无创通气与容量保证压力支持在神经痛性肌萎缩伴双侧膈肌麻痹中的应用。

Q3 Medicine
Open Respiratory Medicine Journal Pub Date : 2019-07-08 eCollection Date: 2019-01-01 DOI:10.2174/1874306401913010045
Montserrat Diaz-Abad, Neil Porter, Lindsay Zilliox, Nevins Todd
{"title":"无创通气与容量保证压力支持在神经痛性肌萎缩伴双侧膈肌麻痹中的应用。","authors":"Montserrat Diaz-Abad,&nbsp;Neil Porter,&nbsp;Lindsay Zilliox,&nbsp;Nevins Todd","doi":"10.2174/1874306401913010045","DOIUrl":null,"url":null,"abstract":"<p><p>Neuralgic Amyotrophy (NA) is a rare, acute onset inflammatory brachial plexopathy that frequently presents with acute pain followed by shoulder girdle muscle weakness. Phrenic nerve involvement affecting the diaphragms occurs in 7-10% of cases. We present the case of a 52-year-old man with neuralgic amyotrophy with phrenic nerve involvement and bilateral diaphragmatic paralysis with marked respiratory symptoms and sleep hypoventilation, who was treated with non-invasive ventilation with volume assured pressure support mode. By 21 months post disease onset, the patient had experienced marked improvement in orthopnea, sleep quality and functional status. This is the first reported case of the use of this mode of noninvasive ventilation in neuralgic amyotrophy.</p>","PeriodicalId":39127,"journal":{"name":"Open Respiratory Medicine Journal","volume":"13 ","pages":"45-47"},"PeriodicalIF":0.0000,"publicationDate":"2019-07-08","publicationTypes":"Journal Article","fieldsOfStudy":null,"isOpenAccess":false,"openAccessPdf":"https://ftp.ncbi.nlm.nih.gov/pub/pmc/oa_pdf/e5/49/TORMJ-13-45.PMC6918536.pdf","citationCount":"0","resultStr":"{\"title\":\"Use of Noninvasive Ventilation with Volume-Assured Pressure Support in Neuralgic Amyotrophy with Bilateral Diaphragmatic Paralysis.\",\"authors\":\"Montserrat Diaz-Abad,&nbsp;Neil Porter,&nbsp;Lindsay Zilliox,&nbsp;Nevins Todd\",\"doi\":\"10.2174/1874306401913010045\",\"DOIUrl\":null,\"url\":null,\"abstract\":\"<p><p>Neuralgic Amyotrophy (NA) is a rare, acute onset inflammatory brachial plexopathy that frequently presents with acute pain followed by shoulder girdle muscle weakness. Phrenic nerve involvement affecting the diaphragms occurs in 7-10% of cases. We present the case of a 52-year-old man with neuralgic amyotrophy with phrenic nerve involvement and bilateral diaphragmatic paralysis with marked respiratory symptoms and sleep hypoventilation, who was treated with non-invasive ventilation with volume assured pressure support mode. By 21 months post disease onset, the patient had experienced marked improvement in orthopnea, sleep quality and functional status. This is the first reported case of the use of this mode of noninvasive ventilation in neuralgic amyotrophy.</p>\",\"PeriodicalId\":39127,\"journal\":{\"name\":\"Open Respiratory Medicine Journal\",\"volume\":\"13 \",\"pages\":\"45-47\"},\"PeriodicalIF\":0.0000,\"publicationDate\":\"2019-07-08\",\"publicationTypes\":\"Journal Article\",\"fieldsOfStudy\":null,\"isOpenAccess\":false,\"openAccessPdf\":\"https://ftp.ncbi.nlm.nih.gov/pub/pmc/oa_pdf/e5/49/TORMJ-13-45.PMC6918536.pdf\",\"citationCount\":\"0\",\"resultStr\":null,\"platform\":\"Semanticscholar\",\"paperid\":null,\"PeriodicalName\":\"Open Respiratory Medicine Journal\",\"FirstCategoryId\":\"1085\",\"ListUrlMain\":\"https://doi.org/10.2174/1874306401913010045\",\"RegionNum\":0,\"RegionCategory\":null,\"ArticlePicture\":[],\"TitleCN\":null,\"AbstractTextCN\":null,\"PMCID\":null,\"EPubDate\":\"2019/1/1 0:00:00\",\"PubModel\":\"eCollection\",\"JCR\":\"Q3\",\"JCRName\":\"Medicine\",\"Score\":null,\"Total\":0}","platform":"Semanticscholar","paperid":null,"PeriodicalName":"Open Respiratory Medicine Journal","FirstCategoryId":"1085","ListUrlMain":"https://doi.org/10.2174/1874306401913010045","RegionNum":0,"RegionCategory":null,"ArticlePicture":[],"TitleCN":null,"AbstractTextCN":null,"PMCID":null,"EPubDate":"2019/1/1 0:00:00","PubModel":"eCollection","JCR":"Q3","JCRName":"Medicine","Score":null,"Total":0}
引用次数: 0

