x连锁耳聋/不完全分割3型:颞骨和颅内影像学表现的评价。

IF 1.7 4区 医学 Q2 Medicine
Safak Parlak, Ekim Gumeler, Levent Sennaroglu, Burce Ozgen
{"title":"x连锁耳聋/不完全分割3型:颞骨和颅内影像学表现的评价。","authors":"Safak Parlak, Ekim Gumeler, Levent Sennaroglu, Burce Ozgen","doi":"10.5152/dir.2021.20791","DOIUrl":null,"url":null,"abstract":"<p><strong>Purpose: </strong>X-linked deafness (XLD) is a rare disease, characterized by typical cochlear incomplete partition type 3 anomaly (IP-III). Accompanying hypothalamic anomalies were also recently described. The purpose of this study was to document the temporal bone and intracranial imaging findings in a series of patients with XLD with a review of the literature, to better understand this anomaly.</p><p><strong>Methods: </strong>The CT and MRI studied of 13 XLD patients were retrospectively evaluated. All structures of the otic capsule (OC) were subjectively and retrospectively assessed. The OC thickness and the size of the cochlea were measured and compared to the age-matched control group. Intracranial structures were also evaluated with specific attention to the hypothalamic region.</p><p><strong>Results: </strong>All cases had bilateral IP-III anomaly, bulbous internal auditory canals (IACs), absent bony modiolus with preserved interscalar septa, intact cochleovestibular, and facial nerves. OC thickness was decreased in all cases compared to the control group (p<0.001). In XLD patients, the cochlea had decreased transverse dimension and increased height compared to the control group (p< 0.001). Five patients (38.4%) had bilateral cystic structures adjacent to the vestibule and/or semicircular canals (SCCs). Hypothalamus was thickened or had a lobular appearance in all cases (subtle in one). Additionally, hamartoma-like appearance of the hypothalamus was present in half.</p><p><strong>Conclusion: </strong>XLD is a rare inner ear anomaly that is frequently associated with hypothalamic malformations. The OC thickness of IP-III patients appears to be decreased with accompanying decreased transverse dimension of the cochlea which could have implications in electrode selection during cochlear implantation. Cystic /diverticular lesions surrounding the vestibule and semicircular canals are also frequently seen but a rarely reported finding.</p>","PeriodicalId":50582,"journal":{"name":"Diagnostic and Interventional Radiology","volume":" ","pages":"50-57"},"PeriodicalIF":1.7000,"publicationDate":"2022-01-01","publicationTypes":"Journal Article","fieldsOfStudy":null,"isOpenAccess":false,"openAccessPdf":"https://www.ncbi.nlm.nih.gov/pmc/articles/PMC12278925/pdf/","citationCount":"0","resultStr":"{\"title\":\"X-linked deafness/incomplete partition type 3: Radiological evaluation of temporal bone and intracranial findings.\",\"authors\":\"Safak Parlak, Ekim Gumeler, Levent Sennaroglu, Burce Ozgen\",\"doi\":\"10.5152/dir.2021.20791\",\"DOIUrl\":null,\"url\":null,\"abstract\":\"<p><strong>Purpose: </strong>X-linked deafness (XLD) is a rare disease, characterized by typical cochlear incomplete partition type 3 anomaly (IP-III). Accompanying hypothalamic anomalies were also recently described. The purpose of this study was to document the temporal bone and intracranial imaging findings in a series of patients with XLD with a review of the literature, to better understand this anomaly.</p><p><strong>Methods: </strong>The CT and MRI studied of 13 XLD patients were retrospectively evaluated. All structures of the otic capsule (OC) were subjectively and retrospectively assessed. The OC thickness and the size of the cochlea were measured and compared to the age-matched control group. Intracranial structures were also evaluated with specific attention to the hypothalamic region.</p><p><strong>Results: </strong>All cases had bilateral IP-III anomaly, bulbous internal auditory canals (IACs), absent bony modiolus with preserved interscalar septa, intact cochleovestibular, and facial nerves. OC thickness was decreased in all cases compared to the control group (p<0.001). In XLD patients, the cochlea had decreased transverse dimension and increased height compared to the control group (p< 0.001). Five patients (38.4%) had bilateral cystic structures adjacent to the vestibule and/or semicircular canals (SCCs). Hypothalamus was thickened or had a lobular appearance in all cases (subtle in one). Additionally, hamartoma-like appearance of the hypothalamus was present in half.</p><p><strong>Conclusion: </strong>XLD is a rare inner ear anomaly that is frequently associated with hypothalamic malformations. The OC thickness of IP-III patients appears to be decreased with accompanying decreased transverse dimension of the cochlea which could have implications in electrode selection during cochlear implantation. Cystic /diverticular lesions surrounding the vestibule and semicircular canals are also frequently seen but a rarely reported finding.</p>\",\"PeriodicalId\":50582,\"journal\":{\"name\":\"Diagnostic and Interventional Radiology\",\"volume\":\" \",\"pages\":\"50-57\"},\"PeriodicalIF\":1.7000,\"publicationDate\":\"2022-01-01\",\"publicationTypes\":\"Journal Article\",\"fieldsOfStudy\":null,\"isOpenAccess\":false,\"openAccessPdf\":\"https://www.ncbi.nlm.nih.gov/pmc/articles/PMC12278925/pdf/\",\"citationCount\":\"0\",\"resultStr\":null,\"platform\":\"Semanticscholar\",\"paperid\":null,\"PeriodicalName\":\"Diagnostic and Interventional Radiology\",\"FirstCategoryId\":\"3\",\"ListUrlMain\":\"https://doi.org/10.5152/dir.2021.20791\",\"RegionNum\":4,\"RegionCategory\":\"医学\",\"ArticlePicture\":[],\"TitleCN\":null,\"AbstractTextCN\":null,\"PMCID\":null,\"EPubDate\":\"\",\"PubModel\":\"\",\"JCR\":\"Q2\",\"JCRName\":\"Medicine\",\"Score\":null,\"Total\":0}","platform":"Semanticscholar","paperid":null,"PeriodicalName":"Diagnostic and Interventional Radiology","FirstCategoryId":"3","ListUrlMain":"https://doi.org/10.5152/dir.2021.20791","RegionNum":4,"RegionCategory":"医学","ArticlePicture":[],"TitleCN":null,"AbstractTextCN":null,"PMCID":null,"EPubDate":"","PubModel":"","JCR":"Q2","JCRName":"Medicine","Score":null,"Total":0}
引用次数: 0

