后磨牙管与巴西人的年龄、侧边、性别、下颌双裂管和副精神孔的相关性。

Anatomy research international Pub Date : 2015-01-01 Epub Date: 2015-08-20 DOI:10.1155/2015/434083
Ticiana Sidorenko de O Capote, Marcela de Almeida Gonçalves, Juliana Álvares Duarte Bonini Campos
{"title":"后磨牙管与巴西人的年龄、侧边、性别、下颌双裂管和副精神孔的相关性。","authors":"Ticiana Sidorenko de O Capote,&nbsp;Marcela de Almeida Gonçalves,&nbsp;Juliana Álvares Duarte Bonini Campos","doi":"10.1155/2015/434083","DOIUrl":null,"url":null,"abstract":"<p><p>Background. The retromolar canal (RMC) is an anatomical variation that can cause complications in dental procedures. Method. The RMC was evaluated according to age, sex, and presence of accessory mandibular canal and accessory mental foramen, on both sides in 500 panoramic radiographs, belonging to individuals at the age of 7 to 20 years. The associations of interest were studied through Fisher's Exact Test and Pearson's Chi-Square Test, and the correlation was studied through Pearson's Correlation Coefficient (r). The significance level used was 5%. Results. The RMC was observed in 44 radiographs (8.8%), and out of those 24 were females. There was no statistically significant association between the RMC and age (p > 0.05; Fisher's Exact Test), sex (p = 0.787; Pearson's Chi-Square Test), amount of mandibular canals and mental foramina, on both sides (p > 0.05; Pearson's Chi-Square Test). There was a significant association between RMC and side, the higher frequency of the canal being on the right side (p < 0.05; Fisher's Exact Test). Conclusions. Despite the low occurrence of the RMC, its identification and the verification of its dimensions and path are relevant, mainly in cases when anesthetic and surgical procedures can present failures or difficulties. </p>","PeriodicalId":89526,"journal":{"name":"Anatomy research international","volume":"2015 ","pages":"434083"},"PeriodicalIF":0.0000,"publicationDate":"2015-01-01","publicationTypes":"Journal Article","fieldsOfStudy":null,"isOpenAccess":false,"openAccessPdf":"https://sci-hub-pdf.com/10.1155/2015/434083","citationCount":"31","resultStr":"{\"title\":\"Retromolar Canal Associated with Age, Side, Sex, Bifid Mandibular Canal, and Accessory Mental Foramen in Panoramic Radiographs of Brazilians.\",\"authors\":\"Ticiana Sidorenko de O Capote,&nbsp;Marcela de Almeida Gonçalves,&nbsp;Juliana Álvares Duarte Bonini Campos\",\"doi\":\"10.1155/2015/434083\",\"DOIUrl\":null,\"url\":null,\"abstract\":\"<p><p>Background. The retromolar canal (RMC) is an anatomical variation that can cause complications in dental procedures. Method. The RMC was evaluated according to age, sex, and presence of accessory mandibular canal and accessory mental foramen, on both sides in 500 panoramic radiographs, belonging to individuals at the age of 7 to 20 years. The associations of interest were studied through Fisher's Exact Test and Pearson's Chi-Square Test, and the correlation was studied through Pearson's Correlation Coefficient (r). The significance level used was 5%. Results. The RMC was observed in 44 radiographs (8.8%), and out of those 24 were females. There was no statistically significant association between the RMC and age (p > 0.05; Fisher's Exact Test), sex (p = 0.787; Pearson's Chi-Square Test), amount of mandibular canals and mental foramina, on both sides (p > 0.05; Pearson's Chi-Square Test). There was a significant association between RMC and side, the higher frequency of the canal being on the right side (p < 0.05; Fisher's Exact Test). Conclusions. Despite the low occurrence of the RMC, its identification and the verification of its dimensions and path are relevant, mainly in cases when anesthetic and surgical procedures can present failures or difficulties. </p>\",\"PeriodicalId\":89526,\"journal\":{\"name\":\"Anatomy research international\",\"volume\":\"2015 \",\"pages\":\"434083\"},\"PeriodicalIF\":0.0000,\"publicationDate\":\"2015-01-01\",\"publicationTypes\":\"Journal Article\",\"fieldsOfStudy\":null,\"isOpenAccess\":false,\"openAccessPdf\":\"https://sci-hub-pdf.com/10.1155/2015/434083\",\"citationCount\":\"31\",\"resultStr\":null,\"platform\":\"Semanticscholar\",\"paperid\":null,\"PeriodicalName\":\"Anatomy research international\",\"FirstCategoryId\":\"1085\",\"ListUrlMain\":\"https://doi.org/10.1155/2015/434083\",\"RegionNum\":0,\"RegionCategory\":null,\"ArticlePicture\":[],\"TitleCN\":null,\"AbstractTextCN\":null,\"PMCID\":null,\"EPubDate\":\"2015/8/20 0:00:00\",\"PubModel\":\"Epub\",\"JCR\":\"\",\"JCRName\":\"\",\"Score\":null,\"Total\":0}","platform":"Semanticscholar","paperid":null,"PeriodicalName":"Anatomy research international","FirstCategoryId":"1085","ListUrlMain":"https://doi.org/10.1155/2015/434083","RegionNum":0,"RegionCategory":null,"ArticlePicture":[],"TitleCN":null,"AbstractTextCN":null,"PMCID":null,"EPubDate":"2015/8/20 0:00:00","PubModel":"Epub","JCR":"","JCRName":"","Score":null,"Total":0}
引用次数: 31

