使用常规计算机断层胸片检查hiv感染的南非人群中偶然的心脏过早钙化的患病率。

IF 2.3 4区 医学 Q4 INFECTIOUS DISEASES
Southern African Journal of Hiv Medicine Pub Date : 2021-05-13 eCollection Date: 2021-01-01 DOI:10.4102/sajhivmed.v22i1.1241
Luize Muller, Tanusha Sewchuran, Miranda Durand
{"title":"使用常规计算机断层胸片检查hiv感染的南非人群中偶然的心脏过早钙化的患病率。","authors":"Luize Muller,&nbsp;Tanusha Sewchuran,&nbsp;Miranda Durand","doi":"10.4102/sajhivmed.v22i1.1241","DOIUrl":null,"url":null,"abstract":"<p><strong>Background: </strong>International literature reported an increased prevalence of cardiovascular disease in persons living with HIV (PLWH), inferring an association with accelerated coronary atherosclerosis and plaque formation. Few local studies of HIV-related cardiac disease have confirmed this. Early identification of cardiac plaques would assist clinicians with risk stratification and implementation of treatment strategies to reduce morbidity and mortality. In resource-limited settings the use of conventional computed tomography (CT) may have a role in identifying at-risk individuals.</p><p><strong>Objectives: </strong>This hypothesis-generating study was aimed at determining the contribution of HIV to accelerated vascular aging by assessing cardiac calcifications, incidentally detected on conventional CT chest imaging, in a young HIV-positive population.</p><p><strong>Method: </strong>A retrospective quantitative analysis was performed at a tertiary hospital in KwaZulu-Natal, South Africa, over a 5-year period. Young patients (18-45 years) who underwent CT chest imaging for varied indications were included, further sub-categorised by immune status, the presence, absence and location of calcifications. Patients with unknown HIV statuses were excluded.</p><p><strong>Results: </strong>An increased probability of cardiac calcification with increasing age, independent of the HIV status, was established. No statistically significant difference could be demonstrated between the cohorts. In the pre-contrasted subcategory, a lower <i>P</i>-value suggested an 'imminent' statistical significance. Contrast may have obscured some calcifications. The failure to record the immune status in a large number of patients resulted in their exclusion and limited the study.</p><p><strong>Conclusion: </strong>The increased prevalence of incidentally detected cardiac calcifications in young HIV-infected individuals warrants further evaluation and cardiovascular risk stratification.</p>","PeriodicalId":49489,"journal":{"name":"Southern African Journal of Hiv Medicine","volume":" ","pages":"1241"},"PeriodicalIF":2.3000,"publicationDate":"2021-05-13","publicationTypes":"Journal Article","fieldsOfStudy":null,"isOpenAccess":false,"openAccessPdf":"https://www.ncbi.nlm.nih.gov/pmc/articles/PMC8182472/pdf/","citationCount":"1","resultStr":"{\"title\":\"Prevalence of incidental premature cardiac calcifications in an HIV-infected South African population using conventional computed tomography chest radiography.\",\"authors\":\"Luize Muller,&nbsp;Tanusha Sewchuran,&nbsp;Miranda Durand\",\"doi\":\"10.4102/sajhivmed.v22i1.1241\",\"DOIUrl\":null,\"url\":null,\"abstract\":\"<p><strong>Background: </strong>International literature reported an increased prevalence of cardiovascular disease in persons living with HIV (PLWH), inferring an association with accelerated coronary atherosclerosis and plaque formation. Few local studies of HIV-related cardiac disease have confirmed this. Early identification of cardiac plaques would assist clinicians with risk stratification and implementation of treatment strategies to reduce morbidity and mortality. In resource-limited settings the use of conventional computed tomography (CT) may have a role in identifying at-risk individuals.</p><p><strong>Objectives: </strong>This hypothesis-generating study was aimed at determining the contribution of HIV to accelerated vascular aging by assessing cardiac calcifications, incidentally detected on conventional CT chest imaging, in a young HIV-positive population.</p><p><strong>Method: </strong>A retrospective quantitative analysis was performed at a tertiary hospital in KwaZulu-Natal, South Africa, over a 5-year period. Young patients (18-45 years) who underwent CT chest imaging for varied indications were included, further sub-categorised by immune status, the presence, absence and location of calcifications. Patients with unknown HIV statuses were excluded.</p><p><strong>Results: </strong>An increased probability of cardiac calcification with increasing age, independent of the HIV status, was established. No statistically significant difference could be demonstrated between the cohorts. In the pre-contrasted subcategory, a lower <i>P</i>-value suggested an 'imminent' statistical significance. Contrast may have obscured some calcifications. The failure to record the immune status in a large number of patients resulted in their exclusion and limited the study.</p><p><strong>Conclusion: </strong>The increased prevalence of incidentally detected cardiac calcifications in young HIV-infected individuals warrants further evaluation and cardiovascular risk stratification.</p>\",\"PeriodicalId\":49489,\"journal\":{\"name\":\"Southern African Journal of Hiv Medicine\",\"volume\":\" \",\"pages\":\"1241\"},\"PeriodicalIF\":2.3000,\"publicationDate\":\"2021-05-13\",\"publicationTypes\":\"Journal Article\",\"fieldsOfStudy\":null,\"isOpenAccess\":false,\"openAccessPdf\":\"https://www.ncbi.nlm.nih.gov/pmc/articles/PMC8182472/pdf/\",\"citationCount\":\"1\",\"resultStr\":null,\"platform\":\"Semanticscholar\",\"paperid\":null,\"PeriodicalName\":\"Southern African Journal of Hiv Medicine\",\"FirstCategoryId\":\"3\",\"ListUrlMain\":\"https://doi.org/10.4102/sajhivmed.v22i1.1241\",\"RegionNum\":4,\"RegionCategory\":\"医学\",\"ArticlePicture\":[],\"TitleCN\":null,\"AbstractTextCN\":null,\"PMCID\":null,\"EPubDate\":\"2021/1/1 0:00:00\",\"PubModel\":\"eCollection\",\"JCR\":\"Q4\",\"JCRName\":\"INFECTIOUS DISEASES\",\"Score\":null,\"Total\":0}","platform":"Semanticscholar","paperid":null,"PeriodicalName":"Southern African Journal of Hiv Medicine","FirstCategoryId":"3","ListUrlMain":"https://doi.org/10.4102/sajhivmed.v22i1.1241","RegionNum":4,"RegionCategory":"医学","ArticlePicture":[],"TitleCN":null,"AbstractTextCN":null,"PMCID":null,"EPubDate":"2021/1/1 0:00:00","PubModel":"eCollection","JCR":"Q4","JCRName":"INFECTIOUS DISEASES","Score":null,"Total":0}
引用次数: 1

