大型驴场马流感病毒H3N8亚型流行的检测。

IF 3.2 Q1 VETERINARY SCIENCES
Yu Yongfeng, Sun Xiaobo, Xia Nan, Zhang Jingwen, Liu Wenqiang
{"title":"大型驴场马流感病毒H3N8亚型流行的检测。","authors":"Yu Yongfeng,&nbsp;Sun Xiaobo,&nbsp;Xia Nan,&nbsp;Zhang Jingwen,&nbsp;Liu Wenqiang","doi":"10.1080/23144599.2020.1739844","DOIUrl":null,"url":null,"abstract":"<p><p>To monitor the occurrence of equine influenza in large-scale donkey farms in Liaocheng City, Shandong Province, serological investigation and sequence analysis of HA/M protein gene of equine influenza virus (EIV) were carried out. Samples (n = 65) of the lung and nasal swab were collected in six different large-scale donkey farms and detected with RT-PCR for HA and M protein gene. The homology and evolution of HA and M genes were analysed with known sequences. Antibody titres of serum samples (n = 120, unvaccinated) level was determined by the HI test. The average seropositive rate was 32.5% (39/120) with great diversity among different populations. The positive rate of EIV HA/M protein gene was 21.5% (14/65) by RT-PCR. The equine influenza H3N8 virus was confirmed by gene sequencing, and the homology of the sequence was 99.77% with isolates from Northeast China (equine/heilongjiang/1/2010), consistent with the input of donkeys. This suggested that EIV has become an important threat to large-scale donkey farms in Liaocheng and threats from the input area must be vigilant.</p>","PeriodicalId":45744,"journal":{"name":"International Journal of Veterinary Science and Medicine","volume":" ","pages":"26-30"},"PeriodicalIF":3.2000,"publicationDate":"2020-03-31","publicationTypes":"Journal Article","fieldsOfStudy":null,"isOpenAccess":false,"openAccessPdf":"https://sci-hub-pdf.com/10.1080/23144599.2020.1739844","citationCount":"7","resultStr":"{\"title\":\"Detection of the epidemic of the H3N8 subtype of the equine influenza virus in large-scale donkey farms.\",\"authors\":\"Yu Yongfeng,&nbsp;Sun Xiaobo,&nbsp;Xia Nan,&nbsp;Zhang Jingwen,&nbsp;Liu Wenqiang\",\"doi\":\"10.1080/23144599.2020.1739844\",\"DOIUrl\":null,\"url\":null,\"abstract\":\"<p><p>To monitor the occurrence of equine influenza in large-scale donkey farms in Liaocheng City, Shandong Province, serological investigation and sequence analysis of HA/M protein gene of equine influenza virus (EIV) were carried out. Samples (n = 65) of the lung and nasal swab were collected in six different large-scale donkey farms and detected with RT-PCR for HA and M protein gene. The homology and evolution of HA and M genes were analysed with known sequences. Antibody titres of serum samples (n = 120, unvaccinated) level was determined by the HI test. The average seropositive rate was 32.5% (39/120) with great diversity among different populations. The positive rate of EIV HA/M protein gene was 21.5% (14/65) by RT-PCR. The equine influenza H3N8 virus was confirmed by gene sequencing, and the homology of the sequence was 99.77% with isolates from Northeast China (equine/heilongjiang/1/2010), consistent with the input of donkeys. This suggested that EIV has become an important threat to large-scale donkey farms in Liaocheng and threats from the input area must be vigilant.</p>\",\"PeriodicalId\":45744,\"journal\":{\"name\":\"International Journal of Veterinary Science and Medicine\",\"volume\":\" \",\"pages\":\"26-30\"},\"PeriodicalIF\":3.2000,\"publicationDate\":\"2020-03-31\",\"publicationTypes\":\"Journal Article\",\"fieldsOfStudy\":null,\"isOpenAccess\":false,\"openAccessPdf\":\"https://sci-hub-pdf.com/10.1080/23144599.2020.1739844\",\"citationCount\":\"7\",\"resultStr\":null,\"platform\":\"Semanticscholar\",\"paperid\":null,\"PeriodicalName\":\"International Journal of Veterinary Science and Medicine\",\"FirstCategoryId\":\"1085\",\"ListUrlMain\":\"https://doi.org/10.1080/23144599.2020.1739844\",\"RegionNum\":0,\"RegionCategory\":null,\"ArticlePicture\":[],\"TitleCN\":null,\"AbstractTextCN\":null,\"PMCID\":null,\"EPubDate\":\"2020/1/1 0:00:00\",\"PubModel\":\"eCollection\",\"JCR\":\"Q1\",\"JCRName\":\"VETERINARY SCIENCES\",\"Score\":null,\"Total\":0}","platform":"Semanticscholar","paperid":null,"PeriodicalName":"International Journal of Veterinary Science and Medicine","FirstCategoryId":"1085","ListUrlMain":"https://doi.org/10.1080/23144599.2020.1739844","RegionNum":0,"RegionCategory":null,"ArticlePicture":[],"TitleCN":null,"AbstractTextCN":null,"PMCID":null,"EPubDate":"2020/1/1 0:00:00","PubModel":"eCollection","JCR":"Q1","JCRName":"VETERINARY SCIENCES","Score":null,"Total":0}
引用次数: 7

