有或无上颈椎形态偏差的阻塞性睡眠呼吸暂停患者的咽气道尺寸和头部姿势。

Journal of Oral & Maxillofacial Research Pub Date : 2017-09-30 eCollection Date: 2017-07-01 DOI:10.5037/jomr.2017.8304
Liselotte Sonnesen, Arne Petersson, Søren Berg, Palle Svanholt
{"title":"有或无上颈椎形态偏差的阻塞性睡眠呼吸暂停患者的咽气道尺寸和头部姿势。","authors":"Liselotte Sonnesen,&nbsp;Arne Petersson,&nbsp;Søren Berg,&nbsp;Palle Svanholt","doi":"10.5037/jomr.2017.8304","DOIUrl":null,"url":null,"abstract":"<p><strong>Objectives: </strong>The aim of the study was to analyse differences in pharyngeal airway dimensions and head posture between obstructive sleep apnea patients with and without morphological deviations in the upper cervical spine and to analyse associations between pharyngeal airway dimensions and head posture in the total sample.</p><p><strong>Material and methods: </strong>The sample comprised 53 obstructive sleep apnea (OSA) patients of which 32.1% had upper spine morphological deviations. Accordingly two groups were defined: 17 OSA patients with morphological deviations in the upper spine and 36 without upper spine deviations. Pharyngeal airway dimensions in terms of distances, cross-sectional areas and volume and upper spine morphological deviations were evaluated on cone-beam computed tomography. Head posture was evaluated on two-dimensional generated lateral cephalograms. Differences were analysed and adjusted for age and gender by multiple linear regression analysis.</p><p><strong>Results: </strong>OSA patients with upper spine morphological deviations had a significantly more backward and curved neck posture (OPT/HOR, P < 0.01; OPT/CVT, P < 0.05) compared to OSA patients without spine deviations. No significant differences were found in airway dimensions between patients with and without upper spine deviations. In the total group significant associations were found between head posture and pharyngeal airway distances and cross-sectional area at the nasal floor, epiglottis and hyoid bone level (P < 0.05, P < 0.01, P < 0.001). No significant association was found between head posture and airway volume.</p><p><strong>Conclusions: </strong>The results may contribute to differentiate obstructive sleep apnea patients and thereby may prove valuable in diagnosis and treatment planning of obstructive sleep apnea patients.</p>","PeriodicalId":230885,"journal":{"name":"Journal of Oral & Maxillofacial Research","volume":"8 3","pages":"e4"},"PeriodicalIF":0.0000,"publicationDate":"2017-09-30","publicationTypes":"Journal Article","fieldsOfStudy":null,"isOpenAccess":false,"openAccessPdf":"https://sci-hub-pdf.com/10.5037/jomr.2017.8304","citationCount":"14","resultStr":"{\"title\":\"Pharyngeal Airway Dimensions and Head Posture in Obstructive Sleep Apnea Patients with and without Morphological Deviations in the Upper Cervical Spine.\",\"authors\":\"Liselotte Sonnesen,&nbsp;Arne Petersson,&nbsp;Søren Berg,&nbsp;Palle Svanholt\",\"doi\":\"10.5037/jomr.2017.8304\",\"DOIUrl\":null,\"url\":null,\"abstract\":\"<p><strong>Objectives: </strong>The aim of the study was to analyse differences in pharyngeal airway dimensions and head posture between obstructive sleep apnea patients with and without morphological deviations in the upper cervical spine and to analyse associations between pharyngeal airway dimensions and head posture in the total sample.</p><p><strong>Material and methods: </strong>The sample comprised 53 obstructive sleep apnea (OSA) patients of which 32.1% had upper spine morphological deviations. Accordingly two groups were defined: 17 OSA patients with morphological deviations in the upper spine and 36 without upper spine deviations. Pharyngeal airway dimensions in terms of distances, cross-sectional areas and volume and upper spine morphological deviations were evaluated on cone-beam computed tomography. Head posture was evaluated on two-dimensional generated lateral cephalograms. Differences were analysed and adjusted for age and gender by multiple linear regression analysis.</p><p><strong>Results: </strong>OSA patients with upper spine morphological deviations had a significantly more backward and curved neck posture (OPT/HOR, P < 0.01; OPT/CVT, P < 0.05) compared to OSA patients without spine deviations. No significant differences were found in airway dimensions between patients with and without upper spine deviations. In the total group significant associations were found between head posture and pharyngeal airway distances and cross-sectional area at the nasal floor, epiglottis and hyoid bone level (P < 0.05, P < 0.01, P < 0.001). No significant association was found between head posture and airway volume.</p><p><strong>Conclusions: </strong>The results may contribute to differentiate obstructive sleep apnea patients and thereby may prove valuable in diagnosis and treatment planning of obstructive sleep apnea patients.</p>\",\"PeriodicalId\":230885,\"journal\":{\"name\":\"Journal of Oral & Maxillofacial Research\",\"volume\":\"8 3\",\"pages\":\"e4\"},\"PeriodicalIF\":0.0000,\"publicationDate\":\"2017-09-30\",\"publicationTypes\":\"Journal Article\",\"fieldsOfStudy\":null,\"isOpenAccess\":false,\"openAccessPdf\":\"https://sci-hub-pdf.com/10.5037/jomr.2017.8304\",\"citationCount\":\"14\",\"resultStr\":null,\"platform\":\"Semanticscholar\",\"paperid\":null,\"PeriodicalName\":\"Journal of Oral & Maxillofacial Research\",\"FirstCategoryId\":\"1085\",\"ListUrlMain\":\"https://doi.org/10.5037/jomr.2017.8304\",\"RegionNum\":0,\"RegionCategory\":null,\"ArticlePicture\":[],\"TitleCN\":null,\"AbstractTextCN\":null,\"PMCID\":null,\"EPubDate\":\"2017/7/1 0:00:00\",\"PubModel\":\"eCollection\",\"JCR\":\"\",\"JCRName\":\"\",\"Score\":null,\"Total\":0}","platform":"Semanticscholar","paperid":null,"PeriodicalName":"Journal of Oral & Maxillofacial Research","FirstCategoryId":"1085","ListUrlMain":"https://doi.org/10.5037/jomr.2017.8304","RegionNum":0,"RegionCategory":null,"ArticlePicture":[],"TitleCN":null,"AbstractTextCN":null,"PMCID":null,"EPubDate":"2017/7/1 0:00:00","PubModel":"eCollection","JCR":"","JCRName":"","Score":null,"Total":0}
引用次数: 14

