ct引导下18G真切与端切经皮核穿刺活检孤立性肺实性结节的并发症及诊断准确性。

IF 1.7 4区 医学 Q2 Medicine
José Javier Echevarria-Uraga, Gorka Del Cura-Allende, Karmele Armendariz-Tellitu, Cristina Berastegi-Santamaria, Mikel Egurrola-Izquierdo, Ane Anton-Ladislao
{"title":"ct引导下18G真切与端切经皮核穿刺活检孤立性肺实性结节的并发症及诊断准确性。","authors":"José Javier Echevarria-Uraga, Gorka Del Cura-Allende, Karmele Armendariz-Tellitu, Cristina Berastegi-Santamaria, Mikel Egurrola-Izquierdo, Ane Anton-Ladislao","doi":"10.5152/DIR.2021.20462","DOIUrl":null,"url":null,"abstract":"<p><strong>Purpose: </strong>Percutaneous biopsy has demonstrated high accuracy in diagnosis of lung nodules, but the technique is not innocuous and a yield decrease in lesions smaller than 20 mm has been reported. We carried out a prospective study to evaluate and compare the complications and efficacy of percutaneous core needle biopsy (CNB) of solitary solid lung nodules, which were performed with two types of automatic guns.</p><p><strong>Methods: </strong>330 consecutive CT-guided CNB were included. Tru-cut or end-cut 18G devices were used alternatively. Nodules were categorized by their size: ≤10 mm, 11-20 mm and >20 mm. Incidence of complications such as pneumothorax or hemoptysis and factors influencing them (nodule size and depth within lung parenchyma) were evaluated. Diagnostic accuracy of CNB achieved in the three groups of nodules regarding the two different needles were calculated and statistically evaluated and compared.</p><p><strong>Results: </strong>We performed 68 CNB in nodules ≤10 mm, 130 in 11-20 mm and 132 in >20 mm. Pneumothorax appeared in 24.2% of them, but only 5.7% required drainage. Hemoptysis was developed in 9.4% and abundant hemoptysis with hypoxemia was observed in only 4.2% of patients. Regarding appearance of complications between the two needle types, no significant differences were found. A higher risk of hemoptysis was observed in nodules ≤10 mm (OR = 3.87; 95% CI = 1.24-12.06, P = 0.019) and in those located deeper in pulmonary parenchyma (OR = 2.21; 95% CI = 1.04-4.69, P = 0.038). End-cut needles reached a diagnostic accuracy of 93.7%, 92.1% and 98.3%, in nodules sized ≤10 mm, 11-20 mm and >20 mm, respectively. Corresponding results for tru-cut were 84.7%, 88.5% and 92.1%. In spite of differences reaching up to 9% in smaller nodules, intra-group results were not significant.</p><p><strong>Conclusion: </strong>Both needles have similar complications rate. Despite not having observed statistically significant differences between the two types of needles, end-cut devices have demonstrated a higher diagnostic yield in the three groups of nodules and could be a more suitable option especially for CNB of nodules ≤10 mm.</p>","PeriodicalId":50582,"journal":{"name":"Diagnostic and Interventional Radiology","volume":" ","pages":"58-64"},"PeriodicalIF":1.7000,"publicationDate":"2022-01-01","publicationTypes":"Journal Article","fieldsOfStudy":null,"isOpenAccess":false,"openAccessPdf":"https://www.ncbi.nlm.nih.gov/pmc/articles/PMC12278928/pdf/","citationCount":"0","resultStr":"{\"title\":\"Complications and diagnostic accuracy of CT-guided 18G tru-cut versus end-cut percutaneous core needle biopsy of solitary solid lung nodules.\",\"authors\":\"José Javier Echevarria-Uraga, Gorka Del Cura-Allende, Karmele Armendariz-Tellitu, Cristina Berastegi-Santamaria, Mikel Egurrola-Izquierdo, Ane Anton-Ladislao\",\"doi\":\"10.5152/DIR.2021.20462\",\"DOIUrl\":null,\"url\":null,\"abstract\":\"<p><strong>Purpose: </strong>Percutaneous biopsy has demonstrated high accuracy in diagnosis of lung nodules, but the technique is not innocuous and a yield decrease in lesions smaller than 20 mm has been reported. We carried out a prospective study to evaluate and compare the complications and efficacy of percutaneous core needle biopsy (CNB) of solitary solid lung nodules, which were performed with two types of automatic guns.</p><p><strong>Methods: </strong>330 consecutive CT-guided CNB were included. Tru-cut or end-cut 18G devices were used alternatively. Nodules were categorized by their size: ≤10 mm, 11-20 mm and >20 mm. Incidence of complications such as pneumothorax or hemoptysis and factors influencing them (nodule size and depth within lung parenchyma) were evaluated. Diagnostic accuracy of CNB achieved in the three groups of nodules regarding the two different needles were calculated and statistically evaluated and compared.</p><p><strong>Results: </strong>We performed 68 CNB in nodules ≤10 mm, 130 in 11-20 mm and 132 in >20 mm. Pneumothorax appeared in 24.2% of them, but only 5.7% required drainage. Hemoptysis was developed in 9.4% and abundant hemoptysis with hypoxemia was observed in only 4.2% of patients. Regarding appearance of complications between the two needle types, no significant differences were found. A higher risk of hemoptysis was observed in nodules ≤10 mm (OR = 3.87; 95% CI = 1.24-12.06, P = 0.019) and in those located deeper in pulmonary parenchyma (OR = 2.21; 95% CI = 1.04-4.69, P = 0.038). End-cut needles reached a diagnostic accuracy of 93.7%, 92.1% and 98.3%, in nodules sized ≤10 mm, 11-20 mm and >20 mm, respectively. Corresponding results for tru-cut were 84.7%, 88.5% and 92.1%. In spite of differences reaching up to 9% in smaller nodules, intra-group results were not significant.</p><p><strong>Conclusion: </strong>Both needles have similar complications rate. Despite not having observed statistically significant differences between the two types of needles, end-cut devices have demonstrated a higher diagnostic yield in the three groups of nodules and could be a more suitable option especially for CNB of nodules ≤10 mm.</p>\",\"PeriodicalId\":50582,\"journal\":{\"name\":\"Diagnostic and Interventional Radiology\",\"volume\":\" \",\"pages\":\"58-64\"},\"PeriodicalIF\":1.7000,\"publicationDate\":\"2022-01-01\",\"publicationTypes\":\"Journal Article\",\"fieldsOfStudy\":null,\"isOpenAccess\":false,\"openAccessPdf\":\"https://www.ncbi.nlm.nih.gov/pmc/articles/PMC12278928/pdf/\",\"citationCount\":\"0\",\"resultStr\":null,\"platform\":\"Semanticscholar\",\"paperid\":null,\"PeriodicalName\":\"Diagnostic and Interventional Radiology\",\"FirstCategoryId\":\"3\",\"ListUrlMain\":\"https://doi.org/10.5152/DIR.2021.20462\",\"RegionNum\":4,\"RegionCategory\":\"医学\",\"ArticlePicture\":[],\"TitleCN\":null,\"AbstractTextCN\":null,\"PMCID\":null,\"EPubDate\":\"\",\"PubModel\":\"\",\"JCR\":\"Q2\",\"JCRName\":\"Medicine\",\"Score\":null,\"Total\":0}","platform":"Semanticscholar","paperid":null,"PeriodicalName":"Diagnostic and Interventional Radiology","FirstCategoryId":"3","ListUrlMain":"https://doi.org/10.5152/DIR.2021.20462","RegionNum":4,"RegionCategory":"医学","ArticlePicture":[],"TitleCN":null,"AbstractTextCN":null,"PMCID":null,"EPubDate":"","PubModel":"","JCR":"Q2","JCRName":"Medicine","Score":null,"Total":0}
引用次数: 0

