肾上腺静脉取样技术:多用途导管形状便于颅内定向右肾上腺静脉取样。

IF 1.7 4区 医学 Q2 Medicine
Daniel M DePietro, Scott O Trerotola
{"title":"肾上腺静脉取样技术:多用途导管形状便于颅内定向右肾上腺静脉取样。","authors":"Daniel M DePietro, Scott O Trerotola","doi":"10.5152/dir.2021.20496","DOIUrl":null,"url":null,"abstract":"<p><p>Adrenal vein sampling (AVS) failure is often attributed to difficulty sampling the right adrenal vein (RAV). Normally, the RAV is caudally oriented, however, cranial orientation of the RAV is not uncommon. In such cases, use of a multipurpose (MPA) catheter shape may facilitate sampling. Between 2014 and 2019, 351 patients underwent AVS and RAV sampling with an MPA catheter occurred in 23 patients (7%, 10M:13F). Data regarding pre-AVS imaging, procedural details, and AVS results were collected, the RAV vertical angle was measured on venography using the IVC right lateral wall as the craniocaudal axis (0° defined as caudal, 180° cranial), and correlation of the number of catheters used until successful sampling with the MPA catheter and various procedural measures was assessed. Twenty-four technically successfully AVS were performed in 23 patients, all of whom had cranially oriented RAVs on intra-procedural venography. An MPA catheter was the first choice in 2 patients with previously known cranially oriented RAVs. In the remaining patients, the MPA catheter was 2nd choice in 21% (n = 5), 3rd choice in 50% (n = 12), and up to 8th choice (n=1). Early utilization of the MPA catheter correlated with lower fluoroscopic time (R = 0.71, P = 0.0001) and lower contrast volume (R = 0.77, P < 0.0001). These results support the use of the MPA catheter when sampling cranially oriented RAVs. MPA catheters should be readily considered when cranially oriented RAVs are present and when caudally-oriented catheters fail to identify the RAV.</p>","PeriodicalId":50582,"journal":{"name":"Diagnostic and Interventional Radiology","volume":" ","pages":"79-82"},"PeriodicalIF":1.7000,"publicationDate":"2022-01-01","publicationTypes":"Journal Article","fieldsOfStudy":null,"isOpenAccess":false,"openAccessPdf":"https://www.ncbi.nlm.nih.gov/pmc/articles/PMC12278915/pdf/","citationCount":"0","resultStr":"{\"title\":\"Techniques in adrenal vein sampling: Multipurpose catheter shape facilitates sampling of cranially oriented right adrenal veins.\",\"authors\":\"Daniel M DePietro, Scott O Trerotola\",\"doi\":\"10.5152/dir.2021.20496\",\"DOIUrl\":null,\"url\":null,\"abstract\":\"<p><p>Adrenal vein sampling (AVS) failure is often attributed to difficulty sampling the right adrenal vein (RAV). Normally, the RAV is caudally oriented, however, cranial orientation of the RAV is not uncommon. In such cases, use of a multipurpose (MPA) catheter shape may facilitate sampling. Between 2014 and 2019, 351 patients underwent AVS and RAV sampling with an MPA catheter occurred in 23 patients (7%, 10M:13F). Data regarding pre-AVS imaging, procedural details, and AVS results were collected, the RAV vertical angle was measured on venography using the IVC right lateral wall as the craniocaudal axis (0° defined as caudal, 180° cranial), and correlation of the number of catheters used until successful sampling with the MPA catheter and various procedural measures was assessed. Twenty-four technically successfully AVS were performed in 23 patients, all of whom had cranially oriented RAVs on intra-procedural venography. An MPA catheter was the first choice in 2 patients with previously known cranially oriented RAVs. In the remaining patients, the MPA catheter was 2nd choice in 21% (n = 5), 3rd choice in 50% (n = 12), and up to 8th choice (n=1). Early utilization of the MPA catheter correlated with lower fluoroscopic time (R = 0.71, P = 0.0001) and lower contrast volume (R = 0.77, P < 0.0001). These results support the use of the MPA catheter when sampling cranially oriented RAVs. MPA catheters should be readily considered when cranially oriented RAVs are present and when caudally-oriented catheters fail to identify the RAV.</p>\",\"PeriodicalId\":50582,\"journal\":{\"name\":\"Diagnostic and Interventional Radiology\",\"volume\":\" \",\"pages\":\"79-82\"},\"PeriodicalIF\":1.7000,\"publicationDate\":\"2022-01-01\",\"publicationTypes\":\"Journal Article\",\"fieldsOfStudy\":null,\"isOpenAccess\":false,\"openAccessPdf\":\"https://www.ncbi.nlm.nih.gov/pmc/articles/PMC12278915/pdf/\",\"citationCount\":\"0\",\"resultStr\":null,\"platform\":\"Semanticscholar\",\"paperid\":null,\"PeriodicalName\":\"Diagnostic and Interventional Radiology\",\"FirstCategoryId\":\"3\",\"ListUrlMain\":\"https://doi.org/10.5152/dir.2021.20496\",\"RegionNum\":4,\"RegionCategory\":\"医学\",\"ArticlePicture\":[],\"TitleCN\":null,\"AbstractTextCN\":null,\"PMCID\":null,\"EPubDate\":\"\",\"PubModel\":\"\",\"JCR\":\"Q2\",\"JCRName\":\"Medicine\",\"Score\":null,\"Total\":0}","platform":"Semanticscholar","paperid":null,"PeriodicalName":"Diagnostic and Interventional Radiology","FirstCategoryId":"3","ListUrlMain":"https://doi.org/10.5152/dir.2021.20496","RegionNum":4,"RegionCategory":"医学","ArticlePicture":[],"TitleCN":null,"AbstractTextCN":null,"PMCID":null,"EPubDate":"","PubModel":"","JCR":"Q2","JCRName":"Medicine","Score":null,"Total":0}
引用次数: 0

