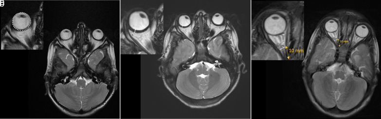
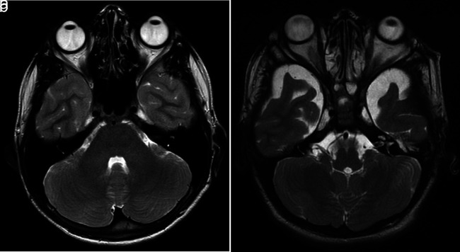
粘多糖病VI型患儿眼壁厚度增加,眼球体积减小。

IF 1.7 4区 医学 Q2 Medicine
Ozlem Ozkale Yavuz, Ercan Ayaz, Yılmaz Yıldız, Ayca Akgoz Karaosmanoglu, Elif Bulut, H Serap Kalkanoglu Sivri, Kader K Oguz
{"title":"粘多糖病VI型患儿眼壁厚度增加,眼球体积减小。","authors":"Ozlem Ozkale Yavuz,&nbsp;Ercan Ayaz,&nbsp;Yılmaz Yıldız,&nbsp;Ayca Akgoz Karaosmanoglu,&nbsp;Elif Bulut,&nbsp;H Serap Kalkanoglu Sivri,&nbsp;Kader K Oguz","doi":"10.5152/dir.2022.21372","DOIUrl":null,"url":null,"abstract":"<p><p>PURPOSE lthough clinical ophthalmologic findings have been reported, no study documented magnetic resonance imaging (MRI) findings in mucopolysaccharidosis (MPS) type VI. The aim of this study was to determine the ophthalmologic imaging findings of MPS type VI in the pediatric age group retrospectively. METHODS Brain MRIs of 10 patients with MPS type VI and 49 healthy children were evaluated independently by two pediatric radiologists for the following characteristics: globe volume, ocular wall thickness, and optic nerve sheath diameter for each orbit. The means of the measurement of each group were compared by using an independent t-test. Agreement and bias between reviewers were assessed by intra-class correlation coefficients (ICC). RESULTS A total of 59 children [32 girls (54.23%), 27 boys (45.77%); age range, 4-16 years; mean age, 10.37 ± 3.73 years] were included in the study. Statistical analysis revealed smaller eyeballs and thicker ocular walls of patients with MPS type VI (P < .001 and P < .001, respectively). However, there was no statistically significant difference in terms of optic nerve sheath diameter between the two groups (P=.648). CONCLUSION Patients with MPS type VI displayed reduced globe volumes and increased ocular wall thicknesses compared to the healthy children. Therefore, we recommend that ophthalmologic imaging findings might prove to be an auxiliary tool in the diagnosis of MPS patients.</p>","PeriodicalId":50582,"journal":{"name":"Diagnostic and Interventional Radiology","volume":" ","pages":"516-521"},"PeriodicalIF":1.7000,"publicationDate":"2022-09-01","publicationTypes":"Journal Article","fieldsOfStudy":null,"isOpenAccess":false,"openAccessPdf":"https://ftp.ncbi.nlm.nih.gov/pub/pmc/oa_pdf/48/62/dir-28-5-516.PMC9682595.pdf","citationCount":"0","resultStr":"{\"title\":\"Increased ocular wall thickness and decreased globe volume in children with mucopolysaccharidosis type VI.\",\"authors\":\"Ozlem Ozkale Yavuz,&nbsp;Ercan Ayaz,&nbsp;Yılmaz Yıldız,&nbsp;Ayca Akgoz Karaosmanoglu,&nbsp;Elif Bulut,&nbsp;H Serap Kalkanoglu Sivri,&nbsp;Kader K Oguz\",\"doi\":\"10.5152/dir.2022.21372\",\"DOIUrl\":null,\"url\":null,\"abstract\":\"<p><p>PURPOSE lthough clinical ophthalmologic findings have been reported, no study documented magnetic resonance imaging (MRI) findings in mucopolysaccharidosis (MPS) type VI. The aim of this study was to determine the ophthalmologic imaging findings of MPS type VI in the pediatric age group retrospectively. METHODS Brain MRIs of 10 patients with MPS type VI and 49 healthy children were evaluated independently by two pediatric radiologists for the following characteristics: globe volume, ocular wall thickness, and optic nerve sheath diameter for each orbit. The means of the measurement of each group were compared by using an independent t-test. Agreement and bias between reviewers were assessed by intra-class correlation coefficients (ICC). RESULTS A total of 59 children [32 girls (54.23%), 27 boys (45.77%); age range, 4-16 years; mean age, 10.37 ± 3.73 years] were included in the study. Statistical analysis revealed smaller eyeballs and thicker ocular walls of patients with MPS type VI (P < .001 and P < .001, respectively). However, there was no statistically significant difference in terms of optic nerve sheath diameter between the two groups (P=.648). CONCLUSION Patients with MPS type VI displayed reduced globe volumes and increased ocular wall thicknesses compared to the healthy children. Therefore, we recommend that ophthalmologic imaging findings might prove to be an auxiliary tool in the diagnosis of MPS patients.</p>\",\"PeriodicalId\":50582,\"journal\":{\"name\":\"Diagnostic and Interventional Radiology\",\"volume\":\" \",\"pages\":\"516-521\"},\"PeriodicalIF\":1.7000,\"publicationDate\":\"2022-09-01\",\"publicationTypes\":\"Journal Article\",\"fieldsOfStudy\":null,\"isOpenAccess\":false,\"openAccessPdf\":\"https://ftp.ncbi.nlm.nih.gov/pub/pmc/oa_pdf/48/62/dir-28-5-516.PMC9682595.pdf\",\"citationCount\":\"0\",\"resultStr\":null,\"platform\":\"Semanticscholar\",\"paperid\":null,\"PeriodicalName\":\"Diagnostic and Interventional Radiology\",\"FirstCategoryId\":\"3\",\"ListUrlMain\":\"https://doi.org/10.5152/dir.2022.21372\",\"RegionNum\":4,\"RegionCategory\":\"医学\",\"ArticlePicture\":[],\"TitleCN\":null,\"AbstractTextCN\":null,\"PMCID\":null,\"EPubDate\":\"\",\"PubModel\":\"\",\"JCR\":\"Q2\",\"JCRName\":\"Medicine\",\"Score\":null,\"Total\":0}","platform":"Semanticscholar","paperid":null,"PeriodicalName":"Diagnostic and Interventional Radiology","FirstCategoryId":"3","ListUrlMain":"https://doi.org/10.5152/dir.2022.21372","RegionNum":4,"RegionCategory":"医学","ArticlePicture":[],"TitleCN":null,"AbstractTextCN":null,"PMCID":null,"EPubDate":"","PubModel":"","JCR":"Q2","JCRName":"Medicine","Score":null,"Total":0}
引用次数: 0