摘要

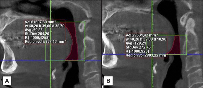
目的:本研究的目的是分析有和没有上颈椎形态偏差的阻塞性睡眠呼吸暂停患者咽气道尺寸和头部姿势的差异,并分析总样本中咽气道尺寸和头部姿势之间的关系。材料与方法:梗阻性睡眠呼吸暂停(OSA)患者53例,其中32.1%存在上脊柱形态偏差。据此将OSA患者分为两组:有上脊柱形态偏差的患者17例,无上脊柱偏差的患者36例。在锥形束计算机断层扫描上评估咽气道的距离、横截面积、体积和上脊柱形态偏差。通过生成的二维侧位脑电图评估头部姿势。采用多元线性回归分析对年龄和性别的差异进行分析和校正。结果:OSA上脊柱形态偏差患者颈后弯姿势明显增多(OPT/HOR, P < 0.01;与无脊柱偏差的OSA患者相比,OPT/CVT, P < 0.05)。在有和没有上脊柱偏差的患者之间,气道尺寸没有明显差异。在总组中,头位与咽部气道距离、鼻底横截面积、会厌和舌骨水平有显著相关(P < 0.05, P < 0.01, P < 0.001)。头部姿势和气道容积之间没有明显的联系。结论:该结果有助于对阻塞性睡眠呼吸暂停患者的鉴别,对阻塞性睡眠呼吸暂停患者的诊断和治疗方案有一定的参考价值。
本文章由计算机程序翻译,如有差异,请以英文原文为准。

Pharyngeal Airway Dimensions and Head Posture in Obstructive Sleep Apnea Patients with and without Morphological Deviations in the Upper Cervical Spine.

Pharyngeal Airway Dimensions and Head Posture in Obstructive Sleep Apnea Patients with and without Morphological Deviations in the Upper Cervical Spine.

Pharyngeal Airway Dimensions and Head Posture in Obstructive Sleep Apnea Patients with and without Morphological Deviations in the Upper Cervical Spine.

Pharyngeal Airway Dimensions and Head Posture in Obstructive Sleep Apnea Patients with and without Morphological Deviations in the Upper Cervical Spine.

Objectives: The aim of the study was to analyse differences in pharyngeal airway dimensions and head posture between obstructive sleep apnea patients with and without morphological deviations in the upper cervical spine and to analyse associations between pharyngeal airway dimensions and head posture in the total sample.

Material and methods: The sample comprised 53 obstructive sleep apnea (OSA) patients of which 32.1% had upper spine morphological deviations. Accordingly two groups were defined: 17 OSA patients with morphological deviations in the upper spine and 36 without upper spine deviations. Pharyngeal airway dimensions in terms of distances, cross-sectional areas and volume and upper spine morphological deviations were evaluated on cone-beam computed tomography. Head posture was evaluated on two-dimensional generated lateral cephalograms. Differences were analysed and adjusted for age and gender by multiple linear regression analysis.

Results: OSA patients with upper spine morphological deviations had a significantly more backward and curved neck posture (OPT/HOR, P < 0.01; OPT/CVT, P < 0.05) compared to OSA patients without spine deviations. No significant differences were found in airway dimensions between patients with and without upper spine deviations. In the total group significant associations were found between head posture and pharyngeal airway distances and cross-sectional area at the nasal floor, epiglottis and hyoid bone level (P < 0.05, P < 0.01, P < 0.001). No significant association was found between head posture and airway volume.

Conclusions: The results may contribute to differentiate obstructive sleep apnea patients and thereby may prove valuable in diagnosis and treatment planning of obstructive sleep apnea patients.

求助全文
通过发布文献求助,成功后即可免费获取论文全文。 去求助
来源期刊
自引率
0.00%
发文量
0
×
引用
GB/T 7714-2015
复制
MLA
复制
APA
复制
导出至
BibTeX EndNote RefMan NoteFirst NoteExpress
×
提示
您的信息不完整,为了账户安全,请先补充。
现在去补充
×
提示
您因"违规操作"
具体请查看互助需知
我知道了
×
提示
确定
请完成安全验证×
copy
已复制链接
快去分享给好友吧!
我知道了
右上角分享
点击右上角分享
0
联系我们:info@booksci.cn Book学术提供免费学术资源搜索服务,方便国内外学者检索中英文文献。致力于提供最便捷和优质的服务体验。 Copyright © 2023 布克学术 All rights reserved.
京ICP备2023020795号-1
ghs 京公网安备 11010802042870号
Book学术文献互助
Book学术文献互助群
群 号:604180095
Book学术官方微信