艾滋病毒阳性患者接受抗逆转录病毒治疗的肉芽肿性肺囊虫肺炎:诊断挑战。

Q3 Medicine
Open Respiratory Medicine Journal Pub Date : 2021-06-18 eCollection Date: 2021-01-01 DOI:10.2174/1874306402115010019
Montserrat Diaz-Abad, Kathryn S Robinett, Anayansi Lasso-Pirot, Teklu B Legesse, Mariam Khambaty
{"title":"艾滋病毒阳性患者接受抗逆转录病毒治疗的肉芽肿性肺囊虫肺炎:诊断挑战。","authors":"Montserrat Diaz-Abad,&nbsp;Kathryn S Robinett,&nbsp;Anayansi Lasso-Pirot,&nbsp;Teklu B Legesse,&nbsp;Mariam Khambaty","doi":"10.2174/1874306402115010019","DOIUrl":null,"url":null,"abstract":"<p><p>Human Immunodeficiency Virus (HIV)-related Opportunistic Infections (OI), including <i>Pneumocystis jiroveci</i> pneumonia (PCP), have become much less commonplace with anti-retroviral therapy (ART). Despite this, OIs are still common and it is important to remain vigilant for their presence and be aware of how ART and OI chemoprophylaxis may lead to atypical disease presentations. We present the case of a 51-year-old woman with HIV and CD4+ T helper lymphocytes cell count > 200 cells/ul on both ART and trimethoprim/sulfamethoxazole prophylaxis who presented with cavitating lung masses, mediastinal lymphadenopathy and pleural effusions. Negative bronchoalveolar lavage (BAL) and transbronchial biopsy (TBBx) prompted a second diagnostic procedure with a transthoracic core needle biopsy; the final diagnosis was granulomatous PCP. This case showcases a very rare presentation of PCP, with both large cavitating lung masses on imaging and granulomatous reaction on pathology, as well as the challenge of a potentially missed diagnosis with negative BAL and TBBx requiring transthoracic core needle biopsy for a final diagnosis.</p>","PeriodicalId":39127,"journal":{"name":"Open Respiratory Medicine Journal","volume":"15 ","pages":"19-22"},"PeriodicalIF":0.0000,"publicationDate":"2021-06-18","publicationTypes":"Journal Article","fieldsOfStudy":null,"isOpenAccess":false,"openAccessPdf":"https://www.ncbi.nlm.nih.gov/pmc/articles/PMC8227459/pdf/","citationCount":"2","resultStr":"{\"title\":\"Granulomatous <i>Pneumocystis jiroveci</i> Pneumonia in an HIV-Positive Patient on Antiretroviral Therapy: A Diagnostic Challenge.\",\"authors\":\"Montserrat Diaz-Abad,&nbsp;Kathryn S Robinett,&nbsp;Anayansi Lasso-Pirot,&nbsp;Teklu B Legesse,&nbsp;Mariam Khambaty\",\"doi\":\"10.2174/1874306402115010019\",\"DOIUrl\":null,\"url\":null,\"abstract\":\"<p><p>Human Immunodeficiency Virus (HIV)-related Opportunistic Infections (OI), including <i>Pneumocystis jiroveci</i> pneumonia (PCP), have become much less commonplace with anti-retroviral therapy (ART). Despite this, OIs are still common and it is important to remain vigilant for their presence and be aware of how ART and OI chemoprophylaxis may lead to atypical disease presentations. We present the case of a 51-year-old woman with HIV and CD4+ T helper lymphocytes cell count > 200 cells/ul on both ART and trimethoprim/sulfamethoxazole prophylaxis who presented with cavitating lung masses, mediastinal lymphadenopathy and pleural effusions. Negative bronchoalveolar lavage (BAL) and transbronchial biopsy (TBBx) prompted a second diagnostic procedure with a transthoracic core needle biopsy; the final diagnosis was granulomatous PCP. This case showcases a very rare presentation of PCP, with both large cavitating lung masses on imaging and granulomatous reaction on pathology, as well as the challenge of a potentially missed diagnosis with negative BAL and TBBx requiring transthoracic core needle biopsy for a final diagnosis.</p>\",\"PeriodicalId\":39127,\"journal\":{\"name\":\"Open Respiratory Medicine Journal\",\"volume\":\"15 \",\"pages\":\"19-22\"},\"PeriodicalIF\":0.0000,\"publicationDate\":\"2021-06-18\",\"publicationTypes\":\"Journal Article\",\"fieldsOfStudy\":null,\"isOpenAccess\":false,\"openAccessPdf\":\"https://www.ncbi.nlm.nih.gov/pmc/articles/PMC8227459/pdf/\",\"citationCount\":\"2\",\"resultStr\":null,\"platform\":\"Semanticscholar\",\"paperid\":null,\"PeriodicalName\":\"Open Respiratory Medicine Journal\",\"FirstCategoryId\":\"1085\",\"ListUrlMain\":\"https://doi.org/10.2174/1874306402115010019\",\"RegionNum\":0,\"RegionCategory\":null,\"ArticlePicture\":[],\"TitleCN\":null,\"AbstractTextCN\":null,\"PMCID\":null,\"EPubDate\":\"2021/1/1 0:00:00\",\"PubModel\":\"eCollection\",\"JCR\":\"Q3\",\"JCRName\":\"Medicine\",\"Score\":null,\"Total\":0}","platform":"Semanticscholar","paperid":null,"PeriodicalName":"Open Respiratory Medicine Journal","FirstCategoryId":"1085","ListUrlMain":"https://doi.org/10.2174/1874306402115010019","RegionNum":0,"RegionCategory":null,"ArticlePicture":[],"TitleCN":null,"AbstractTextCN":null,"PMCID":null,"EPubDate":"2021/1/1 0:00:00","PubModel":"eCollection","JCR":"Q3","JCRName":"Medicine","Score":null,"Total":0}
引用次数: 2

