胃裂伤与胎盘胎儿血管灌注不良关系的探讨。

IF 1.3
Brittany Ruschkowski, Ahmed Nasr, Irina Oltean, Sarah Lawrence, Dina El Demellawy
{"title":"胃裂伤与胎盘胎儿血管灌注不良关系的探讨。","authors":"Brittany Ruschkowski,&nbsp;Ahmed Nasr,&nbsp;Irina Oltean,&nbsp;Sarah Lawrence,&nbsp;Dina El Demellawy","doi":"10.1177/10935266211029629","DOIUrl":null,"url":null,"abstract":"<p><strong>Introduction: </strong>Gastroschisis is a congenital malformation characterized by intestinal herniation through an abdominal wall defect. Despite its unknown pathogenesis, known risk factors include maternal smoking, alcohol use, and young maternal age. Previous work has shown that gastroschisis is associated with placental delayed villous maturation, and the goal of this study was to assess for additional associated placental pathologies that may help clarify the pathogenesis of gastroschisis.</p><p><strong>Methods: </strong>We conducted a retrospective slide review of 29 placentas of neonates with gastroschisis. Additionally, we reviewed pathology reports from one control group of 30 placentas with other congenital malformations. Gross and histological data were collected based on a standardized rubric.</p><p><strong>Results: </strong>Gastroschisis was associated with increased placental fetal vascular malperfusion (FVM) in 62% of cases (versus 0% of controls, p < 0.0001). It was also associated with increased placental villous maldevelopment in 76% of cases (versus 3% of controls, p < 0.0001).</p><p><strong>Conclusion: </strong>Our study demonstrates an association between gastroschisis and FVM. While FVM could be the consequence of vascular disruption due to the ventral location of gastroschisis, it could also reflect estrogen-induced thrombosis in early pregnancy. Further research is needed to separate these possibilities and determine the cause of the placental FVM observed in gastroschisis.</p>","PeriodicalId":520743,"journal":{"name":"Pediatric and developmental pathology : the official journal of the Society for Pediatric Pathology and the Paediatric Pathology Society","volume":" ","pages":"531-541"},"PeriodicalIF":1.3000,"publicationDate":"2021-11-01","publicationTypes":"Journal Article","fieldsOfStudy":null,"isOpenAccess":false,"openAccessPdf":"https://sci-hub-pdf.com/10.1177/10935266211029629","citationCount":"0","resultStr":"{\"title\":\"Examining the Relationship Between Gastroschisis and Placental Fetal Vascular Malperfusion.\",\"authors\":\"Brittany Ruschkowski,&nbsp;Ahmed Nasr,&nbsp;Irina Oltean,&nbsp;Sarah Lawrence,&nbsp;Dina El Demellawy\",\"doi\":\"10.1177/10935266211029629\",\"DOIUrl\":null,\"url\":null,\"abstract\":\"<p><strong>Introduction: </strong>Gastroschisis is a congenital malformation characterized by intestinal herniation through an abdominal wall defect. Despite its unknown pathogenesis, known risk factors include maternal smoking, alcohol use, and young maternal age. Previous work has shown that gastroschisis is associated with placental delayed villous maturation, and the goal of this study was to assess for additional associated placental pathologies that may help clarify the pathogenesis of gastroschisis.</p><p><strong>Methods: </strong>We conducted a retrospective slide review of 29 placentas of neonates with gastroschisis. Additionally, we reviewed pathology reports from one control group of 30 placentas with other congenital malformations. Gross and histological data were collected based on a standardized rubric.</p><p><strong>Results: </strong>Gastroschisis was associated with increased placental fetal vascular malperfusion (FVM) in 62% of cases (versus 0% of controls, p < 0.0001). It was also associated with increased placental villous maldevelopment in 76% of cases (versus 3% of controls, p < 0.0001).</p><p><strong>Conclusion: </strong>Our study demonstrates an association between gastroschisis and FVM. While FVM could be the consequence of vascular disruption due to the ventral location of gastroschisis, it could also reflect estrogen-induced thrombosis in early pregnancy. Further research is needed to separate these possibilities and determine the cause of the placental FVM observed in gastroschisis.</p>\",\"PeriodicalId\":520743,\"journal\":{\"name\":\"Pediatric and developmental pathology : the official journal of the Society for Pediatric Pathology and the Paediatric Pathology Society\",\"volume\":\" \",\"pages\":\"531-541\"},\"PeriodicalIF\":1.3000,\"publicationDate\":\"2021-11-01\",\"publicationTypes\":\"Journal Article\",\"fieldsOfStudy\":null,\"isOpenAccess\":false,\"openAccessPdf\":\"https://sci-hub-pdf.com/10.1177/10935266211029629\",\"citationCount\":\"0\",\"resultStr\":null,\"platform\":\"Semanticscholar\",\"paperid\":null,\"PeriodicalName\":\"Pediatric and developmental pathology : the official journal of the Society for Pediatric Pathology and the Paediatric Pathology Society\",\"FirstCategoryId\":\"3\",\"ListUrlMain\":\"https://doi.org/10.1177/10935266211029629\",\"RegionNum\":0,\"RegionCategory\":null,\"ArticlePicture\":[],\"TitleCN\":null,\"AbstractTextCN\":null,\"PMCID\":null,\"EPubDate\":\"2021/7/21 0:00:00\",\"PubModel\":\"Epub\",\"JCR\":\"\",\"JCRName\":\"\",\"Score\":null,\"Total\":0}","platform":"Semanticscholar","paperid":null,"PeriodicalName":"Pediatric and developmental pathology : the official journal of the Society for Pediatric Pathology and the Paediatric Pathology Society","FirstCategoryId":"3","ListUrlMain":"https://doi.org/10.1177/10935266211029629","RegionNum":0,"RegionCategory":null,"ArticlePicture":[],"TitleCN":null,"AbstractTextCN":null,"PMCID":null,"EPubDate":"2021/7/21 0:00:00","PubModel":"Epub","JCR":"","JCRName":"","Score":null,"Total":0}
引用次数: 0

