脂肪和铁校正ADC评估慢性乙型肝炎患者肝纤维化。

IF 1.7 4区 医学 Q2 Medicine
Zhongxian Pan, Zhujing Li, Fanqi Meng, Yuanming Hu, Xiaoyong Zhang, Yueyao Chen
{"title":"脂肪和铁校正ADC评估慢性乙型肝炎患者肝纤维化。","authors":"Zhongxian Pan, Zhujing Li, Fanqi Meng, Yuanming Hu, Xiaoyong Zhang, Yueyao Chen","doi":"10.5152/dir.2021.21471","DOIUrl":null,"url":null,"abstract":"<p><strong>Purpose: </strong>We aimed to evaluate the diagnostic performance of apparent diffusion coefficient (ADC) in assessing liver fibrosis after correcting for the effects of hepatic steatosis or iron deposition.</p><p><strong>Methods: </strong>Seventy-three patients with chronic hepatitis B (CHB) were included in this retrospective study. The aspartate aminotransferase-to-platelet ratio index (APRI) was calculated for classification of the fibrosis grade. Significant fibrosis and cirrhosis were diagnosed with the APRI. The proton density fat fraction (PDFF), R2*, and ADC values were measured. The impact of the PDFF and R2* on the ADC was analyzed. The PDFF- and R2*-corrected ADC values (ADCPDFF and ADCR2*) were calculated according to linear regression equations. The diagnostic performance of uncorrected ADC (ADCu), ADCPDFF and ADCR2* in predicting significant fibrosis and cirrhosis was assessed, and the area under the curve (AUC) values were compared.</p><p><strong>Results: </strong>Among the 73 patients in this study, the mean ADC was 0.866 ± 0.084×10-3 mm2/s, the mean R2* was 60.24 (42.77, 85.37) 1/s, and the mean PDFF was 2.90% (1.60%- 4.80%). The ADC was negatively correlated with the PDFF (r= -0.298, P = .010) and R2* (r = -0.457, P < .001). Linear regression analysis showed that the PDFF and R2* were independent factors of the ADC (β= -0.315, P = .007, R2= 0.099 and β= -0.493, P < .001, R2= 0.243, respectively). Compared with the uncorrected ADC (r= -0.307, P = .022), the correlation between the ADCPDFF and fibrosis grade increased (r= -0.513, P < .001), and the correlation between the ADCR2* and fibrosis grade decreased (r=-0.168, P = .215). The AUC of the ADCPDFF was significantly larger than that of the ADCu in the diagnosis of significant fibrosis and cirrhosis, which increased from 0.68 to 0.81 (P = .003) for predicting significant fibrosis and from 0.75 to 0.84 (P = .009) for predicting cirrhosis. The AUCs for the ADCR2* in the diagnosis of significant fibrosis and cirrhosis were both lower than that for the uncorrected ADC (P = .206 and P = .109, respectively).</p><p><strong>Conclusion: </strong>After correcting for the effects of steatosis, the diagnostic performance of the ADC for signifi-cant fibrosis and cirrhosis increased. The ADC corrected for the effects of steatosis may be more reliable for identifying liver fibrosis.</p>","PeriodicalId":50582,"journal":{"name":"Diagnostic and Interventional Radiology","volume":" ","pages":"5-11"},"PeriodicalIF":1.7000,"publicationDate":"2022-01-01","publicationTypes":"Journal Article","fieldsOfStudy":null,"isOpenAccess":false,"openAccessPdf":"https://www.ncbi.nlm.nih.gov/pmc/articles/PMC12278920/pdf/","citationCount":"0","resultStr":"{\"title\":\"Fat- and iron-corrected ADC to assess liver fibrosis in patients with chronic hepatitis B.\",\"authors\":\"Zhongxian Pan, Zhujing Li, Fanqi Meng, Yuanming Hu, Xiaoyong Zhang, Yueyao Chen\",\"doi\":\"10.5152/dir.2021.21471\",\"DOIUrl\":null,\"url\":null,\"abstract\":\"<p><strong>Purpose: </strong>We aimed to evaluate the diagnostic performance of apparent diffusion coefficient (ADC) in assessing liver fibrosis after correcting for the effects of hepatic steatosis or iron deposition.</p><p><strong>Methods: </strong>Seventy-three patients with chronic hepatitis B (CHB) were included in this retrospective study. The aspartate aminotransferase-to-platelet ratio index (APRI) was calculated for classification of the fibrosis grade. Significant fibrosis and cirrhosis were diagnosed with the APRI. The proton density fat fraction (PDFF), R2*, and ADC values were measured. The impact of the PDFF and R2* on the ADC was analyzed. The PDFF- and R2*-corrected ADC values (ADCPDFF and ADCR2*) were calculated according to linear regression equations. The diagnostic performance of uncorrected ADC (ADCu), ADCPDFF and ADCR2* in predicting significant fibrosis and cirrhosis was assessed, and the area under the curve (AUC) values were compared.</p><p><strong>Results: </strong>Among the 73 patients in this study, the mean ADC was 0.866 ± 0.084×10-3 mm2/s, the mean R2* was 60.24 (42.77, 85.37) 1/s, and the mean PDFF was 2.90% (1.60%- 4.80%). The ADC was negatively correlated with the PDFF (r= -0.298, P = .010) and R2* (r = -0.457, P < .001). Linear regression analysis showed that the PDFF and R2* were independent factors of the ADC (β= -0.315, P = .007, R2= 0.099 and β= -0.493, P < .001, R2= 0.243, respectively). Compared with the uncorrected ADC (r= -0.307, P = .022), the correlation between the ADCPDFF and fibrosis grade increased (r= -0.513, P < .001), and the correlation between the ADCR2* and fibrosis grade decreased (r=-0.168, P = .215). The AUC of the ADCPDFF was significantly larger than that of the ADCu in the diagnosis of significant fibrosis and cirrhosis, which increased from 0.68 to 0.81 (P = .003) for predicting significant fibrosis and from 0.75 to 0.84 (P = .009) for predicting cirrhosis. The AUCs for the ADCR2* in the diagnosis of significant fibrosis and cirrhosis were both lower than that for the uncorrected ADC (P = .206 and P = .109, respectively).</p><p><strong>Conclusion: </strong>After correcting for the effects of steatosis, the diagnostic performance of the ADC for signifi-cant fibrosis and cirrhosis increased. The ADC corrected for the effects of steatosis may be more reliable for identifying liver fibrosis.</p>\",\"PeriodicalId\":50582,\"journal\":{\"name\":\"Diagnostic and Interventional Radiology\",\"volume\":\" \",\"pages\":\"5-11\"},\"PeriodicalIF\":1.7000,\"publicationDate\":\"2022-01-01\",\"publicationTypes\":\"Journal Article\",\"fieldsOfStudy\":null,\"isOpenAccess\":false,\"openAccessPdf\":\"https://www.ncbi.nlm.nih.gov/pmc/articles/PMC12278920/pdf/\",\"citationCount\":\"0\",\"resultStr\":null,\"platform\":\"Semanticscholar\",\"paperid\":null,\"PeriodicalName\":\"Diagnostic and Interventional Radiology\",\"FirstCategoryId\":\"3\",\"ListUrlMain\":\"https://doi.org/10.5152/dir.2021.21471\",\"RegionNum\":4,\"RegionCategory\":\"医学\",\"ArticlePicture\":[],\"TitleCN\":null,\"AbstractTextCN\":null,\"PMCID\":null,\"EPubDate\":\"\",\"PubModel\":\"\",\"JCR\":\"Q2\",\"JCRName\":\"Medicine\",\"Score\":null,\"Total\":0}","platform":"Semanticscholar","paperid":null,"PeriodicalName":"Diagnostic and Interventional Radiology","FirstCategoryId":"3","ListUrlMain":"https://doi.org/10.5152/dir.2021.21471","RegionNum":4,"RegionCategory":"医学","ArticlePicture":[],"TitleCN":null,"AbstractTextCN":null,"PMCID":null,"EPubDate":"","PubModel":"","JCR":"Q2","JCRName":"Medicine","Score":null,"Total":0}
引用次数: 0

