脑蛛网膜下腔小梁的组织学和形态学。

Anatomy research international Pub Date : 2015-01-01 Epub Date: 2015-05-24 DOI:10.1155/2015/279814
Parisa Saboori, Ali Sadegh
{"title":"脑蛛网膜下腔小梁的组织学和形态学。","authors":"Parisa Saboori,&nbsp;Ali Sadegh","doi":"10.1155/2015/279814","DOIUrl":null,"url":null,"abstract":"<p><p>The interface between the brain and the skull consists of three fibrous tissue layers, dura mater, arachnoid, and pia mater, known as the meninges, and strands of collagen tissues connecting the arachnoid to the pia mater, known as trabeculae. The space between the arachnoid and the pia mater is filled with cerebrospinal fluid which stabilizes the shape and position of the brain during head movements or impacts. The histology and architecture of the subarachnoid space trabeculae in the brain are not well established in the literature. The only recognized fact about the trabeculae is that they are made of collagen fibers surrounded by fibroblast cells and they have pillar- and veil-like structures. In this work the histology and the architecture of the brain trabeculae were studied, via a series of in vivo and in vitro experiments using cadaveric and animal tissue. In the cadaveric study fluorescence and bright field microscopy were employed while scanning and transmission electron microscopy were used for the animal studies. The results of this study reveal that the trabeculae are collagen based type I, and their architecture is in the form of tree-shaped rods, pillars, and plates and, in some regions, they have a complex network morphology. </p>","PeriodicalId":89526,"journal":{"name":"Anatomy research international","volume":"2015 ","pages":"279814"},"PeriodicalIF":0.0000,"publicationDate":"2015-01-01","publicationTypes":"Journal Article","fieldsOfStudy":null,"isOpenAccess":false,"openAccessPdf":"https://sci-hub-pdf.com/10.1155/2015/279814","citationCount":"53","resultStr":"{\"title\":\"Histology and Morphology of the Brain Subarachnoid Trabeculae.\",\"authors\":\"Parisa Saboori,&nbsp;Ali Sadegh\",\"doi\":\"10.1155/2015/279814\",\"DOIUrl\":null,\"url\":null,\"abstract\":\"<p><p>The interface between the brain and the skull consists of three fibrous tissue layers, dura mater, arachnoid, and pia mater, known as the meninges, and strands of collagen tissues connecting the arachnoid to the pia mater, known as trabeculae. The space between the arachnoid and the pia mater is filled with cerebrospinal fluid which stabilizes the shape and position of the brain during head movements or impacts. The histology and architecture of the subarachnoid space trabeculae in the brain are not well established in the literature. The only recognized fact about the trabeculae is that they are made of collagen fibers surrounded by fibroblast cells and they have pillar- and veil-like structures. In this work the histology and the architecture of the brain trabeculae were studied, via a series of in vivo and in vitro experiments using cadaveric and animal tissue. In the cadaveric study fluorescence and bright field microscopy were employed while scanning and transmission electron microscopy were used for the animal studies. The results of this study reveal that the trabeculae are collagen based type I, and their architecture is in the form of tree-shaped rods, pillars, and plates and, in some regions, they have a complex network morphology. </p>\",\"PeriodicalId\":89526,\"journal\":{\"name\":\"Anatomy research international\",\"volume\":\"2015 \",\"pages\":\"279814\"},\"PeriodicalIF\":0.0000,\"publicationDate\":\"2015-01-01\",\"publicationTypes\":\"Journal Article\",\"fieldsOfStudy\":null,\"isOpenAccess\":false,\"openAccessPdf\":\"https://sci-hub-pdf.com/10.1155/2015/279814\",\"citationCount\":\"53\",\"resultStr\":null,\"platform\":\"Semanticscholar\",\"paperid\":null,\"PeriodicalName\":\"Anatomy research international\",\"FirstCategoryId\":\"1085\",\"ListUrlMain\":\"https://doi.org/10.1155/2015/279814\",\"RegionNum\":0,\"RegionCategory\":null,\"ArticlePicture\":[],\"TitleCN\":null,\"AbstractTextCN\":null,\"PMCID\":null,\"EPubDate\":\"2015/5/24 0:00:00\",\"PubModel\":\"Epub\",\"JCR\":\"\",\"JCRName\":\"\",\"Score\":null,\"Total\":0}","platform":"Semanticscholar","paperid":null,"PeriodicalName":"Anatomy research international","FirstCategoryId":"1085","ListUrlMain":"https://doi.org/10.1155/2015/279814","RegionNum":0,"RegionCategory":null,"ArticlePicture":[],"TitleCN":null,"AbstractTextCN":null,"PMCID":null,"EPubDate":"2015/5/24 0:00:00","PubModel":"Epub","JCR":"","JCRName":"","Score":null,"Total":0}
引用次数: 53

