非洲果蝠肾草酸盐沉积一例报道。

IF 3.2 Q1 VETERINARY SCIENCES
O O Aina, M A Olude, F E Olopade, A Balkema-Buschmann, M H Groschup, R Ulrich, J O Olopade
{"title":"非洲果蝠肾草酸盐沉积一例报道。","authors":"O O Aina,&nbsp;M A Olude,&nbsp;F E Olopade,&nbsp;A Balkema-Buschmann,&nbsp;M H Groschup,&nbsp;R Ulrich,&nbsp;J O Olopade","doi":"10.1080/23144599.2020.1807816","DOIUrl":null,"url":null,"abstract":"ABSTRACT We report a possible spontaneous case of oxalate nephrosis in an African fruit bat (Epomops franqueti), incidentally observed in Ibadan, South-West Nigeria, in an anatomical and serological survey of the species. Wild caught bats underwent sedation, intracardial perfusion, necropsy and histopathology. All 15 wild-caught African fruit bats were apparently healthy. However, light microscopy revealed mild oligofocal tubulonephrosis with intraluminal deposition of polarizing crystals interpreted as subclinical oxalate nephrosis in one case. In summary, we suggest a dietary aetiology, based on seasonal availability of high ascorbic acid or oxalate containing fruits. However, exposure to anthropogenic contaminants cannot be completely ruled out.","PeriodicalId":45744,"journal":{"name":"International Journal of Veterinary Science and Medicine","volume":" ","pages":"56-58"},"PeriodicalIF":3.2000,"publicationDate":"2020-08-19","publicationTypes":"Journal Article","fieldsOfStudy":null,"isOpenAccess":false,"openAccessPdf":"https://sci-hub-pdf.com/10.1080/23144599.2020.1807816","citationCount":"1","resultStr":"{\"title\":\"A possible case of renal oxalate deposit reported in an African fruit bat (<i>Epomops franqueti</i>).\",\"authors\":\"O O Aina,&nbsp;M A Olude,&nbsp;F E Olopade,&nbsp;A Balkema-Buschmann,&nbsp;M H Groschup,&nbsp;R Ulrich,&nbsp;J O Olopade\",\"doi\":\"10.1080/23144599.2020.1807816\",\"DOIUrl\":null,\"url\":null,\"abstract\":\"ABSTRACT We report a possible spontaneous case of oxalate nephrosis in an African fruit bat (Epomops franqueti), incidentally observed in Ibadan, South-West Nigeria, in an anatomical and serological survey of the species. Wild caught bats underwent sedation, intracardial perfusion, necropsy and histopathology. All 15 wild-caught African fruit bats were apparently healthy. However, light microscopy revealed mild oligofocal tubulonephrosis with intraluminal deposition of polarizing crystals interpreted as subclinical oxalate nephrosis in one case. In summary, we suggest a dietary aetiology, based on seasonal availability of high ascorbic acid or oxalate containing fruits. However, exposure to anthropogenic contaminants cannot be completely ruled out.\",\"PeriodicalId\":45744,\"journal\":{\"name\":\"International Journal of Veterinary Science and Medicine\",\"volume\":\" \",\"pages\":\"56-58\"},\"PeriodicalIF\":3.2000,\"publicationDate\":\"2020-08-19\",\"publicationTypes\":\"Journal Article\",\"fieldsOfStudy\":null,\"isOpenAccess\":false,\"openAccessPdf\":\"https://sci-hub-pdf.com/10.1080/23144599.2020.1807816\",\"citationCount\":\"1\",\"resultStr\":null,\"platform\":\"Semanticscholar\",\"paperid\":null,\"PeriodicalName\":\"International Journal of Veterinary Science and Medicine\",\"FirstCategoryId\":\"1085\",\"ListUrlMain\":\"https://doi.org/10.1080/23144599.2020.1807816\",\"RegionNum\":0,\"RegionCategory\":null,\"ArticlePicture\":[],\"TitleCN\":null,\"AbstractTextCN\":null,\"PMCID\":null,\"EPubDate\":\"\",\"PubModel\":\"\",\"JCR\":\"Q1\",\"JCRName\":\"VETERINARY SCIENCES\",\"Score\":null,\"Total\":0}","platform":"Semanticscholar","paperid":null,"PeriodicalName":"International Journal of Veterinary Science and Medicine","FirstCategoryId":"1085","ListUrlMain":"https://doi.org/10.1080/23144599.2020.1807816","RegionNum":0,"RegionCategory":null,"ArticlePicture":[],"TitleCN":null,"AbstractTextCN":null,"PMCID":null,"EPubDate":"","PubModel":"","JCR":"Q1","JCRName":"VETERINARY SCIENCES","Score":null,"Total":0}
引用次数: 1

