蛋白丢失性肠病是胃eb病毒淋巴瘤的初始表现。

IF 0.5 Q4 GASTROENTEROLOGY & HEPATOLOGY
Case Reports in Gastrointestinal Medicine Pub Date : 2022-06-10 eCollection Date: 2022-01-01 DOI:10.1155/2022/5143760
Bilal Niazi, Saad Ali, Sameh Elias, Michael Sciarra
{"title":"蛋白丢失性肠病是胃eb病毒淋巴瘤的初始表现。","authors":"Bilal Niazi,&nbsp;Saad Ali,&nbsp;Sameh Elias,&nbsp;Michael Sciarra","doi":"10.1155/2022/5143760","DOIUrl":null,"url":null,"abstract":"<p><p>Protein loss enteropathy (PLE) is a complex disease process that can result in potentially fatal protein losses. Gastrointestinal protein losses usually arise from damage to the gastrointestinal mucosa or from lymphatic obstruction. The goal of management is to identify and treat the underlying causes and maintain normal serum protein levels. Here, we present a patient with diarrhea and generalized edema, with decreased serum albumin and gamma-globulin levels, concerning for protein loss enteropathy. He was ultimately found to be positive for HIV infection, and his stool alpha-1 antitrypsin levels were diagnostic of protein loss enteropathy. His endoscopic and histologic evaluation revealed gastric Epstein-Barr virus-encoded small RNA- (EBER-) positive lymphoma. Though gastrointestinal lymphomas are known to cause PLE, this will be the first documented case of EBER-positive gastric lymphoma presenting with PLE. We hope to bring awareness to this unique presentation to aid in expedient diagnosis and treatment to avoid delays in treatment and potentially fatal outcomes.</p>","PeriodicalId":45645,"journal":{"name":"Case Reports in Gastrointestinal Medicine","volume":" ","pages":"5143760"},"PeriodicalIF":0.5000,"publicationDate":"2022-06-10","publicationTypes":"Journal Article","fieldsOfStudy":null,"isOpenAccess":false,"openAccessPdf":"https://www.ncbi.nlm.nih.gov/pmc/articles/PMC9205741/pdf/","citationCount":"1","resultStr":"{\"title\":\"Protein Loss Enteropathy as an Initial Presentation of Gastric Epstein-Barr Virus Lymphoma.\",\"authors\":\"Bilal Niazi,&nbsp;Saad Ali,&nbsp;Sameh Elias,&nbsp;Michael Sciarra\",\"doi\":\"10.1155/2022/5143760\",\"DOIUrl\":null,\"url\":null,\"abstract\":\"<p><p>Protein loss enteropathy (PLE) is a complex disease process that can result in potentially fatal protein losses. Gastrointestinal protein losses usually arise from damage to the gastrointestinal mucosa or from lymphatic obstruction. The goal of management is to identify and treat the underlying causes and maintain normal serum protein levels. Here, we present a patient with diarrhea and generalized edema, with decreased serum albumin and gamma-globulin levels, concerning for protein loss enteropathy. He was ultimately found to be positive for HIV infection, and his stool alpha-1 antitrypsin levels were diagnostic of protein loss enteropathy. His endoscopic and histologic evaluation revealed gastric Epstein-Barr virus-encoded small RNA- (EBER-) positive lymphoma. Though gastrointestinal lymphomas are known to cause PLE, this will be the first documented case of EBER-positive gastric lymphoma presenting with PLE. We hope to bring awareness to this unique presentation to aid in expedient diagnosis and treatment to avoid delays in treatment and potentially fatal outcomes.</p>\",\"PeriodicalId\":45645,\"journal\":{\"name\":\"Case Reports in Gastrointestinal Medicine\",\"volume\":\" \",\"pages\":\"5143760\"},\"PeriodicalIF\":0.5000,\"publicationDate\":\"2022-06-10\",\"publicationTypes\":\"Journal Article\",\"fieldsOfStudy\":null,\"isOpenAccess\":false,\"openAccessPdf\":\"https://www.ncbi.nlm.nih.gov/pmc/articles/PMC9205741/pdf/\",\"citationCount\":\"1\",\"resultStr\":null,\"platform\":\"Semanticscholar\",\"paperid\":null,\"PeriodicalName\":\"Case Reports in Gastrointestinal Medicine\",\"FirstCategoryId\":\"1085\",\"ListUrlMain\":\"https://doi.org/10.1155/2022/5143760\",\"RegionNum\":0,\"RegionCategory\":null,\"ArticlePicture\":[],\"TitleCN\":null,\"AbstractTextCN\":null,\"PMCID\":null,\"EPubDate\":\"2022/1/1 0:00:00\",\"PubModel\":\"eCollection\",\"JCR\":\"Q4\",\"JCRName\":\"GASTROENTEROLOGY & HEPATOLOGY\",\"Score\":null,\"Total\":0}","platform":"Semanticscholar","paperid":null,"PeriodicalName":"Case Reports in Gastrointestinal Medicine","FirstCategoryId":"1085","ListUrlMain":"https://doi.org/10.1155/2022/5143760","RegionNum":0,"RegionCategory":null,"ArticlePicture":[],"TitleCN":null,"AbstractTextCN":null,"PMCID":null,"EPubDate":"2022/1/1 0:00:00","PubModel":"eCollection","JCR":"Q4","JCRName":"GASTROENTEROLOGY & HEPATOLOGY","Score":null,"Total":0}
引用次数: 1

