重度重眼综合征双侧无增强环形近视手术一例。

Q3 Medicine
David Maskill, Janice Hoole, Katerina Oikonomi, Ian Simmons, Evangelos Drimtzias
{"title":"重度重眼综合征双侧无增强环形近视手术一例。","authors":"David Maskill,&nbsp;Janice Hoole,&nbsp;Katerina Oikonomi,&nbsp;Ian Simmons,&nbsp;Evangelos Drimtzias","doi":"10.22599/bioj.125","DOIUrl":null,"url":null,"abstract":"<p><strong>Aim: </strong>To report the clinical features and surgical outcomes of one patient with heavy eye syndrome who underwent bilateral, unaugmented, full loop myopexy.</p><p><strong>Methods: </strong>A 47-year-old lady with high myopia, high axial length, progressive esotropia, slippage of the lateral rectus (LR) inferiorly and superior rectus (SR) medially on magnetic resonance imaging (MRI) was diagnosed with heavy eye syndrome. Unaugmented loop myopexy without medial rectus (MR) recession was offered.</p><p><strong>Results: </strong>On follow-up at 30 months, a small residual esotropia of 6 prism diopters (PD) at near and 10 PD at distance was achieved. Both abduction and elevation were improved in both eyes.</p><p><strong>Conclusions: </strong>The high angle of esodeviation can be challenging to correct adequately with surgery, with many options available: resection-recession, hemitranspositions (Yamada's procedure), partial loop myopexy (modified Jensen's procedure) and full loop myopexy (Yokoyama's procedure). It remains unclear which procedure is optimal for severe disease. In this case, we present bilateral, unaugmented, full loop myopexy as our preferred choice for high esotropia.</p>","PeriodicalId":36083,"journal":{"name":"British and Irish Orthoptic Journal","volume":"15 1","pages":"25-27"},"PeriodicalIF":0.0000,"publicationDate":"2019-02-15","publicationTypes":"Journal Article","fieldsOfStudy":null,"isOpenAccess":false,"openAccessPdf":"https://www.ncbi.nlm.nih.gov/pmc/articles/PMC7510404/pdf/","citationCount":"0","resultStr":"{\"title\":\"Bilateral, Unaugmented, Loop Myopexy Performed for a Severe Case of Heavy Eye Syndrome.\",\"authors\":\"David Maskill,&nbsp;Janice Hoole,&nbsp;Katerina Oikonomi,&nbsp;Ian Simmons,&nbsp;Evangelos Drimtzias\",\"doi\":\"10.22599/bioj.125\",\"DOIUrl\":null,\"url\":null,\"abstract\":\"<p><strong>Aim: </strong>To report the clinical features and surgical outcomes of one patient with heavy eye syndrome who underwent bilateral, unaugmented, full loop myopexy.</p><p><strong>Methods: </strong>A 47-year-old lady with high myopia, high axial length, progressive esotropia, slippage of the lateral rectus (LR) inferiorly and superior rectus (SR) medially on magnetic resonance imaging (MRI) was diagnosed with heavy eye syndrome. Unaugmented loop myopexy without medial rectus (MR) recession was offered.</p><p><strong>Results: </strong>On follow-up at 30 months, a small residual esotropia of 6 prism diopters (PD) at near and 10 PD at distance was achieved. Both abduction and elevation were improved in both eyes.</p><p><strong>Conclusions: </strong>The high angle of esodeviation can be challenging to correct adequately with surgery, with many options available: resection-recession, hemitranspositions (Yamada's procedure), partial loop myopexy (modified Jensen's procedure) and full loop myopexy (Yokoyama's procedure). It remains unclear which procedure is optimal for severe disease. In this case, we present bilateral, unaugmented, full loop myopexy as our preferred choice for high esotropia.</p>\",\"PeriodicalId\":36083,\"journal\":{\"name\":\"British and Irish Orthoptic Journal\",\"volume\":\"15 1\",\"pages\":\"25-27\"},\"PeriodicalIF\":0.0000,\"publicationDate\":\"2019-02-15\",\"publicationTypes\":\"Journal Article\",\"fieldsOfStudy\":null,\"isOpenAccess\":false,\"openAccessPdf\":\"https://www.ncbi.nlm.nih.gov/pmc/articles/PMC7510404/pdf/\",\"citationCount\":\"0\",\"resultStr\":null,\"platform\":\"Semanticscholar\",\"paperid\":null,\"PeriodicalName\":\"British and Irish Orthoptic Journal\",\"FirstCategoryId\":\"1085\",\"ListUrlMain\":\"https://doi.org/10.22599/bioj.125\",\"RegionNum\":0,\"RegionCategory\":null,\"ArticlePicture\":[],\"TitleCN\":null,\"AbstractTextCN\":null,\"PMCID\":null,\"EPubDate\":\"\",\"PubModel\":\"\",\"JCR\":\"Q3\",\"JCRName\":\"Medicine\",\"Score\":null,\"Total\":0}","platform":"Semanticscholar","paperid":null,"PeriodicalName":"British and Irish Orthoptic Journal","FirstCategoryId":"1085","ListUrlMain":"https://doi.org/10.22599/bioj.125","RegionNum":0,"RegionCategory":null,"ArticlePicture":[],"TitleCN":null,"AbstractTextCN":null,"PMCID":null,"EPubDate":"","PubModel":"","JCR":"Q3","JCRName":"Medicine","Score":null,"Total":0}
引用次数: 0

