臭氧和褪黑素对丁硫芬引起的小鼠睾丸损伤的影响。

IF 1.9
Mahin Taheri Moghadam, Reza Dadfar, Layasadat Khorsandi
{"title":"臭氧和褪黑素对丁硫芬引起的小鼠睾丸损伤的影响。","authors":"Mahin Taheri Moghadam,&nbsp;Reza Dadfar,&nbsp;Layasadat Khorsandi","doi":"10.5935/1518-0557.20200081","DOIUrl":null,"url":null,"abstract":"<p><strong>Objective: </strong>Busulfan is one of the most common chemotherapeutic drugs and has the ability to induce apoptosis in testicular germ cells, which leads to infertility. In this study, the effects of ozone therapy and melatonin were evaluated on testicular disorders induced by busulfan.</p><p><strong>Methods: </strong>In this study, we divided 24 male mice into four groups: control group, groups treated with busulfan, busulfan/melatonin, and busulfan/ozone. At the end of a 35-day period, blood samples were taken from the mice and their testosterone levels were measured. Both of the mice's testes were removed and weighed, afterwards, each one of them was used for evaluation of morphology by Johnson's score, as well as for measuring the diameter and thickness of seminiferous tubules. The other testis was homogenized for measuring Malondialdehyde (MDA) and antioxidant status using Catalase (CAT), Super Oxide Dismutase (SOD), and Total Antioxidant Capacity (TAC) levels. Epididymis spermatozoa were also used to evaluate motility, morphology, and sperm count.</p><p><strong>Results: </strong>Busulfan significantly reduced the testis quality (weight, sperm parameters, testosterone, CAT, SOD, and TAC levels) and increased MDA and destruction of seminiferous tubules compared to the control group. Ozone and melatonin treatments significantly increased testis quality, sperm parameters, MDA, and antioxidant status, but they did not affect the TAC level.</p><p><strong>Conclusions: </strong>This study showed that similar to melatonin, ozone can reduce the effect of busulfan toxicity on mice testis. However, further studies are needed to understand the precise mechanism of ozone function on testis.</p>","PeriodicalId":520656,"journal":{"name":"JBRA assisted reproduction","volume":" ","pages":"176-184"},"PeriodicalIF":1.9000,"publicationDate":"2021-04-27","publicationTypes":"Journal Article","fieldsOfStudy":null,"isOpenAccess":false,"openAccessPdf":"https://www.ncbi.nlm.nih.gov/pmc/articles/PMC8083863/pdf/","citationCount":"9","resultStr":"{\"title\":\"The effects of ozone and melatonin on busulfan-induced testicular damage in mice.\",\"authors\":\"Mahin Taheri Moghadam,&nbsp;Reza Dadfar,&nbsp;Layasadat Khorsandi\",\"doi\":\"10.5935/1518-0557.20200081\",\"DOIUrl\":null,\"url\":null,\"abstract\":\"<p><strong>Objective: </strong>Busulfan is one of the most common chemotherapeutic drugs and has the ability to induce apoptosis in testicular germ cells, which leads to infertility. In this study, the effects of ozone therapy and melatonin were evaluated on testicular disorders induced by busulfan.</p><p><strong>Methods: </strong>In this study, we divided 24 male mice into four groups: control group, groups treated with busulfan, busulfan/melatonin, and busulfan/ozone. At the end of a 35-day period, blood samples were taken from the mice and their testosterone levels were measured. Both of the mice's testes were removed and weighed, afterwards, each one of them was used for evaluation of morphology by Johnson's score, as well as for measuring the diameter and thickness of seminiferous tubules. The other testis was homogenized for measuring Malondialdehyde (MDA) and antioxidant status using Catalase (CAT), Super Oxide Dismutase (SOD), and Total Antioxidant Capacity (TAC) levels. Epididymis spermatozoa were also used to evaluate motility, morphology, and sperm count.</p><p><strong>Results: </strong>Busulfan significantly reduced the testis quality (weight, sperm parameters, testosterone, CAT, SOD, and TAC levels) and increased MDA and destruction of seminiferous tubules compared to the control group. Ozone and melatonin treatments significantly increased testis quality, sperm parameters, MDA, and antioxidant status, but they did not affect the TAC level.</p><p><strong>Conclusions: </strong>This study showed that similar to melatonin, ozone can reduce the effect of busulfan toxicity on mice testis. However, further studies are needed to understand the precise mechanism of ozone function on testis.</p>\",\"PeriodicalId\":520656,\"journal\":{\"name\":\"JBRA assisted reproduction\",\"volume\":\" \",\"pages\":\"176-184\"},\"PeriodicalIF\":1.9000,\"publicationDate\":\"2021-04-27\",\"publicationTypes\":\"Journal Article\",\"fieldsOfStudy\":null,\"isOpenAccess\":false,\"openAccessPdf\":\"https://www.ncbi.nlm.nih.gov/pmc/articles/PMC8083863/pdf/\",\"citationCount\":\"9\",\"resultStr\":null,\"platform\":\"Semanticscholar\",\"paperid\":null,\"PeriodicalName\":\"JBRA assisted reproduction\",\"FirstCategoryId\":\"1085\",\"ListUrlMain\":\"https://doi.org/10.5935/1518-0557.20200081\",\"RegionNum\":0,\"RegionCategory\":null,\"ArticlePicture\":[],\"TitleCN\":null,\"AbstractTextCN\":null,\"PMCID\":null,\"EPubDate\":\"\",\"PubModel\":\"\",\"JCR\":\"\",\"JCRName\":\"\",\"Score\":null,\"Total\":0}","platform":"Semanticscholar","paperid":null,"PeriodicalName":"JBRA assisted reproduction","FirstCategoryId":"1085","ListUrlMain":"https://doi.org/10.5935/1518-0557.20200081","RegionNum":0,"RegionCategory":null,"ArticlePicture":[],"TitleCN":null,"AbstractTextCN":null,"PMCID":null,"EPubDate":"","PubModel":"","JCR":"","JCRName":"","Score":null,"Total":0}
引用次数: 9