摘要

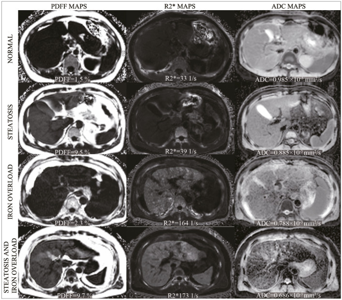
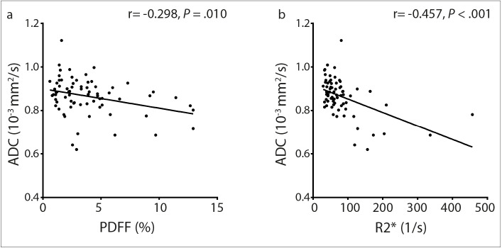
目的:我们旨在评估表观扩散系数(ADC)在校正肝脂肪变性或铁沉积影响后评估肝纤维化的诊断性能。方法:对73例慢性乙型肝炎(CHB)患者进行回顾性研究。计算天冬氨酸转氨酶与血小板比值指数(APRI)作为纤维化分级的依据。APRI诊断为明显的纤维化和肝硬化。测量质子密度脂肪分数(PDFF)、R2*和ADC值。分析了PDFF和R2*对ADC的影响。根据线性回归方程计算经PDFF和R2*校正的ADC值(ADCPDFF和ADCR2*)。评估未校正ADC (ADCu)、ADCPDFF和ADCR2*在预测显著纤维化和肝硬化方面的诊断性能,并比较曲线下面积(AUC)值。结果:本组73例患者中,平均ADC为0.866±0.084×10-3 mm2/s,平均R2*为60.24 (42.77,85.37)1/s,平均PDFF为2.90%(1.60% ~ 4.80%)。ADC与PDFF呈负相关(r= -0.298, P = 0.010), R2* (r= -0.457, P < 0.001)。线性回归分析显示,PDFF和R2*是影响ADC的独立因素(β= -0.315, P = 0.007, R2= 0.099, β= -0.493, P < 0.001, R2= 0.243)。与未校正ADC相比(r= -0.307, P = 0.022), ADCPDFF与纤维化等级的相关性增加(r= -0.513, P < 0.001), ADCR2*与纤维化等级的相关性降低(r=-0.168, P = 0.215)。ADCPDFF诊断显著纤维化和肝硬化的AUC明显大于ADCu,预测显著纤维化的AUC从0.68增加到0.81 (P = 0.003),预测肝硬化的AUC从0.75增加到0.84 (P = 0.009)。ADCR2*诊断显著纤维化和肝硬化的auc均低于未校正ADC (P = 0.206和P = 0.109)。结论:校正脂肪变性的影响后,ADC对显著纤维化和肝硬化的诊断效能提高。校正脂肪变性影响的ADC可能更可靠地识别肝纤维化。
本文章由计算机程序翻译,如有差异,请以英文原文为准。