摘要

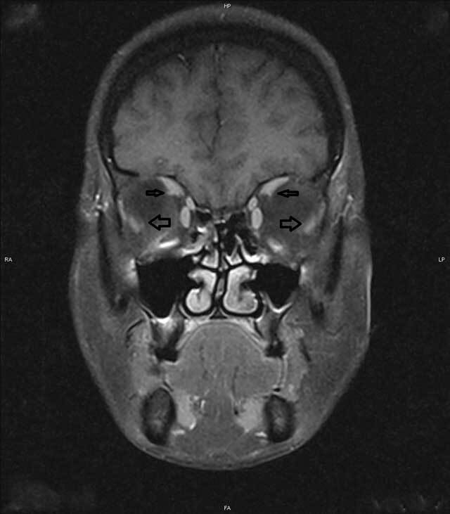
目的:报告1例重度眼综合征患者行双侧非增强全环性近视的临床特点和手术结果。方法:47岁女性,高度近视,高眼轴长,进行性内斜视,外直肌(LR)下、上直肌(SR)内侧滑动,磁共振成像(MRI)诊断为重眼综合征。无内侧直肌(MR)退行的非增广环形肌闭锁。结果:随访30个月,患者近处残余内斜视6个棱镜屈光度,远处残余内斜视10个棱镜屈光度。双眼外展和抬高均有改善。结论:大角度内偏难以通过手术进行充分矫正,有多种选择:切除-消退、半移位(Yamada手术)、部分环内偏(改良Jensen手术)和全环内偏(横山手术)。目前尚不清楚哪种手术对严重疾病是最佳的。在这种情况下,我们提出双侧,非增强,全环近视作为我们的首选高度内斜视。
本文章由计算机程序翻译,如有差异,请以英文原文为准。

Bilateral, Unaugmented, Loop Myopexy Performed for a Severe Case of Heavy Eye Syndrome.

Bilateral, Unaugmented, Loop Myopexy Performed for a Severe Case of Heavy Eye Syndrome.

Bilateral, Unaugmented, Loop Myopexy Performed for a Severe Case of Heavy Eye Syndrome.

Bilateral, Unaugmented, Loop Myopexy Performed for a Severe Case of Heavy Eye Syndrome.

Aim: To report the clinical features and surgical outcomes of one patient with heavy eye syndrome who underwent bilateral, unaugmented, full loop myopexy.

Methods: A 47-year-old lady with high myopia, high axial length, progressive esotropia, slippage of the lateral rectus (LR) inferiorly and superior rectus (SR) medially on magnetic resonance imaging (MRI) was diagnosed with heavy eye syndrome. Unaugmented loop myopexy without medial rectus (MR) recession was offered.

Results: On follow-up at 30 months, a small residual esotropia of 6 prism diopters (PD) at near and 10 PD at distance was achieved. Both abduction and elevation were improved in both eyes.

Conclusions: The high angle of esodeviation can be challenging to correct adequately with surgery, with many options available: resection-recession, hemitranspositions (Yamada's procedure), partial loop myopexy (modified Jensen's procedure) and full loop myopexy (Yokoyama's procedure). It remains unclear which procedure is optimal for severe disease. In this case, we present bilateral, unaugmented, full loop myopexy as our preferred choice for high esotropia.

求助全文
通过发布文献求助,成功后即可免费获取论文全文。 去求助
来源期刊
British and Irish Orthoptic Journal
British and Irish Orthoptic Journal Health Professions-Optometry
CiteScore
1.50
自引率
0.00%
发文量
13
审稿时长
18 weeks
×
引用
GB/T 7714-2015
复制
MLA
复制
APA
复制
导出至
BibTeX EndNote RefMan NoteFirst NoteExpress
×
提示
您的信息不完整,为了账户安全,请先补充。
现在去补充
×
提示
您因"违规操作"
具体请查看互助需知
我知道了
×
提示
确定
请完成安全验证×
copy
已复制链接
快去分享给好友吧!
我知道了
右上角分享
点击右上角分享
0
联系我们:info@booksci.cn Book学术提供免费学术资源搜索服务,方便国内外学者检索中英文文献。致力于提供最便捷和优质的服务体验。 Copyright © 2023 布克学术 All rights reserved.
京ICP备2023020795号-1
ghs 京公网安备 11010802042870号
Book学术文献互助
Book学术文献互助群
群 号:604180095
Book学术官方微信