastic proliferation and if the sample is relatively superficial and pathologists are not aware of this potential reaction pattern, the underlying diagnosis of SE may be missed.</p>","PeriodicalId":42885,"journal":{"name":"Dermatopathology","volume":" ","pages":"196-202"},"PeriodicalIF":1.7000,"publicationDate":"2022-06-20","publicationTypes":"Journal Article","fieldsOfStudy":null,"isOpenAccess":false,"openAccessPdf":"https://www.ncbi.nlm.nih.gov/pmc/articles/PMC9222026/pdf/","citationCount":"0","resultStr":"{\"title\":\"Subungual Exostosis Presenting as a Pyogenic Granuloma-like Lesion with Reactive Myofibroblastic Proliferation in Two Young Women.\",\"authors\":\"Rosanna Fox,&nbsp;Effie Katsarma,&nbsp;Nick Tiffin,&nbsp;Manuraj Singh\",\"doi\":\"10.3390/dermatopathology9020024\",\"DOIUrl\":null,\"url\":null,\"abstract\":\"<p><p>Subungual exostosis (SE) is a well-recognised benign proliferation of the distal phalanx most often seen in young adults and affecting the big toe. Possible triggers include previous trauma and chronic irritation or infection. We describe two atypical cases of SE in two young women presenting with pyogenic granuloma-like lesions clinically. Diagnostic biopsies were performed to confirm the diagnosis and excluded amelanotic melanoma. However, histology unexpectedly revealed reactive myofibroblastic proliferations mimicking nodular fasciitis overlying the SE. Given the atypical clinical presentation, the diagnosis was initially missed or not considered in both patients. They highlight two important points; the first is that SEs may present with pyogenic granuloma-like lesions clinically and that histological analysis is then required to exclude malignancy, particularly amelanotic melanoma. Secondly, that the histology will show a reactive myofibroblastic proliferation and if the sample is relatively superficial and pathologists are not aware of this potential reaction pattern, the underlying diagnosis of SE may be missed.</p>\",\"PeriodicalId\":42885,\"journal\":{\"name\":\"Dermatopathology\",\"volume\":\" \",\"pages\":\"196-202\"},\"PeriodicalIF\":1.7000,\"publicationDate\":\"2022-06-20\",\"publicationTypes\":\"Journal Article\",\"fieldsOfStudy\":null,\"isOpenAccess\":false,\"openAccessPdf\":\"https://www.ncbi.nlm.nih.gov/pmc/articles/PMC9222026/pdf/\",\"citationCount\":\"0\",\"resultStr\":null,\"platform\":\"Semanticscholar\",\"paperid\":null,\"PeriodicalName\":\"Dermatopathology\",\"FirstCategoryId\":\"1085\",\"ListUrlMain\":\"https://doi.org/10.3390/dermatopathology9020024\",\"RegionNum\":0,\"RegionCategory\":null,\"ArticlePicture\":[],\"TitleCN\":null,\"AbstractTextCN\":null,\"PMCID\":null,\"EPubDate\":\"\",\"PubModel\":\"\",\"JCR\":\"Q3\",\"JCRName\":\"DERMATOLOGY\",\"Score\":null,\"Total\":0}","platform":"Semanticscholar","paperid":null,"PeriodicalName":"Dermatopathology","FirstCategoryId":"1085","ListUrlMain":"https://doi.org/10.3390/dermatopathology9020024","RegionNum":0,"RegionCategory":null,"ArticlePicture":[],"TitleCN":null,"AbstractTextCN":null,"PMCID":null,"EPubDate":"","PubModel":"","JCR":"Q3","JCRName":"DERMATOLOGY","Score":null,"Total":0}
引用次数: 0

摘要

趾骨下外生症(SE)是一种公认的远端指骨的良性增生,最常见于年轻人,影响大脚趾。可能的诱因包括以前的创伤和慢性刺激或感染。我们描述了两个不典型的病例SE在两名年轻女性表现为化脓性肉芽肿样病变的临床。进行诊断活检以确认诊断并排除无色素黑色素瘤。然而,组织学出乎意料地显示反应性肌成纤维细胞增生,类似结节性筋膜炎。鉴于非典型的临床表现,诊断最初被遗漏或没有考虑在两个病人。它们突出了两个要点;首先,se可能在临床上表现为化脓性肉芽肿样病变,需要进行组织学分析以排除恶性肿瘤,特别是无色素黑色素瘤。其次,组织学将显示反应性肌成纤维细胞增殖,如果样本相对肤浅,病理学家没有意识到这种潜在的反应模式,可能会错过SE的潜在诊断。
本文章由计算机程序翻译,如有差异,请以英文原文为准。

Subungual Exostosis Presenting as a Pyogenic Granuloma-like Lesion with Reactive Myofibroblastic Proliferation in Two Young Women.

Subungual Exostosis Presenting as a Pyogenic Granuloma-like Lesion with Reactive Myofibroblastic Proliferation in Two Young Women.

Subungual Exostosis Presenting as a Pyogenic Granuloma-like Lesion with Reactive Myofibroblastic Proliferation in Two Young Women.

Subungual Exostosis Presenting as a Pyogenic Granuloma-like Lesion with Reactive Myofibroblastic Proliferation in Two Young Women.

Subungual exostosis (SE) is a well-recognised benign proliferation of the distal phalanx most often seen in young adults and affecting the big toe. Possible triggers include previous trauma and chronic irritation or infection. We describe two atypical cases of SE in two young women presenting with pyogenic granuloma-like lesions clinically. Diagnostic biopsies were performed to confirm the diagnosis and excluded amelanotic melanoma. However, histology unexpectedly revealed reactive myofibroblastic proliferations mimicking nodular fasciitis overlying the SE. Given the atypical clinical presentation, the diagnosis was initially missed or not considered in both patients. They highlight two important points; the first is that SEs may present with pyogenic granuloma-like lesions clinically and that histological analysis is then required to exclude malignancy, particularly amelanotic melanoma. Secondly, that the histology will show a reactive myofibroblastic proliferation and if the sample is relatively superficial and pathologists are not aware of this potential reaction pattern, the underlying diagnosis of SE may be missed.

求助全文
通过发布文献求助,成功后即可免费获取论文全文。 去求助
来源期刊
Dermatopathology
Dermatopathology DERMATOLOGY-
自引率
5.30%
发文量
39
审稿时长
11 weeks
×
引用
GB/T 7714-2015
复制
MLA
复制
APA
复制
导出至
BibTeX EndNote RefMan NoteFirst NoteExpress
×
提示
您的信息不完整,为了账户安全,请先补充。
现在去补充
×
提示
您因"违规操作"
具体请查看互助需知
我知道了
×
提示
确定
请完成安全验证×
copy
已复制链接
快去分享给好友吧!
我知道了
右上角分享
点击右上角分享
0
联系我们:info@booksci.cn Book学术提供免费学术资源搜索服务,方便国内外学者检索中英文文献。致力于提供最便捷和优质的服务体验。 Copyright © 2023 布克学术 All rights reserved.
京ICP备2023020795号-1
ghs 京公网安备 11010802042870号
Book学术文献互助
Book学术文献互助群
群 号:604180095
Book学术官方微信