摘要

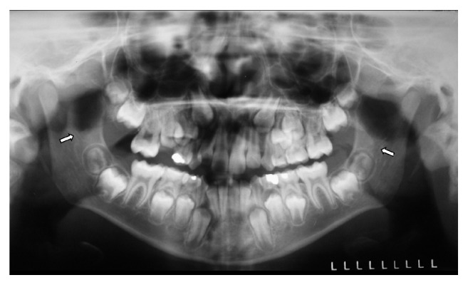
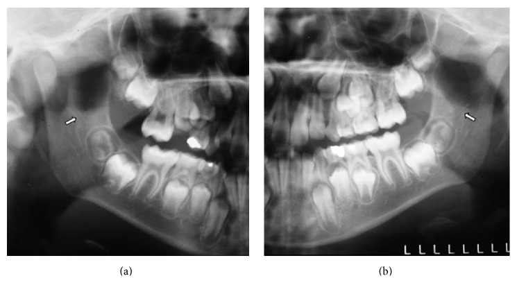
背景。后磨牙管(RMC)是一种解剖变异,可引起牙科手术并发症。方法。根据年龄、性别、两侧下颌副管和下颌副孔的存在情况对500张全景x线片进行RMC评估,这些x线片属于7至20岁的个体。通过Fisher精确检验和Pearson卡方检验研究感兴趣的相关性,通过Pearson相关系数(r)研究相关性,使用显著性水平为5%。结果。44张x线片(8.8%)观察到RMC,其中24位为女性。RMC与年龄无统计学意义(p > 0.05);Fisher精确检验)、性别(p = 0.787;Pearson's Chi-Square检验)、两侧下颌管和颏孔数量(p > 0.05;皮尔逊卡方检验)。RMC与侧位有显著相关性,右侧根管频率较高(p < 0.05;费雪精确检验)。结论。尽管RMC的发生率很低,但其识别和确认其尺寸和路径是相关的,主要是在麻醉和外科手术可能出现失败或困难的情况下。
本文章由计算机程序翻译,如有差异,请以英文原文为准。

Retromolar Canal Associated with Age, Side, Sex, Bifid Mandibular Canal, and Accessory Mental Foramen in Panoramic Radiographs of Brazilians.

Retromolar Canal Associated with Age, Side, Sex, Bifid Mandibular Canal, and Accessory Mental Foramen in Panoramic Radiographs of Brazilians.

Retromolar Canal Associated with Age, Side, Sex, Bifid Mandibular Canal, and Accessory Mental Foramen in Panoramic Radiographs of Brazilians.

Background. The retromolar canal (RMC) is an anatomical variation that can cause complications in dental procedures. Method. The RMC was evaluated according to age, sex, and presence of accessory mandibular canal and accessory mental foramen, on both sides in 500 panoramic radiographs, belonging to individuals at the age of 7 to 20 years. The associations of interest were studied through Fisher's Exact Test and Pearson's Chi-Square Test, and the correlation was studied through Pearson's Correlation Coefficient (r). The significance level used was 5%. Results. The RMC was observed in 44 radiographs (8.8%), and out of those 24 were females. There was no statistically significant association between the RMC and age (p > 0.05; Fisher's Exact Test), sex (p = 0.787; Pearson's Chi-Square Test), amount of mandibular canals and mental foramina, on both sides (p > 0.05; Pearson's Chi-Square Test). There was a significant association between RMC and side, the higher frequency of the canal being on the right side (p < 0.05; Fisher's Exact Test). Conclusions. Despite the low occurrence of the RMC, its identification and the verification of its dimensions and path are relevant, mainly in cases when anesthetic and surgical procedures can present failures or difficulties.

求助全文
通过发布文献求助,成功后即可免费获取论文全文。 去求助
来源期刊
自引率
0.00%
发文量
0
×
引用
GB/T 7714-2015
复制
MLA
复制
APA
复制
导出至
BibTeX EndNote RefMan NoteFirst NoteExpress
×
提示
您的信息不完整,为了账户安全,请先补充。
现在去补充
×
提示
您因"违规操作"
具体请查看互助需知
我知道了
×
提示
确定
请完成安全验证×
copy
已复制链接
快去分享给好友吧!
我知道了
右上角分享
点击右上角分享
0
联系我们:info@booksci.cn Book学术提供免费学术资源搜索服务,方便国内外学者检索中英文文献。致力于提供最便捷和优质的服务体验。 Copyright © 2023 布克学术 All rights reserved.
京ICP备2023020795号-1
ghs 京公网安备 11010802042870号
Book学术文献互助
Book学术文献互助群
群 号:604180095
Book学术官方微信