摘要

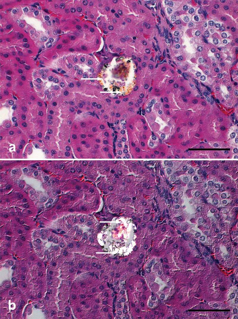
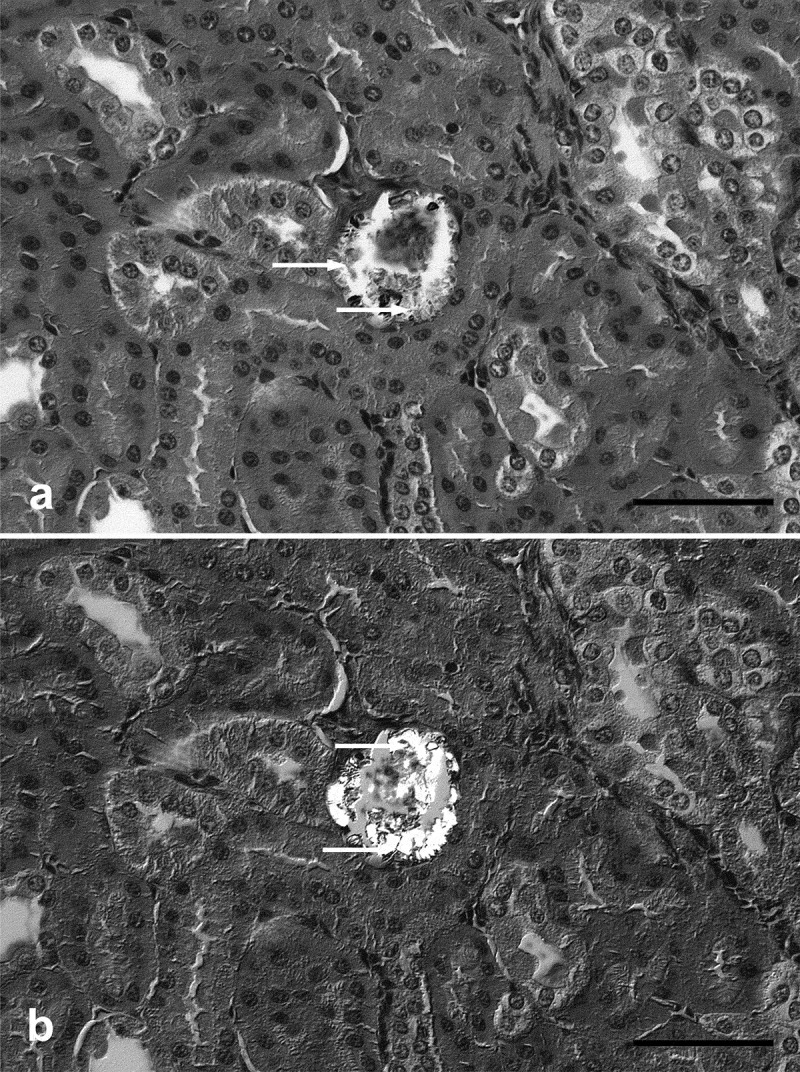
我们报告在尼日利亚西南部伊巴丹偶然观察到的非洲果蝠(Epomops franqueti)可能自发的草酸盐肾病病例,在该物种的解剖和血清学调查中。对野生捕获的蝙蝠进行镇静、心内灌注、尸检和组织病理学检查。所有15只野生捕获的非洲果蝠显然都很健康。然而,光镜显示轻度少灶小管肾病伴腔内偏光晶体沉积,一例被解释为亚临床草酸盐肾病。总之,我们建议饮食病因学,基于高抗坏血酸或草酸含量水果的季节性可用性。然而,不能完全排除接触人为污染物的可能性。
本文章由计算机程序翻译,如有差异,请以英文原文为准。

A possible case of renal oxalate deposit reported in an African fruit bat (<i>Epomops franqueti</i>).

A possible case of renal oxalate deposit reported in an African fruit bat (<i>Epomops franqueti</i>).

A possible case of renal oxalate deposit reported in an African fruit bat (Epomops franqueti).
ABSTRACT We report a possible spontaneous case of oxalate nephrosis in an African fruit bat (Epomops franqueti), incidentally observed in Ibadan, South-West Nigeria, in an anatomical and serological survey of the species. Wild caught bats underwent sedation, intracardial perfusion, necropsy and histopathology. All 15 wild-caught African fruit bats were apparently healthy. However, light microscopy revealed mild oligofocal tubulonephrosis with intraluminal deposition of polarizing crystals interpreted as subclinical oxalate nephrosis in one case. In summary, we suggest a dietary aetiology, based on seasonal availability of high ascorbic acid or oxalate containing fruits. However, exposure to anthropogenic contaminants cannot be completely ruled out.
求助全文
通过发布文献求助,成功后即可免费获取论文全文。 去求助
来源期刊
CiteScore
4.80
自引率
0.00%
发文量
12
审稿时长
24 weeks
×
引用
GB/T 7714-2015
复制
MLA
复制
APA
复制
导出至
BibTeX EndNote RefMan NoteFirst NoteExpress
×
提示
您的信息不完整,为了账户安全,请先补充。
现在去补充
×
提示
您因"违规操作"
具体请查看互助需知
我知道了
×
提示
确定
请完成安全验证×
copy
已复制链接
快去分享给好友吧!
我知道了
右上角分享
点击右上角分享
0
联系我们:info@booksci.cn Book学术提供免费学术资源搜索服务,方便国内外学者检索中英文文献。致力于提供最便捷和优质的服务体验。 Copyright © 2023 布克学术 All rights reserved.
京ICP备2023020795号-1
ghs 京公网安备 11010802042870号
Book学术文献互助
Book学术文献互助群
群 号:604180095
Book学术官方微信