金属支架存在时胰腺不可逆电穿孔的严重并发症:绝不应进行手术的警告。

Acta Radiologica Short Reports Pub Date : 2014-12-03 eCollection Date: 2014-12-01 DOI:10.1177/2047981614556409
Christopher Månsson, Anders Nilsson, Britt-Marie Karlson
{"title":"金属支架存在时胰腺不可逆电穿孔的严重并发症:绝不应进行手术的警告。","authors":"Christopher Månsson,&nbsp;Anders Nilsson,&nbsp;Britt-Marie Karlson","doi":"10.1177/2047981614556409","DOIUrl":null,"url":null,"abstract":"<p><p>Irreversible electroporation (IRE) is an ablation technique that is being investigated as a potential treatment of pancreatic cancer. However, many of these patients have a metallic stent in the bile duct, which is recognized as a contraindication for IRE ablation. We report a case in which an IRE ablation in the region of the pancreatic head was performed on a patient with a metallic stent which led to severe complications. After the treatment, the patient suffered from several complications including perforation of the duodenum and transverse colon, and bleeding from a branch of the superior mesenteric artery which eventually lead to her death. Therefore, we believe it is important to be aware of this if an IRE ablation close to a metallic stent is considered. </p>","PeriodicalId":30445,"journal":{"name":"Acta Radiologica Short Reports","volume":"3 11","pages":"2047981614556409"},"PeriodicalIF":0.0000,"publicationDate":"2014-12-03","publicationTypes":"Journal Article","fieldsOfStudy":null,"isOpenAccess":false,"openAccessPdf":"https://sci-hub-pdf.com/10.1177/2047981614556409","citationCount":"40","resultStr":"{\"title\":\"Severe complications with irreversible electroporation of the pancreas in the presence of a metallic stent: a warning of a procedure that never should be performed.\",\"authors\":\"Christopher Månsson,&nbsp;Anders Nilsson,&nbsp;Britt-Marie Karlson\",\"doi\":\"10.1177/2047981614556409\",\"DOIUrl\":null,\"url\":null,\"abstract\":\"<p><p>Irreversible electroporation (IRE) is an ablation technique that is being investigated as a potential treatment of pancreatic cancer. However, many of these patients have a metallic stent in the bile duct, which is recognized as a contraindication for IRE ablation. We report a case in which an IRE ablation in the region of the pancreatic head was performed on a patient with a metallic stent which led to severe complications. After the treatment, the patient suffered from several complications including perforation of the duodenum and transverse colon, and bleeding from a branch of the superior mesenteric artery which eventually lead to her death. Therefore, we believe it is important to be aware of this if an IRE ablation close to a metallic stent is considered. </p>\",\"PeriodicalId\":30445,\"journal\":{\"name\":\"Acta Radiologica Short Reports\",\"volume\":\"3 11\",\"pages\":\"2047981614556409\"},\"PeriodicalIF\":0.0000,\"publicationDate\":\"2014-12-03\",\"publicationTypes\":\"Journal Article\",\"fieldsOfStudy\":null,\"isOpenAccess\":false,\"openAccessPdf\":\"https://sci-hub-pdf.com/10.1177/2047981614556409\",\"citationCount\":\"40\",\"resultStr\":null,\"platform\":\"Semanticscholar\",\"paperid\":null,\"PeriodicalName\":\"Acta Radiologica Short Reports\",\"FirstCategoryId\":\"1085\",\"ListUrlMain\":\"https://doi.org/10.1177/2047981614556409\",\"RegionNum\":0,\"RegionCategory\":null,\"ArticlePicture\":[],\"TitleCN\":null,\"AbstractTextCN\":null,\"PMCID\":null,\"EPubDate\":\"2014/12/1 0:00:00\",\"PubModel\":\"eCollection\",\"JCR\":\"\",\"JCRName\":\"\",\"Score\":null,\"Total\":0}","platform":"Semanticscholar","paperid":null,"PeriodicalName":"Acta Radiologica Short Reports","FirstCategoryId":"1085","ListUrlMain":"https://doi.org/10.1177/2047981614556409","RegionNum":0,"RegionCategory":null,"ArticlePicture":[],"TitleCN":null,"AbstractTextCN":null,"PMCID":null,"EPubDate":"2014/12/1 0:00:00","PubModel":"eCollection","JCR":"","JCRName":"","Score":null,"Total":0}
引用次数: 40