摘要

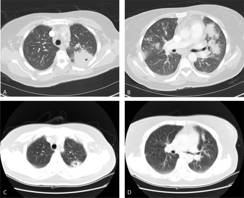
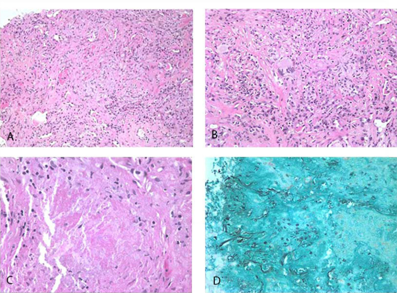
人类免疫缺陷病毒(HIV)相关的机会性感染(OI),包括吉氏肺囊虫肺炎(PCP),在抗逆转录病毒治疗(ART)下已经变得不那么常见了。尽管如此,OI仍然很常见,重要的是要对它们的存在保持警惕,并意识到ART和OI化学预防如何可能导致非典型疾病的表现。我们报告一例51岁的女性,HIV和CD4+ T辅助淋巴细胞计数> 200细胞/ul,抗逆转录病毒治疗和甲氧苄氨嘧啶/磺胺甲恶唑预防,表现为肺空洞性肿块,纵隔淋巴结病和胸腔积液。支气管肺泡灌洗(BAL)和经支气管活检(TBBx)阴性提示第二次诊断程序:经胸核心穿刺活检;最终诊断为肉芽肿性PCP。本病例表现为非常罕见的PCP,影像学上表现为肺大空化肿块,病理上表现为肉芽肿反应,同时由于BAL阴性和TBBx阴性,可能漏诊,需要经胸核心穿刺活检才能最终诊断。
本文章由计算机程序翻译,如有差异,请以英文原文为准。

Granulomatous <i>Pneumocystis jiroveci</i> Pneumonia in an HIV-Positive Patient on Antiretroviral Therapy: A Diagnostic Challenge.

Granulomatous <i>Pneumocystis jiroveci</i> Pneumonia in an HIV-Positive Patient on Antiretroviral Therapy: A Diagnostic Challenge.

Granulomatous Pneumocystis jiroveci Pneumonia in an HIV-Positive Patient on Antiretroviral Therapy: A Diagnostic Challenge.

Human Immunodeficiency Virus (HIV)-related Opportunistic Infections (OI), including Pneumocystis jiroveci pneumonia (PCP), have become much less commonplace with anti-retroviral therapy (ART). Despite this, OIs are still common and it is important to remain vigilant for their presence and be aware of how ART and OI chemoprophylaxis may lead to atypical disease presentations. We present the case of a 51-year-old woman with HIV and CD4+ T helper lymphocytes cell count > 200 cells/ul on both ART and trimethoprim/sulfamethoxazole prophylaxis who presented with cavitating lung masses, mediastinal lymphadenopathy and pleural effusions. Negative bronchoalveolar lavage (BAL) and transbronchial biopsy (TBBx) prompted a second diagnostic procedure with a transthoracic core needle biopsy; the final diagnosis was granulomatous PCP. This case showcases a very rare presentation of PCP, with both large cavitating lung masses on imaging and granulomatous reaction on pathology, as well as the challenge of a potentially missed diagnosis with negative BAL and TBBx requiring transthoracic core needle biopsy for a final diagnosis.

求助全文
通过发布文献求助,成功后即可免费获取论文全文。 去求助
来源期刊
Open Respiratory Medicine Journal
Open Respiratory Medicine Journal Medicine-Pulmonary and Respiratory Medicine
CiteScore
1.70
自引率
0.00%
发文量
17
期刊介绍: The Open Respiratory Medicine Journal is an Open Access online journal, which publishes research articles, reviews/mini-reviews, letters and guest edited single topic issues in all important areas of experimental and clinical research in respiratory medicine. Topics covered include: -COPD- Occupational disorders, and the role of allergens and pollutants- Asthma- Allergy- Non-invasive ventilation- Therapeutic intervention- Lung cancer- Lung infections respiratory diseases- Therapeutic interventions- Adult and paediatric medicine- Cell biology. The Open Respiratory Medicine Journal, a peer reviewed journal, is an important and reliable source of current information on important recent developments in the field. The emphasis will be on publishing quality articles rapidly and making them freely available worldwide.
×
引用
GB/T 7714-2015
复制
MLA
复制
APA
复制
导出至
BibTeX EndNote RefMan NoteFirst NoteExpress
×
提示
您的信息不完整,为了账户安全,请先补充。
现在去补充
×
提示
您因"违规操作"
具体请查看互助需知
我知道了
×
提示
确定
请完成安全验证×
copy
已复制链接
快去分享给好友吧!
我知道了
右上角分享
点击右上角分享
0
联系我们:info@booksci.cn Book学术提供免费学术资源搜索服务,方便国内外学者检索中英文文献。致力于提供最便捷和优质的服务体验。 Copyright © 2023 布克学术 All rights reserved.
京ICP备2023020795号-1
ghs 京公网安备 11010802042870号
Book学术文献互助
Book学术文献互助群
群 号:604180095
Book学术官方微信