埃塞俄比亚木乙醇种子提取物抑制镉氯致成年雌性Wistar大鼠卵巢和促性腺激素毒性。

IF 1.9
Elvis T Godam, Olugbemi T Olaniyan, Chiwendu D Wofuru, Clinton D Orupabo, Kenneth S Ordu, Barinua K Gbaranor, Progress D Dakoru
{"title":"埃塞俄比亚木乙醇种子提取物抑制镉氯致成年雌性Wistar大鼠卵巢和促性腺激素毒性。","authors":"Elvis T Godam,&nbsp;Olugbemi T Olaniyan,&nbsp;Chiwendu D Wofuru,&nbsp;Clinton D Orupabo,&nbsp;Kenneth S Ordu,&nbsp;Barinua K Gbaranor,&nbsp;Progress D Dakoru","doi":"10.5935/1518-0557.20200091","DOIUrl":null,"url":null,"abstract":"<p><strong>Objective: </strong>Xylopia aethiopica is a common plant in West Africa, with wide applications in trado-medical management of several diseases. Thus, our study aimed to analyze the histology and hormonal effects of ethanol extracts of Xylopia aethiopica seeds on cadmium chloride-induced reproductive dysfunction in female Wistar rats.</p><p><strong>Methods: </strong>We used twenty-five rats weighing 120-150g for this study. The rats were divided into five groups (n=5). Group 1: received only distilled water orally; Group 2: received 2 mg/kg cadmium chloride orally; Group 3: received 2 mg/kg cadmium chloride plus 50 mg/kg Xylopia aethiopica seeds orally; Group 4: received 2 mg/kg cadmium chloride plus 100 mg/kg Xylopia aethiopica seeds orally, and Group 5: received 100 mg/kg Xylopia aethiopica seeds only, orally. We administered the extracts for 14 days, after which we slaughtered the animals following chloroform anesthesia. We took the blood samples by cardiac puncture for hormonal assay. The ovaries and uterus were harvested for histology. We analyzed the data using ANOVA, and the differences in mean values were considered significant at p<0.05.</p><p><strong>Results: </strong>The body weight of the rats showed a dose-dependent reduction (p<0.05), compared with the controls. Xylopia aethiopica seeds significantly (p<0.05) reversed the detrimental effects of Cadmium on LH and FSH. The histological analysis of the ovary showed significant improvement upon treatment with Xylopia aethiopica extract in a dose-dependent manner.</p><p><strong>Conclusions: </strong>The ameliorative effects of Xylopia aethiopica against cadmium chloride-induced reproductive toxicity in female Wistar rats may be attributed to its antioxidant properties.</p>","PeriodicalId":520656,"journal":{"name":"JBRA assisted reproduction","volume":" ","pages":"252-256"},"PeriodicalIF":1.9000,"publicationDate":"2021-04-27","publicationTypes":"Journal Article","fieldsOfStudy":null,"isOpenAccess":false,"openAccessPdf":"https://www.ncbi.nlm.nih.gov/pmc/articles/PMC8083854/pdf/","citationCount":"6","resultStr":"{\"title\":\"Xylopia aethiopica ethanol seed extract suppresses Cadmium chloride-induced ovary and gonadotropins toxicity in adult female Wistar rats.\",\"authors\":\"Elvis T Godam,&nbsp;Olugbemi T Olaniyan,&nbsp;Chiwendu D Wofuru,&nbsp;Clinton D Orupabo,&nbsp;Kenneth S Ordu,&nbsp;Barinua K Gbaranor,&nbsp;Progress D Dakoru\",\"doi\":\"10.5935/1518-0557.20200091\",\"DOIUrl\":null,\"url\":null,\"abstract\":\"<p><strong>Objective: </strong>Xylopia aethiopica is a common plant in West Africa, with wide applications in trado-medical management of several diseases. Thus, our study aimed to analyze the histology and hormonal effects of ethanol extracts of Xylopia aethiopica seeds on cadmium chloride-induced reproductive dysfunction in female Wistar rats.</p><p><strong>Methods: </strong>We used twenty-five rats weighing 120-150g for this study. The rats were divided into five groups (n=5). Group 1: received only distilled water orally; Group 2: received 2 mg/kg cadmium chloride orally; Group 3: received 2 mg/kg cadmium chloride plus 50 mg/kg Xylopia aethiopica seeds orally; Group 4: received 2 mg/kg cadmium chloride plus 100 mg/kg Xylopia aethiopica seeds orally, and Group 5: received 100 mg/kg Xylopia aethiopica seeds only, orally. We administered the extracts for 14 days, after which we slaughtered the animals following chloroform anesthesia. We took the blood samples by cardiac puncture for hormonal assay. The ovaries and uterus were harvested for histology. We analyzed the data using ANOVA, and the differences in mean values were considered significant at p<0.05.</p><p><strong>Results: </strong>The body weight of the rats showed a dose-dependent reduction (p<0.05), compared with the controls. Xylopia aethiopica seeds significantly (p<0.05) reversed the detrimental effects of Cadmium on LH and FSH. The histological analysis of the ovary showed significant improvement upon treatment with Xylopia aethiopica extract in a dose-dependent manner.</p><p><strong>Conclusions: </strong>The ameliorative effects of Xylopia aethiopica against cadmium chloride-induced reproductive toxicity in female Wistar rats may be attributed to its antioxidant properties.</p>\",\"PeriodicalId\":520656,\"journal\":{\"name\":\"JBRA assisted reproduction\",\"volume\":\" \",\"pages\":\"252-256\"},\"PeriodicalIF\":1.9000,\"publicationDate\":\"2021-04-27\",\"publicationTypes\":\"Journal Article\",\"fieldsOfStudy\":null,\"isOpenAccess\":false,\"openAccessPdf\":\"https://www.ncbi.nlm.nih.gov/pmc/articles/PMC8083854/pdf/\",\"citationCount\":\"6\",\"resultStr\":null,\"platform\":\"Semanticscholar\",\"paperid\":null,\"PeriodicalName\":\"JBRA assisted reproduction\",\"FirstCategoryId\":\"1085\",\"ListUrlMain\":\"https://doi.org/10.5935/1518-0557.20200091\",\"RegionNum\":0,\"RegionCategory\":null,\"ArticlePicture\":[],\"TitleCN\":null,\"AbstractTextCN\":null,\"PMCID\":null,\"EPubDate\":\"\",\"PubModel\":\"\",\"JCR\":\"\",\"JCRName\":\"\",\"Score\":null,\"Total\":0}","platform":"Semanticscholar","paperid":null,"PeriodicalName":"JBRA assisted reproduction","FirstCategoryId":"1085","ListUrlMain":"https://doi.org/10.5935/1518-0557.20200091","RegionNum":0,"RegionCategory":null,"ArticlePicture":[],"TitleCN":null,"AbstractTextCN":null,"PMCID":null,"EPubDate":"","PubModel":"","JCR":"","JCRName":"","Score":null,"Total":0}
引用次数: 6