摘要

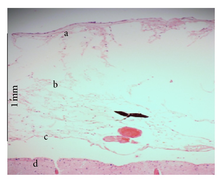
大脑和头骨之间的界面由三层纤维组织组成:硬脑膜、蛛网膜和硬脑膜,即脑膜,以及连接蛛网膜和硬脑膜的胶原蛋白组织,即小梁。蛛网膜和脑脊液之间的空隙充满脑脊液,脑脊液在头部运动或撞击时稳定大脑的形状和位置。脑蛛网膜下腔小梁的组织学和结构在文献中还没有很好的建立。关于小梁唯一公认的事实是,它们是由成纤维细胞包围的胶原纤维构成的,它们具有柱状和面纱状结构。在这项工作中,通过一系列体内和体外实验,研究了脑小梁的组织学和结构。尸体实验采用荧光显微镜和明场显微镜,动物实验采用扫描电镜和透射电镜。本研究结果表明,小梁为胶原蛋白为主的I型小梁,其结构为树形棒状、柱状和板状,在某些区域具有复杂的网络形态。
本文章由计算机程序翻译,如有差异,请以英文原文为准。

Histology and Morphology of the Brain Subarachnoid Trabeculae.

Histology and Morphology of the Brain Subarachnoid Trabeculae.

Histology and Morphology of the Brain Subarachnoid Trabeculae.

Histology and Morphology of the Brain Subarachnoid Trabeculae.

The interface between the brain and the skull consists of three fibrous tissue layers, dura mater, arachnoid, and pia mater, known as the meninges, and strands of collagen tissues connecting the arachnoid to the pia mater, known as trabeculae. The space between the arachnoid and the pia mater is filled with cerebrospinal fluid which stabilizes the shape and position of the brain during head movements or impacts. The histology and architecture of the subarachnoid space trabeculae in the brain are not well established in the literature. The only recognized fact about the trabeculae is that they are made of collagen fibers surrounded by fibroblast cells and they have pillar- and veil-like structures. In this work the histology and the architecture of the brain trabeculae were studied, via a series of in vivo and in vitro experiments using cadaveric and animal tissue. In the cadaveric study fluorescence and bright field microscopy were employed while scanning and transmission electron microscopy were used for the animal studies. The results of this study reveal that the trabeculae are collagen based type I, and their architecture is in the form of tree-shaped rods, pillars, and plates and, in some regions, they have a complex network morphology.

求助全文
通过发布文献求助,成功后即可免费获取论文全文。 去求助
来源期刊
自引率
0.00%
发文量
0
×
引用
GB/T 7714-2015
复制
MLA
复制
APA
复制
导出至
BibTeX EndNote RefMan NoteFirst NoteExpress
×
提示
您的信息不完整,为了账户安全,请先补充。
现在去补充
×
提示
您因"违规操作"
具体请查看互助需知
我知道了
×
提示
确定
请完成安全验证×
copy
已复制链接
快去分享给好友吧!
我知道了
右上角分享
点击右上角分享
0
联系我们:info@booksci.cn Book学术提供免费学术资源搜索服务,方便国内外学者检索中英文文献。致力于提供最便捷和优质的服务体验。 Copyright © 2023 布克学术 All rights reserved.
京ICP备2023020795号-1
ghs 京公网安备 11010802042870号
Book学术文献互助
Book学术文献互助群
群 号:604180095
Book学术官方微信