摘要

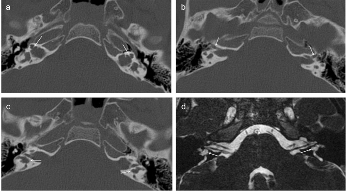
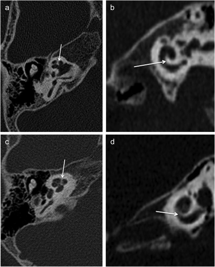
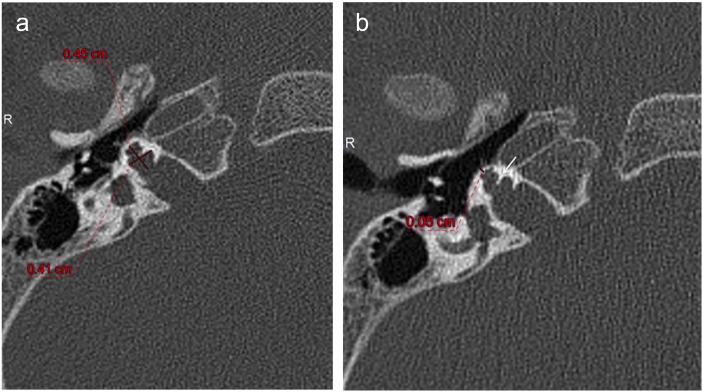
目的:x连锁耳聋(XLD)是一种罕见的疾病,以典型的耳蜗不完全隔3型异常(IP-III)为特征。最近还描述了伴随的下丘脑异常。本研究的目的是记录一系列XLD患者的颞骨和颅内影像学表现,并复习文献,以更好地了解这种异常。方法:回顾性分析13例XLD患者的CT和MRI表现。主观和回顾性评估耳囊(OC)的所有结构。测量耳蜗厚度和耳蜗大小,并与同龄对照组进行比较。颅内结构也被评估,特别注意下丘脑区域。结果:所有病例均有双侧IP-III异常、球根状内耳道、骨小梁缺失及标间间隔保留、耳蜗前庭及面神经完整。结论:XLD是一种罕见的内耳异常,通常与下丘脑畸形有关。IP-III型患者耳蜗横径减小,耳蜗OC厚度减小,这可能影响人工耳蜗植入过程中电极的选择。前庭和半规管周围的囊性/憩室性病变也很常见,但很少报道。
本文章由计算机程序翻译,如有差异,请以英文原文为准。