摘要

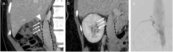
肾上腺静脉采样(AVS)失败通常是由于难以采样右肾上腺静脉(RAV)。正常情况下,小房室是尾侧定向的,然而,小房室的颅侧定向并不罕见。在这种情况下,使用多用途(MPA)导管形状可能有助于采样。2014年至2019年期间,351例患者接受了AVS和RAV采样,其中23例患者(7%,10M:13F)。收集AVS前成像、手术细节和AVS结果的数据,以IVC右侧壁为颅侧轴(0°定义为尾侧,180°定义为颅侧),在静脉造影中测量RAV垂直角度,并评估使用MPA导管成功取样前使用导管数量与各种手术措施的相关性。23例患者均在术中静脉造影时进行了颅面导向的AVS,技术上成功进行了24例AVS。在2例已知的颅向RAVs患者中,首选MPA导管。在其余患者中,21% (n= 5)的患者选择MPA导管作为第二选择,50% (n= 12)的患者选择MPA导管作为第三选择,最多的患者选择MPA导管作为第八选择(n=1)。早期使用MPA导管与较短的透视时间(R = 0.71, P = 0.0001)和较低的造影剂(R = 0.77, P < 0.0001)相关。这些结果支持MPA导管在颅向RAVs取样时的使用。当颅向RAV存在时,当尾向导管不能识别RAV时,应考虑使用MPA导管。
本文章由计算机程序翻译,如有差异,请以英文原文为准。

Techniques in adrenal vein sampling: Multipurpose catheter shape facilitates sampling of cranially oriented right adrenal veins.

Techniques in adrenal vein sampling: Multipurpose catheter shape facilitates sampling of cranially oriented right adrenal veins.

Techniques in adrenal vein sampling: Multipurpose catheter shape facilitates sampling of cranially oriented right adrenal veins.

Techniques in adrenal vein sampling: Multipurpose catheter shape facilitates sampling of cranially oriented right adrenal veins.

Adrenal vein sampling (AVS) failure is often attributed to difficulty sampling the right adrenal vein (RAV). Normally, the RAV is caudally oriented, however, cranial orientation of the RAV is not uncommon. In such cases, use of a multipurpose (MPA) catheter shape may facilitate sampling. Between 2014 and 2019, 351 patients underwent AVS and RAV sampling with an MPA catheter occurred in 23 patients (7%, 10M:13F). Data regarding pre-AVS imaging, procedural details, and AVS results were collected, the RAV vertical angle was measured on venography using the IVC right lateral wall as the craniocaudal axis (0° defined as caudal, 180° cranial), and correlation of the number of catheters used until successful sampling with the MPA catheter and various procedural measures was assessed. Twenty-four technically successfully AVS were performed in 23 patients, all of whom had cranially oriented RAVs on intra-procedural venography. An MPA catheter was the first choice in 2 patients with previously known cranially oriented RAVs. In the remaining patients, the MPA catheter was 2nd choice in 21% (n = 5), 3rd choice in 50% (n = 12), and up to 8th choice (n=1). Early utilization of the MPA catheter correlated with lower fluoroscopic time (R = 0.71, P = 0.0001) and lower contrast volume (R = 0.77, P < 0.0001). These results support the use of the MPA catheter when sampling cranially oriented RAVs. MPA catheters should be readily considered when cranially oriented RAVs are present and when caudally-oriented catheters fail to identify the RAV.

求助全文
通过发布文献求助,成功后即可免费获取论文全文。 去求助
来源期刊
CiteScore
3.50
自引率
4.80%
发文量
69
审稿时长
6-12 weeks
期刊介绍: Diagnostic and Interventional Radiology (Diagn Interv Radiol) is the open access, online-only official publication of Turkish Society of Radiology. It is published bimonthly and the journal’s publication language is English. The journal is a medium for original articles, reviews, pictorial essays, technical notes related to all fields of diagnostic and interventional radiology.
×
引用
GB/T 7714-2015
复制
MLA
复制
APA
复制
导出至
BibTeX EndNote RefMan NoteFirst NoteExpress
×
提示
您的信息不完整,为了账户安全,请先补充。
现在去补充
×
提示
您因"违规操作"
具体请查看互助需知
我知道了
×
提示
确定
请完成安全验证×
copy
已复制链接
快去分享给好友吧!
我知道了
右上角分享
点击右上角分享
0
联系我们:info@booksci.cn Book学术提供免费学术资源搜索服务,方便国内外学者检索中英文文献。致力于提供最便捷和优质的服务体验。 Copyright © 2023 布克学术 All rights reserved.
京ICP备2023020795号-1
ghs 京公网安备 11010802042870号
Book学术文献互助
Book学术文献互助群
群 号:604180095
Book学术官方微信