摘要

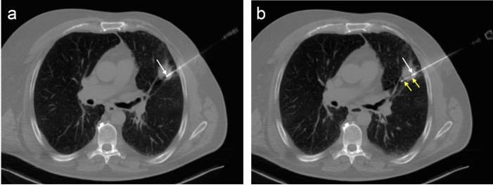
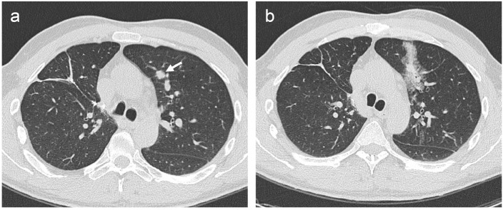
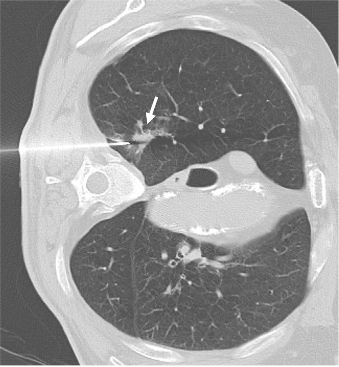
目的:经皮活检在肺结节的诊断中显示出很高的准确性,但该技术并非无害,并且有报道称小于20mm的病变产量下降。我们进行了一项前瞻性研究,以评估和比较两种自动枪对孤立性实性肺结节进行经皮穿刺活检(CNB)的并发症和疗效。方法:纳入330例连续ct引导下的CNB。可选择使用直切或端切18G器件。根据结节大小分为≤10 mm、11 ~ 20 mm和bb0 ~ 20 mm。评估气胸或咯血等并发症的发生率及其影响因素(肺实质内结节的大小和深度)。计算两种不同针对三组结节CNB的诊断准确率,并进行统计学评价和比较。结果:≤10 mm的结节68例,11 ~ 20 mm的130例,bb0 ~ 20 mm的132例。24.2%的患者出现气胸,但只有5.7%的患者需要引流。9.4%的患者出现咯血,4.2%的患者出现大量咯血并低氧血症。两种针型并发症的出现情况无明显差异。≤10 mm的结节有较高的咯血风险(OR = 3.87;95% CI = 1.24-12.06, P = 0.019)和位于肺实质较深部的肺组织(OR = 2.21;95% ci = 1.04-4.69, p = 0.038)。端切针对≤10 mm、11-20 mm和10 -20 mm的结节的诊断准确率分别为93.7%、92.1%和98.3%。真切的相应结果分别为84.7%、88.5%和92.1%。尽管在较小的结节中差异高达9%,但组内结果并不显著。结论:两种针的并发症发生率相近。尽管没有观察到两种类型的针头之间的统计学显著差异,但末端切割装置在三组结节中显示出更高的诊断率,特别是对于≤10 mm的结节的CNB可能是更合适的选择。
本文章由计算机程序翻译,如有差异,请以英文原文为准。