摘要

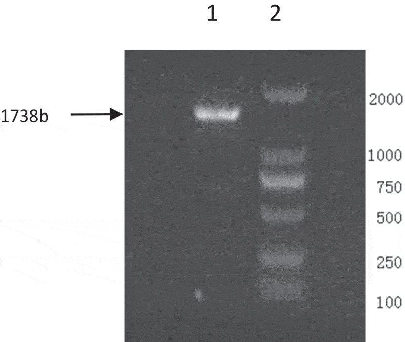
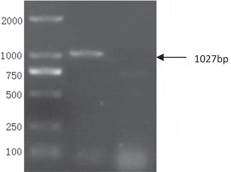
为监测山东省聊城市大型毛驴养殖场马流感的发生情况,对马流感病毒(EIV)进行血清学调查和HA/M蛋白基因序列分析。在6个不同的大型驴养殖场采集肺拭子和鼻拭子样本(n = 65),采用RT-PCR检测HA和M蛋白基因。用已知序列分析HA和M基因的同源性和进化。血清样本(n = 120,未接种)的抗体滴度通过HI试验测定。平均血清阳性率为32.5%(39/120),不同人群间差异较大。RT-PCR检测EIV HA/M蛋白基因阳性率为21.5%(14/65)。经基因测序证实,该病毒与东北地区(马/黑龙江/1/2010)分离株同源性为99.77%,与驴输入相符。提示EIV已成为聊城大型毛驴养殖场的重要威胁,必须对输入区威胁保持警惕。
本文章由计算机程序翻译,如有差异,请以英文原文为准。

Detection of the epidemic of the H3N8 subtype of the equine influenza virus in large-scale donkey farms.

Detection of the epidemic of the H3N8 subtype of the equine influenza virus in large-scale donkey farms.

Detection of the epidemic of the H3N8 subtype of the equine influenza virus in large-scale donkey farms.

Detection of the epidemic of the H3N8 subtype of the equine influenza virus in large-scale donkey farms.

To monitor the occurrence of equine influenza in large-scale donkey farms in Liaocheng City, Shandong Province, serological investigation and sequence analysis of HA/M protein gene of equine influenza virus (EIV) were carried out. Samples (n = 65) of the lung and nasal swab were collected in six different large-scale donkey farms and detected with RT-PCR for HA and M protein gene. The homology and evolution of HA and M genes were analysed with known sequences. Antibody titres of serum samples (n = 120, unvaccinated) level was determined by the HI test. The average seropositive rate was 32.5% (39/120) with great diversity among different populations. The positive rate of EIV HA/M protein gene was 21.5% (14/65) by RT-PCR. The equine influenza H3N8 virus was confirmed by gene sequencing, and the homology of the sequence was 99.77% with isolates from Northeast China (equine/heilongjiang/1/2010), consistent with the input of donkeys. This suggested that EIV has become an important threat to large-scale donkey farms in Liaocheng and threats from the input area must be vigilant.

求助全文
通过发布文献求助,成功后即可免费获取论文全文。 去求助
来源期刊
CiteScore
4.80
自引率
0.00%
发文量
12
审稿时长
24 weeks
×
引用
GB/T 7714-2015
复制
MLA
复制
APA
复制
导出至
BibTeX EndNote RefMan NoteFirst NoteExpress
×
提示
您的信息不完整,为了账户安全,请先补充。
现在去补充
×
提示
您因"违规操作"
具体请查看互助需知
我知道了
×
提示
确定
请完成安全验证×
copy
已复制链接
快去分享给好友吧!
我知道了
右上角分享
点击右上角分享
0
联系我们:info@booksci.cn Book学术提供免费学术资源搜索服务,方便国内外学者检索中英文文献。致力于提供最便捷和优质的服务体验。 Copyright © 2023 布克学术 All rights reserved.
京ICP备2023020795号-1
ghs 京公网安备 11010802042870号
Book学术文献互助
Book学术文献互助群
群 号:604180095
Book学术官方微信