摘要

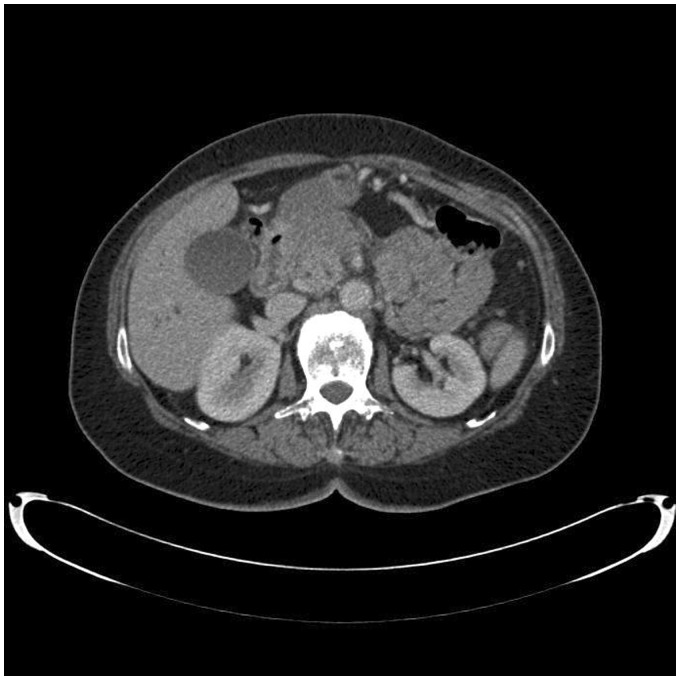
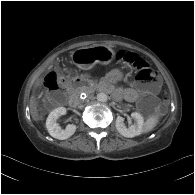
不可逆电穿孔(IRE)是一种消融技术,正在被研究作为胰腺癌的潜在治疗方法。然而,许多患者在胆管内放置金属支架,这被认为是IRE消融术的禁忌症。我们报告一个病例,在胰腺头部区域IRE消融术对患者进行金属支架导致严重的并发症。治疗后,患者出现了多种并发症,包括十二指肠穿孔和横结肠穿孔,以及肠系膜上动脉分支出血,最终导致患者死亡。因此,我们认为如果考虑在金属支架附近进行IRE消融,了解这一点是很重要的。
本文章由计算机程序翻译,如有差异,请以英文原文为准。

Severe complications with irreversible electroporation of the pancreas in the presence of a metallic stent: a warning of a procedure that never should be performed.

Severe complications with irreversible electroporation of the pancreas in the presence of a metallic stent: a warning of a procedure that never should be performed.

Severe complications with irreversible electroporation of the pancreas in the presence of a metallic stent: a warning of a procedure that never should be performed.

Severe complications with irreversible electroporation of the pancreas in the presence of a metallic stent: a warning of a procedure that never should be performed.

Irreversible electroporation (IRE) is an ablation technique that is being investigated as a potential treatment of pancreatic cancer. However, many of these patients have a metallic stent in the bile duct, which is recognized as a contraindication for IRE ablation. We report a case in which an IRE ablation in the region of the pancreatic head was performed on a patient with a metallic stent which led to severe complications. After the treatment, the patient suffered from several complications including perforation of the duodenum and transverse colon, and bleeding from a branch of the superior mesenteric artery which eventually lead to her death. Therefore, we believe it is important to be aware of this if an IRE ablation close to a metallic stent is considered.

求助全文
通过发布文献求助,成功后即可免费获取论文全文。 去求助
来源期刊
自引率
0.00%
发文量
0
审稿时长
12 weeks
期刊介绍: Under the editorial leadership of Professor Arnulf Skjennald MD and a distinguished editorial board, Acta Radiologica Open, formerly Acta Radiologica Short Reports, aims for the prompt publication of original case reports, short reports, review articles, pictorial reviews, research articles on diagnostic and interventional radiology, clinical radiology, experimental investigations in animals, and all other research related to imaging procedures. Acta Radiologica Open provides a complete update on all radiological specialties and technical utilities, as well as physiology and physics related to imaging, including ultrasonography, computed tomography, radionuclide and magnetic resonance imaging. Acta Radiologica Open publishes articles on diagnostic and interventional procedures in radiology based on all medical imaging techniques, as well as works in physiology and physics when related to radiology. The journal is an online-only, peer reviewed, open access journal.
×
引用
GB/T 7714-2015
复制
MLA
复制
APA
复制
导出至
BibTeX EndNote RefMan NoteFirst NoteExpress
×
提示
您的信息不完整,为了账户安全,请先补充。
现在去补充
×
提示
您因"违规操作"
具体请查看互助需知
我知道了
×
提示
确定
请完成安全验证×
copy
已复制链接
快去分享给好友吧!
我知道了
右上角分享
点击右上角分享
0
联系我们:info@booksci.cn Book学术提供免费学术资源搜索服务,方便国内外学者检索中英文文献。致力于提供最便捷和优质的服务体验。 Copyright © 2023 布克学术 All rights reserved.
京ICP备2023020795号-1
ghs 京公网安备 11010802042870号
Book学术文献互助
Book学术文献互助群
群 号:604180095
Book学术官方微信