视频喉镜在镇静自主呼吸患者预测气管插管困难和不能使用纤维支气管镜的应用。

Q3 Medicine
Case Reports in Anesthesiology Pub Date : 2021-04-29 eCollection Date: 2021-01-01 DOI:10.1155/2021/5524240
Alba Piroli, Ida Marsili, Franco Marinangeli, Silvia Costanzi, Luca Gentili, Antonella Paladini
{"title":"视频喉镜在镇静自主呼吸患者预测气管插管困难和不能使用纤维支气管镜的应用。","authors":"Alba Piroli,&nbsp;Ida Marsili,&nbsp;Franco Marinangeli,&nbsp;Silvia Costanzi,&nbsp;Luca Gentili,&nbsp;Antonella Paladini","doi":"10.1155/2021/5524240","DOIUrl":null,"url":null,"abstract":"<p><p>Intubation with a flexible fibrobronchoscope in an awake patient is frequently considered the technique of choice in patients with predicted difficult intubation. There are, however, situations in which the use of the fibrobronchoscope is not applicable, particularly due to problems attributable to the patient or to limited use of the instrument. In such situations, the video laryngoscope can be a useful alternative, as long as it is associated with adequate sedation of the patient. In fact, it ensures excellent viewing of the glottis, allowing for successful orotracheal intubation to be performed even in case of difficult airways, while keeping the patient spontaneously breathing throughout the procedure. From the data present in the literature, this technique seems to ensure a success rate and a safety profile similar to those obtained with the fibrobronchoscope, moreover, with greater ease of use by the anaesthesiologist. The main purpose of this work is to provide a valid and safe alternative to intubation with a fibrobronchoscope while awake in those patients with anticipated difficult airway management and in whom, for different reasons, fibrobronchoscope cannot be used.</p>","PeriodicalId":36504,"journal":{"name":"Case Reports in Anesthesiology","volume":"2021 ","pages":"5524240"},"PeriodicalIF":0.0000,"publicationDate":"2021-04-29","publicationTypes":"Journal Article","fieldsOfStudy":null,"isOpenAccess":false,"openAccessPdf":"https://www.ncbi.nlm.nih.gov/pmc/articles/PMC8102116/pdf/","citationCount":"0","resultStr":"{\"title\":\"Use of Video Laryngoscope in Sedated Spontaneously Breathing Patients with Predicted Difficult Tracheal Intubation and Impossibility of Using Fibreoptic Bronchoscopy.\",\"authors\":\"Alba Piroli,&nbsp;Ida Marsili,&nbsp;Franco Marinangeli,&nbsp;Silvia Costanzi,&nbsp;Luca Gentili,&nbsp;Antonella Paladini\",\"doi\":\"10.1155/2021/5524240\",\"DOIUrl\":null,\"url\":null,\"abstract\":\"<p><p>Intubation with a flexible fibrobronchoscope in an awake patient is frequently considered the technique of choice in patients with predicted difficult intubation. There are, however, situations in which the use of the fibrobronchoscope is not applicable, particularly due to problems attributable to the patient or to limited use of the instrument. In such situations, the video laryngoscope can be a useful alternative, as long as it is associated with adequate sedation of the patient. In fact, it ensures excellent viewing of the glottis, allowing for successful orotracheal intubation to be performed even in case of difficult airways, while keeping the patient spontaneously breathing throughout the procedure. From the data present in the literature, this technique seems to ensure a success rate and a safety profile similar to those obtained with the fibrobronchoscope, moreover, with greater ease of use by the anaesthesiologist. The main purpose of this work is to provide a valid and safe alternative to intubation with a fibrobronchoscope while awake in those patients with anticipated difficult airway management and in whom, for different reasons, fibrobronchoscope cannot be used.</p>\",\"PeriodicalId\":36504,\"journal\":{\"name\":\"Case Reports in Anesthesiology\",\"volume\":\"2021 \",\"pages\":\"5524240\"},\"PeriodicalIF\":0.0000,\"publicationDate\":\"2021-04-29\",\"publicationTypes\":\"Journal Article\",\"fieldsOfStudy\":null,\"isOpenAccess\":false,\"openAccessPdf\":\"https://www.ncbi.nlm.nih.gov/pmc/articles/PMC8102116/pdf/\",\"citationCount\":\"0\",\"resultStr\":null,\"platform\":\"Semanticscholar\",\"paperid\":null,\"PeriodicalName\":\"Case Reports in Anesthesiology\",\"FirstCategoryId\":\"1085\",\"ListUrlMain\":\"https://doi.org/10.1155/2021/5524240\",\"RegionNum\":0,\"RegionCategory\":null,\"ArticlePicture\":[],\"TitleCN\":null,\"AbstractTextCN\":null,\"PMCID\":null,\"EPubDate\":\"2021/1/1 0:00:00\",\"PubModel\":\"eCollection\",\"JCR\":\"Q3\",\"JCRName\":\"Medicine\",\"Score\":null,\"Total\":0}","platform":"Semanticscholar","paperid":null,"PeriodicalName":"Case Reports in Anesthesiology","FirstCategoryId":"1085","ListUrlMain":"https://doi.org/10.1155/2021/5524240","RegionNum":0,"RegionCategory":null,"ArticlePicture":[],"TitleCN":null,"AbstractTextCN":null,"PMCID":null,"EPubDate":"2021/1/1 0:00:00","PubModel":"eCollection","JCR":"Q3","JCRName":"Medicine","Score":null,"Total":0}
引用次数: 0