摘要

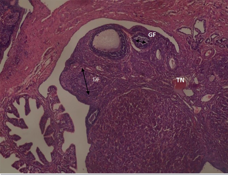
目的:埃塞俄比亚木是西非的一种常见植物,在多种病害的传统医学管理中有广泛的应用。因此,本研究旨在分析埃塞俄比亚木籽乙醇提取物对氯化镉诱导的雌性Wistar大鼠生殖功能障碍的组织学和激素影响。方法:选用大鼠25只,体重120 ~ 150g。将大鼠分为5组(n=5)。第一组:只口服蒸馏水;第二组:口服氯化镉2 mg/kg;第3组:口服氯化镉2 mg/kg +埃塞俄比亚木皮种子50 mg/kg;第4组:口服2 mg/kg氯化镉+ 100 mg/kg埃塞俄比亚木参种子;第5组:仅口服100 mg/kg埃塞俄比亚木参种子。给药14天,之后用氯仿麻醉宰杀动物。我们通过心脏穿刺取血样进行激素检测。取卵巢和子宫进行组织学检查。结果:大鼠体重呈剂量依赖性降低(p)。结论:埃塞俄比亚木对氯化镉诱导的雌性Wistar大鼠生殖毒性的改善作用可能与其抗氧化特性有关。
本文章由计算机程序翻译,如有差异,请以英文原文为准。

Xylopia aethiopica ethanol seed extract suppresses Cadmium chloride-induced ovary and gonadotropins toxicity in adult female Wistar rats.

Xylopia aethiopica ethanol seed extract suppresses Cadmium chloride-induced ovary and gonadotropins toxicity in adult female Wistar rats.

Xylopia aethiopica ethanol seed extract suppresses Cadmium chloride-induced ovary and gonadotropins toxicity in adult female Wistar rats.

Xylopia aethiopica ethanol seed extract suppresses Cadmium chloride-induced ovary and gonadotropins toxicity in adult female Wistar rats.

Objective: Xylopia aethiopica is a common plant in West Africa, with wide applications in trado-medical management of several diseases. Thus, our study aimed to analyze the histology and hormonal effects of ethanol extracts of Xylopia aethiopica seeds on cadmium chloride-induced reproductive dysfunction in female Wistar rats.

Methods: We used twenty-five rats weighing 120-150g for this study. The rats were divided into five groups (n=5). Group 1: received only distilled water orally; Group 2: received 2 mg/kg cadmium chloride orally; Group 3: received 2 mg/kg cadmium chloride plus 50 mg/kg Xylopia aethiopica seeds orally; Group 4: received 2 mg/kg cadmium chloride plus 100 mg/kg Xylopia aethiopica seeds orally, and Group 5: received 100 mg/kg Xylopia aethiopica seeds only, orally. We administered the extracts for 14 days, after which we slaughtered the animals following chloroform anesthesia. We took the blood samples by cardiac puncture for hormonal assay. The ovaries and uterus were harvested for histology. We analyzed the data using ANOVA, and the differences in mean values were considered significant at p<0.05.

Results: The body weight of the rats showed a dose-dependent reduction (p<0.05), compared with the controls. Xylopia aethiopica seeds significantly (p<0.05) reversed the detrimental effects of Cadmium on LH and FSH. The histological analysis of the ovary showed significant improvement upon treatment with Xylopia aethiopica extract in a dose-dependent manner.

Conclusions: The ameliorative effects of Xylopia aethiopica against cadmium chloride-induced reproductive toxicity in female Wistar rats may be attributed to its antioxidant properties.

求助全文
通过发布文献求助,成功后即可免费获取论文全文。 去求助
来源期刊
自引率
0.00%
发文量
0
×
引用
GB/T 7714-2015
复制
MLA
复制
APA
复制
导出至
BibTeX EndNote RefMan NoteFirst NoteExpress
×
提示
您的信息不完整,为了账户安全,请先补充。
现在去补充
×
提示
您因"违规操作"
具体请查看互助需知
我知道了
×
提示
确定
请完成安全验证×
copy
已复制链接
快去分享给好友吧!
我知道了
右上角分享
点击右上角分享
0
联系我们:info@booksci.cn Book学术提供免费学术资源搜索服务,方便国内外学者检索中英文文献。致力于提供最便捷和优质的服务体验。 Copyright © 2023 布克学术 All rights reserved.
京ICP备2023020795号-1
ghs 京公网安备 11010802042870号
Book学术文献互助
Book学术文献互助群
群 号:604180095
Book学术官方微信