摘要

目的:布苏凡是最常用的化疗药物之一,可诱导睾丸生殖细胞凋亡,导致不育。本研究评价了臭氧治疗和褪黑素对丁硫凡引起的睾丸疾病的影响。方法:将24只雄性小鼠分为4组:对照组、丁磺胺组、丁磺胺/褪黑素组、丁磺胺/臭氧组。在35天的周期结束时,从小鼠身上采集血液样本并测量它们的睾丸激素水平。取下两只小鼠的睾丸并称重,然后用Johnson’s评分评价每只小鼠的睾丸形态,并测量精小管的直径和厚度。其余睾丸均质化,用过氧化氢酶(CAT)、超氧化物歧化酶(SOD)和总抗氧化能力(TAC)水平测定丙二醛(MDA)和抗氧化状态。附睾精子也被用来评估活力、形态和精子数量。结果:与对照组相比,布苏凡显著降低了睾丸质量(体重、精子参数、睾酮、CAT、SOD和TAC水平),增加了丙二醛(MDA)和精管破坏。臭氧和褪黑素治疗显著提高睾丸质量、精子参数、丙二醛和抗氧化状态,但对TAC水平没有影响。结论:本研究表明,臭氧与褪黑素类似,可以降低丁胺磷对小鼠睾丸的毒性作用。然而,需要进一步的研究来了解臭氧对睾丸功能的确切机制。
本文章由计算机程序翻译,如有差异,请以英文原文为准。

The effects of ozone and melatonin on busulfan-induced testicular damage in mice.

The effects of ozone and melatonin on busulfan-induced testicular damage in mice.

The effects of ozone and melatonin on busulfan-induced testicular damage in mice.

Objective: Busulfan is one of the most common chemotherapeutic drugs and has the ability to induce apoptosis in testicular germ cells, which leads to infertility. In this study, the effects of ozone therapy and melatonin were evaluated on testicular disorders induced by busulfan.

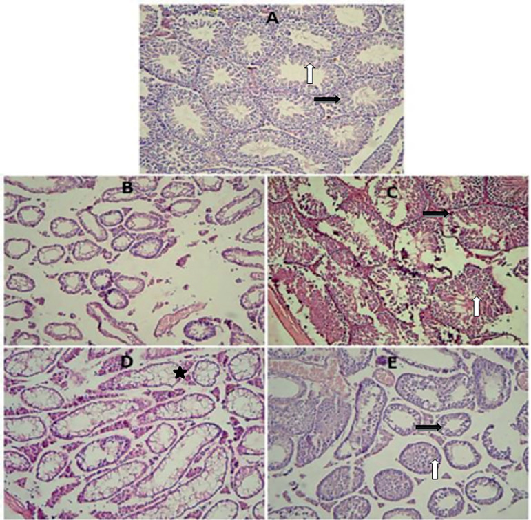
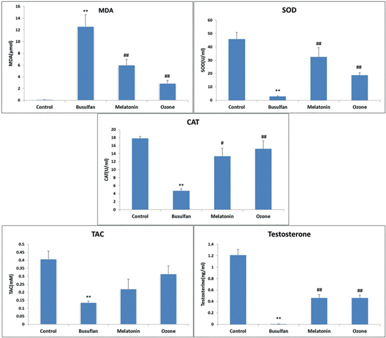
Methods: In this study, we divided 24 male mice into four groups: control group, groups treated with busulfan, busulfan/melatonin, and busulfan/ozone. At the end of a 35-day period, blood samples were taken from the mice and their testosterone levels were measured. Both of the mice's testes were removed and weighed, afterwards, each one of them was used for evaluation of morphology by Johnson's score, as well as for measuring the diameter and thickness of seminiferous tubules. The other testis was homogenized for measuring Malondialdehyde (MDA) and antioxidant status using Catalase (CAT), Super Oxide Dismutase (SOD), and Total Antioxidant Capacity (TAC) levels. Epididymis spermatozoa were also used to evaluate motility, morphology, and sperm count.

Results: Busulfan significantly reduced the testis quality (weight, sperm parameters, testosterone, CAT, SOD, and TAC levels) and increased MDA and destruction of seminiferous tubules compared to the control group. Ozone and melatonin treatments significantly increased testis quality, sperm parameters, MDA, and antioxidant status, but they did not affect the TAC level.

Conclusions: This study showed that similar to melatonin, ozone can reduce the effect of busulfan toxicity on mice testis. However, further studies are needed to understand the precise mechanism of ozone function on testis.

求助全文
通过发布文献求助,成功后即可免费获取论文全文。 去求助
来源期刊
自引率
0.00%
发文量
0
×
引用
GB/T 7714-2015
复制
MLA
复制
APA
复制
导出至
BibTeX EndNote RefMan NoteFirst NoteExpress
×
提示
您的信息不完整,为了账户安全,请先补充。
现在去补充
×
提示
您因"违规操作"
具体请查看互助需知
我知道了
×
提示
确定
请完成安全验证×
copy
已复制链接
快去分享给好友吧!
我知道了
右上角分享
点击右上角分享
0
联系我们:info@booksci.cn Book学术提供免费学术资源搜索服务,方便国内外学者检索中英文文献。致力于提供最便捷和优质的服务体验。 Copyright © 2023 布克学术 All rights reserved.
京ICP备2023020795号-1
ghs 京公网安备 11010802042870号
Book学术文献互助
Book学术文献互助群
群 号:604180095
Book学术官方微信