摘要

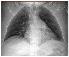
神经痛性肌萎缩症(NA)是一种罕见的、急性发作的炎症性臂丛病,通常表现为急性疼痛,然后是肩带肌无力。膈神经受累影响膈发生在7-10%的病例。我们报告一名52岁男性,患有神经性肌萎缩伴膈神经受累和双侧膈肌麻痹,伴有明显的呼吸症状和睡眠低通气,采用无创通气和容量保证压力支持模式治疗。发病21个月后,患者在骨科、睡眠质量和功能状态方面均有明显改善。这是首次报道的使用这种无创通气模式治疗神经性肌萎缩症的病例。
本文章由计算机程序翻译,如有差异,请以英文原文为准。

Use of Noninvasive Ventilation with Volume-Assured Pressure Support in Neuralgic Amyotrophy with Bilateral Diaphragmatic Paralysis.

Use of Noninvasive Ventilation with Volume-Assured Pressure Support in Neuralgic Amyotrophy with Bilateral Diaphragmatic Paralysis.

Neuralgic Amyotrophy (NA) is a rare, acute onset inflammatory brachial plexopathy that frequently presents with acute pain followed by shoulder girdle muscle weakness. Phrenic nerve involvement affecting the diaphragms occurs in 7-10% of cases. We present the case of a 52-year-old man with neuralgic amyotrophy with phrenic nerve involvement and bilateral diaphragmatic paralysis with marked respiratory symptoms and sleep hypoventilation, who was treated with non-invasive ventilation with volume assured pressure support mode. By 21 months post disease onset, the patient had experienced marked improvement in orthopnea, sleep quality and functional status. This is the first reported case of the use of this mode of noninvasive ventilation in neuralgic amyotrophy.

求助全文
通过发布文献求助,成功后即可免费获取论文全文。 去求助
来源期刊
Open Respiratory Medicine Journal
Open Respiratory Medicine Journal Medicine-Pulmonary and Respiratory Medicine
CiteScore
1.70
自引率
0.00%
发文量
17
期刊介绍: The Open Respiratory Medicine Journal is an Open Access online journal, which publishes research articles, reviews/mini-reviews, letters and guest edited single topic issues in all important areas of experimental and clinical research in respiratory medicine. Topics covered include: -COPD- Occupational disorders, and the role of allergens and pollutants- Asthma- Allergy- Non-invasive ventilation- Therapeutic intervention- Lung cancer- Lung infections respiratory diseases- Therapeutic interventions- Adult and paediatric medicine- Cell biology. The Open Respiratory Medicine Journal, a peer reviewed journal, is an important and reliable source of current information on important recent developments in the field. The emphasis will be on publishing quality articles rapidly and making them freely available worldwide.
×
引用
GB/T 7714-2015
复制
MLA
复制
APA
复制
导出至
BibTeX EndNote RefMan NoteFirst NoteExpress
×
提示
您的信息不完整,为了账户安全,请先补充。
现在去补充
×
提示
您因"违规操作"
具体请查看互助需知
我知道了
×
提示
确定
请完成安全验证×
copy
已复制链接
快去分享给好友吧!
我知道了
右上角分享
点击右上角分享
0
联系我们:info@booksci.cn Book学术提供免费学术资源搜索服务,方便国内外学者检索中英文文献。致力于提供最便捷和优质的服务体验。 Copyright © 2023 布克学术 All rights reserved.
京ICP备2023020795号-1
ghs 京公网安备 11010802042870号
Book学术文献互助
Book学术文献互助群
群 号:604180095
Book学术官方微信