摘要

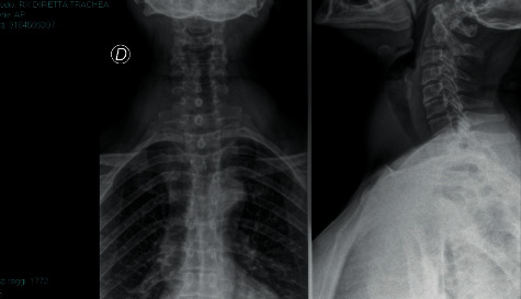
在清醒的患者中使用柔性纤维支气管镜插管通常被认为是预测插管困难的患者的首选技术。然而,在某些情况下,纤维支气管镜的使用并不适用,特别是由于患者自身的问题或仪器的有限使用。在这种情况下,视频喉镜可以是一个有用的选择,只要它与患者足够的镇静有关。事实上,它可以确保对声门的良好观察,即使在气道困难的情况下也可以成功地进行口气管插管,同时在整个过程中保持患者自主呼吸。从现有的文献资料来看,该技术似乎确保了与纤维支气管镜相似的成功率和安全性,而且麻醉师更容易使用。这项工作的主要目的是为那些预期气道管理困难且因不同原因不能使用纤维支气管镜的患者提供一种有效且安全的清醒时纤维支气管镜插管替代方法。
本文章由计算机程序翻译,如有差异,请以英文原文为准。

Use of Video Laryngoscope in Sedated Spontaneously Breathing Patients with Predicted Difficult Tracheal Intubation and Impossibility of Using Fibreoptic Bronchoscopy.

Use of Video Laryngoscope in Sedated Spontaneously Breathing Patients with Predicted Difficult Tracheal Intubation and Impossibility of Using Fibreoptic Bronchoscopy.

Use of Video Laryngoscope in Sedated Spontaneously Breathing Patients with Predicted Difficult Tracheal Intubation and Impossibility of Using Fibreoptic Bronchoscopy.

Intubation with a flexible fibrobronchoscope in an awake patient is frequently considered the technique of choice in patients with predicted difficult intubation. There are, however, situations in which the use of the fibrobronchoscope is not applicable, particularly due to problems attributable to the patient or to limited use of the instrument. In such situations, the video laryngoscope can be a useful alternative, as long as it is associated with adequate sedation of the patient. In fact, it ensures excellent viewing of the glottis, allowing for successful orotracheal intubation to be performed even in case of difficult airways, while keeping the patient spontaneously breathing throughout the procedure. From the data present in the literature, this technique seems to ensure a success rate and a safety profile similar to those obtained with the fibrobronchoscope, moreover, with greater ease of use by the anaesthesiologist. The main purpose of this work is to provide a valid and safe alternative to intubation with a fibrobronchoscope while awake in those patients with anticipated difficult airway management and in whom, for different reasons, fibrobronchoscope cannot be used.

求助全文
通过发布文献求助,成功后即可免费获取论文全文。 去求助
来源期刊
Case Reports in Anesthesiology
Case Reports in Anesthesiology Medicine-Anesthesiology and Pain Medicine
CiteScore
1.40
自引率
0.00%
发文量
19
审稿时长
12 weeks
×
引用
GB/T 7714-2015
复制
MLA
复制
APA
复制
导出至
BibTeX EndNote RefMan NoteFirst NoteExpress
×
提示
您的信息不完整,为了账户安全,请先补充。
现在去补充
×
提示
您因"违规操作"
具体请查看互助需知
我知道了
×
提示
确定
请完成安全验证×
copy
已复制链接
快去分享给好友吧!
我知道了
右上角分享
点击右上角分享
0
联系我们:info@booksci.cn Book学术提供免费学术资源搜索服务,方便国内外学者检索中英文文献。致力于提供最便捷和优质的服务体验。 Copyright © 2023 布克学术 All rights reserved.
京ICP备2023020795号-1
ghs 京公网安备 11010802042870号
Book学术文献互助
Book学术文献互助群
群 号:604180095
Book学术官方微信