Fat- and iron-corrected ADC to assess liver fibrosis in patients with chronic hepatitis B.

Fat- and iron-corrected ADC to assess liver fibrosis in patients with chronic hepatitis B.

Fat- and iron-corrected ADC to assess liver fibrosis in patients with chronic hepatitis B.

Fat- and iron-corrected ADC to assess liver fibrosis in patients with chronic hepatitis B.

Purpose: We aimed to evaluate the diagnostic performance of apparent diffusion coefficient (ADC) in assessing liver fibrosis after correcting for the effects of hepatic steatosis or iron deposition.

Methods: Seventy-three patients with chronic hepatitis B (CHB) were included in this retrospective study. The aspartate aminotransferase-to-platelet ratio index (APRI) was calculated for classification of the fibrosis grade. Significant fibrosis and cirrhosis were diagnosed with the APRI. The proton density fat fraction (PDFF), R2*, and ADC values were measured. The impact of the PDFF and R2* on the ADC was analyzed. The PDFF- and R2*-corrected ADC values (ADCPDFF and ADCR2*) were calculated according to linear regression equations. The diagnostic performance of uncorrected ADC (ADCu), ADCPDFF and ADCR2* in predicting significant fibrosis and cirrhosis was assessed, and the area under the curve (AUC) values were compared.

Results: Among the 73 patients in this study, the mean ADC was 0.866 ± 0.084×10-3 mm2/s, the mean R2* was 60.24 (42.77, 85.37) 1/s, and the mean PDFF was 2.90% (1.60%- 4.80%). The ADC was negatively correlated with the PDFF (r= -0.298, P = .010) and R2* (r = -0.457, P < .001). Linear regression analysis showed that the PDFF and R2* were independent factors of the ADC (β= -0.315, P = .007, R2= 0.099 and β= -0.493, P < .001, R2= 0.243, respectively). Compared with the uncorrected ADC (r= -0.307, P = .022), the correlation between the ADCPDFF and fibrosis grade increased (r= -0.513, P < .001), and the correlation between the ADCR2* and fibrosis grade decreased (r=-0.168, P = .215). The AUC of the ADCPDFF was significantly larger than that of the ADCu in the diagnosis of significant fibrosis and cirrhosis, which increased from 0.68 to 0.81 (P = .003) for predicting significant fibrosis and from 0.75 to 0.84 (P = .009) for predicting cirrhosis. The AUCs for the ADCR2* in the diagnosis of significant fibrosis and cirrhosis were both lower than that for the uncorrected ADC (P = .206 and P = .109, respectively).

Conclusion: After correcting for the effects of steatosis, the diagnostic performance of the ADC for signifi-cant fibrosis and cirrhosis increased. The ADC corrected for the effects of steatosis may be more reliable for identifying liver fibrosis.

求助全文
通过发布文献求助,成功后即可免费获取论文全文。 去求助
来源期刊
CiteScore
3.50
自引率
4.80%
发文量
69
审稿时长
6-12 weeks
期刊介绍: Diagnostic and Interventional Radiology (Diagn Interv Radiol) is the open access, online-only official publication of Turkish Society of Radiology. It is published bimonthly and the journal’s publication language is English. The journal is a medium for original articles, reviews, pictorial essays, technical notes related to all fields of diagnostic and interventional radiology.
×
引用
GB/T 7714-2015
复制
MLA
复制
APA
复制
导出至
BibTeX EndNote RefMan NoteFirst NoteExpress
×
提示
您的信息不完整,为了账户安全,请先补充。
现在去补充
×
提示
您因"违规操作"
具体请查看互助需知
我知道了
×
提示
确定
请完成安全验证×
copy
已复制链接
快去分享给好友吧!
我知道了
右上角分享
点击右上角分享
0
联系我们:info@booksci.cn Book学术提供免费学术资源搜索服务,方便国内外学者检索中英文文献。致力于提供最便捷和优质的服务体验。 Copyright © 2023 布克学术 All rights reserved.
京ICP备2023020795号-1
ghs 京公网安备 11010802042870号
Book学术文献互助
Book学术文献互助群
群 号:604180095
Book学术官方微信