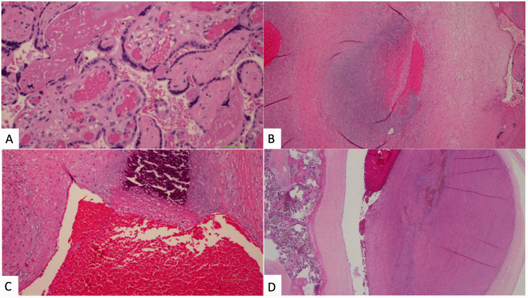
摘要

胃裂是一种先天性畸形,其特征是通过腹壁缺陷的肠疝。尽管其发病机制尚不清楚,但已知的危险因素包括产妇吸烟、饮酒和产妇年龄小。先前的研究表明,胃裂与胎盘绒毛成熟延迟有关,本研究的目的是评估其他相关的胎盘病理,这些病理可能有助于阐明胃裂的发病机制。方法:对29例胃裂新生儿胎盘进行回顾性幻灯片分析。此外,我们回顾了30个有其他先天性畸形的胎盘作为对照组的病理报告。Gross和组织学数据是根据标准化标准收集的。结果:62%的胃裂伤与胎盘胎儿血管灌注不良(FVM)增加有关(对照组为0%)。结论:我们的研究表明胃裂伤与FVM之间存在关联。虽然FVM可能是胃裂位于腹侧导致血管破裂的结果,但它也可能反映了妊娠早期雌激素诱导的血栓形成。需要进一步的研究来分离这些可能性并确定胃裂中观察到的胎盘FVM的原因。
本文章由计算机程序翻译,如有差异,请以英文原文为准。

Examining the Relationship Between Gastroschisis and Placental Fetal Vascular Malperfusion.

Examining the Relationship Between Gastroschisis and Placental Fetal Vascular Malperfusion.

Examining the Relationship Between Gastroschisis and Placental Fetal Vascular Malperfusion.

Examining the Relationship Between Gastroschisis and Placental Fetal Vascular Malperfusion.

Introduction: Gastroschisis is a congenital malformation characterized by intestinal herniation through an abdominal wall defect. Despite its unknown pathogenesis, known risk factors include maternal smoking, alcohol use, and young maternal age. Previous work has shown that gastroschisis is associated with placental delayed villous maturation, and the goal of this study was to assess for additional associated placental pathologies that may help clarify the pathogenesis of gastroschisis.

Methods: We conducted a retrospective slide review of 29 placentas of neonates with gastroschisis. Additionally, we reviewed pathology reports from one control group of 30 placentas with other congenital malformations. Gross and histological data were collected based on a standardized rubric.

Results: Gastroschisis was associated with increased placental fetal vascular malperfusion (FVM) in 62% of cases (versus 0% of controls, p < 0.0001). It was also associated with increased placental villous maldevelopment in 76% of cases (versus 3% of controls, p < 0.0001).

Conclusion: Our study demonstrates an association between gastroschisis and FVM. While FVM could be the consequence of vascular disruption due to the ventral location of gastroschisis, it could also reflect estrogen-induced thrombosis in early pregnancy. Further research is needed to separate these possibilities and determine the cause of the placental FVM observed in gastroschisis.

求助全文
通过发布文献求助,成功后即可免费获取论文全文。 去求助
来源期刊
自引率
0.00%
发文量
0
×
引用
GB/T 7714-2015
复制
MLA
复制
APA
复制
导出至
BibTeX EndNote RefMan NoteFirst NoteExpress
×
提示
您的信息不完整,为了账户安全,请先补充。
现在去补充
×
提示
您因"违规操作"
具体请查看互助需知
我知道了
×
提示
确定
请完成安全验证×
copy
已复制链接
快去分享给好友吧!
我知道了
右上角分享
点击右上角分享
0
联系我们:info@booksci.cn Book学术提供免费学术资源搜索服务,方便国内外学者检索中英文文献。致力于提供最便捷和优质的服务体验。 Copyright © 2023 布克学术 All rights reserved.
京ICP备2023020795号-1
ghs 京公网安备 11010802042870号
Book学术文献互助
Book学术文献互助群
群 号:604180095
Book学术官方微信