Complications and diagnostic accuracy of CT-guided 18G tru-cut versus end-cut percutaneous core needle biopsy of solitary solid lung nodules.

Complications and diagnostic accuracy of CT-guided 18G tru-cut versus end-cut percutaneous core needle biopsy of solitary solid lung nodules.

Complications and diagnostic accuracy of CT-guided 18G tru-cut versus end-cut percutaneous core needle biopsy of solitary solid lung nodules.

Complications and diagnostic accuracy of CT-guided 18G tru-cut versus end-cut percutaneous core needle biopsy of solitary solid lung nodules.

Purpose: Percutaneous biopsy has demonstrated high accuracy in diagnosis of lung nodules, but the technique is not innocuous and a yield decrease in lesions smaller than 20 mm has been reported. We carried out a prospective study to evaluate and compare the complications and efficacy of percutaneous core needle biopsy (CNB) of solitary solid lung nodules, which were performed with two types of automatic guns.

Methods: 330 consecutive CT-guided CNB were included. Tru-cut or end-cut 18G devices were used alternatively. Nodules were categorized by their size: ≤10 mm, 11-20 mm and >20 mm. Incidence of complications such as pneumothorax or hemoptysis and factors influencing them (nodule size and depth within lung parenchyma) were evaluated. Diagnostic accuracy of CNB achieved in the three groups of nodules regarding the two different needles were calculated and statistically evaluated and compared.

Results: We performed 68 CNB in nodules ≤10 mm, 130 in 11-20 mm and 132 in >20 mm. Pneumothorax appeared in 24.2% of them, but only 5.7% required drainage. Hemoptysis was developed in 9.4% and abundant hemoptysis with hypoxemia was observed in only 4.2% of patients. Regarding appearance of complications between the two needle types, no significant differences were found. A higher risk of hemoptysis was observed in nodules ≤10 mm (OR = 3.87; 95% CI = 1.24-12.06, P = 0.019) and in those located deeper in pulmonary parenchyma (OR = 2.21; 95% CI = 1.04-4.69, P = 0.038). End-cut needles reached a diagnostic accuracy of 93.7%, 92.1% and 98.3%, in nodules sized ≤10 mm, 11-20 mm and >20 mm, respectively. Corresponding results for tru-cut were 84.7%, 88.5% and 92.1%. In spite of differences reaching up to 9% in smaller nodules, intra-group results were not significant.

Conclusion: Both needles have similar complications rate. Despite not having observed statistically significant differences between the two types of needles, end-cut devices have demonstrated a higher diagnostic yield in the three groups of nodules and could be a more suitable option especially for CNB of nodules ≤10 mm.

求助全文
通过发布文献求助,成功后即可免费获取论文全文。 去求助
来源期刊
CiteScore
3.50
自引率
4.80%
发文量
69
审稿时长
6-12 weeks
期刊介绍: Diagnostic and Interventional Radiology (Diagn Interv Radiol) is the open access, online-only official publication of Turkish Society of Radiology. It is published bimonthly and the journal’s publication language is English. The journal is a medium for original articles, reviews, pictorial essays, technical notes related to all fields of diagnostic and interventional radiology.
×
引用
GB/T 7714-2015
复制
MLA
复制
APA
复制
导出至
BibTeX EndNote RefMan NoteFirst NoteExpress
×
提示
您的信息不完整,为了账户安全,请先补充。
现在去补充
×
提示
您因"违规操作"
具体请查看互助需知
我知道了
×
提示
确定
请完成安全验证×
copy
已复制链接
快去分享给好友吧!
我知道了
右上角分享
点击右上角分享
0
联系我们:info@booksci.cn Book学术提供免费学术资源搜索服务,方便国内外学者检索中英文文献。致力于提供最便捷和优质的服务体验。 Copyright © 2023 布克学术 All rights reserved.
京ICP备2023020795号-1
ghs 京公网安备 11010802042870号
Book学术文献互助
Book学术文献互助群
群 号:604180095
Book学术官方微信