X-linked deafness/incomplete partition type 3: Radiological evaluation of temporal bone and intracranial findings.

X-linked deafness/incomplete partition type 3: Radiological evaluation of temporal bone and intracranial findings.

X-linked deafness/incomplete partition type 3: Radiological evaluation of temporal bone and intracranial findings.

X-linked deafness/incomplete partition type 3: Radiological evaluation of temporal bone and intracranial findings.

Purpose: X-linked deafness (XLD) is a rare disease, characterized by typical cochlear incomplete partition type 3 anomaly (IP-III). Accompanying hypothalamic anomalies were also recently described. The purpose of this study was to document the temporal bone and intracranial imaging findings in a series of patients with XLD with a review of the literature, to better understand this anomaly.

Methods: The CT and MRI studied of 13 XLD patients were retrospectively evaluated. All structures of the otic capsule (OC) were subjectively and retrospectively assessed. The OC thickness and the size of the cochlea were measured and compared to the age-matched control group. Intracranial structures were also evaluated with specific attention to the hypothalamic region.

Results: All cases had bilateral IP-III anomaly, bulbous internal auditory canals (IACs), absent bony modiolus with preserved interscalar septa, intact cochleovestibular, and facial nerves. OC thickness was decreased in all cases compared to the control group (p<0.001). In XLD patients, the cochlea had decreased transverse dimension and increased height compared to the control group (p< 0.001). Five patients (38.4%) had bilateral cystic structures adjacent to the vestibule and/or semicircular canals (SCCs). Hypothalamus was thickened or had a lobular appearance in all cases (subtle in one). Additionally, hamartoma-like appearance of the hypothalamus was present in half.

Conclusion: XLD is a rare inner ear anomaly that is frequently associated with hypothalamic malformations. The OC thickness of IP-III patients appears to be decreased with accompanying decreased transverse dimension of the cochlea which could have implications in electrode selection during cochlear implantation. Cystic /diverticular lesions surrounding the vestibule and semicircular canals are also frequently seen but a rarely reported finding.

求助全文
通过发布文献求助,成功后即可免费获取论文全文。 去求助
来源期刊
CiteScore
3.50
自引率
4.80%
发文量
69
审稿时长
6-12 weeks
期刊介绍: Diagnostic and Interventional Radiology (Diagn Interv Radiol) is the open access, online-only official publication of Turkish Society of Radiology. It is published bimonthly and the journal’s publication language is English. The journal is a medium for original articles, reviews, pictorial essays, technical notes related to all fields of diagnostic and interventional radiology.
×
引用
GB/T 7714-2015
复制
MLA
复制
APA
复制
导出至
BibTeX EndNote RefMan NoteFirst NoteExpress
×
提示
您的信息不完整,为了账户安全,请先补充。
现在去补充
×
提示
您因"违规操作"
具体请查看互助需知
我知道了
×
提示
确定
请完成安全验证×
copy
已复制链接
快去分享给好友吧!
我知道了
右上角分享
点击右上角分享
0
联系我们:info@booksci.cn Book学术提供免费学术资源搜索服务,方便国内外学者检索中英文文献。致力于提供最便捷和优质的服务体验。 Copyright © 2023 布克学术 All rights reserved.
京ICP备2023020795号-1
ghs 京公网安备 11010802042870号
Book学术文献互助
Book学术文献互助群
群 号:604180095
Book学术官方微信