摘要

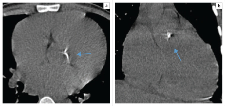
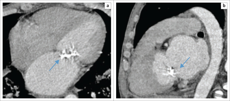
背景:国际文献报道艾滋病毒感染者(PLWH)心血管疾病患病率增加,推断其与冠状动脉粥样硬化和斑块形成加速有关。很少有当地的hiv相关心脏病研究证实了这一点。心脏斑块的早期识别将有助于临床医生进行风险分层和实施治疗策略,以降低发病率和死亡率。在资源有限的情况下,使用传统的计算机断层扫描(CT)可能在识别高危个体方面发挥作用。目的:本假设生成研究旨在通过评估心脏钙化来确定HIV对加速血管老化的贡献,在年轻HIV阳性人群中,常规CT胸部成像偶然检测到心脏钙化。方法:回顾性定量分析在夸祖鲁-纳塔尔省一家三级医院,南非,超过5年的时间。年轻患者(18-45岁)接受了不同适应症的CT胸部成像,并根据免疫状态、钙化的存在、不存在和位置进一步分类。排除艾滋病毒感染状况不明的患者。结果:心脏钙化的可能性随着年龄的增长而增加,与HIV状态无关。在队列之间没有统计学上的显著差异。在预对比子类别中,较低的p值表明“迫在眉睫”的统计显著性。造影剂可能掩盖了一些钙化。由于未能记录大量患者的免疫状态,导致他们被排除在外,限制了研究。结论:年轻hiv感染者中偶然发现的心脏钙化的患病率增加值得进一步评估和心血管风险分层。
本文章由计算机程序翻译,如有差异,请以英文原文为准。

