经皮肾上腺射频消融:对内分泌学家的简短回顾。

IF 4.2
Endocrinology and metabolism (Seoul, Korea) Pub Date : 2020-12-01 Epub Date: 2020-12-02 DOI:10.3803/EnM.2020.880
Byung Kwan Park
{"title":"经皮肾上腺射频消融:对内分泌学家的简短回顾。","authors":"Byung Kwan Park","doi":"10.3803/EnM.2020.880","DOIUrl":null,"url":null,"abstract":"<p><p>Image-guided radiofrequency ablation (RFA) has been accepted as a minimally invasive treatment for adrenal tumors in patients who are unable to undergo adrenalectomy. Accordingly, this treatment has become more readily available for treating functioning or non-functioning adrenal masses. Thus, endocrinologists need a better understanding of percutaneous RFA of adrenal tumors. The purpose of this review is to briefly describe the basic mechanism of RFA, indications and contraindications, patient preparation prior to RFA, type of complications, how to avoid complications, RFA procedures, and treatment outcomes.</p>","PeriodicalId":520607,"journal":{"name":"Endocrinology and metabolism (Seoul, Korea)","volume":" ","pages":"750-755"},"PeriodicalIF":4.2000,"publicationDate":"2020-12-01","publicationTypes":"Journal Article","fieldsOfStudy":null,"isOpenAccess":false,"openAccessPdf":"https://ftp.ncbi.nlm.nih.gov/pub/pmc/oa_pdf/4b/b6/enm-2020-880.PMC7803608.pdf","citationCount":"7","resultStr":"{\"title\":\"Percutaneous Adrenal Radiofrequency Ablation: A Short Review for Endocrinologists.\",\"authors\":\"Byung Kwan Park\",\"doi\":\"10.3803/EnM.2020.880\",\"DOIUrl\":null,\"url\":null,\"abstract\":\"<p><p>Image-guided radiofrequency ablation (RFA) has been accepted as a minimally invasive treatment for adrenal tumors in patients who are unable to undergo adrenalectomy. Accordingly, this treatment has become more readily available for treating functioning or non-functioning adrenal masses. Thus, endocrinologists need a better understanding of percutaneous RFA of adrenal tumors. The purpose of this review is to briefly describe the basic mechanism of RFA, indications and contraindications, patient preparation prior to RFA, type of complications, how to avoid complications, RFA procedures, and treatment outcomes.</p>\",\"PeriodicalId\":520607,\"journal\":{\"name\":\"Endocrinology and metabolism (Seoul, Korea)\",\"volume\":\" \",\"pages\":\"750-755\"},\"PeriodicalIF\":4.2000,\"publicationDate\":\"2020-12-01\",\"publicationTypes\":\"Journal Article\",\"fieldsOfStudy\":null,\"isOpenAccess\":false,\"openAccessPdf\":\"https://ftp.ncbi.nlm.nih.gov/pub/pmc/oa_pdf/4b/b6/enm-2020-880.PMC7803608.pdf\",\"citationCount\":\"7\",\"resultStr\":null,\"platform\":\"Semanticscholar\",\"paperid\":null,\"PeriodicalName\":\"Endocrinology and metabolism (Seoul, Korea)\",\"FirstCategoryId\":\"3\",\"ListUrlMain\":\"https://doi.org/10.3803/EnM.2020.880\",\"RegionNum\":0,\"RegionCategory\":null,\"ArticlePicture\":[],\"TitleCN\":null,\"AbstractTextCN\":null,\"PMCID\":null,\"EPubDate\":\"2020/12/2 0:00:00\",\"PubModel\":\"Epub\",\"JCR\":\"\",\"JCRName\":\"\",\"Score\":null,\"Total\":0}","platform":"Semanticscholar","paperid":null,"PeriodicalName":"Endocrinology and metabolism (Seoul, Korea)","FirstCategoryId":"3","ListUrlMain":"https://doi.org/10.3803/EnM.2020.880","RegionNum":0,"RegionCategory":null,"ArticlePicture":[],"TitleCN":null,"AbstractTextCN":null,"PMCID":null,"EPubDate":"2020/12/2 0:00:00","PubModel":"Epub","JCR":"","JCRName":"","Score":null,"Total":0}
引用次数: 7

摘要

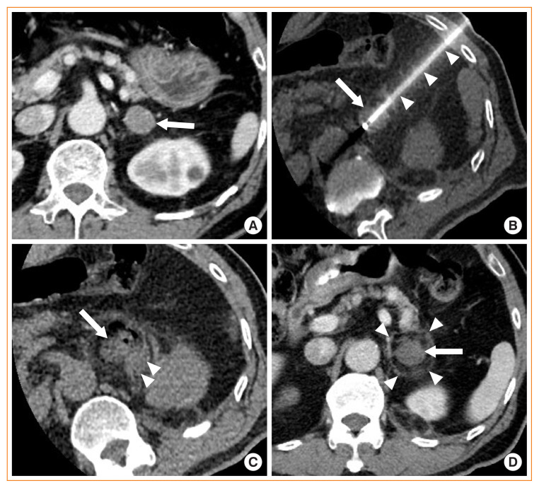
图像引导射频消融(RFA)已被接受为肾上腺肿瘤患者不能接受肾上腺切除术的微创治疗。因此,这种治疗已经变得更容易用于治疗功能或非功能肾上腺肿块。因此,内分泌学家需要更好地了解肾上腺肿瘤的经皮射频消融。本综述的目的是简要介绍射频消融术的基本机制、适应症和禁忌症、患者术前准备、并发症类型、如何避免并发症、射频消融术的操作和治疗结果。
本文章由计算机程序翻译,如有差异,请以英文原文为准。

Percutaneous Adrenal Radiofrequency Ablation: A Short Review for Endocrinologists.

Percutaneous Adrenal Radiofrequency Ablation: A Short Review for Endocrinologists.

Image-guided radiofrequency ablation (RFA) has been accepted as a minimally invasive treatment for adrenal tumors in patients who are unable to undergo adrenalectomy. Accordingly, this treatment has become more readily available for treating functioning or non-functioning adrenal masses. Thus, endocrinologists need a better understanding of percutaneous RFA of adrenal tumors. The purpose of this review is to briefly describe the basic mechanism of RFA, indications and contraindications, patient preparation prior to RFA, type of complications, how to avoid complications, RFA procedures, and treatment outcomes.

求助全文
通过发布文献求助,成功后即可免费获取论文全文。 去求助
来源期刊
自引率
0.00%
发文量
0
×
引用
GB/T 7714-2015
复制
MLA
复制
APA
复制
导出至
BibTeX EndNote RefMan NoteFirst NoteExpress
×
提示
您的信息不完整,为了账户安全,请先补充。
现在去补充
×
提示
您因"违规操作"
具体请查看互助需知
我知道了
×
提示
确定
请完成安全验证×
copy
已复制链接
快去分享给好友吧!
我知道了
右上角分享
点击右上角分享
0
联系我们:info@booksci.cn Book学术提供免费学术资源搜索服务,方便国内外学者检索中英文文献。致力于提供最便捷和优质的服务体验。 Copyright © 2023 布克学术 All rights reserved.
京ICP备2023020795号-1
ghs 京公网安备 11010802042870号
Book学术文献互助
Book学术文献互助群
群 号:604180095
Book学术官方微信