摘要

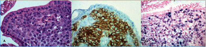
蛋白质损失肠病(PLE)是一种复杂的疾病过程,可导致潜在致命的蛋白质损失。胃肠道蛋白损失通常是由于胃肠道粘膜损伤或淋巴阻塞引起的。管理的目标是确定和治疗潜在的原因,并维持正常的血清蛋白水平。在这里,我们报告了一个腹泻和全身性水肿的患者,血清白蛋白和γ -球蛋白水平下降,涉及蛋白质损失肠病。他最终被发现HIV感染呈阳性,他的粪便α -1抗胰蛋白酶水平被诊断为蛋白质丢失性肠病。他的内镜和组织学评估显示胃eb病毒编码的小RNA (EBER-)阳性淋巴瘤。虽然已知胃肠道淋巴瘤可引起PLE,但这将是第一例以PLE为表现的eber阳性胃淋巴瘤。我们希望让人们认识到这一独特的表现,以帮助权宜之计的诊断和治疗,以避免治疗延误和潜在的致命后果。
本文章由计算机程序翻译,如有差异,请以英文原文为准。

Protein Loss Enteropathy as an Initial Presentation of Gastric Epstein-Barr Virus Lymphoma.

Protein Loss Enteropathy as an Initial Presentation of Gastric Epstein-Barr Virus Lymphoma.

Protein Loss Enteropathy as an Initial Presentation of Gastric Epstein-Barr Virus Lymphoma.

Protein Loss Enteropathy as an Initial Presentation of Gastric Epstein-Barr Virus Lymphoma.

Protein loss enteropathy (PLE) is a complex disease process that can result in potentially fatal protein losses. Gastrointestinal protein losses usually arise from damage to the gastrointestinal mucosa or from lymphatic obstruction. The goal of management is to identify and treat the underlying causes and maintain normal serum protein levels. Here, we present a patient with diarrhea and generalized edema, with decreased serum albumin and gamma-globulin levels, concerning for protein loss enteropathy. He was ultimately found to be positive for HIV infection, and his stool alpha-1 antitrypsin levels were diagnostic of protein loss enteropathy. His endoscopic and histologic evaluation revealed gastric Epstein-Barr virus-encoded small RNA- (EBER-) positive lymphoma. Though gastrointestinal lymphomas are known to cause PLE, this will be the first documented case of EBER-positive gastric lymphoma presenting with PLE. We hope to bring awareness to this unique presentation to aid in expedient diagnosis and treatment to avoid delays in treatment and potentially fatal outcomes.

求助全文
通过发布文献求助,成功后即可免费获取论文全文。 去求助
来源期刊
Case Reports in Gastrointestinal Medicine
Case Reports in Gastrointestinal Medicine GASTROENTEROLOGY & HEPATOLOGY-
自引率
0.00%
发文量
33
审稿时长
14 weeks
×
引用
GB/T 7714-2015
复制
MLA
复制
APA
复制
导出至
BibTeX EndNote RefMan NoteFirst NoteExpress
×
提示
您的信息不完整,为了账户安全,请先补充。
现在去补充
×
提示
您因"违规操作"
具体请查看互助需知
我知道了
×
提示
确定
请完成安全验证×
copy
已复制链接
快去分享给好友吧!
我知道了
右上角分享
点击右上角分享
0
联系我们:info@booksci.cn Book学术提供免费学术资源搜索服务,方便国内外学者检索中英文文献。致力于提供最便捷和优质的服务体验。 Copyright © 2023 布克学术 All rights reserved.
京ICP备2023020795号-1
ghs 京公网安备 11010802042870号
Book学术文献互助
Book学术文献互助群
群 号:604180095
Book学术官方微信