Prevalence of incidental premature cardiac calcifications in an HIV-infected South African population using conventional computed tomography chest radiography.

Prevalence of incidental premature cardiac calcifications in an HIV-infected South African population using conventional computed tomography chest radiography.

Prevalence of incidental premature cardiac calcifications in an HIV-infected South African population using conventional computed tomography chest radiography.

Prevalence of incidental premature cardiac calcifications in an HIV-infected South African population using conventional computed tomography chest radiography.

Background: International literature reported an increased prevalence of cardiovascular disease in persons living with HIV (PLWH), inferring an association with accelerated coronary atherosclerosis and plaque formation. Few local studies of HIV-related cardiac disease have confirmed this. Early identification of cardiac plaques would assist clinicians with risk stratification and implementation of treatment strategies to reduce morbidity and mortality. In resource-limited settings the use of conventional computed tomography (CT) may have a role in identifying at-risk individuals.

Objectives: This hypothesis-generating study was aimed at determining the contribution of HIV to accelerated vascular aging by assessing cardiac calcifications, incidentally detected on conventional CT chest imaging, in a young HIV-positive population.

Method: A retrospective quantitative analysis was performed at a tertiary hospital in KwaZulu-Natal, South Africa, over a 5-year period. Young patients (18-45 years) who underwent CT chest imaging for varied indications were included, further sub-categorised by immune status, the presence, absence and location of calcifications. Patients with unknown HIV statuses were excluded.

Results: An increased probability of cardiac calcification with increasing age, independent of the HIV status, was established. No statistically significant difference could be demonstrated between the cohorts. In the pre-contrasted subcategory, a lower P-value suggested an 'imminent' statistical significance. Contrast may have obscured some calcifications. The failure to record the immune status in a large number of patients resulted in their exclusion and limited the study.

Conclusion: The increased prevalence of incidentally detected cardiac calcifications in young HIV-infected individuals warrants further evaluation and cardiovascular risk stratification.

求助全文
通过发布文献求助,成功后即可免费获取论文全文。 去求助
来源期刊
CiteScore
2.80
自引率
11.80%
发文量
41
审稿时长
>12 weeks
期刊介绍: The Southern African Journal of HIV Medicine is focused on HIV/AIDS treatment, prevention and related topics relevant to clinical and public health practice. The purpose of the journal is to disseminate original research results and to support high-level learning related to HIV Medicine. It publishes original research articles, editorials, case reports/case series, reviews of state-of-the-art clinical practice, and correspondence.
×
引用
GB/T 7714-2015
复制
MLA
复制
APA
复制
导出至
BibTeX EndNote RefMan NoteFirst NoteExpress
×
提示
您的信息不完整,为了账户安全,请先补充。
现在去补充
×
提示
您因"违规操作"
具体请查看互助需知
我知道了
×
提示
确定
请完成安全验证×
copy
已复制链接
快去分享给好友吧!
我知道了
右上角分享
点击右上角分享
0
联系我们:info@booksci.cn Book学术提供免费学术资源搜索服务,方便国内外学者检索中英文文献。致力于提供最便捷和优质的服务体验。 Copyright © 2023 布克学术 All rights reserved.
京ICP备2023020795号-1
ghs 京公网安备 11010802042870号
Book学术文献互助
Book学术文献互助群
群 号:604180095
Book学术官方微信