摘要

虽然有临床眼科表现的报道,但没有研究记录粘多糖病(MPS) VI型的磁共振成像(MRI)表现。本研究的目的是回顾性确定儿科年龄组粘多糖病(MPS) VI型的眼科影像学表现。方法由两名儿科放射科医生独立评估10例MPS VI型患者和49名健康儿童的脑mri,评估其眼眶体积、眼壁厚度和视神经鞘直径。各组的测量均数采用独立t检验进行比较。通过类内相关系数(ICC)评估评论者之间的一致性和偏倚。结果共59例患儿[女孩32例(54.23%),男孩27例(45.77%);年龄范围4-16岁;平均年龄(10.37±3.73岁)。统计分析显示,MPS VI型患者眼球较小,眼壁较厚(P < 0.001和P < 0.001)。两组视神经鞘直径比较差异无统计学意义(P=.648)。结论与健康儿童相比,MPS VI型患者眼球体积减小,眼壁厚度增加。因此,我们建议眼科影像学结果可能被证明是诊断MPS患者的辅助工具。
本文章由计算机程序翻译,如有差异,请以英文原文为准。

Increased ocular wall thickness and decreased globe volume in children with mucopolysaccharidosis type VI.

Increased ocular wall thickness and decreased globe volume in children with mucopolysaccharidosis type VI.

Increased ocular wall thickness and decreased globe volume in children with mucopolysaccharidosis type VI.

Increased ocular wall thickness and decreased globe volume in children with mucopolysaccharidosis type VI.

PURPOSE lthough clinical ophthalmologic findings have been reported, no study documented magnetic resonance imaging (MRI) findings in mucopolysaccharidosis (MPS) type VI. The aim of this study was to determine the ophthalmologic imaging findings of MPS type VI in the pediatric age group retrospectively. METHODS Brain MRIs of 10 patients with MPS type VI and 49 healthy children were evaluated independently by two pediatric radiologists for the following characteristics: globe volume, ocular wall thickness, and optic nerve sheath diameter for each orbit. The means of the measurement of each group were compared by using an independent t-test. Agreement and bias between reviewers were assessed by intra-class correlation coefficients (ICC). RESULTS A total of 59 children [32 girls (54.23%), 27 boys (45.77%); age range, 4-16 years; mean age, 10.37 ± 3.73 years] were included in the study. Statistical analysis revealed smaller eyeballs and thicker ocular walls of patients with MPS type VI (P < .001 and P < .001, respectively). However, there was no statistically significant difference in terms of optic nerve sheath diameter between the two groups (P=.648). CONCLUSION Patients with MPS type VI displayed reduced globe volumes and increased ocular wall thicknesses compared to the healthy children. Therefore, we recommend that ophthalmologic imaging findings might prove to be an auxiliary tool in the diagnosis of MPS patients.

求助全文
通过发布文献求助,成功后即可免费获取论文全文。 去求助
来源期刊
CiteScore
3.50
自引率
4.80%
发文量
69
审稿时长
6-12 weeks
期刊介绍: Diagnostic and Interventional Radiology (Diagn Interv Radiol) is the open access, online-only official publication of Turkish Society of Radiology. It is published bimonthly and the journal’s publication language is English. The journal is a medium for original articles, reviews, pictorial essays, technical notes related to all fields of diagnostic and interventional radiology.
×
引用
GB/T 7714-2015
复制
MLA
复制
APA
复制
导出至
BibTeX EndNote RefMan NoteFirst NoteExpress
×
提示
您的信息不完整,为了账户安全,请先补充。
现在去补充
×
提示
您因"违规操作"
具体请查看互助需知
我知道了
×
提示
确定
请完成安全验证×
copy
已复制链接
快去分享给好友吧!
我知道了
右上角分享
点击右上角分享
0
联系我们:info@booksci.cn Book学术提供免费学术资源搜索服务,方便国内外学者检索中英文文献。致力于提供最便捷和优质的服务体验。 Copyright © 2023 布克学术 All rights reserved.
京ICP备2023020795号-1
ghs 京公网安备 11010802042870号
Book学术文献互助
Book学术文献互助群
群 号:604180095
Book学术官方微信